Un reflusso gastroesofageo molto maligno
UO Oncoematologia Pediatrica �F. Vecchio�, Universit� di Bari, Azienda Ospedaliero-Universitaria Policlinico �Consorziale�, Bari
Indirizzo
per corrispondenza: grassimassimo@hotmail.it
A highly malignant gastroesophageal reflux
Key words
Medulloblastoma, Childhood, Diagnosis
Summary
We report a case of a 13-year-old boy with recurrent episodes of vomiting. Initially a diagnosis of gastroesophageal reflux with reflux esophagitis was made. The patient also showed bradycardia and deflections of mood. Neurological assessment and examination of fundus oculi resulted normal. Magnetic resonance imaging of the brain was performed for the persistence of vomiting despite antireflux therapy: cerebellar neoplasm was found. The histological evaluation of the excised neoplasm was consistent with medulloblastoma so the patient was submitted to cancer chemotherapy and he is currently in remission of disease. We present an anecdotal case of delay in the diagnosis of brain tumors in children; in this case the delay was aggravated by the detection of reflux esophagitis and by the normality of neurological assessment and of evaluation of the fundus oculi.
Riassunto
Descriviamo il caso di un bambino di 13 anni che presentava episodi ripetuti di vomito. Inizialmente veniva posta la diagnosi di esofagite da reflusso. Il paziente presentava anche bradicardia e alterazioni del tono dell�umore. L�esame neurologico e il fundus oculi risultavano nella norma. Per la persistenza del vomito, nonostante la terapia antireflusso, veniva eseguita una risonanza magnetica dell�encefalo che consentiva di evidenziare la presenza di neoplasia cerebellare. Il paziente veniva sottoposto ad asportazione della neoformazione; l�esame istologico consentiva di porre diagnosi di medulloblastoma e il paziente veniva avviato a programma chemioterapico. Presentiamo un caso aneddotico di ritardo nella diagnosi dei tumori cerebrali in et� pediatrica; nel nostro caso il riscontro di esofagite da reflusso e la negativit� dell�esame neurologico e del fundus oculi, hanno sicuramente contribuito al ritardo diagnostico.
Caso clinico
L. � un bambino di 13 anni che inizia a presentare nel mese di gennaio episodi ripetuti di vomito (anche pi� di dieci al giorno), sia a digiuno che postprandiali, sia durante il giorno che durante la notte; per questo motivo viene ricoverato presso il reparto di pediatria del locale ospedale dove, nel sospetto di gastroenterite e per la presenza di chetonuria, viene trattato con terapia infusionale con soluzione glucosalina; viene dimesso dopo due giorni con la diagnosi di vomito persistente e acetonuria.
Successivamente continua a presentare ulteriori episodi di vomito, prevalentemente durante le ore diurne, a volte �a getto�, accompagnati da epigastralgia e a seguito dei quali il paziente si addormenta per alcune ore.
Dopo circa un mese dall�inizio della sintomatologia viene riscontrato dal pediatra curante un marcato calo ponderale (circa 11 kg in un mese). Per questo motivo viene nuovamente ricoverato presso un ospedale pediatrico. Gli esami ematochimici risultano tutti nella norma tranne che per il riscontro di lieve eosinofilia relativa e di un lieve aumento delle IgE sieriche; il RAST risulta positivo per la parietaria e l�acaro. Le altre valutazioni eseguite (tra cui dosaggio della calprotectina fecale, ricerca di antigeni di Helicobacter pylori su feci, ricerca del sangue occulto fecale, sierodiagnosi di Vidal-Wright, coprocoltura) risultano negative. All�esame ecotomografico dell�addome e all�elettroencefalogramma non si riscontrano reperti patologici; alla consulenza cardiologica viene evidenziata bradiaritmia (60 bpm); l�ecocardiogramma non mostra alterazioni. Nel sospetto di una patologia gastro-esofagea, viene sottoposto a esame radiografico con mezzo di contrasto di esofago-stomaco-duodeno che evidenzia la presenza di ernia iatale con accentuazione del disegno pilorico; per tale riscontro viene posta diagnosi di gastrite acuta e il paziente viene dimesso con terapia a domicilio consistente nella somministrazione di inibitori di pompa protonica, procinetici e farmaci protettori della mucosa gastrica.
Dopo qualche giorno di benessere, inizia nuovamente a presentare episodi ripetuti di vomito accompagnati da algie addominali.
