Ectopia del canino mascellare permanente in et� pediatrica: diagnosi e terapia precoce
Reparto di Ortognatodonzia, Dipartimento di Scienze Odontostomatologiche, Universit� di Bologna
Indirizzo per corrispondenza: giulio.alessandri@unibo.it
Permanent maxillary canines ectopic eruption in paediatric patients: early diagnosis and therapy
Keywords
Permanent maxillary canines, Ectopic eruption, Impaction, Prevention, Primary teeth extraction
Summary
The Authors stress the importance of an early diagnosis of permanent maxillary canine ectopic eruption in order to avoid related complications, which are canine impaction and/or resorption of the roots of the permanent incisors. Nowadays panoramic radiograph still represents the routine examination in growing children in order to identify canine intraosseous position from 8-9 years of age. Radiographic examination is also required each time a clinical sign of canine altered eruption is detected.
Extraction of the deciduous canines, eventually associated with deciduous first molars extraction, is an effective procedure to promote the spontaneous eruption of ectopic canines.
Paediatricians should be familiar with permanent maxillary canine ectopic eruption and share such an issue with the Orthodontist: early recognition of altered eruption prevents impaction (solvable with surgical uncovering followed by an orthodontic treatment) and, above all, root resorption of adjacent teeth.
Riassunto
Gli Autori sottolineano l�importanza della diagnosi precoce di ectopia del canino mascellare permanente per evitarne le complicanze, cio� l�inclusione del canino e/o il riassorbimento radicolare degli incisivi permanenti. L�ortopantomografia rappresenta a tutt�oggi l�esame radiografico di routine a cui sottoporre il paziente in crescita al fine di identificare la posizione intraossea del canino mascellare a partire dagli 8-9 anni di et�. Tale valutazione si rende inoltre indispensabile ogni qualvolta venga rilevata la presenza di uno o pi� indicatori clinici di rischio di ectopia del canino.
In questi casi l�estrazione precoce del canino deciduo, eventualmente associata a quella del primo molare deciduo, si � dimostrata una procedura efficace nel favorire la corretta eruzione dei canini permanenti.
� importante che il Pediatra sia a conoscenza di questa problematica e la condivida con l�Ortodontista; riconoscere precocemente alterazioni del processo di eruzione del canino mascellare previene la comparsa di inclusioni (risolvibili solo a prezzo di un intervento di disinclusione chirurgica associato a trattamento ortodontico) e soprattutto evita l�insorgenza di riassorbimenti radicolari a carico dei denti adiacenti.
Introduzione
I canini mascellari sono gli elementi dentari permanenti pi� spesso interessati da disturbi dell�eruzione dopo i terzi molari e ci� � dovuto a vari fattori1. In primo luogo essi devono compiere un lungo percorso per giungere alla definitiva posizione in arcata, avendo la loro formazione inizio in profondit� nel contesto del mascellare superiore (a lato dell�apertura piriforme)1. Sono inoltre i denti che presentano il pi� lungo periodo di sviluppo (periodo durante il quale possono intervenire fattori in grado di alterarne il normale processo di eruzione) ed erompono in arcata per ultimi, pagando inevitabilmente le conseguenze di una eventuale carenza di spazio in arcata, a una et� variabile tra 10-12 anni per le femmine e 11-13 per i maschi2.
L�ectopia del canino mascellare, cio� la deviazione dal normale percorso di eruzione e acquisizione di una posizione intraossea anomala, viene identificata prima del tempo normalmente previsto per la sua eruzione3. Tale condizione pu� esitare nella inclusione (mancata eruzione in arcata oltre il termine fisiologico) la cui risoluzione richiede un approccio di tipo chirurgico-ortodontico, con esposizione chirurgica dell�elemento associata a riposizionamento ortodontico in arcata dello stesso.
Ma la complicanza dovuta all�ectopia del canino pi� temibile per le conseguenze che comporta � il riassorbimento radicolare degli incisivi permanenti adiacenti.
Il precoce riconoscimento di alterazioni del processo di eruzione del canino mascellare pu� consentire, con opportune terapie, di ristabilire le condizioni ottimali per il corretto sviluppo delle arcate nel paziente in crescita, prevenendo la comparsa di complicanze4.
