Una strana linfoadenopatia laterocervicale
Pediatria - Ospedale Fatebenefratelli - Benevento; 1 Chirurgia Generale - Ospedale Bambino Gesù - Roma; 2 Anatomia Patologica - Ospedale Bambino Gesù - Roma
Cervical lymphadenopathy: Rosai-Dorfman disease
Keywords:Lymphadenopathy, Rosai-Dorfman disease
Summary
Case report of cervical lymphaadenopathy appeared 15 days after auricular piercing followed by local inflammation; hystological finding of sinus histiocytosis with lymphocyte-emophagocytosis.
Descrizione del caso
G.G. nata il 02.09.99, abita in campagna.
Parto eutocico, dopo gravidanza normodecorsa, peso alla nascita di gr 3620, assenza di problemi perineonatali.
Anamnesi familiare negativa per particolari patologie. Latte materno fino all'osservazione, svezzamento a 4 mesi. Bronchiolite all'età di 2 mesi. Crescita regolare, normale sviluppo psico-neuromotorio.
All'età di 7 mesi e 1/2 comparsa di tumefazione in regione laterocervicale destra della grandezza di una noce senza altra sintomatologia. Dopo 4 giorni compare anche a sinistra analoga tumefazione.
Condotta a visita, il pediatra curante non riscontrando altri segni tranne la linfoadenomegalia laterocervicale bilaterale, richiede indagini di laboratorio.
Emocromo normale tranne neutrofilia relativa (GB 10800, N 64%), VES 130 mm/Ih, PCR 1.9 mcg/dl.
Nella norma: profilo epatico, renale, sierologia per Widal-Wright, TORCH, EBV, tampone faringeo.
A 10 giorni dall'inizio della patologia, data la persistenza della sintomatologia con restante obiettività negativa, il pediatra prescrive terapia con cefaclor, ma dopo 3 giorni data l'assenza di risultati apprezzabili, invia la piccola a ricovero presso di noi.
Ricovero ospedaliero:
sono ormai trascorsi 14 giorni dall'inizio dei sintomi e clinicamente l'unico dato apprezzabile è l'ipertrofia delle stazioni linfonodali laterocervicali (3x2 cm a sn, 3x3 cm a dx). La cute sovrastante è rosea, non calda al termotatto, non vi è aderenza ai piani superficiali e profondi, vi è dolorabilità alla palpazione, la consistenza è dura elastica. La piccola è apirettica, le restanti stazioni linfonodali sono normali come pure gli organi ipocondriaci.
Richiediamo varie indagini:
emocromo: GB 12.200 (N 58, L 27, M 11, E 2.5, B 0.3), GR 4.020.000, Hb 9.7, Ht 28.8, MCV 71.5, Plt 506.000.
VES 60 mm/Ih, PCR 2.18 mcg/dl, sideremia 26 mcg%ml, lieve aumento della alfa 2 al protidogramma.
Nella norma: azotemia, glicemia, TAS, ferritinemia, QPE, transaminasi, LDH, Ig sieriche, TORCH, sierologia per EBV e per B. Henselae, es. urine , Tine test, Rx torace
Ecografia del collo: nella regione laterocervicale si osserva bilateralmente la presenza di numerosi linfonodi di dimensioni variabili dai 28 mm ai 12 mm, raggruppati a pacchetto. Tutti presentano architettura parenchimale conservata senza rilievo di aree colliquative.
Ipotesi diagnostiche: linfoadenite batterica, reattiva, sistemica.
Da un supplemento anamnestico circa 15 giorni prima della comparsa della sintomatologia, a G. erano stati praticati due fori ai lobi delle orecchie per applicare degli orecchini. Dopo qualche ora la piccola aveva cominciato a piangere con insistenza e, contemporaneamente, era comparsa una reazione infiammatoria importante ai lobi. Dopo circa 24 ore aveva inizio una febbre piuttosto elevata (39°C) e sui lobi compariva secrezione purulenta. Di conseguenza la madre, dopo aver tolto gli orecchini, medicava la piccola con acqua ossigenata ed alcool somministrando per la febbre paracetamolo.
L'evento apparentemente si risolveva nel giro di 48 ore, senza altro intervento terapeutico. Tuttavia a distanza di quattro giorni, la madre notava una piccola tumefazione alla destra del collo, che dopo altri tre giorni aumentava considerevolmente di volume divenendo anche bilaterale.
Di conseguenza abbiamo ritenuto possibile un coinvolgimento batterico bilaterale dei linfonodi laterocervicali secondario alla infezione dei lobi auricolari. Inoltre la terapia con cefaclor (5 giorni) apparentemente aveva determinato una riduzione delle tumefazioni. Pertanto abbiamo dimesso la piccola con il consiglio di continuare la terapia antibiotica per altri 9 giorni e poi tornare a controllo.
Seconda osservazione:
la situazione clinica era invariata, anzi le tumefazioni apparivano addirittura aumentate di volume.
La genesi batterica della patologia era ritenuta poco attendibile per cui dopo una discussione del caso si è deciso che, per una definizione diagnostica, era necessaria una biopsia linfonodale.
Invio a ricovero all'Ospedale Bambino Gesù di Roma:
veniva eseguito un aspirato midollare che rileveva un midollo ricco, con lieve iperplasia granulopoietica e con eosinofilia; apparentemente normali la serie eritroblastica e megacariocitica.
L'ecografia del collo mostrava la presenza di tumefazioni linfonodali con ecostruttura lievemente disomogenea e assenza dell'eco del seno centrale ed ipertrofia del centro germinativo rispetto alla corticale.
L'intervento chirurgico per biopsia a destra evidenziava al disotto del muscolo sternocleidomastoideo di destro la presenza di una voluminosa tumefazione biancastra costituita da più linfonodi apparentemente separati di consistenza duro-lignea.
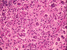
All'esame istologico: istiocitosi massiva dei seni con linfoadenopatia o malattia di Rosai-Dorfman.

