Malattia di Castleman: chi � costei?
1Clinica Pediatrica, 2SC Chirurgia Pediatrica, 3SC Oncoematologia Pediatrica, Istituto per la Salute Materno Infantile, IRCCS pediatrico �Burlo Garofolo�, Trieste
Indirizzo per corrispondenza: giulia.paloni@gmail.com
Castleman's disease
Key words
Castleman's disease, Retroperitoneal mass, Recurrent fever, Case report, Child
Abstract
Castleman's disease (CD) is a rare, localized or generalized, lymphoproliferative disorder with a frequent mediastinal location, but possible in any lymph node or extra nodal site. It usually appears in young adults whilst it rarely occurs in childhood. There are only about 100 paediatric cases published. The aim of the present paper is to describe a case of retroperitoneal unicentric Castleman's disease with atypical localization and clinical presentation characterized by recurrent febrile episodes of unknown origin.
Riassunto
La malattia di Castleman (MC) � una patologia molto rara definita come un'iperplasia linfatica angiofollicolare. La prevalenza esatta non � nota, colpisce di pi� la seconda-terza decade di vita ed � invece molto pi� rara in et� pediatrica. Ne esistono due forme: la forma localizzata o unicentrica con una localizzazione preferenziale al mediastino o, meno frequentemente, al torace o all'addome; e la forma multicentrica nella quale la linfoadenopatia � generalizzata, che � di fatto considerata come un disordine linfoproliferativo. Presentiamo un caso di malattia di Castleman isolata in una bambina di 8 anni con una presentazione clinica atipica e una localizzazione non frequente.
Caso clinico
G. � una bambina di 9 anni, con anamnesi remota muta, che giunge alla nostra osservazione per episodi di febbre ricorrente e di lunga durata. Gli episodi, quattro negli ultimi otto mesi, avevano tutti caratteristiche molto simili: febbre della durata di circa 15 giorni, prevalentemente serotina, puntate febbrili con brivido scuotente, sfebbramento spontaneo indipendente dalla terapia antibiotica. A volte venivano riferiti saltuari dolori addominali, ma nessun altro sintomo associato: non mialgie, n� artralgie, in una sola occasione era stato notato un rash fugace. Benessere completo tra gli episodi.
Gli esami ematici, eseguiti in acuzie, mostravano rialzo degli indici di flogosi (VES 70 mm/h, PCR 5 mg/dl) con conta e formula leucocitaria nella norma (Hb 11.3 g/dl, GB 9060/ul con Neutrofili 66% e Linfociti 26.2%, PLT 236000/ul). Gli altri accertamenti eseguiti risultavano tutti nella norma: emocolture, coprocolture, sierologie per i pi� comuni agenti infettivi, virali e batterici (IgG positive per EBV, come da infezione pregressa), Mantoux negativa, radiografia del torace, ecografia addominale ed ecocardiografia nella norma, autoimmunit� negativa (ANA, anti-DNA, ANCA). Nella norma le sottopopolazioni linfocitarie.
Alla luce del quadro clinico la prima ipotesi fatta all'esordio, sostenuta peraltro dalla storia, dalla presenza di una moderata anemia e dalla negativit� delle indagini gi� eseguite in altra sede, � stata quella di una febbre immunologica sul modello della artrite idiopatica giovanile sistemica (puntate serali, febbre con brivido e in una occasione rash eritematoso fugace). Per escludere comunque una malignit� (linfoma, neuroblastoma), abbiamo eseguito un prelievo per marker tumorali (CEA, CA-19-9, alfa-fetoproteina, gonadotropina corionica) che sono risultati nella norma, una raccolta urinaria per acido omovanilico e vanilmandelico anch'essa risultata nella norma ed un aspirato midollare, negativo per cellule blastiche.
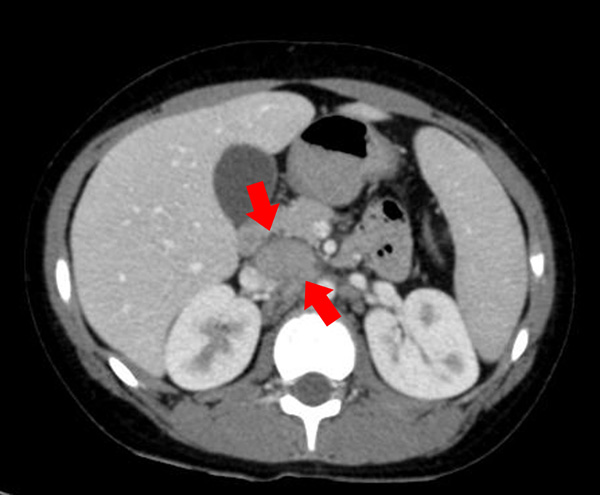
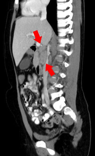
Valorizzando il dato anamnestico dei dolori addominali con febbre, seppur alla luce di una ecografia addome negativa, nel sospetto di una possibile raccolta ascessuale profonda abbiamo eseguito la TAC dell'addome con evidenza di una formazione ovoidale localizzata tra la vena cava superiore e la terza porzione duodenale a margine netti, con aspetto non colliquato, e la presenza di altre piccole formazioni ovoidali, reattive di diametro di circa 2 cm di diametro (Figura 1 e Figura 2).