� pertanto importante che il Pediatra sia a conoscenza del problema della diagnosi precoce di ectopia del canino mascellare come parte integrante del controllo del corretto sviluppo delle arcate dentarie nel paziente in crescita. � infatti dall�interazione tra Pediatra e Ortodontista, esempio di approccio plurispecialistico in et� evolutiva, che dipende la possibilit� di effettuare una efficace prevenzione in questo particolare aspetto.
Riassorbimento radicolare degli incisivi permanenti
Il riassorbimento radicolare a carico degli incisivi permanenti � una delle complicanze pi� temibili a seguito dell�ectopia del canino mascellare. Il meccanismo per cui questo processo si instaura e i fattori che in esso risultano coinvolti non sono ben chiari, ma il fatto che si verifichi in presenza di uno stretto contatto tra la radice dell�incisivo e la corona del canino suggerisce un ruolo fondamentale di tale contiguit� anatomica5. � un fenomeno rilevante in quanto presente nel 48% delle inclusioni dei canini mascellari6. Nel 60% dei casi esso � �severo� e si accompagna a interessamento della polpa dentale, quasi sempre nella totale assenza di sintomi6. Generalmente il riassorbimento � a carico degli incisivi laterali (80%), ma talvolta anche gli incisivi centrali sono colpiti (Figura 1).
Figura
1. Riassorbimento radicolare degli incisivi.
Nell'80% dei casi il riassorbimento � a carico degli incisivi laterali, ma anche gli incisivi centrali possono esserne colpiti.
Purtroppo tale condizione patologica viene spesso sottovalutata, in quanto non sempre individuabile tramite gli esami radiografici tradizionali (ortopantomografia, radiografia endorale), specie nelle fasi iniziali, per la sovrapposizione di immagini tra il canino e la radice dell�incisivo che rende difficoltosa la definizione dei dettagli1. Ne consegue che i convenzionali metodi di indagine radiografica sono in grado di evidenziare il riassorbimento radicolare solo nel 30% dei casi, mentre la tomografia computerizzata (TC) � l�unico esame in grado di definire l�esatta entit� del riassorbimento e di evidenziarne anche quadri iniziali7,9.
Limite all�impiego di tale metodica � stato per anni l�elevato dosaggio di radiazioni a cui il paziente era sottoposto, problematica di particolare interesse nel caso di soggetti in et� evolutiva.
Ad oggi, sebbene l�introduzione della tomografia computerizzata cone-beam (CBCT) abbia consentito di ridurre notevolmente l�esposizione radiogena, pur mantenendo una buona definizione dell�immagine, � ancora l�ortopantomografia a rappresentare l�esame radiografico di routine a cui sottoporre un paziente in crescita al fine di identificare la posizione intraossea del canino mascellare e monitorarne eventuali modifiche nel tempo, consentendo cos� il riconoscimento di situazioni a rischio alle quali sar� poi circoscritto l�utilizzo della CBCT7.
L�esecuzione di una ortopantomografia � indicata intorno agli 8-9 anni, et� a partire dalla quale si verifica la quota pi� significativa di movimento del canino10. Il rischio di riassorbimento aumenta del 50% quando la cuspide del canino sulla ortopantomografia appare sovrapposta alla radice dell�incisivo laterale e quando l�inclinazione del suo asse � eccessiva (> 25�) rispetto alla linea mediana2.
Diagnosi precoce
Data l�elevata incidenza del riassorbimento radicolare degli incisivi e la totale assenza di sintomi, la diagnosi precoce di ectopia del canino mascellare rappresenta un fattore critico nel minimizzare il danno e le complicanze a lungo termine.
Il riconoscimento precoce dei soggetti a rischio viene formulato sulla base di criteri clinici e radiografici, associati alla raccolta di informazioni di anamnesi familiare.
Un�anamnesi familiare positiva per l�inclusione dei canini mascellari costituisce un�indicazione a un approfondimento diagnostico, sia clinico che radiografico.
Il ripetersi di inclusioni palatali del canino mascellare nella stessa famiglia, la frequente concomitanza con altre anomalie dentarie (in particolare le agenesie e le anomalie di forma e di dimensione degli incisivi laterali mascellari) e la differente prevalenza nei due sessi suggeriscono infatti un ruolo della componente genetica nell�insorgenza di tale condizione patologica1.