Verso la fine del mese di marzo, viene quindi sottoposto a valutazione gastroenterologica e sottoposto a ulteriori approfondimenti diagnostici; l�impedenzometria mostra un reperto compatibile con reflusso gastroesofageo (RGE) e la manometria esofagea evidenzia ipotonia e incontinenza dello sfintere esofageo inferiore. Alla luce di tali evidenze si esegue la prima esofago-gastro-duodenoscopia (EGDS) con cui si dimostra la presenza di una modesta incontinenza cardiale.
Nonostante le diverse terapie antireflusso, prescritte da pi� specialisti gastroenterologi, consultati ripetutamente dai genitori molto preoccupati, la sintomatologia non migliora.
Dopo circa quattro mesi dall�esordio dei sintomi e su consiglio del pediatra curante, L. viene sottoposto a valutazione neurologica ambulatoriale per vomito a digiuno, sonnolenza e vertigini; l�esame obiettivo neurologico risulta nella norma e il fundus oculi � negativo; per maggiore completezza diagnostica il neurologo consiglia l�esecuzione di una risonanza magnetica cerebrale (tale esame non sar� eseguito fino al momento del ricovero presso il nostro centro).
Dopo qualche giorno L. viene sottoposto a una ennesima rivalutazione gastroenterologica pediatrica al termine della quale viene programmato il ricovero per ulteriori approfondimenti diagnostici.
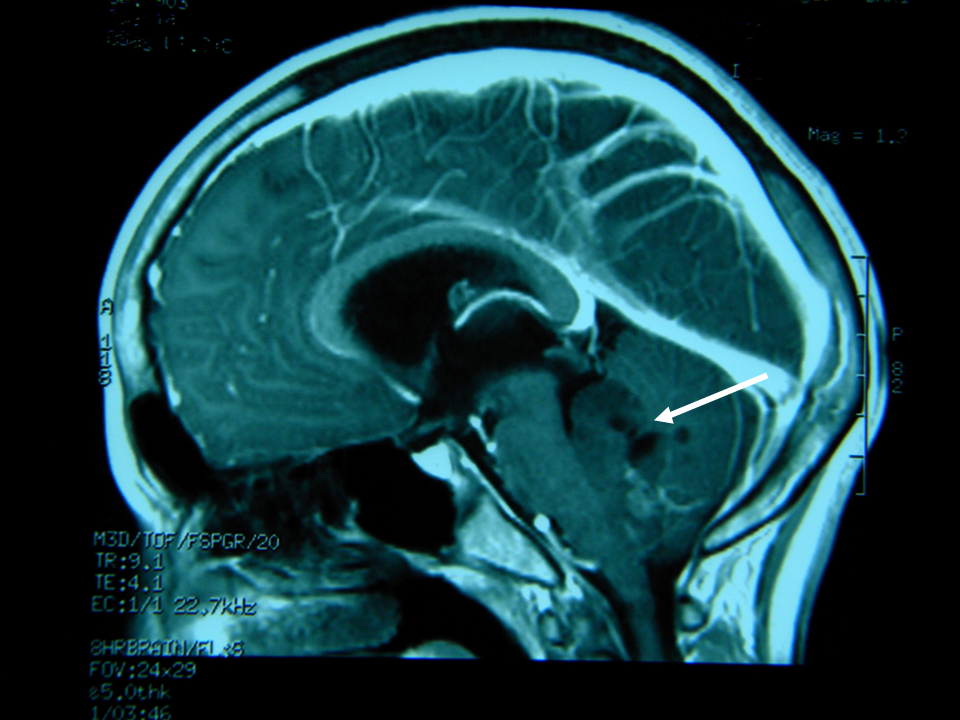
A fine maggio L. viene quindi ricoverato presso il nostro centro per vomito persistente e calo ponderale. L. ha 13 anni e 10 mesi e pesa 39,5 kg (< 10�); la madre riferisce un calo ponderale di circa 13 kg in 4 mesi. Vengono inizialmente formulate alcune ipotesi diagnostiche: RGE, esofagite eosinofila, gastrite Helicobacter pylori-positiva. L. viene sottoposto a una serie di esami di laboratorio e strumentali: le uniche alterazioni riscontrate sono rappresentate da una eosinofilia relativa, da un aumentato livello sierico di IgE e da una positivit� degli skin prick test per pollini di paritaria, acari della polvere e della farina, epitelio di cane e gatto; alla valutazione cardiologica viene rilevata una frequenza cardiaca di 65 bpm. Si decide di eseguire a una nuova EGDS che mostra reperti compatibili con esofagite da reflusso, antrite e reflusso duodenogastrico. Nel sospetto di una ulteriore componente psicogena o neurologica del vomito viene richiesta una valutazione neuropsichiatria infantile che rileva una spiccata deflessione del tono dell�umore necessitante di terapia con valproato, consiglia l�esecuzione di un ulteriore valutazione del fundus oculi e l�esecuzione di RM cerebrale. Il fundus oculi, eseguito nella stessa giornata, non mostra alterazioni patologiche. Alla RM viene evidenziata una neoplasia cerebellare mediana a livello del IV ventricolo (Figura 1 e Figura 2), con iniziale discesa delle tonsille cerebellari nel forame magno e sistema ventricolare sovratentoriale moderatamente dilatato con lievi segni di tensione liquorale; viene eseguita anche una scansione del rachide che evidenzia nodulazioni a livello del sacco durale di L5-S1-S2 da verosimile localizzazione secondaria per diffusione liquorale della neoformazione (Figura 3).
