Crying infant?... non solo coliche!
1UOC Pediatria e Neonatologia, OORR Penisola Sorrentina, PO Vico Equense, Asl Napoli 3 Sud
2Clinica Ortopedica Pediatrica, AOUP Universit� Federico II, Napoli
3UOC Patologia Clinica, OORR Penisola Sorrentina, P. Vico Equense, Asl Napoli 3 Sud
Indirizzo per la corrispondenza: gfmazzarella@libero.it
Crying infant?... not only colic!
Key words
septic arthritis, infant, crying, colic
Abstract
A newborn younger than 30 days old shows a clinical picture very similar to that of colic: crying episodes, good general conditions, exclusive breastfeeding, normal weight growth, no temperature Despite normal laboratory values, a septic arthritis of the hip does clearly come out in a few days. A timely antibiotic therapy is administered and prolonged for 4 weeks to reduce the risk of crippling consequences. Careful consideration about uncommon disease should not be avoided, even when the diagnosis seems to be clear.
Riassunto
Una bambina a poco meno di 30 giorni di vita manifesta una sintomatologia associabile alle coliche, caratterizzata da pianto acuto episodico, irritabilit�, con condizioni generali e incremento ponderale soddisfacenti. Dopo una settimana, dato il peggioramento della sintomatologia, la piccola viene rivisitata dal pediatra che nota una strana postura dell�arto inferiore sinistro. Viene rapidamente diagnosticata un�Osteo-Artrite settica dell�anca e iniziato un adeguato trattamento.
Caso Clinico
Carmela (nome di fantasia), nata 25 giorni fa da una buona gravidanza conclusasi con parto operativo associato a fenomeni neonatali fisiologici, gi� da alcuni giorni non � pi� tranquilla e manifesta un pianto poco consolabile in alcune ore della giornata. Si alimenta con il solo latte della mamma, cresce bene. Me lo avevano detto che poteva avere le coliche�dice la mamma al pediatra il quale, convinto anche lui della diagnosi date le apparenti ottime condizioni della piccola, dopo un bilancio di salute, conferma il sospetto e prescrive i soliti rimedi, sperando che i successivi due mesi vadano via veloci. Dopo 4-5 giorni la madre, notando un peggioramento della sintomatologia (episodi di pianto, irritabilit�), pur in assenza di febbre, ricontatta il pediatra il quale telefonicamente prescrive una differente terapia per le coliche.
Ma dopo altri 3-4 giorni, durante i quali la sintomatologia aumentava progressivamente, grazie soprattutto all�insistenza dei genitori, la piccola viene ri-visitata attentamente dal pediatra il quale apprezza -alla sola ispezione- una postura �strana�: la bambina manteneva la coscia sinistra iper-flessa sul bacino e leggermente abdotta e ogni tentativo di estendere -seppure dolcemente- l�arto provocano un sensibile aumento del pianto. Il pediatra curante, dunque, invia immediatamente la piccola presso il nostro Pronto Soccorso.
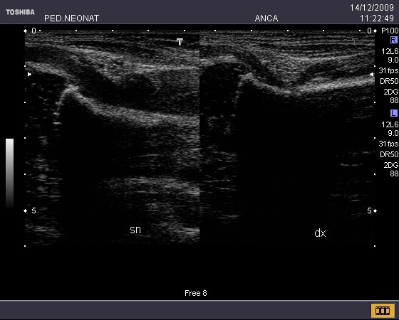
Al ricovero, appare evidente anche una tumefazione rosea ma non calda che interessa la parte prossimale dello stesso arto (Figura 1 e Figura 2). Tutto sommato, per�, la piccola non sembra avere un aspetto particolarmente sofferente: il suo colorito � roseo, non presenta febbre, i parametri vitali sono nella norma, si alimenta bene e non ha perso peso rispetto ai giorni precedenti. Viene eseguita una Radiografia del bacino che esclude lesioni ossee ma evidenzia uno �slargamento dello spazio articolare coxo-femorale a sinistra associato a una fine disomogeneit� strutturale dell�epifisi prossimale del femore omolateralmente�, quadro radiologico tipicamente associato a Osteo-Artrite Settica. Viene subito praticata un�ecografia delle anche dalla quale emerge la presenza di �versamento articolare a sinistra che distende la capsula, a ecostruttura disomogeneamente ipooecogena; la muscolatura periarticolare appare lievemente ipoecogena rispetto all�arto contro laterale; � inoltre presente ipervascolarit� al color doppler� (Figura 3).
Figura 1. Postura antalgica: arto inferiore flesso, abdotto ed extra-ruotato

