Broncopolmonite con complicanze suppurative come esordio di CGD
UO di pediatria Ospedale Fatebenefratelli, Benevento
Summary
Descrizione di un caso di polmonite, esordito a seguito di una gengivostomatite febbrile, curata con antibiotici e corticoteroidi ed evoluto in ascesso polmonare con ilo-adenite suppurativa da Candida. L'identificazione del patogeno e il riscontro di un NBT test positivo hanno consentito di risolvere l'acuzie con una terapia mirata (Amfotericina B e Flucitosina), e di intraprendere una profilassi con trimetoprim-sulfamide e gamma-interferone.
Il caso
E. Maurizio, 16 mesi secondogenito da genitori non consanguinei.
Esordio della malattia con febbre elevata e stomatite. Trattamento dapprima con antibiotici (Ceftriaxone), antifungini (Miconaziolo) e corticosteroidi (betametasone), poi con Acyclovir x 3gg. Ricovero dopo 12 giorni per la persistenza della febbre.
Il piccolo sta male, è pallido, sofferente, distrofico polipnoico (FR 65/m') con un reperto di riduzione del murmure alla base dx.
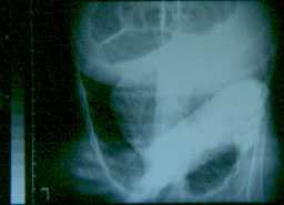
RX: addensamento antro-basale dx. Ha una anemia consistente (Hb 7,2), una iperleucosictosi neutrofila (WBC 62.OOO GB, N 75% ); una piastrinosi (Pl 770.00O); VES 78, PCR 32 mg/dl; Fe 8 mcg/dl.
Terapia con Teicoplanina+netilmicina. Resta sempre febbrile; l'anemia si aggrava e richiede emotrasfusione; dopo 8 gg. si decide di cambiare trattamento (Ceftriaxone+Eritromicina+ Prednisone). Sfebbramento.
La TAC mostra un consolidamento interessante il lobo medio e inferiore dx, con aree di colliquazione, impegno dei linfonodi ilari, voluminoso, confluente e disomogeneo per la presenza di aree necrotiche.
Il piccolo viene trasferito presso un Centro di Chirurgia pediatrica, dove la febbre riprende, elevata; trattamento dapprima con Teicoplanina, Ceftriaxone, Amikacina, poi con Penicillina G, Vancomicina, CAF. Ripetuti tentativi di isolamento batterico e ricerca di antigeni e anticorpi contro Stafilococco, Candida,Aspergillus fumigatus, BK, restano negativi.
Vengono infine effettuate una broncoscopia e una biopsia polmonare con cultura positiva per C. Albicans. Trattamento con Amfotericina B, Flucitosina, Rifampicina. Sfebbramento per lisi.
Il test del Nitroblutetrazolio, il test di chemioluminescenza e l'esame del citocromo b 254 evidenziano un "notevole deficit funzionale dei granulociti neutrofili con assenza di risposta a tutti gli stimoli utilizzati e permettono di formulare la diagnosi di Malattia Granulomatosa Cronica (CGD).

Il problema
Il difetto funzionale dei neutrofili spiega l'evoluzione devastante della broncopolmonite. La sua eziologia rappresenta di per sé un problema interessante: l'esordio può esser stato espressione di una prima infezione erpetica con caratteristiche sistemiche e anemizzazione e con sovrainfezione (forse) batterica e, almeno alla fine, sicuramente fungina, indotta quest'ultima dal trattamento antibiotico e steroideo. La cavitazione dell'infiltrato e il rammollimento linfonodale rappresntano eventi tipici della CGD. Il problema terapeutico è complesso. Curata l 'acuzie con il trattamento antifungino, si pone la questione del ruolo possibile della chirurgia e della prevenzione delle ricadute.
La soluzione
L'ascesso polmonare è esitato in una carnificazione che potrebbe richiedere un intervento chirurgico. E' stato intrapreso un trattamento profilattico con gamma interferone e trimetoprim sulfamide. Il bambino sta bene.
Il contributo
La CGD ha una frequenza tra 1/250.000 e 1/1.000.000 di nati Nel 60% dei casi si eredita come condizione recessiva X-associata, nel 20% come forma autosomica. I neutrofili dei pazienti non producono l'anione superossido e non possono uccidere i microrganismi catalasi+. La storia naturale è fatta di un succedersi di episodi infettivi con ascessi e granulomi che ricordano quelli tubercolari in sedi varie (linfonodi, polmoni, pericardio, peritoneo, osso). Il trattamento ideale è il trapianto di midollo, reso difficle dalle suppurazioni croniche. La profilassi con trimetoprim sulfamide ha cambiato la storia naturale della malattia, consentendo lunghe sopravvivenze. Il trattamento con gamma-interferone, ha un effetto protettivo aggiuntivo specifico, essendo in grado di elicitare la produzione di piccole quantità di anione superossido nei granulociti.
Insegnamenti del caso
Di fronte ad una malattia che non risponde al trattamento antibiotico, considerare che quasi certamente si tratta di un patogeno resistente: nel nostro caso, all'esordio, (forse) HSV , successivmente (forse) un piogeno, e (certamente) la candida. L'ostinazione su una terapia inefficace è quasi sempre un errore. L'effetto della aggiunta di steroidi su un focolaio di broncopolmonite può essere tutt'al più cosmetico, ed è certamente pericoloso. L'identificazione del patogeno, anche con strumenti invasivi può invece essere risolutiva. Infine, di fronte a una evoluzione anomala della malattia, si deve pensare da subito a un difetto di difese: la frequenza della CGD, di facile diagnosi (NBT test, a disposizione di ogni laboratorio) non è inferiore a quella dei difetti dell'immunità.
