Interessamento cardiaco nella sindrome di Churg-Strauss: un caso clinico emblematico
1Clinica Pediatrica, IRCCS �Burlo Garofolo�, Universit� di Trieste
2UOC di Pediatria, PO �Sant�Antonio�, San Daniele del Friuli (Udine)
3Servizio di Cardiologia, IRCCS �Burlo Garofolo�, Universit� di Trieste
Indirizzo per corrispondenza: alessandro.amaddeo@gmail.com
Cardiac involvement in Churg-Strauss syndrome. An emblematic clinic case
Key words
Churg-Strauss syndrome, Miocardial involvement, Clinic case
Abstract
We report the case of a 15-year-old boy with asthenia, hypereosinophilia, a macular-papular rash in his hands and weight loss in the previous two months. Spirometry showed severe bronchial obstruction and transthoracic echocardiography revealed a peri-miocardial involvement. Churg-Strauss syndrome was diagnosed and appropriate treatment was initiated. Cardiac involvement it is not included in the official diagnostic criteria of CSS despite it is common (up to 60% of cases) and represents the major cause of mortality.
Riassunto
Riportiamo il caso di un ragazzo di 15 anni con astenia, ipereosinofilia rash maculo-papulare a entrambe le mani e perdita di peso negli ultimi due mesi. La spirometria ha dimostrato un quadro di asma severo e l�ecocardiografia ha messo in evidenza un coinvolgimento peri-miocardico. � stata quindi posta diagnosi di sindrome di Churg-Strauss (CSS). Nonostante l�interessamento cardiaco non sia incluso nei criteri ufficiali di CSS rappresenta una complicanza frequente e potenzialmente severa.
Davide (nome di fantasia) � un ragazzo di 15 anni giunto alla nostra osservazione per un quadro insorto circa due mesi prima e caratterizzato da astenia e inappetenza ingravescenti con una marcata perdita di peso.
Lamentava frequenti mialgie e la presenza di incostanti parestesie agli arti inferiori soprattutto a destra. Era stata notata inoltre la comparsa di maculo-papule pruriginose, leggermente rilevate e a scomparsa spontanea al palmo delle mani. Per questo motivo erano stati eseguiti esami ematici con riscontro di una leucocitosi eosinofila (GB 19.530/mm3 con il 44% di eosinofili), e aumento marcato degli indici di flogosi: VES 63, IgG 1938.
In anamnesi era presente un asma bronchiale, caratterizzato durante l�infanzia, da ripetuti episodi di bronchiti asmatiformi e con cutipositivit� unicamente per graminacee. In passato Davide aveva presentato frequenti episodi di broncospasmo per il quale utilizzava broncodilatatore a breve emivita. Al momento del ricovero eseguiva terapia con salmeterolo/fluticasone 50/250, ma senza regolarit� (al bisogno); l�asma veniva inoltre riferito come migliorato nell�ultimo periodo. All�ingresso in reparto discrete condizioni generali, peso 60.200 g, apiretico, SpO2 95% in aria ambiente, FC 104, PA 133/85. Erano presenti piccole papule violacee al palmo delle mani, al torace sparsi sibili espiratori, marcata ipotrofia muscolare soprattutto agli arti inferiori con riflessi osteotendineii presenti e simmetrici. Gli esami ematici confermavano un�ipereosinofilia (Eos 12.200/mm3), con aumento degli indici di flogosi (PCR 7,86 mg/dl, VES 86 mm/h) e dei livelli di IgE (2478 UI/ml).
In considerazione del quadro caratterizzato dalla presenza di un�ipereosinofilia accompagnata da marcata astenia con calo ponderale abbiamo ritenuto opportuno escludere in prima istanza una malattia linfoproliferativa. All�esame obiettivo non era presente linfomegalia e inoltre la radiografia del torace e l�ecografia addominale hanno negato la presenza di masse toraciche o addominali.
Per escludere una parassitosi sono stati eseguiti una ricerca per parassiti sulle feci e la sierologia per Toxocara, Strongyloides, Trichinella, ascaridi risultate negative.
