Grave deficit di vitamina B12 in una lattante
1SC di Pediatria, PO di San Vito al Tagliamento (Pordenone), ASS 6 Friuli Occidentale
2Neuropsichiatria Infantile; 3Radiologia a indirizzo pediatrico, IRCCS �Burlo Garofolo�, Trieste
Indirizzo per corrispondenza: franco.colonna@ass6.sanita.fvg.it
Severe vitamin B12 deficiency in a breast-fed child
Key words
Vitamin B12, Macrocytic anemia, Psychomotor impairment
Abstract
An 11-month-old female was admitted to our hospital for anorexia, pallor and developmental regression. She had been exclusively breast-fed. Mother with thyroiditis, non vegetarian. Hemogram in the baby revealed macrocytic anaemia (8.4 g/dl Hb, MCV 99); serum folate level was normal, cobalamine level not measurable. Subsequently, cobalamine deficiency and autoimmune gastritis were diagnosed in her mother. Cerebral NMR revealed fronto-temporal subatrophy. Intramuscular cobalamine injections in daily dose of 1,000 �g were given. After few days of treatment, involuntary movements appeared (controlled by clonazepam). Later, favourable clinical course and slow but progressive improvement of neurological development were observed. Seven months later, serum haemoglobin and cobalamine level were normal and cerebral NMR almost completely normalized. We remark the importance of macrocytosis in the diagnosis of cobalamine deficiency.
Riassunto
Riportiamo il caso di una lattante di 11 mesi con anoressia, pallore, regressione psicomotoria ingravescenti e senza chiare cause, allattata da madre in dieta libera e affetta da tiroidite. Presentava anemia macrocitica (Hb 8,4 g/dl, MCV 99) con normali concentrazioni sieriche di folati ma vitamina B12 indosabile e subatrofia cerebrale fronto-temporale alla RMN. Alla madre diagnosticammo poi deficit subclinico di B12 e gastrite autoimmune. Bimba trattata con 1000 mcg/die/im di B12. Dopo alcuni giorni manifest� movimenti involontari similconvulsivi. Successivo decorso favorevole con normalizzazione di emocromo, valori sierici di B12, crescita. Pi� lenti ma costanti i progressi psicomotori fino a normalizzazione completa del quadro neurologico e della RMN.
Ribadiamo la rilevanza della macrocitosi come spia di possibile deficit di B12, che � fondamentale anche per lo sviluppo neurologico.
Caso clinico
Una madre allarmata giunge in ospedale con la figlia di 11 mesi, riferendo che la piccola non era pi� la stessa: si alimentava poco, era pallida e sempre pi� stanca e sonnolenta.
Partiamo dall�inizio. Nata a termine di gravidanza fisiologica con peso appropriato, da sempre in allattamento materno esclusivo anche per rifiuto dello svezzamento da parte della bimba, mai supplementata con ferro o vitamine. Crescita staturo-ponderale regolare, nel primo semestre sul 90� centile, poi rallentamento e infine arresto della crescita dal nono mese. Negate malattie acute e sintomi gastrointestinali. Data l�assenza di sintomi acuti i controlli medici di routine si erano limitati al primo semestre di vita e risultavano nella norma.
La madre descriveva la figlia come �da sempre molto buona e che dormiva molto�, ora per� era preoccupata perch� nelle ultime settimane non sorrideva mai e piangeva sempre meno. Approfondendo l�anamnesi le tappe dello sviluppo psicomotorio erano state nei limiti di norma fino al settimo mese circa, poi la piccola avrebbe gradualmente ridotto le ore di veglia, la motricit� spontanea e l�interazione. Non aveva mai gattonato e aveva una produzione verbale minima, limitata a sempre pi� rari vocalizzi.
La madre ha 38 anni, in terapia con levotiroxina per una tiroidite di Hashimoto e con riferita depressione post-partum. Ha un�altra figlia e altri familiari in buone condizioni di salute.
Alla nostra prima visita, a 11 mesi: 9430 g (50-75� centile), statura 71 cm (25-50�), c. cranica 46 cm (90�). Marcato pallore di cute e mucose; nulla di significativo a cuore, torace e addome, in particolare non epatosplenomegalia. Psicomotricit� gravemente patologica: ipotonica, iporeattiva, amimica, quasi assente l�aggancio e l�inseguimento visivo. Non possibile il mantenimento della posizione seduta in autonomia. Non evidenti deficit di lato.