Figura 2. Tumefazione visibile alla coscia sinistra

Figura 3. Ecografia comparativa in cui si apprezza un notevole versamento articolare a sn che distende la capsula, rispetto all�articolazione normale a dx

Il laboratorio d�urgenza mostra una parziale normalit� degli indici infiammatori associata a un certo grado di anemia e una lieve neutrofilia, ma in assenza di leucocitosi: GB 11.000/mm3 (L 35%, N 51%, M 10%), GR 3.130.000/mm3, Hb 9,8 gr/dl, procalcitonina 0,06 ng/ml, proteina C reattiva, 5,6 mg/l, VES 58. Emocoltura e urinocoltura eseguite, anch�esse all�ingresso, daranno esito negativo.
Nell�ipotesi di un�osteo-artrite settica, consapevoli della importanza di una terapia tanto tempestiva quanto aggressiva per ridurre al minimo il rischio di gravi esiti a distanza e considerata la possibile etiologia a questa et� (S. aureus, Streptococco di gruppo B, E. coli, Haemophylus influentiae ecc.), viene programmata atrocentesi (praticata 24 ore dopo) (Figura 4) e immediatamente iniziata terapia antibiotica e.v.: teicoplanina 16 mg/kg/die, ampicillina-sulbactam 150 mg/kg/die, netilmicina 7 mg/kg/die fino all�esito della coltura del liquido articolare (dopo 10 gg, sterile); successivamente la terapia � proseguita e.v. soltanto con teicoplanina e netilmicina per un totale di 4 settimane1,2.
Figura 4. Artrocentesi

L�ipotesi diagnostica viene confermata dalla natura dell�essudato estratto dall�articolazione: WBC 59.000/ml, neutrofili 88%; la coltura d� esito negativo, evento frequente associato spesso alla precedente somministrazione di antibiotici3. Durante la 2a giornata di ricovero compariva febbre (38.5�c per 12 ore). Gi� dopo 3-4 giorni di terapia la bambina mostrava un miglioramento della sintomatologia: riduzione degli episodi di pianto e della irritabilit�, possibilit� di mobilizzarle delicatamente l�anca senza evocare pianto acuto; relativamente al monitoraggio strumentale, un costante controllo ecografico evidenziava la riduzione del versamento articolare, escludendo cos� la necessit� di una nuova artrocentesi.
Dopo 2 settimane di trattamento antibiotico la sintomatologia era completamente scomparsa inclusa la tumefazione cutanea (Figura 5). La terapia � poi proseguita per 4 settimane in totale per via e.v. e, successivamente, per una settimana con cefradina a 50 mg/kg/die in 2 dosi.
Figura 5. Guarigione clinica