L. viene trasferito presso l�Unit� Operativa di Neurochirurgia e sottoposto a intervento di asportazione/rimozione subtotale di una grossa neoformazione infiltrante il tronco fino al bulbo e il pavimento del IV ventricolo, risultata essere all�esame istologico neoformazione da medulloblastoma classico IV grado WHO.
L. � stato successivamente trattato presso la nostra Unit� Operativa di Oncologia Pediatrica con un programma di chemio-radioterapia secondo il protocollo 54 modificato per il medulloblastoma metastatico in bambini di et� superiore ai tre anni (Figura 4); � stata effettuata la raccolta delle cellule staminali periferiche, in collaborazione con l�Istituto Nazionale Tumori di Milano, in previsione di eventuale necessit� di chemioterapia ad alte dosi seguita da trapianto di cellule staminali emopoietiche autologhe. A due anni di follow-up dal termine del programma chemioterapico, il paziente mostra remissione completa di malattia.

Figura 1. Scansione sagittale dell�encefalo in risonanza magnetica: neoplasia cerebellare mediana a livello del IV ventricolo.

Figura 2. Scansione coronale dell�encefalo in risonanza magnetica: neoplasia cerebellare mediana.

Figura 3. Scansioni di risonanza magnetica del rachide: nodulazioni del sacco durale a livello di L5-S1-S2.

Figura 4. Schema generale del protocollo 54 per il trattamento del medulloblastoma metastatico nei bambini di et� superiore ai 3 anni.
Legenda: HD: terapia ad alte dosi; MTX: methotrexate; PEC: cellule emopoietiche da sangue periferico; VP16: vepeside; EDX: ciclofosfamide; CBDCA: carboplatino; VCR: vincristina; G-CSF: fattore di crescita granulocitario; RM: risonanza magnetica cerebrale; RT: radioterapia; RC: remissione completa; RP: remissione parziale; CCNU: lomustina.
Discussione
I tumori del sistema nervoso centrale (SNC) rappresentano in et� pediatrica la seconda neoplasia per incidenza dopo le leucemie e la neoplasia solida pi� comune al di sotto dei quindici anni di et�. Ogni anno vengono diagnosticati nel mondo 2-3 nuovi casi di tumore del SNC ogni 100.000 bambini e in Italia circa 400-450 nuovi casi vengono registrati ogni anno, costituendo cos� il 19% dei tumori nei bambini al di sotto dei sedici anni di vita1. La sede dei tumori del SNC � prevalentemente endocranica ma, meno frequentemente, pu� essere endorachidea; il 70% dei tumori endocranici � localizzato a livello della fossa cranica posteriore. L�istotipo pi� frequente � costituito dagli astrocitomi (35% dei tumori SNC) seguiti dai PNET/medulloblastomi (21% dei tumori SNC). Per i casi di tumore maligno del SNC diagnosticati negli anni 1998-2002 la sopravvivenza cumulativa osservata a cinque anni � risultata pari al 62,3%2.