Ai primi accertamenti: riscontro di anemia con macrocitosi (GR 2.420.000/mmc, Hb 8,4 g/dl, MCV 99, MCH 35, MCHC 35, RDW 23%, reticolociti 1%) e aumento di bilirubina totale (1,9 mg/dL), GOT (295 U/L), GPT (87 U/L), LDH (891 U/L), ferritinemia (179 ng/ml) e sideremia (135 �g/dl). Normali gli altri esami di base tra cui emogasanalisi, ammoniemia, elettroliti, calcemia, fosforemia, ALP, CPK, indici di funzionalit� renale, di flogosi e tiroidei. Normali anche urine e feci (negative per sangue, steatorrea e calprotectina).
Il dato che attir� subito la nostra attenzione fu l�anemia macrocitica, davvero inusuale in un lattante, dato che nel secondo semestre di vita l�MCV � normalmente compreso entro 70-75 fl.
Indagammo pertanto le due principali cause di macrocitosi: le concentrazioni sieriche di acido folico erano normali (14 ng/ml, VN: 3-34) mentre quelle di vitamina B12 erano indosabili e inferiori a 83 pg/ml (VN 180-1100).
Eravamo quindi di fronte a una lattante con deficit di vitamina B12 sintomatico, con anemia macrocitica e sintomi neurologici ingravescenti. Quale la possibile causa?
Dall�anamnesi nutrizionale emergevano due elementi significativi: il divezzamento non era stato accettato dalla bimba, che era tuttora in allattamento esclusivo al seno, e la madre seguiva da sempre un�alimentazione varia senza restrizioni, in particolare non vegetariana.
Gli accertamenti su di lei dimostrarono una vitamina B12 sierica inferiore ai limiti di norma (161 pg/ml, VN 180-1100) e la normalit� di emocromo (Hb 12,5 g/dL, MCV 83), acido folico e degli anticorpi antitransglutaminasi. Un ulteriore approfondimento port� alla luce una sottostante gastrite atrofica con presenza di anticorpi anti fattore intrinseco: patologia fino allora misconosciuta e che evidentemente era la causa del malassorbimento materno di vitamina B12. Da allora la donna fu trattata periodicamente con cobalamina im per prevenire una franca �anemia perniciosa�.
A questo punto la diagnosi era chiara: la lattante presentava una carenza di vitamina B12 da insufficiente apporto, essendo allattata esclusivamente al seno da madre con deficit subclinico di B12 per una sottostante gastrite autoimmune.
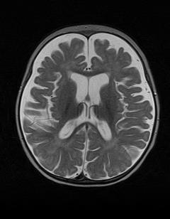
Completammo gli accertamenti della bimba con una RMN encefalica, risultata nettamente patologica (Figura 1).
Iniziammo terapia con 1000 �g/die/im di vitamina B12. Dopo la quinta dose, raggiunti valori sierici normali di B12, si verificarono movimenti involontari, tremori, mioclonie parcellari e persistenti nel sonno, pi� evidenti all�arto superiore di sinistra, a rima orale e lingua. L�EEG evidenziava un rallentamento diffuso compatibile con encefalopatia. I movimenti involontari furono ben controllati con la sospensione transitoria della somministrazione di B12 e alcuni giorni di terapia con clonazepam e si risolsero definitivamente entro poche settimane.
Il decorso clinico fu poi favorevole, con rapida e definitiva normalizzazione di emocromo, reticolociti, vitamina B12 e enzimi epatici. L�aumento iniziale di LDH, GOT e bilirubinemia era evidentemente secondario alla eritropoiesi inefficace e alla emolisi tipiche del deficit di B12.
Ci fu una rapida ripresa di appetito e crescita (1 kg in un mese!) e la bimba accett� finalmente lo svezzamento. Pi� lento ma continuo il miglioramento di espressivit�, tono e motricit� spontanea.
La piccola non ebbe pi� sintomi neurologici acuti e gli ulteriori accertamenti strumentali, tra cui EEG, potenziali evocati visivi e uditivi, risultarono normali.
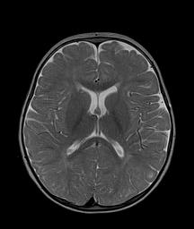
La RMN encefalo di controllo, ripetuta dopo sette mesi, evidenzi� un nettissimo e perfino insperato miglioramento (Figura 2). Attualmente, a 30 mesi: crescita, appetito, umore, relazione e esame neurologico sono praticamente normali.

Figura 1. RMN alla diagnosi: ampliamento degli spazi liquorali periencefalici fronto-temporali e delle cavit� ventricolari di significato atrofico, lieve atrofia del verme cerebellare, corpo calloso modicamente assottigliato, ipofisi di dimensioni ridotte e mielinizzazione ritardata in rapporto all� et� e corrispondente a circa 6 mesi.