Sono indicatori di rischio clinici: 1) l�assenza della bozza canina o l�identificazione della stessa in sede ectopica (Figura 2-a); 2) l�anomala inclinazione e/o rotazione di uno o entrambi gli incisivi laterali mascellari (Figura 3-b); 3) la persistenza del canino deciduo oltre i normali limiti della permuta, specie se monolaterale (Figura 2-c).
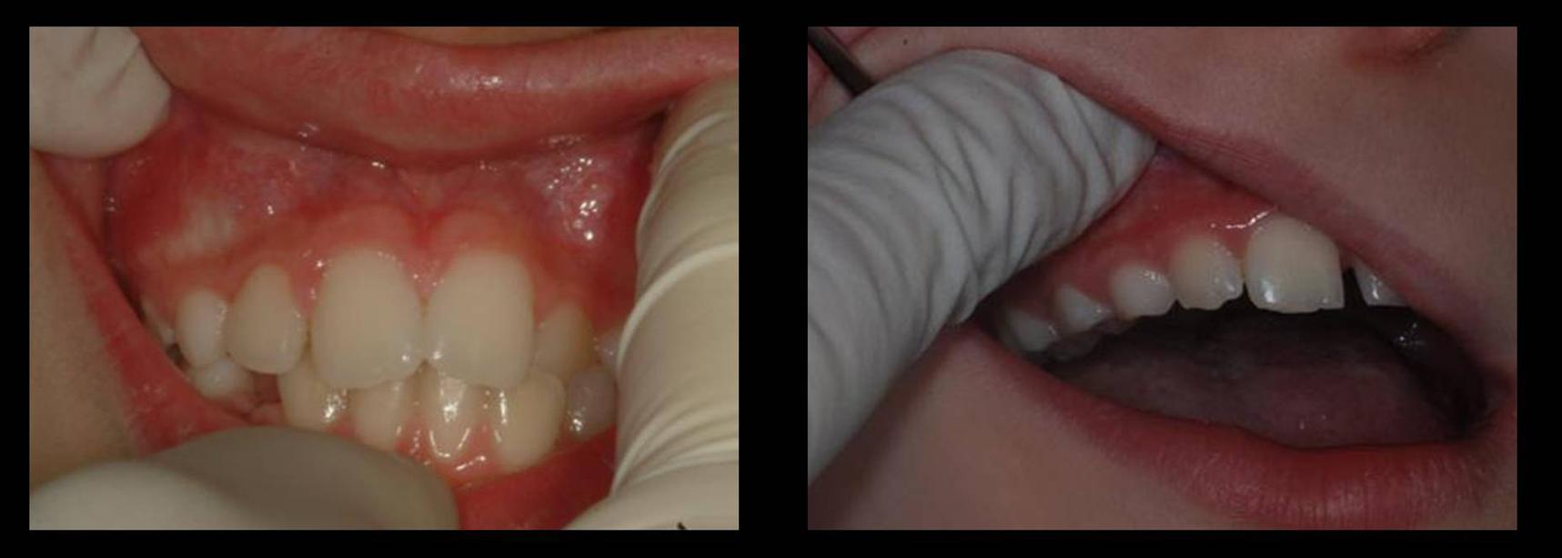
L�ispezione e la palpazione del fornice vestibolare, eseguita annualmente a partire dagli 8 anni di et�, costituisce parte integrante della visita ortodontica (Figura 3). L�identificazione della bozza canina in sede vestibolare e apicale al canino deciduo � indicativa di una posizione corretta del canino permanente in eruzione2. Se un canino � palpabile in una posizione anomala o addirittura non � avvertibile alla palpazione, si rende indispensabile un�indagine radiografica per la sua localizzazione (Figura 2-a).
Figura
2. Indicatori di rischio clinici. In presenza di uno o pi�
rischi clinici � indicata una valutazione radiografica.
Figura
3. Ispezione e palpazione del fornice vestibolare.
L'identificazione della bozza canina in sede vestibolare � importante per la valutazione della posizione intraossea del canino permanente in eruzione.
La posizione della corona dell�incisivo laterale adiacente pu� essere influenzata dalla localizzazione intraossea del canino permanente per il loro reciproco rapporto di contiguit� anatomica1,2. Una sua attenta valutazione � quindi fondamentale nella diagnosi clinica di ectopia del canino (Figura 2-b).