Nell'ipotesi di una neoformazione maligna abbiamo deciso di eseguire un esame bioptico della massa. L'esame istologico della lesione e la caratterizzazione immunoistochimica hanno documentato �una regolare distribuzione di linfociti B CD20+ e T CD3+ nelle rispettive aree di pertinenza, il CD21 evidenzia iperplasia delle cellule follicolari detritiche� in un quadro compatibile con una iperplasia linfoide angio-follicolare (Malattia di Castleman), forma isolata, variante ialino vascolare con ampi focolai di sclerosi.
Figura
1 e Figura
2. Formazione ovoidale solida a maggior diametro
cranio-caudale di circa 4x3x2 cm tra vena cava superiore e terza
porzione duodenale a margini netti, di aspetto non colliquato con
presenza di altre formazioni ovoidali pi� piccole, reattive il
maggiore di 2 cm di diametro. La
malattia di Castleman (MC), o iperplasia linfoide
angiofollicolare, descritta da Castleman nel 19561,
rientra nel gruppo dei disordini linfoproliferativi e attualmente �
classificata in due sottotipi: una forma localizzata, limitata a un
solo linfonodo, e una forma multicentrica, che colpisce pi�
linfonodi2. La prevalenza della MC non � nota, ma �
calcolata in meno di 1 caso/100.0003. Sebbene sia molto
pi� frequente nell'et� adulta, diverse sono le segnalazioni anche
in et� pediatrica. La forma
localizzata � la pi� frequente, soprattutto nella localizzazione
mediastinica, 70% dei casi4,5 ed � asintomatica nel 50%
dei casi. Pu� causare dolori al torace o all'addome, quando la massa
dei linfonodi � voluminosa (6 cm di diametro in media, con un range
di 1-12 cm). Nel 30% dei casi si osservano sintomi generali (astenia
20%, febbre 20%, dimagrimento 11%). Non ci sono segnalazioni riguardo
episodi febbrili ricorrenti come nel nostro caso. Le forme
multicentriche invece sono sempre sintomatiche e si presentano con
una sintomatologia di solito importante caratterizzata da astenia,
anoressia, febbre, poliadenopatia periferica, epatomegalia e/o
splenomegalia6. Ci sono
tre sottotipi istologici principali: ialina-vascolare CD (CD-HV), la
pi� frequente (90%) e la plasmacellulare CD (PC-CD), pi� rara (9%)
e una variante intermedia associata a HHV8 e HIV. La maggior parte
delle forme localizzate sono del tipo ialino-vascolari, al contrario
le forme disseminate sono soprattutto della variante plasmacellulare
e sono associate ad una prognosi peggiore2,4. L'eziopatogenesi
della MC � tutt'ora sconosciuta, diversi studi indicano, come
probabile causa, una reazione del sistema plasma linfocitario ad un
antigene verosimilmente virale che determinerebbe una reazione
iperplastica dei linfociti B e un'iperproduzione dell'IL67.
Recenti
lavori confermano, in particolare per la variante plasmacellulare, un
ruolo del virus HHV8, responsabile del sarcoma di Kaposi. L'HHV8 si
osserva nel 60-100% dei pazienti colpiti da MC associata all'HIV, ma
anche nel 20-40% dei pazienti HIV-negativi8,9. L'HHV8 si
localizza negli immunoblasti e nei linfociti B CD20+ ed induce la
produzione di un omologo virale dell'interleuchina-6 (vlL6), che
facilita la comparsa dei linfomi B. Nei bambini sono descritti casi
di MC con immunodeficienza primitiva. E' stata descritta anche una
associazione della MC con l'infezione da virus Epstein Barr. Dato che
le recidive, nel caso di forme monolocalizzate, sono inusuali, il
gold standard terapeutico � rappresentato dalla resezione chirurgica
completa che, come nel nostro caso, esita in una completa guarigione,
senza necessit� di ulteriori controlli10,11. Le forme
multicentriche sono di fatto disordini linfoproliferativi ad
interessamento sistemico, con prognosi incerta e richiedono a volte
una terapia sistemica molto aggressiva, non adeguatamente
standardizzata in letteratura. Alcune esperienze riportano
l'efficacia della sola terapia steroidea sistemica. Soprattutto in
et� pediatrica il regime terapeutico pi� seguito � quello
chemioterapico utilizzato nel linfoma di
Hodgkin (CHOP: ciclofosfamide, doxorubicina, vincristina e
prednisone), che ha portato a lunghi periodi di remissione della
malattia, ma le ricadute sono frequenti e la prognosi resta comunque
poco favorevole11.
