Complicanze addominali dello shunt ventricolo-peritoneale
1Clinica
Pediatrica, Universit� degli Studi di Trieste, IRCCS
Pediatrico �Burlo Garofolo�, Trieste
2Pediatrica
d�Urgenza e Pronto Soccorso, IRCCS Pediatrico �Burlo
Garofolo�, Trieste
Indirizzo per corrispondenza: elisazanelli@hotmail.it
Ventriculo-peritoneal shunt and abdominal complications
Key words
Hydrocephalus, Ventriculo-peritoneal shunt, Abdominal complication, External ventricular drainage, Antibiotherapy
Abstract
Ventriculo-peritoneal shunting remains the most widely used neurosurgical procedure for the management of hydrocephalus. Intraabdominal complications after its insertion are frequently located near the peritoneal end of the shunt catheter, causing shunt dysfunction and intracranial hypertesion.
The most common complications of ventriculo-peritoneal shunt are infections, malfunction due to blockage, disconnection and migration, which occur with symptoms such as fever, lethargy, irritability, and vomiting. Signs of a possible complication should be early identified because it can cause permanent brain damage. Initial treatment always includes immediate shunt removal and externalized ventricular drainage; if infection is found intravenous antibiotics are mandatory.
Riassunto
La derivazione ventricolo-peritoneale � una delle tecniche neurochirurgiche pi� utilizzate per il trattamento dell�idrocefalo.
Nella maggior parte dei casi le complicanze addominali legate al suo posizionamento sono localizzate a livello dell�estremit� peritoneale dello shunt, causando malfunzionamento dello stesso e ipertensione endocranica.
Le complicanze pi� frequenti sono le infezioni, l�ostruzione, la disconnessione del sistema stesso e la migrazione dell�estremit� distale che si presentano con febbre, letargia, irritabilit� e vomito.
� essenziale riconoscere precocemente i segni di una possibile complicanza in quanto pu� causare danni cerebrali permanenti.
Il trattamento iniziale prevede sempre la rimozione immediata dello shunt e il posizionamento di una derivazione ventricolare esterna; in caso di infezione � raccomandata la terapia antibiotica endovenosa.
Introduzione
La Derivazione Ventricolo-Peritoneale (DVP) � una delle tecniche neurochirurgiche pi� utilizzate per la gestione dell�idrocefalo ostruttivo.
Tale procedura mira a drenare il liquor presente in eccesso, da ostacolato deflusso e ridotto riassorbimento, in direzione di una cavit� sierosa, in questo caso il peritoneo, dalla quale potr� successivamente essere riassorbito. In alternativa alla cavit� peritoneale il liquor pu� essere drenato nell�atrio cardiaco, pi� di rado nella cavit� pleurica, ma entrambe queste opzioni sono utilizzate molto meno frequentemente della ventricolo-peritoneale.
Tutti i sistemi di derivazione sono forniti di una valvola che consente il deflusso del liquor in una sola direzione e la cui apertura avviene a un determinato gradiente pressorio.
L�uso delle derivazioni ha reso l�idrocefalo una delle patologie neurologiche suscettibile di trattamento chirurgico e quindi reversibile, tuttavia non permette di curarla definitivamente: l�idrocefalo infatti � una condizione che, eccetto in rari casi, perdura per tutta la vita, con rischio di complicanze che devono mantenere in allarme i genitori.
Lo svantaggio di questo tipo di procedura � legato al fatto che spesso i sistemi di derivazione vanno incontro a malfunzionamento e pertanto si rende necessaria la loro sostituzione; inoltre gli shunts impiantati in et� infantile devono essere sempre revisionati in relazione allo sviluppo staturale e ponderale dei bambini.