La valutazione della posizione intraossea del canino mascellare mediante ortopantomografia � indicata nel paziente in crescita intorno agli 8-9 anni, perch� � a partire da quell�et� che si verifica la quota pi� significativa del suo movimento di eruzione10. Tale valutazione si rende inoltre indispensabile ogni qualvolta venga rilevata clinicamente la presenza di uno o pi� indicatori di rischio di una posizione ectopica del canino.
Considerando la posizione del canino su ortopantomografia, la letteratura ortodontica indica i seguenti indicatori di rischio radiografici: 1) l�inclinazione eccessiva (> 25�) dell�asse lungo del canino rispetto alla linea mediana (Figura 4-a); 2) la sovrapposizione tra la corona del canino e la radice dell�incisivo laterale adiacente (Figura 4-b)2.
Figura
4. Indicatori di rischio
radiografici
Prevenzione
A fronte di una diagnosi precoce di ectopia del canino mascellare � indicato un approccio preventivo finalizzato a ristabilire il normale processo di eruzione, riducendo cos� sia il rischio di inclusione del canino che il rischio di riassorbimento radicolare degli incisivi.
In generale l�estrazione precoce dei denti decidui facilita l�eruzione spontanea e, talvolta, persino il raddrizzamento dell�asse dei corrispondenti elementi permanenti11,12. Ci� � stato attribuito alla presenza del dente deciduo, che costituirebbe una sorta di �ostacolo meccanico� all�eruzione del dente permanente, anche se il reale meccanismo alla base di tale processo non � stato ancora scientificamente chiarito.
Allo stesso modo nella letteratura ortodontica � stato da tempo dimostrato come, a seguito dell�estrazione dei canini decidui, si possa favorire la corretta eruzione dei canini permanenti in posizione ectopica13. La normalizzazione del percorso di eruzione � evidenziabile al follow-up radiografico a 6-12 mesi di distanza dall�estrazione come un raddrizzamento dell�asse lungo del canino e una sua minore sovrapposizione rispetto alla radice dell�incisivo laterale (Figura 5)2. Ci� non solo facilita la spontanea eruzione in arcata del canino, ma fa anche in modo che si riduca o venga meno lo stretto contatto tra corona del canino e radice dell�incisivo laterale, conditio sine qua non per l�insorgenza del riassorbimento radicolare. Tutto ci� si verifica senza l�applicazione di dispositivi ortodontici e senza richiedere la collaborazione attiva del paziente. Anche l�esito della procedura � indipendente dal grado di cooperazione del paziente.
Recentemente � inoltre emerso come l�estrazione contestuale di canino e primo molare decidui (Figura 5) possa aumentare l�efficacia di tale procedura preventiva14,15. L�aggiunta dell�estrazione del primo molare deciduo accelera infatti il processo di eruzione del primo premolare, creando cos� maggiore spazio per il raddrizzamento dell�asse del canino e, quindi, per la sua successiva eruzione. Maggiori sono gli effetti in termini di raddrizzamento dell�asse lungo del canino e di scomparsa di sovrapposizione rispetto alla radice dell�incisivo laterale evidenziabili al follow-up radiografico. La procedura risulta di semplice esecuzione e non pi� costosa in termini biologici rispetto alla sola estrazione del canino deciduo, grazie alla possibilit� di anestetizzare le due aree adiacenti ed eseguire le due estrazioni nella stessa seduta. Particolare attenzione va posta alla tempistica dell�estrazione, che non deve essere eseguita troppo precocemente, al fine di evitare una possibile migrazione dei denti adiacenti, con conseguente riduzione dello spazio in arcata. � consigliabile effettuare l�estrazione nel momento in cui il primo premolare � in via di eruzione e il canino inizia il suo movimento verso il piano occlusale, generalmente attorno agli 8-10 anni considerando l�estrema variabilit� individuale.
Figura
5. Modifiche a seguito dell'estrazione dei denti decidui.
Si noti il raddrizzamento dell'asse lungo del canino.
Spesso l�estrazione dei denti decidui pu� rappresentare per il piccolo paziente il primo approccio con il dentista. Per questa ragione � importante che il Pediatra e l�Ortodontista spieghino con chiarezza al bambino e ai genitori gli obiettivi e il rapporto costi/benefici di tale procedura.