Discussione
Questo caso fa seriamente riflettere su una situazione che non raramente impensierisce il pediatra: la presenza di una sintomatologia frequente e di scarso impatto sulla salute del bambino, ovvero quella associata alle �coliche�, la quale pu� nascondere un evento tanto raro quanto grave3. Abitualmente, il benessere generale del bambino, un incremento ponderale costante, l�assenza di febbre e la mancanza di sintomi inusuali ed evidenti tranquillizzano il pediatra, come certamente � anche giusto che sia, ma... mai abbassare la guardia. Sta di fatto che il piccolo lattante apirettico il quale, in assenza segni clinici evidenti, mostri irritabilit� ed episodi ripetuti di pianto, � un evento non infrequente: su 100 di tali pazienti condotti al Pronto Soccorso, dopo controllo clinico e approfondimento diagnostico ematochimico e strumentale, almeno 5 possono presentare una patologia importante (Tabella I)3. Le principali caratteristiche della malattia sono riportate nella Tabella II.
Tabella I. Diagnosi in lattanti giunti in Pronto Soccorso per pianto, in assenza di febbre
Patologia |
n� |
% |
Pianto acuto (causa non dimostrabile) |
65 |
27,3 |
Infezione virale |
49 |
20,6 |
Reflusso Gastro-Esofageo |
30 |
12,6 |
Coliche |
14 |
5,9 |
Gastroenterite |
12 |
5,0 |
Coliche atipiche |
11 |
4,6 |
Stipsi |
11 |
4,6 |
Bronchiolite |
8 |
3,4 |
Problemi di alimentazione |
7 |
2,9 |
Otite media |
7 |
2,9 |
Ernia inguinale riducibile |
3 |
1,3 |
Effetto indesiderato associato a vaccinazione |
3 |
1,3 |
Frattura della clavicola |
2 |
0,8 |
Infezione delle vie urinarie |
2 |
0,8 |
Altro* |
14 |
5,9 |
Totale |
238 |
100,0 |
*include 1 caso per ciascuna delle seguenti patologie: cellulite, dermatite, meteorismo, S. di West, nefrolitiasi, candidosi, pronazione dolorosa del gomito, trauma dito del piede, atrofia muscolare spinale tipo 1, batteriemia, calcolosi della colecisti, invaginazione intestinale, ematoma epidurale, leucemia linfoblastica acuta (da ref 3)
Nel nostro caso la tempestivit� dell�inizio della terapia, ancor prima della certezza di laboratorio della diagnosi, � stata di fondamentale importanza per ridurre il pi� possibile le probabilit� di esiti invalidanti (coinvolgimento dei nuclei di accrescimento, accorciamento dell�arto, osteomielite).
Tabella II. Osteo-artrite settica dell�anca nel lattante. Caratteristiche principali
Incidenza: sconosciuta, comunque rara Sintomatologia tipica: irritabilit�, immobilit� dell�articolazione, arto flesso e abdotto, tumefazione dolorosa, spesso febbre Gravit� e prognosi: frequenti esiti invalidanti per danni a carico della cartilagine articolare e della cartilagine metafisaria di accrescimento Iter diagnostico specifico: rx, ecografia, esame e coltura dell�essudato aspirato dall�articolazione Trattamento: aggressivo e tempestivo, di lunga durata (4 settimane), con associazioni di antibiotici. Drenaggio chirurgico |
Cosa abbiamo imparato
Ciascuno di noi � costantemente esposto al rischio di ipotizzare, con maggior probabilit�, le patologie che meglio conosce perch� pi� frequentemente incontrate nella propria quotidianit�: considerare come possibili malattie pi� rare, sebbene possa sembrare �inopportuno� e raramente portare a risultati concreti, � certamente utile e, tra l�altro, contribuisce a mantenerci �in esercizio�.
I genitori vanno comunque ascoltati.
La tempestivit� dell�azione ripaga, anche se talvolta pu� esporre al rischio di un over-treatment: dipende, come sempre, dal rapporto costo-beneficio dell�intervento alla luce delle ipotesi diagnostiche e dei possibili esiti sulla salute di una diagnosi tardiva.
Bibliografia
Gutierrez K. Bone and joint infections in children. Pediatr Clin North Am 2005;52:779-94.
Schwentker EP. Pediatric Septic Arthritis Surgery, Pediatrics. http://emedicine.medscape.com/article/1259337-overview (Ultimo accesso: aprile 2010).
Freedman SB, Al-Harthy N, Thull-Freedman J. The crying infant: diagnostic testing and frequency of serious underlying disease. Pediatrics 2009;123:841�8.