Figura 2. RMN dopo 7 mesi dalla terapia con cobalamina. Non pi� apprezzabile l�ampliamento degli spazi subaracnoidei e ventricolari; sfumata iperintensit� T2 a livello della sostanza bianca periventricolare occipitale bilaterale compatibile in prima ipotesi con aree di lieve ritardo nella maturazione mielinica.
Discussione
La carenza di vitamina B12 (cobalamina) nel primo anno di vita � rara. Essa � essenziale per vari processi metabolici che interessano primariamente il sistema ematopoietico e nervoso. Le manifestazioni carenziali classiche sono infatti rappresentate dalla associazione di anemia megaloblastica (talora coesistono leucopenia e piastrinopenia); inappetenza, vomiti e arresto della crescita; neuro-mielo-encefalopatia progressiva che in et� pediatrica si manifesta con arresto e poi regressione dello sviluppo, astenia, ipotonia, atassia, movimenti involontari, poi quadri sempre pi� gravi fino al coma; alterazioni del sistema nervoso centrale caratterizzate da atrofia corticale specie fronto-temporale e ritardo della mielinizzazione.
Quasi sempre la concentrazione sierica di B12 � molto bassa tranne che in alcune delle comunque rarissime malattie metaboliche con deficit di una delle proteine implicate nell�assorbimento intestinale, nel trasporto o nel metabolismo intracellulare della cobalamina: argomento complesso che esula dagli scopi di questo articolo. La ricorrenza familiare di un difetto specifico nell�assorbimento della vitamina B12 associato a proteinuria � infine tipico della sindrome di Imerslund1.
L�assorbimento della B12 dipende dalla integrit� anatomofunzionale dello stomaco che produce il �fattore intrinseco�, glicoproteina necessaria al suo assorbimento nell�ileo terminale. Nota � la gastrite autoimmune che provoca, tipicamente nell�adulto, deficit di fattore intrinseco, malassorbimento e infine deficit sintomatico della B12 con conseguente anemia perniciosa.
Ci� � con tutta evidenza accaduto nel nostro caso che, a posteriori, ci ha portati a far diagnosi di gastrite e deficit di fattore intrinseco nella madre che fino a allora ignorava il problema2.
Si noti che la signora era affetta da tiroidite di Hashimoto, patologia non rara e che secondo un recente studio nel 4% dei casi pu� associarsi a gastrite autoimmune3.
Altre patologie gastrointestinali potenzialmente causa di deficit di B12 sono intuitivamente rappresentate da gastrectomia, bypass o ampie resezioni dell�ileo terminale, gravi alterazioni della mucosa intestinale come in corso di malattie infiammatorie croniche o celiachia4.
A parte le suddette evenienze, la quota principale dei deficit di B12 � ascrivibile a insufficienti apporti di cibi di origine animale (latte, carne, pesce, uova) che sono la fonte primaria di B12, come ad esempio in caso di diete vegetariane molto restrittive (vegan e simili) o di grave e prolungata malnutrizione5-8.
Esiste una correlazione positiva tra concentrazioni sieriche materne di B12 in gravidanza e nel figlio a sei mesi9. I nati da donne ben nutrite ricevono scorte sufficienti di B12 per via transplacentare, poi tramite il latte materno o artificiale e con qualsiasi altro cibo di origine animale dopo lo svezzamento. Una madre carente di B12 fornir� invece insufficienti apporti di B12 sia al feto che poi al figlio in caso di allattamento al seno. Si noti inoltre che la B12 � assente nella maggior parte dei multivitaminici orali per la prima infanzia.
L�anemia macrocitica -rarissima in pediatria- ha essenzialmente due cause possibili e indistinguibili sulla base del solo emocromo: il deficit di folati o di B12. Il secondo � per� l�unico ad associarsi anche a sintomi neurologici.
Il nostro caso ci pare istruttivo perch� ricorda che:
Una macrocitosi con MCV 98 fl -come nella nostra paziente- � nei limiti alti di normalit� per un adulto e come tale pu� non essere segnalata come patologica dai referti computerizzati dell�emocromo ma � sicuramente anomala nel secondo semestre di vita, periodo in cui l�MCV � normalmente compreso entro 70-75 fl.
Una macrocitosi associata a sintomi neurologici � quasi patognomonica per deficit di B12.
Un ritardo psicomotorio ingravescente anche con regressione dalle precedenti acquisizioni e variamente associato a sintomi neuromotori pu� essere dovuto a deficit di B12, essenziale per lo sviluppo del sistema nervoso. � ovvia l�opportunit� di diagnosi e terapia precoce.