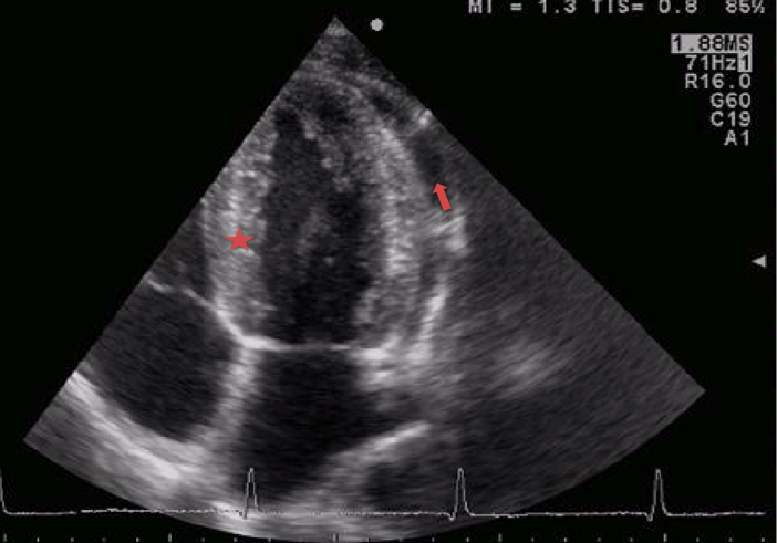
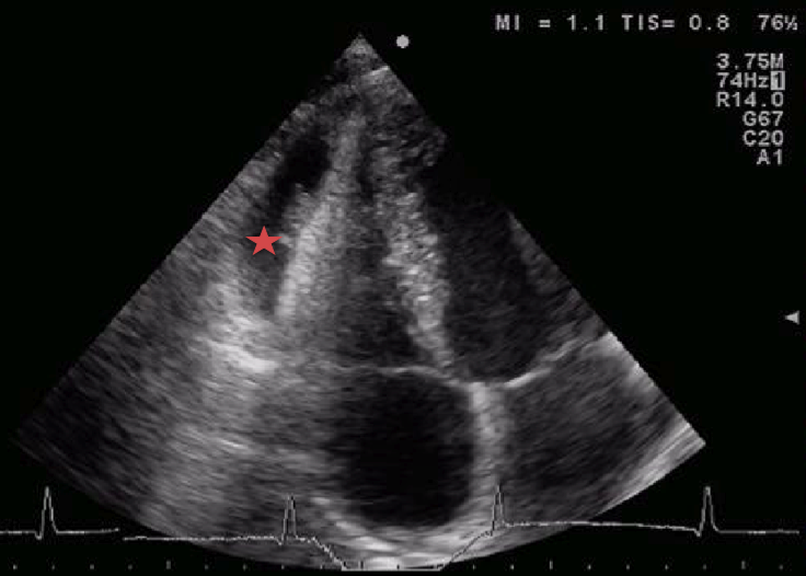
L�ecocardiografia ha messo in evidenza un versamento pericardico non rilevante emodinamicamente e una peri-miocardite (Figura 1 e Figura 2).
Le spirometrie eseguite hanno dimostrato un quadro di importante ostruzione bronchiale (FEV1 46%) solo parzialmente reversibile con la terapia con salbutamolo (FEV1 65% del predetto post Beta2).
Vista la necessit� di escludere la presenza di un�infiltrazione eosinofila nell�ambito di una malattia ipereosinofila primitiva, abbiamo deciso di eseguire un aspirato midollare e una biopsia cutanea. L�aspirato midollare non ha evidenziato blasti n� cellularit� clonale. La ricerca del gene di fusione FIP LI-PDGFRA, associato alle presenza di ipereosinofilia primitiva, � risultata negativa. � stata eseguita una biopsia cutanea a carico di cute integra e a livello di una piccola papula violacea sul palmo della mano. Il quadro istologico � risultato compatibile con una vasculite eosinofila per la presenza di una flogosi eosinofila perivascolare in entrambi i campioni esaminati. L�elettromiografia, richiesta per la presenza di parestesie agli arti inferiori, ha dimostrato un quadro di polineuropatia agli arti inferiori.