Segni e sintomi dei tumori del SNC sono eterogenei e possono variare (Tabella I) in base alla sede, all�et�, al livello di sviluppo del bambino, alla velocit� di crescita e occasionalmente al tipo di tumore; sono conseguenti all�infiltrazione o alla compressione delle strutture adiacenti o all�ostruzione del flusso del liquido cerebro-spinale e all�aumento della pressione intracranica; nessun singolo segno clinico pu� essere considerato patognomonico3. L�estrema variabilit� di presentazione � il principale motivo per cui i tumori del SNC in et� pediatrica sono spesso gravati da un rilevante ritardo nella diagnosi4.
Dorner et al. hanno valutato retrospettivamente bambini con diagnosi di tumore cerebrale a livello della fossa cranica posteriore e hanno evidenziato come i sintomi pi� frequentemente mal interpretati siano rappresentati da torcicollo (i pazienti avevano mostrato anche lievi segni neurologici, non considerati da pediatri e ortopedici, che si erano focalizzati sulle cause ortopediche), diplopia e anomalie della motilit� oculare (alcuni pazienti erano stati trattati conservativamente per strabismo per molte settimane prima della diagnosi di tumore cerebrale)5.
Edgeworth et al. riportano una durata media dei sintomi pari a 3 settimane tra la comparsa dei sintomi/segni e la richiesta di intervento medico e una durata media di 16 settimane tra la prima valutazione clinica e la diagnosi; nel 62% dei casi i piccoli pazienti vengono valutati quattro o pi� volte prima della diagnosi6. Dobrovoljac et al. riportano, invece, un intervallo pre-diagnosi pi� breve, pari a una media di 60 giorni, con un ritardo da parte dei genitori in media di 14 giorni e un ritardo medico in media di 30 giorni7.
Nel caso da noi descritto, il vomito � stato il sintomo mal interpretato su cui ci si � particolarmente focalizzati e sono trascorse circa 16 settimane tra l�insorgenza degli episodi ripetuti di vomito e la diagnosi. Le indagini gastroenterologiche eseguite hanno dimostrato la presenza di reflusso gastroesofageo conseguente a ernia iatale e ci� ha sicuramente mascherato e fuorviato gli ulteriori approfondimenti diagnostici, nonch� determinato le successive scelte terapeutiche.
Il riconoscimento della presenza di pi� segni e sintomi di tumore del SNC nello stesso paziente potrebbe essere importante nel meglio indirizzare l�iter diagnostico8; nel nostro caso il riscontro del marcato calo ponderale, della bradicardia e delle alterazioni del tono dell�umore, probabilmente tutti correlabili alla patologia di base, sono state considerate come segni isolati e indagate e interpretate singolarmente piuttosto che in associazione tra di loro e con il sintomo principale, ovvero il vomito, e questo ha probabilmente contribuito al ritardo nella diagnosi.
Tabella I. Segni e sintomi dei tumori cerebrali3,6
Tumori sopratentoriali
Tumori sottotentoriali
Tumori della linea mediana
Segni
Emiparesi Perdita
emisensoriale Iperreflessia Alterazioni
visive (riduzione acuit�, perdita monoculare della vista,
emianopsia, pupilla di Marcus-Gunn) Spasmus
nutans Convulsioni Tumori
dei lobi frontali: problemi comportamentali Tumori
ipotalamici: sindrome diencefalica Atassia Long-tracts
signs Neuropatie
dei nervi cranici Disfunzione
del cervelletto (goffaggine, peggioramento della grafia,
difficolt� nel saltare o correre, alterazioni del
linguaggio) Tumori
degli emisferi cerebellari: dismetria, nistagmo Tumori
mediani del cervelletto: instabilit� del tronco,
ipertensione endocranica Tumori
del tronco: neuropatie dei nervi cranici, diplopia, paralisi del
nervo abducente, paralisi dello sguardo; deficit dei nervi
trigemino, faciale e acustico; disfagia; sindrome di Horner
parziale Diabete
insipido Eccessivo
aumento di peso Deficit
di accrescimento Pubert�
precoce Bassa
statura Alterazioni
dell�affettivit�, della motivazione, del
comportamento, del vigore fisico Aumento
di peso o perdita di peso con anoressia Sintomi
di tipo autonomico Pubert�
precoce o ritardata Deficit
di accrescimento
e Sintomi non focali
Tumori sopratentoriali Tumori sottotentoriali Tumori della linea mediana Segni e Sintomi non focali Emiparesi