Un�atrofia corticale specie fronto-temporale con ritardo della mielinizzazione dell�encefalo pu� essere secondaria a deficit di B12 e reversibile, purch� tempestivamente riconosciuta10-12. Terapie pi� tardive possono invece associarsi a esiti permanenti soprattutto sul versante cognitivo.
Nel deficit di B12 � descritta la possibile insorgenza di movimenti involontari e/o di crisi epilettiche sia prima che durante la correzione del deficit; non � noto esattamente il meccanismo ma si ipotizza che ci� avvenga per una �riattivazione� di alcune vie metaboliche cerebrali13-17. Le crisi epilettiche a distanza delle terapia fanno invece parte degli esiti neurologici non pi� reversibili.
Conflitto di interesse: nessuno.
Messaggi chiave (cosa abbiamo imparato) In un lattante con sintomi neurologici e regressione dello sviluppo psicomotorio pensare anche a un possibile deficit di vitamina B12. La corretta e completa lettura dell�emocromo (anemia macrocitica!?) risulta gi� molto indicativa della diagnosi, da confermare con il dosaggio sierico della vitamina B12. In un lattante con sospetta o accertata carenza di vitamina B12 � opportuno indagare anche la madre per individuare un possibile deficit subclinico materno. � essenziale riconoscere tempestivamente il deficit di vitamina B12 perch� la precoce correzione dello stesso pu� permettere la risoluzione della sintomatologia senza esiti neurologici a distanza. |
Bibliografia
1. Rossetti C, Mattei V, Sebastiani L. Due fratelli e un�anemia. Medico e Bambino 2002;21:389.
2. Banka S, Roberts R, Plews D. Early diagnosis and treatment of cobalamin deficiency of infancy owing to occult maternal pernicious anemia. J Pediatr Hematol Oncol 2010;32:319-22.
3. Morel S, Georges A, Bordenave L, et al. Tyroid and gastric autoimmune diseases. Ann Endocrinol 2009;70:55-8
4. Celiker MY, Chawla A. Congenital B12 deficiency following maternal gastric bypass. J Perinatol 2009;29:640-2
5. Zengin E, Sarper N, Caki Kilic S. Clinical manifestations of infants with nutritional vitamin B12 deficiency due to maternal dietary deficiency. Acta Pediatr 2009;98:98-102.
6. Mariani A, Chalies S, Jeziorski E, et al. Consequences of exclusive breast-feeding in vegan mother newborn-case report. Arch Pediatr 2009;16:1461-3.
7. Mathey C, Di Marco JN, Poujol A, et al. Failure to thrive and psychomotor regression revealing vitamin B12 deficiency in 3 infants. Arch Pediatr 2007;14:467-71.
8. Lombardi F, Quitadamo AL, Pelizzoni A, et al. Quando le vitamine servono davvero. Medico e Bambino pagine elettroniche 2010;13(2) http://www.medicoebambino.com/?id=IND1002_20.html.
9. Hay G, Clausen T, Whitelaw A, et al. Maternal folate and cobalamin status predicts vitamin status in newborns and 6-month-old infants. J Nutr 2010;140:557-64.
10. Agrawal S, Nathani S. Neuro-regression in vitamin b12 deficiency. BMJ Case Reports 2009 (doi:101136/bcr.06.2008.0235).
11. Avci Z, Turul T. Aysun S, et al. Involuntary movements and magnetic resonance imaging findings in infantile cobalamine deficiency. Pediatrics 2003;112:684-6.
12. Von Shenck U, Bender-Gotze C, Koletzko B. Persistence of neurological damage induced by dietary vitamin B12 deficiency in infancy. Arch Dis Child 1997;77:137-9.
13. Ozer EA, Turker M, Bakiler AR, et al. Involuntary movements in infantile cobalamin deficiency appearing after treatment. Pediatr Neurol 2001;25:81-3.
14. Benbir G, Usysal S, Saltik S, et al. Seizures during treatment of vitamin B12 deficiency. Seizure 2007;16:69-73.
15. Ozdemir O, Baytan B, Gunes AM. Involuntary movements during vitamin B12 treatment. J Child Neurol 2010;25:227-30.
16. Chalouhi C, Fasch S, Milhomme MC, et al. Neurological consequences of vitamin B12 deficiency and its treatment. Pediatr Emerg Care 2008;24:538-41.
17. Incecick F, Herguner MO, Altunbasak S. Neurologic findings of nutritional vitamin B12 deficiency in children. Turk J Pediatr 2010;52:17-2.