Conclusioni
� importante che il Pediatra sia a conoscenza della possibilit� di prevenire l�inclusione dei canini mascellari permanenti e che, a tal fine, ritenga indicata l�esecuzione di una ortopantomografia fra gli 8 e i 9 anni, essendo a partire da quell�et� che si verifica la quota pi� significativa del movimento di eruzione del canino. � compito del Pediatra inviare dall�Ortodontista i piccoli pazienti a partire dagli 8 anni di et� per identificare situazioni a rischio, ma la diagnosi precoce di ectopia del canino � competenza dell�Ortodontista. Il Pediatra pu� cos� condividere con l�Ortodontista la diagnosi precoce di ectopia del canino per prevenire o minimizzare le possibili complicanze a essa associate.
In genere in ortodonzia si confonde il concetto di prevenzione (attuazione di provvedimenti atti a impedire che insorga una patologia) con il concetto di terapia precoce (precoce inizio della terapia per correggere una patologia gi� in atto), mentre, probabilmente, l�estrazione dei denti decidui rappresenta l�unico vero esempio di prevenzione. Tale procedura pu� effettivamente prevenire l�inclusione del canino mascellare permanente (altrimenti risolvibile solo a prezzo di un intervento chirurgico e di un trattamento ortodontico prolungato e complesso) senza l�applicazione di nessun tipo di dispositivo ortodontico ed evitando o limitando l�insorgenza di riassorbimenti radicolari a carico degli incisivi permanenti.
Bibliografia
- Crescini A. Trattamento chirurgico-ortodontico dei canini inclusi. Bologna: Martina Ed, 1998.
- Kurol J, Ericson S, Andreasen JO. The impacted maxillary canine. In: Andreasen JO, Petersen JK, Laskin DM, eds. Textbook and colour atlas of tooth impactions: diagnosis, treatment, prevention. Copenhagen: Munskgaard 1997:124-64.
- Baccetti T, Crescini A, Nieri M, Rotundo R, Pini Prato GP. Trattamento ortodontico dei canini mascellari impattati: valutazione degli elementiprognostici. Prog Orthod 2007;8:6-15.
- lessandri Bonetti G, Zanarini M, Danesi M, Incerti Parenti S, Gatto MR. Percentiles relative to maxillary permanent canines inclination by age: a radiologic study. Am J Orthod Dentofacial Orthop 2009;136:486.e1-486.e6.
- Ericson S, Kurol J. Resorption of maxillary lateral incisors caused by ectopic eruption of the canines. A clinical and radiographic analysis of predisposing factors. Am J Orthod Dentofacial Orthop 1988;94:503-13.
- Ericson S, Kurol J. Resorption of incisors after ectopic eruption of maxillary canines. A CT study. Angle Orthod 2000;70:415-423.
- Bjerklin K, Ericson S. How a computerized tomography examination changed the treatment plans of 80 children with retained and ectopically positioned maxillary canines. Angle Orthod 2006;76:43-51.
- Falahat B, Ericson S, D�Amico RM, Bjerklin K. Incisor root resorption due to ectopic maxillary canines. Angle Orthod 2008;78:778-85.
- Otto R.L. Early and unusual incisor resorption due to impacted maxillary canines. Am J Orthod Dentofacial Orthop 2003;124:446-9.
- Coulter J, Richardson A. Normal eruption of the maxillary canine quantified in threedimensions. Eur J Orthod 1997;19:171-83.
- Carr LM. The effect of extraction of deciduous molars on the eruption of bicuspid teeth. Aust Dent J 1963;8:130-6.
- Andreasen JO. Treatment strategies for eruption disturbances. In: Andreasen JO, Petersen JK, Laskin DM, eds. Textbook and colour atlas of tooth impactions: diagnosis, treatment, prevention. Copenhagen: Munskgaard 1997:67-8.
- Ericson S, Kurol J. Early treatment of palatally erupting maxillary canines by extraction of the primary can>ines. Eur J Orthod 1988;10:283-95.
- Alessandri Bonetti G, Zanarini M, Incerti Parenti S, Marini I, Gatto MR. Preventive treatment of ectopically erupting permanent maxillary canines by extraction of primary canines and first molars: a randomized clinical trial. Accettato, Am J Orthod Dentofacial Orthop.
- Alessandri Bonetti G, Incerti Parenti S, Marini I, Zanarini M. Double Vs single primary teeth extraction approach as prevention of permanent maxillary canines ectopic eruption. Accettato, Pediatric Dentistry.