Perdita emisensoriale
Iperreflessia
Alterazioni visive (riduzione acuit�, perdita monoculare della vista, emianopsia, pupilla di Marcus-Gunn)
Spasmus nutans Convulsioni
Tumori dei lobi frontali: problemi comportamentali
Tumori ipotalamici: sindrome diencefalicaAtassia
Long-tracts signs
Neuropatie dei nervi cranici
Disfunzione del cervelletto (goffaggine, peggioramento della grafia, difficolt� nel saltare o correre, alterazioni del linguaggio)
Tumori degli emisferi cerebellari: dismetria, nistagmo
Tumori mediani del cervelletto: instabilit� del tronco, ipertensione endocranica
Tumori del tronco: neuropatie dei nervi cranici, diplopia, paralisi del nervo abducente, paralisi dello sguardo; deficit dei nervi trigemino, faciale e acustico; disfagia; sindrome di Horner parzialeDiabete insipido
Eccessivo aumento di peso
Deficit di accrescimento
Pubert� precoce
Bassa staturaAlterazioni dell�affettivit�, della motivazione, del comportamento, del vigore fisico
Aumento di peso o perdita di peso con anoressia
Sintomi di tipo autonomico
Pubert� precoce o ritardata
Deficit di accrescimento
Vomito
In una recente valutazione retrospettiva dei sintomi/segni di esordio di malattia in 200 bambini affetti da tumore cerebrale, Wilne et al. hanno riscontrato la presenza di papilledema solamente nel 38% dei casi9; il fundus oculi, infatti, pur essendo un esame importante nella diagnostica di prima linea dei tumori del SNC, non � assolutamente dirimente in caso di negativit�, proprio perch� patologico solamente nei casi di contestuale marcato aumento della pressione liquorale.
La tendenza alla bradicardia, sebbene sia stata associata da Marcus et al.10 anche alla possibile presenza di reflusso gastroesofageo, nel nostro caso potrebbe pi� probabilmente essere la conseguenza dell�iniziale erniazione delle tonsille cerebellari, rappresentando, soprattutto in associazione al vomito, un ulteriore importante campanello d�allarme.
La negativit� del fundus oculi, l�assenza di cefalea, e la sostanziale negativit� degli esami obiettivi neurologici hanno sicuramente contribuito a rendere pi� difficile l�orientamento diagnostico nel caso da noi descritto; certamente l�associazione del vomito ripetuto e persistente con la bradicardia, le alterazioni dell�umore e il calo ponderale avrebbero potuto, se considerati nel loro insieme, indurre a intraprendere percorsi diagnostici differenti.
Le cause e le implicazioni prognostiche del ritardo diagnostico dei tumori del SNC in et� pediatrica sono fortemente dibattute e le conclusioni contrastanti. Da una parte, infatti, un fattore determinante la prognosi sembra essere rappresentato dal residuo post-chirurgico e quindi dall�entit� e dalla possibilit� di resezione (con radicalit�) chirurgica della massa neoplastica, correlabili almeno in parte con le dimensioni raggiunte dalla massa stessa e quindi con i tempi intercorsi dall�esordio dei sintomi fino alla diagnosi e all�intervento neurochirurgico7; d�altra parte, in particolare proprio per il medulloblastoma, Halperin et al. hanno sottolineato come una lunga durata dei sintomi, ovvero un ritardo nella diagnosi, potrebbe non essere inevitabilmente sinonimo di riscontro di uno stadio pi� avanzato di neoplasia e quindi di una malattia meno curabile; infatti, lo stadio di malattia sembrerebbe correlato inversamente con la durata dei sintomi e questo si potrebbe spiegare con una pi� lenta evoluzione delle neoplasie di basso stadio (e quindi a crescita meno aggressiva) rispetto alla rapidit� ed evolutivit� delle neoplasie riscontrate in stadio pi� avanzato11. Allo stesso modo, Bettina et al. hanno osservato un intervallo, tra la comparsa dei sintomi e la diagnosi, significativamente pi� breve nei pazienti con tumore ad alto grado rispetto ai pazienti con tumore di basso grado; questo si pu� spiegare considerando che i tumori di alto grado si espandono pi� velocemente e colpiscono i tessuti sani molto pi� rapidamente rispetto ai tumori di basso grado, provocando cos� la comparsa di sintomi in uno stadio pi� precoce4.