In considerazione della presenza di un asma mal controllato e grave, associato a ipereosinofilia con eosinofili extravascolari, di un interessamento miocardico e vista la negativit� dell�aspirato midollare abbiamo confermato il sospetto diagnostico di sindrome di Churg-Strauss. Per tale motivo Davide ha iniziato la terapia con metilprednisolone ev al dosaggio di 60 mg/die e enalapril 2,5 mg/die.
Il beneficio clinico � stato molto rapido, con normalizzazione della pressione arteriosa e del quadro spirometrico; al controllo degli esami ematici, eseguito dopo 3 giorni di terapia, si � notata una normalizzazione dell�eosinofilia GB 11.450 (Eos 120/mm3).
Il controllo cardiologico a pochi giorni dall�inizio della terapia ha dimostrato una normalizzazione della disfunzione ventricolare con riduzione del versamento pericardico.
Discussione
La diagnosi di sindrome di Churg-Strauss (CSS) si basa sulla presenza di almeno 4 dei 6 criteri proposti dalla American College of Rheumatology (ACR)1,2 (Tabella I).
Classicamente la diagnosi di CSS deve essere posta dopo l�esclusione di altre cause di ipereosinofilia, sia secondarie (come la parassitosi intestinale), sia primitive (sindromi ipereosinofiliche).
In particolare una volte esclusa la parassitosi rimangono sostanzialmente due importanti diagnosi differenziali: la vasculite di Churg-Strauss o una sindrome ipereosinofila. Entrambe si accompagnano a una marcata eosinofilia con sintomatologia sistemica. La diagnosi differenziale tra queste due forme si basa per� su alcuni elementi caratteristici (Tabella II).
A favore dell�ipotesi di sindrome di Churg-Strauss vi erano al momento del ricovero la presenza di una storia di asma e la verosimile presenza di una mononeuropatia (parestesie e ipotrofia muscolare alle gambe). La diagnosi � quindi stata confermata tramite l�esecuzione dell�aspirato midollare, che ha permesso di escludere un ipereosinofilia primitiva, e grazie al riscontro bioptico di infiltrati eosinofili perivascolari.
Il coinvolgimento cardiaco invece non rientra tra i criteri internazionali per la definizione di CSS; tale manifestazione di malattia � in realt� molto frequente (fino al 60% dei casi in alcune casistiche4) e rappresenta la maggior causa di mortalit� (48% delle morti per CSS). Nel nostro caso il coinvolgimento cardiaco, con pericardite e miocardite come descritto in letteratura, ha rappresentato l�elemento fondamentale per confermare la diagnosi. Alcuni Autori4, per�, sottolineano come non esista ancora una tecnica standardizzata per verificare l�interessamento cardiaco e, inoltre alcune casistiche enfatizzano la difficolt� ad attribuire un significato prognostico preciso alle anomalie osservate5.
Un altro aspetto importante del caso descritto � la negativit� degli anticorpi p-ANCA, associati al 40% delle forme di CSS. � stato da tempo dimostrato che l�assenza dei p-ANCA caratterizza un fenotipo di CSS nel quale vengono a mancare alcune caratteristiche di malattia come gli infiltrati polmonari e l�interessamento renale. Di contro nei casi ANCA negativi si osserva con maggior frequenza un interessamento cardiaco e soprattutto la presenza di sintomi sistemici all�esordio6. Alla luce dell�esperienza di questo caso e visto i dati della letteratura riteniamo che il coinvolgimento miocardico dovrebbe costituire uno dei criteri per la diagnosi di CSS.