Oltre alle derivazioni liquorali, la chirurgia dell�idrocefalo si avvale da qualche anno di una tecnica endoscopica: la Terzo-Ventriculo-Cisternostomia, procedura mininvasiva che consente di creare una via alternativa di deflusso del liquor internamente al cervello stesso. Questo tipo di intervento non richiede l�impianto di sistemi protesici o valvolari di nessun tipo, per tale ragione una volta effettuato con successo il paziente pu� dirsi guarito; tale metodica per� pu� essere utilizzata solo in pazienti selezionati.
Nella gran parte dei casi le complicanze da derivazione si manifestano con sintomatologia a carico del SNC (ipertensione endocranica, infezione...). Pi� raramente si estrinsecano con patologia addominale.
Casi clinici
J. � una bambina di 10 anni, portatrice di derivazione ventricolo-peritoneale a seguito di un�encefalopatia ipossico-ischemica neonatale da sofferenza secondaria a pneumotorace.
All�et� di 8 anni viene sottoposta a un intervento chirurgico per rottura del tragitto esterno dello shunt ventricolo-peritoneale con conseguente riposizionamento di un nuovo sistema di drenaggio senza la necessit� di intervento sulla derivazione intracranica.
A distanza di un anno viene ricoverata per la comparsa di una sintomatologia caratterizzata da febbre elevata e distensione addominale in assenza di disturbi della canalizzazione e con quadro clinico neurologico pressoch� invariato.
Gli accertamenti eseguiti mostrano importante rialzo degli indici di flogosi (VES 95 mm/h e PCR 25 mg/l), con lieve leucocitosi (globuli bianchi 10.970/mm3) e marcata piastrinosi (753.000/mm3), non si rilevano per� indici di compromissione della funzionalit� epatica o renale.
L�ecografia addominale mostra un abbondante versamento addominale senza segni di coinvolgimento epatico o renale e la laparoscopia esplorativa definisce un quadro di ascite-peritonite con esclusione di lesioni intestinali primitive.
Si rende necessario dunque un drenaggio immediato della cavit� peritoneale che consente l�aspirazione di circa 2,5 litri di essudato, risultato in seguito positivo alla coltura per enterococco.
Si provvede ad avviare una terapia antibiotica tempestiva con teicoplanina e unasyn, in aggiunta ad albumina e aldactone, che consentono un miglioramento delle condizioni cliniche della bambina; tuttavia solo il successivo intervento di sostituzione del drenaggio porter� ad una guarigione completa.
In conclusione la diagnosi � quella di un�infezione primitiva del sistema di drenaggio ventricolo-peritoneale con conseguente malfunzionamento dello stesso.
E. � un bambino di 4 anni con idrocefalo congenito e portatore di derivazione ventricolo-peritoneale.
Il quadro clinico in questo caso esordisce con febbre elevata (fino a 39 �C), dolore addominale intenso associato a vomito e diarrea e una progressiva compromissione del sensorio.
I risultati di laboratorio rilevano una marcata leucocitosi neutrofila (globuli bianchi 23.680/mm3, neutrofili 16.500/mm3) e incremento degli indici di flogosi (VES 14 mm/h; PCR 16.85 mg/l).
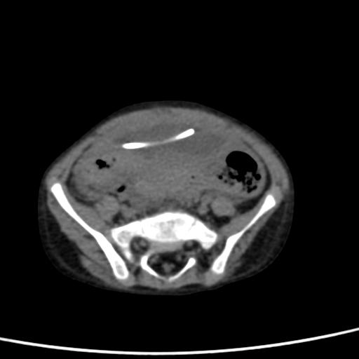
Viene dunque sottoposto ad una TC encefalo che esclude segni di idrocefalo iperteso e a una ecografia e una TC addominale che mostrano la presenza di una formazione cistica plurisettata di circa 7 x 5 x 3 cm all�estremit� distale del sistema di derivazione, riferibile a raccolta liquorale (Figura 1).