L. ha potuto subire una asportazione solamente subtotale della massa intracranica e, presentando alla diagnosi localizzazioni metastatiche a livello rachideo, � stato assegnato al gruppo di pazienti ad alto rischio secondo il Chang Staging System12; � stato quindi necessario ricorrere a trattamento radiante e chemioterapico, nonch� alla raccolta delle cellule staminali emopoietiche, in previsione di un possibile impiego della chemioterapia ad alte dosi per cercare di raggiungere l�eradicazione della malattia; fortunatamente a oggi non � stato necessario ricorrere a tale iter terapeutico, essendo stata raggiunta la remissione completa di malattia. L. ha mostrato sporadicamente sintomi/segni relativi alla patologia gastroesofagea di cui � affetto e in tali occasioni � stato sottoposto a terapia sintomatica, ottenendo risoluzione clinica; ci� a ulteriore riprova di una patologia gastroesofagea sicuramente esasperata dai continui episodi di vomito presentati da L. e a dimostrazione della eccessiva �malignit�� del suo quadro gastroesofageo, non tanto in quanto tale, ma poich� a lungo fattore confondente per una condizione ben pi� grave, quale la patologia neoplastica cerebrale.
Conclusioni
Il ritardo nella diagnosi dei tumori cerebrali in et� pediatrica �, purtroppo, frequente; cause e conseguenze di tale ritardo sono dibattute e devono essere ancora oggetto di ulteriori studi.
La diagnosi precoce di un tumore del SNC potrebbe consentire di individuare la neoplasia in uno stadio pi� precoce, permettendo una migliore e pi� completa resezione chirurgica, un trattamento chemioradioterapico meno aggressivo e un netto miglioramento dell�outcome.
Per il raggiungimento di questi scopi, la presenza anche solo di un segno o sintomo suggestivo di tumore del SNC dovrebbe indurre il medico a ricercare ulteriori segni o sintomi tipici; il riscontro di pi� segni e sintomi suggestivi nello stesso paziente dovrebbe spingere verso ulteriori approfondimenti diagnostici. Il forte sospetto della presenza di un tumore del SNC, un�anamnesi accurata e un ripetuto e dettagliato esame neurologico, potrebbero contribuire a una diagnosi pi� precoce7, mentre in caso di persistenza o peggioramento dei sintomi/segni bisognerebbe considerare il ricorso agli strumenti di neuroimaging4. Nel nostro caso la presenza di un sintomo prevalente (il vomito) e persistente nonostante le terapie intraprese, cos� come la compresenza di altri sintomi/segni (la bradicardia, il calo ponderale, le alterazioni del tono dell�umore) avrebbero forse dovuto spingere a guardare �oltre� il �solo� sintomo predominante e a inserire tale sintomo in un quadro clinico pi� articolato e differente da quello ripetutamente ipotizzato e chiamato in causa.
Box. Cosa insegna questo caso
La diagnosi precoce delle neoplasie cerebrali in et� pediatrica richiede la conoscenza dei diversi segni e sintomi tipici con cui queste si manifestano a seconda delle diverse sedi in cui si localizzano e a seconda delle diverse et� del bambino; un forte sospetto da parte del medico, la persistenza della sintomatologia, la non risposta dei sintomi alle terapie intraprese, la marcata preoccupazione dei genitori, possono aiutare a discriminare i casi meritevoli di ulteriori approfondimenti in senso neurologico e diagnostico-strumentale.
Nel nostro caso, il concomitante quadro di patologia gastroesofagea ha contribuito a ritardare e ha complicato ulteriormente una diagnosi, gi� di per se non chiarissima ab initio.
L�esordio improvviso di persistenti deflessioni e oscillazioni del tono dell�umore pu� rappresentare una delle manifestazioni di esordio dei tumori cerebrali.
La presenza di bradicardia, non precedentemente riscontrata, in assenza di altri segni clinico-strumentali di cardiopatia e di altre situazioni predisponesti, e in associazione ad ulteriori sintomi e segni, pu� essere parte del quadro di presentazione dei tumori cerebrali.
La valutazione del fundus oculi � un esame importante ma non dirimente per la valutazione di un quadro di ipertensione endocranica; pu� risultare infatti normale nei casi di tumore cerebrale che non determinano inizialmente un aumento marcato della pressione intracranica.
Il vomito pu� far parte della sintomatologia di esordio dei tumori cerebrali come conseguenza di una importante ipertensione endocranica; in alcuni casi pu� essere presente anche in assenza di un importante aumento della pressione intracranica qualora la massa neoplastica vada per esempio direttamente ad interessare le aree encefaliche responsabili del vomito come il pavimento del IV ventricolo.