Da notare inoltre come nel caso proposto l�asma non fosse riferito come un sintomo importante a fronte di un rilievo di bronco-ostruzione moderata-severa. � probabile che la sintomatologia sistemica molto espressa (marcata astenia con ipotrofia muscolare), comportasse una limitazione dell�attivit� fisica tale da mascherare i sintomi respiratori.
La terapia della CSS si basa sull�utilizzo di steroidi ad alto dosaggio per almeno 3 settimane a dosaggio pieno (1 mg/kg/die) con conseguente lento scalo1. Nei caso in cui vi sia un interessamento grave d�organo (soprattutto a livello cardiaco) � possibile ricorrere alla somministrazione di ciclofosfamide per via endovenosa. Nei casi refrattari alla terapia viene suggerita la plasmaferesi, l�utilizzo di immunoglobuline per via endovenosa o di farmaci biologici (infliximab o rituximab). Per il mantenimento della remissione possono essere utilizzati metotrexate, azatioprina o ciclosporina. Nel nostro caso � stato deciso di iniziare la terapia con azatioprina con lento scalo dello steroide.

Figura 1. Ecocardiografia a riposo. Aspetto iperlucente del miocardio (stella), segno di miocardite, versamento pericardico (freccia).

Figura 2. Ecocardiografia a riposo. Versamento pericardico con presenza di tralci fibrosi (stella).
CRITERI |
Definizione |
|
Storia di wheezing o sibili espiratori all�ascoltazione |
|
Valori > 10% dei globuli bianchi totali |
|
Mononeuropatia o polineuropatia attribuibili alla vasculite sistemica |
|
Infiltrati migranti e non fissi alla radiografia (esclusi gli infiltrati fissi) |
|
Storia di dolore acuto o cronico ai seni paranasali e/o conferma radiologica di opacit� dei seni |
|
Biopsia con evidenza di infiltrati eosinofili extravasali in corrispondenza di arteriole, venule o arterie |
Tabella I. Criteri ACR per la diagnosi di sindrome di Churg-Strauss. La presenza di 4/6 criteri ha una sensibilit� dell�85% e una specificit� del 99,7% per la diagnosi (da voce bibliografica 2, modificata).
Manifestazioni cliniche |
Sindrome ipereosinofila |
Churg-Strauss syndrome |
Coinvolgimento cardiaco |
Fibrosi endocardica e cardiomiopatia restrittiva |
Coinvolgimento pericardico e miocardico |
Asma |
Raro |
Comune |
Sinusite |
Rara |
Comune |
Polineuropatia |
Rara |
Comune |
Coinvolgimento cutaneo |
Orticaria |
Porpora, orticaria |
Aumento di VES |
Raro |
Comune |
Aumento IgE |
Raro |
Comune |
Vasculite confermata biopticamente |
Raro |
Presente |
p-ANCA |
Assenti |
Presenti nel 40% dei casi |
Tabella II. Elementi di diagnosi differenziale tra sindrome di Churg-Strauss e sindrome ipereosinofila primitiva (da voce bibliografica 3).
Bibliografia
1. Masi AT, Hunder GG, Lie JT et al. The American College of Rheumatology 1990 criteria for the classification of Churg-Strauss syndrome (allergic granulomatosis and angiitis). Arthritis Rheum 1990;33:1094-00.
2. Jennette JC, Falk RJ, Andrassy K, et al. Nomenclature of systemic vasculitides. Proposal of an international consensus conference. Arthritis Rheum 1994;37:187-92.
3. Baldini C, Talarico R, Della Rossa A. Clinical manifestations and treatment of Churg-Strauss syndrome. Rheum Dis Clin North Am 2010;36:527-43.
4. Pagnoux C, Guilpain P, Guillevin L. Churg-Strauss syndrome. Curr Opin Rheumatol 2007;19:25-32.
5. Pel� G, Tirabassi G, Pattoneri P. Cardiac involvement in the Churg-Strauss syndrome. Am J Cardiol 2006;97:1519-24.
6. Pagnoux C, Guillevin L. Churg-Strauss syndrome: evidence for disease subtypes? Curr Opin Rheumatol 2010;22:21-8.
