Una bambina con artrite reumatoide sistemica e febbre: è una ricaduta?
Clinica Pediatrica, IRRCCS Burlo Garofolo, Università di Trieste
Indirizzo per corrispondenza: marzia_lazzerini@libero.it
La diagnosi di MAS si basa soprattutto sull'aspirato midollare che, più frequentemente che altrove (biopsia epatica e splenica), mette in luce gli istiociti con attività emofagocitica. Un singolo aspirato può non essere sufficiente e spesso il riscontro di cellule patologiche si ha solo la secondo-terzo aspirato.

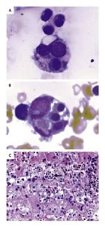
In
alto due esempi di aspirato midollare: presenza di istiociti in
atteggiamento ematofagico.
In basso biopsia epatica: presenza di
istiociti in atteggiamento ematofagico nei sinusoidi epatici
Per valutare quindi le ipotesi sostanzialmente di MAS, leucemia od (improbabile) linfoma si decide quindi rapidamente di eseguire:
biopsia ossea ed aspirato midollare
radiografia del torace ed ecografia addominale
Alla
biopsia ossea e l'aspirato midollare (eseguiti in prima battuta) si
sono evidenziate cellule a carattere istiocitario emofagocitico,
quadro questo compatibile con sindrome da attivazione
macrofagica.
Alla radiografia del torace è stato
evidenziato uno allargamento del mediastino. Per escludere un
improbabile linfoma la paziente è stata quindi eseguita anche
una TAC del torace che ha escluso la presenza di masse e
linfoadenopatie mediastiniche.
L'ecografia addominale, eseguita
per valutare la splenomegalia e ricercare eventuali masse addominali,
ha mostrato una epato splenomegalia (milza di 15 cm) con il restante
quadro nella norma.
Nel frattempo (erano passati 9 giorni) arriva il risultato della sierologia per EBV: >1:80 titolo IgM fortemente positivo, poi riconfermato da ulteriori controlli nei giorni successivi (EBV IgM: >1:1200), con monotest tuttavia sempre negativo
“In conclusione la nostra diagnosi è stata quella di Sindrome da Attivazione Macrofagica (in corso di probabile mononucleosi infettiva)"
E' stata avviata terapia steroidea con Urbason (2 mg/Kg/die) con pronto sfebbramento e miglioramento delle condizioni cliniche (scomparsa della febbre, riduzione della splenomegalia, delle transaminasi, dell'LDH, dei trigliceridi, risoluzione della citopenia).
Riflessioni e conclusioni.
La diagnosi di MAS (macrophagic activaction syndrome) difficilmente poteva essere intuita in prima battuta di fronte ad un quadro clinico caratterizzato in sostanza da febbre con linfoadenopatia laterocervicale, leucopenia e lieve piastrinopenia. L'ipotesi giusta iniziale era quella di una sindrome mononucleosica su base infettiva ma doverosamente andava esclusa una leucemia alla luce della leucopenia e della piastrinopenia. Per questo era stato eseguito un esame rapido e non invasivo quale lo striscio periferico che pur non mostrando le classiche cellule di Downey tipiche della mononucleosi aveva anche escluso la presenza di cellule blastiche. Era stato giustamente eseguito un Monotest che però non ha una specificità del 100% e richiede quindi, se negativo come nel nostro caso, la sierologia per EBV (risultata successivamente e dopo tutto l'iter diagnostico positiva ad alto titolo). La comparsa successivamente di epatosplemomegalia accompagnata dalla persistenza della febbre e dall'alterazione di alcuni dati di laboratorio quali il rialzo delle transaminasi e delle gamma-GT, ma soprattutto dei trigliceridi e della ferritina ha giustamente fatto sospettare una sindrome da attivazione macrofagica (parente stretta o equivalente dell'erotrofagocitosi reattiva postvirale) per cui si è imposta l'esecuzione di un aspirato midollare che ha permesso di giungere alla diagnosi.
Ci rimane un dubbio, con il senno del poi, in attesa di verifiche. La diagnosi di mononucleosi è plausibile sul piano clinico, ma la linfopenia, l'assenza delle cellule di Downey, la negatività anche a distanza del monotest restano da spiegare. La sierologia positiva per l'EBV deve tenere conto che nei casi di positività per il fattore reumatoide il risultato è “falsamente” positivo. Nel nostro caso la ricerca del fattore reumatoide non è stata eseguita (si tratta di una AIG giovanile e non dell'adulto). Ma la curiosità (necessità) di escludere le rare forme con di AIG con fattore reumatoide positivo rimane e vi informeremo se ci saranno novità. Nel caso in cui il fattore reumatoide sarà positivo potremo definitivamente escludere la diagnosi di mononucleosi.
Riteniamo che il caso sia istruttivo per i seguenti motivi:
La sindrome da attivazione macrofagica nel nostro caso era verosimilmente di natura postvirale e quindi rientrava nel gruppo delle istiocitosi-eritrofagocitosi reattive post-virali che hanno solitamente una prognosi favorevole. Peraltro va ricordato che tale sindrome è una delle complicanze dell'artrite idiopatica giovanile sistemica (AIG sistemica). Questo è molto interessante perché non possiamo completamente escludere di esserci trovati di fronte anche ad un quadro di MAS in corso di riattivazione di AIG sistemica e che l'infezione da EBV sia stata solamente un epifenomeno; altresì però è altrettanto possibile che la condizione di AIG sistemica, pur in quel momento sotto controllo, possa essersi comportata come un fattore predisponente la MAS in corso di mononucleosi infettiva.
Più in generale, alla MAS bisogna sempre pensare in presenza di febbre non spiegata, splenomegalia (non sempre presente all'inizio, ma costante nelle fasi evolutive della malattia, spesso associata ad epatomegalia), riscontro di laboratorio di citopenia. In questi casi la valutazione dei trigliceridi (alti), del fibrinogeno (basso) e della ferritinemia (molto elevata) deve sempre far sospettare la diagnosi di MAS (pensando sempre alla malignità, vale a dire alla leucemia o al linfoma).
Infine, a posteriori ma memori di altri casi simili, resta il dubbio di dover eseguire subito, di fronte ad una seppur lieve leucopenia e piastrinopenia malgrado uno striscio periferico nella norma, la biopsia e l'aspirato midollare (ricordandosi però che un esame negativo non esclude con certezza la diagnosi e che spesso sono necessari più aspirati midollari).
Per Approfondire
Rabusin M, Tamaro P, Zanazzo G. Le istiocitosi dell'infanzia. Medico e Bambino 1999;2: 87-94
J.L.Stephan, I.Konè-Paut, C. Galambrun, R.Mouy, B.Bader- Meunier and A.-M.Prieur. Reactive haemophagocyt sindrome in children with inflammatory disorders. A retrospective study of 24 patients. Rheumatology 2001;40(11):1285-92.
Ravelli A.Macrophage activation sindrome. Curr Opin Rheumatol 2002;14(5):548-52.
Alexei A.Grom, MD. Macrophage activation sindrome and reactive hemophagocytic lymphohistiocytosis: the same entities. Curr Opin Rheumatol 2003;15(5):587-90.
Ramanan AV, Schneider R. Macrophage activation sindrome- What's in a name! J Rheumatol. 2003;30(12):2513-6.