Bibliografia
1. AIEOP-ISS- Alleanza contro il cancro - Basi scientifiche per la definizione di linee guida in ambito clinico per i tumori in et� pediatrica - 2008.
2. AIRTUM Working Group. I tumori in Italia - Rapporto 2008. Tumori infantili. Banca dati AIRTUM. Epidemiologia e Prevenzione 2008;32(s2):48-9.
3. Pizzo PA, Poplack DG. Principles and Practice of Pediatric Oncology 4th Edition. Lippincott Williams & Wilkins, 2001.
4. Reulecke BC, Erker CG, Fiedler BJ, Niederstadt TU, Kurlemann G. Brain tumors in children: initial symptoms and their influence on the time span between symptom onset and diagnosis. J Child Neurol2008;23:178-83.
5. D�rner L, Fritsch MJ, Stark AM, Mehdorn HM. Posterior fossa tumors in children: how long does it take to establish the diagnosis? Childs Nerv Syst 2007;23:887-90.
6. Edgeworth J, Bullock P, Bailey A, Gallagher A, Crouchman M. Why are brain tumours still being missed? Arch Dis Child1996;74:148-51.
7. Dobrovoljac M, Hengartner H, Boltshauser E, Grotzer MA. Delay in the diagnosis of paediatric brain tumours. Eur J Pediatr 2002;161:663-7.
8. Wilne S, Collier J, Kennedy C, Koller K, Grundy R, Walker D. Presentation of childhood CNS tumours: a systematic review and meta-analysis. Lancet Oncol 2007;8:685-95.
9. Wilne SH, Ferris RC, Nathwani A, Kennedy CR. The presenting features of brain tumours: a review of 200 cases. Arch Dis Child 2006;91:502-6.
10.Marcus CL, Hamer A. Significance of isolated bradycardia detected by home monitoring. J Pediatr 1999;135:321-6.
11. Halperin EC, Watson DM, George SL. Duration of symptoms prior to diagnosis is related inversely to presenting disease stage in children with medulloblastoma. Cancer 2001;91:1444-50.
12. Chang CH, Housepian EM, Herbert C Jr. An operative staging system and a megavoltage radiotherapeutic technic for cerebellar medulloblastomas. Radiology 1969;93:1351-9.
Classificazione MeSH
Bibliografia
2. AIRTUM Working Group. I tumori in Italia - Rapporto 2008. Tumori infantili. Banca dati AIRTUM. Epidemiologia e Prevenzione 2008;32(s2):48-9.
3. Pizzo PA, Poplack DG. Principles and Practice of Pediatric Oncology 4th Edition. Lippincott Williams & Wilkins, 2001.
4. Reulecke BC, Erker CG, Fiedler BJ, Niederstadt TU, Kurlemann G. Brain tumors in children: initial symptoms and their influence on the time span between symptom onset and diagnosis. J Child Neurol 2008;23:178-83.
5. Dörner L, Fritsch MJ, Stark AM, Mehdorn HM. Posterior fossa tumors in children: how long does it take to establish the diagnosis? Childs Nerv Syst 2007;23:887-90.
6. Edgeworth J, Bullock P, Bailey A, Gallagher A, Crouchman M. Why are brain tumours still being missed? Arch Dis Child 1996;74:148-51.
7. Dobrovoljac M, Hengartner H, Boltshauser E, Grotzer MA. Delay in the diagnosis of paediatric brain tumours. Eur J Pediatr 2002;161:663-7.
8. Wilne S, Collier J, Kennedy C, Koller K, Grundy R, Walker D. Presentation of childhood CNS tumours: a systematic review and meta-analysis. Lancet Oncol 2007;8:685-95.
9. Wilne SH, Ferris RC, Nathwani A, Kennedy CR. The presenting features of brain tumours: a review of 200 cases. Arch Dis Child 2006;91:502-6.
10.Marcus CL, Hamer A. Significance of isolated bradycardia detected by home monitoring. J Pediatr 1999;135:321-6.
11. Halperin EC, Watson DM, George SL. Duration of symptoms prior to diagnosis is related inversely to presenting disease stage in children with medulloblastoma. Cancer 2001;91:1444-50.
12. Chang CH, Housepian EM, Herbert C Jr. An operative staging system and a megavoltage radiotherapeutic technic for cerebellar medulloblastomas. Radiology 1969;93:1351-9.