In questi casi non esiste un approccio terapeutico standardizzato ma
ci sono diverse segnalazioni riguardo l'efficacia di anticorpi
monoclonali, in particolare il rituximab - anticorpo monoclonale
anti-CD20-, il tocilizumab e il siltuximab- anticorpi contro il
recettore dell'IL 6- e l'anakinra inibitore dell'IL112-15.
BIBLIOGRAFIA
Castleman
B, Iverson L, Menendez VP. Localized mediastinal lymph node
hyperplasia resembling thymoma. Cancer 1956;9:822�30. Keller
AR, Hochholzer L, Castleman B. Hyaline-vascular and plasma-cell
types of giant lymph node hyperplasia of the mediastinum and other
locations. Cancer 1972;29:670�83. D�got
T, M�tivier AC, Casnedi S, Chenard MP, Kessler R. Thoracic
manifestations of Castleman's disease. Rev
Pneumol Clin 2009;65:101�7. Papaziogas
B, Chatzimavroudis G, Koutelidakis I et al. A
rare form of isolated mesenteric Castleman's disease presenting as
an abdominal mass (isolated mesenteric Castleman's disease). J
Gastrointestin Liver Dis 2006;15:171-4. McAdams
HP, Rosado-de-Christenson M, Fishback NF, Templeton PA. Castleman
disease of the thorax: radiologic features with clinical and
histopathologic correlation. Radiology 1998;209:221�8. Herrada
J, Cabanillas F, Rice L, Manning J, Pugh W. The
clinical behavior of localized and multicentric Castleman disease.
Ann Intern Med 1998;128:657�62. Brandt
SJ, Bodine DM, Dunbar CE, Nienhuis AW. Dysregulated
interleukin 6 expression produces a syndrome resembling Castleman's
disease in mice. J Clin Invest 1990;86:592�9. Dupin N,
Diss TL, Kellam P et al. HHV-8
is associated with a plasmablastic variant of Castleman disease that
is linked to HHV-8-positive plasmablastic lymphoma. Blood
2000;95:1406�12. Leroy
S, Moshous D, Cassar O, et al Multicentric
Castleman disease in an HHV-8-infected child born to consanguineous
parents. Pediatrics 2012;129:e199-203. Modi P,
Trivedi A, Gupta R et al. Retroperitoneal
pararenal Castleman's tumor in an adolescent managed
laparoscopically. J Endourol
2008;22:2451-4. Bowne
WB,�Lewis JJ,�Filippa DA,�Niesvizky R,�Brooks
AD,�Burt ME,�Brennan MF. The�management�of�unicentric�and
multicentric�Castleman's�disease: a�report�of�16�cases�and
a review of the literature. Cancer
1999;85:706-17. Farruggia
P, Trizzino A, Scibetta N, Cecchetto G, Guerrieri P, D'Amore ESG,
D'Angelo P. Castleman's
disease in childhood: report of three cases and review of the
literature. Ital J
Pediatr�2011;37:50. Bower M,
Veraitch O, Szydlo R, et al. Cytokine
changes during rituximab therapy in HIV-associated multicentric
Castleman disease. Blood 2009;113:4521�4. van
Rhee F, Fayad L, Voorhees P, et al.. Siltuximab,
a Novel Anti-Interleukin-6 Monoclonal Antibody, for Castleman's
Disease. J Clin Oncol 2010;28:3701�8. Galeotti
C, Tran TA, Franchi-Abella S, Fabre M, Pariente D, Kon�-Paut I.
IL-1RA agonist
(anakinra) in the treatment of multifocal Castleman disease: case
report. J Pediatr Hematol Oncol 2008;30:920�4.


Figura 1 e Figura 2. Formazione ovoidale solida a maggior diametro cranio-caudale di circa 4x3x2 cm tra vena cava superiore e terza porzione duodenale a margini netti, di aspetto non colliquato con presenza di altre formazioni ovoidali pi� piccole, reattive il maggiore di 2 cm di diametro.
Discussione
Classificazione MeSH
Bibliografia