Si decide quindi di intervenire con laparoscopiaesplorativa che rileva un quadro compatibile con appendicite acuta flemmonosa, per cui si rende necessaria appendicectomia. In quell�occasione inoltre si effettua una revisione del sistema di drenaggio che appare pervio e ben funzionante, motivo per il quale si decide di lasciarlo in sede.
Di fatto per� le condizioni generali del bambino non migliorano, anzi nei giorni seguenti si rileva una maggiore compromissione neurologica e la comparsa di vomiti.
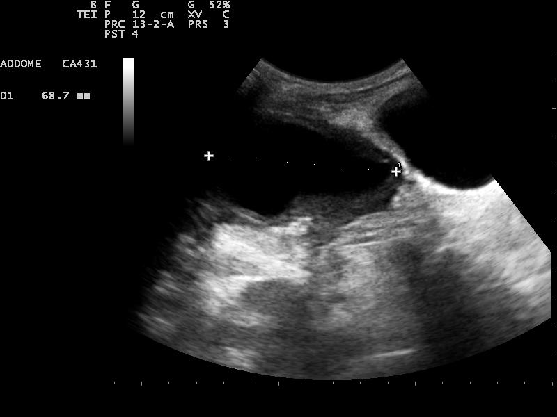
Il bambino viene sottoposto ad un�ulteriore ecografia addominale (Figura 2) che mostra la presenza di una formazione ovalare a parete spessa in sede sopravescicale, compatibile con una raccolta saccata e nella quale si riconosce l�estremit� distale della derivazione ventricolo-peritoneale.
Si rende necessario quindi un intervento di sostituzione del sistema di drenaggio e l�analisi microbiologica della punta del catetere addominale e ventricolare per la pianificazione di una terapia mirata.
Solo dopo l�intervento e l�avvio della terapia specifica le condizioni cliniche del bambino sono andate migliorando; il decorso postoperatorio � stato scevro da complicanze con negativizzazione degli esami.

Figura 1. TC assiale: formazione cistica ovalare in sede sovravescicale contenente l�estremit� distale del catetere.

Figura 2. Ecografia: formazione ovalare anecogena a parete spessa, in sede paramediana destra sovravescicale.
Discussione
I sistemi di derivazione ventricolo peritoneale sono spesso associati ad una serie di complicanze addominali come il malfunzionamento o la disconnessione del sistema stesso con possibile migrazione del catetere distale e/o perforazione di visceri, le infezioni tra cui appendiciti e peritoniti, la formazione di pseudocisti e lo sviluppo di ascite1.
I segni di una possibile complicanza devono essere individuati e trattati precocemente in quanto possono causare danni cerebrali permanenti.
Il malfunzionamento dello shunt ventricolo-peritoneale dopo il posizionamento iniziale, si verifica nel 25-35% dei casi entro 12 mesi2. Circa il 70-80% dei bambini necessita di almeno una revisione nel corso degli anni in relazione alla crescita staturo-ponderale e alla possibilit� di rottura e dislocazione dell�impianto3.
L�infezione � la complicanza pi� frequente, soprattutto nei bambini di et� superiore ai 2 anni e correla con un maggior grado di morbilit� e mortalit�4.
L�agente eziologico maggiormente coinvolto � lo Staphylococcus aureus (65% dei casi), seguito da batteri Gram -, in particolare Escherichia coli, mentre rare sono le infezioni fungine, perlopi� da Candida albicans (1% dei casi)5.
Quadri clinici di appendicite e/o peritonite non sono rari nei portatori di derivazioni ventricolo-peritoneali, soprattutto nei bambini pi� grandicelli; l�incidenza di peritonite successiva all�impianto di shunt varia dall�8% al 12%6,7.
Da alcuni studi emerge inoltre che i pazienti con shunt ventricolo-peritoneale possono essere predisposti a sviluppare una peritonite batterica spontanea, in quanto il liquido spinale pu� comportarsi come un fluido ascitico anche in assenza di accumulo peritoneale8.
La pseudocisti costituisce una complicanza insolita con un�incidenza inferiore al 1,0-4,5% e, fino a prova contraria, deve essere considerata secondaria a infezione; nell�80% dei casi infatti la sua formazione � attribuibile a un agente infettivo3.
Le cisti liquorali peritoneali possono con relativa frequenza complicarsi per il sopravvenire di situazioni flogistiche acute endoperitoneali (appendicite acuta) o perforative da decubito del catetere; tali complicanze richiedono subito un trattamento mirato in urgenza con eventuale derivazione liquorale esterna e/o riposizionamento del drenaggio in peritoneo o in atrio destro.
Un�altra possibile complicanza � la perforazione di visceri addominali, soprattutto quella intestinale; si tratta tuttavia di un�entit� piuttosto rara che si verifica in meno dello 0,1-0,7% dei casi e che pu� presentarsi immediatamente dopo il posizionamento dello shunt ma anche a distanza di mesi o anni3.
La diagnosi precoce di una complicanza del sistema di derivazione � il miglior modo per prevenire la possibilit� di danni cerebrali.�
Il malfunzionamento di uno shunt sar� caratterizzato da segni diretti e indiretti di ipertensione endocranica e/o di infezione (febbre, letargia, irritabilit�, vomito).
Oltre alla clinica, le tecniche di imaging rivestono un ruolo cruciale in questo senso; le pi� utilizzate sono la radiografia, l�ecografia ma soprattutto la TAC e la RMN.
Preliminare a tutto � la verifica del corretto funzionamento di ogni componente del sistema di derivazione, nonch� un accurato inquadramento diagnostico di una possibile infezione, confermata dalle indagini microbiologiche.
Nell�eventualit� di un�infezione, oltre all�avvio immediato di una terapia antibiotica specifica, � necessario ricorrere a una derivazione ventricolare esterna, collegata a una sacca di raccolta esterna del liquor per risterilizzarlo e successivamente all�impianto di un nuovo shunt.
Nei casi di ipertensione endocranica acuta � anzitutto opportuno mettere in atto una derivazione esterna e in seguito effettuare una revisione e un riposizionamento dello shunt.
In conclusione � importante riconoscere segni e sintomi di malfunzionamento o infezione della derivazione e sottoporre questi bambini a periodiche valutazioni di pediatri, neuropediatri e neurochirurghi.
Bibliografia
- Popa F, Grigorean VT, Onose G, Popescu M, Strambu v, Sandu AM.Laparoscopic treatment of abdominal complications following ventriculoperitoneal shunt. J Med Life 2009;2:426-36.
- Vinchon M, Fichten A, Delestret I, Dhellemmes P. Shunt revision for asymptomatic failure: surgical and clinical results. Neurosurgery 2003;52:347-56.
- Chung JJ, Yu JS, Kim JH, Nam SJ, Kim MJ. Intraabdominal complications secondary to ventriculo-peritoneal shunts: CT findings and review of the literature. AJR 2009;5:1311-7.
- Braga MH, Carvalho GT, Brand�o RA, Lima FB, Costa BS. Early shunt complications in 46 children with hydrocephalus. Arq Neuropsiquiatr 2009;67:273-7.
- Baradkar VP, Mathur M, Sonavane A, Kumar S. Candidal infections of ventriculoperitoneal shunts. J Pediatr Neurosci 2009;4:73-5.
- Ein SH, Miller S, Rutka JT. Appendicitis in the child with a ventriculo-peritoneal shunt: a 30-year review. J Pediatr Surg 2006;41:1255-8.
- Pumberger W, Lobl M, Geissler W. Appendicitis in children with a ventriculoperitoneal shunt. Neurosurg Pediatr 1998;28:21-6.
- Gaskill SJ, Marlin AE. Spontaneous bacterial peritonitis in patients with ventriculoperitoneal shunts. Neurosurg Pediatr 1997;26:115-9.