Fig.1 (Istologico da biopsia linfonodale)

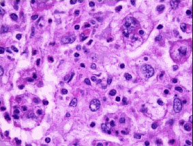
Fig.2 (osservazione a maggior ingrandimento)

Fig.3 (ulteriore ingrandimento ove si osserva la linfocitofagocitosi o emperipolesi caratteristica peculiare della malattia di Rosai-Dorfman)
G. successivamente praticava TAC encefalica e Rx-total body, che tranne la presenza di numerosi linfonodi aumentati di volume al collo, aumentati di volume bilateralmente, soprattutto a destra e nello spazio retrofaringeo e in sede sopraclaveare dx, non ha mostrava alterazioni particolari degli apparati ed organi esaminati.
La Rxgrafia dello scheletro in toto non evidenziava lesioni osteolitiche.
ROSAI-DORFMAN DESEASE
1. GENERAL INFORMATION
1.1 Epidemiological data
Rosai-Dorfman disease most commonly affects adults, with a peak age around 20 years.
It is a world-wide sporadic disease, with occasional clusters, which suggest either an infective precipitant or genetic clusters.
1.2 Etiologic and risk factors
Etiology is unknown. The lesional cell derivation from circulating mononuclear cells suggests a reactive disorder.
2. PATHOLOGY and BIOLOGY
2.1 Biological data
The affected cells are activated macrophages
2.2 Histopathology
Histiocytes with abundant pale cytoplasm and round to oval nuclei and a single nucleolus massively engorge sinuses and interfollicular areas of lymphnodes, usually with evidence of lymphocytophagocytosis.
3. DIAGNOSIS
3.1 Signs and symptoms
Massive bilateral painless cervical and paratracheal lymphadenopathy is the presenting symptom in the vast majority (90% of cases). Inguinal and axillary lymphadenopathies are less common (20% of patients). Other sites of lymphadenopathic involvement include mediastinum and upper para-aortic nodes (10-15%), The most common sites of extranodular involvement are the skin, upper respiratory tract and Waldeyer's area, and bone. Systemic symptoms are rare. Bone marrow, liver and spleen are usually spared.
3.2 Diagnostic strategy
Lymph node biopsy is the basis for the diagnosis of Rosai-Dorfman disease.
4. PROGNOSIS
4.1 Natural history
The clinical course can be indolent for many years, with spontaneous regression in the majority of patients and complete resolution in approximately 20% of patients, even after a long time. It does not usually threaten life or organ function. In a minority of patients the disease may become progressive and require treatment. Only anecdotal deaths due to the disease and associated complications have been reported.
4.2 Prognostic factors
Involvement of certain extranodal organs such as kidneys and lungs or widespread nodal dissemination are considered poor prognostic factors.
5. TREATMENT
5.1 Treatment of asymptomatic disease
Most patients with Rosai-Dorfman disease are asymptomatic and an initial wait-and-see approach is a standard option, since spontaneous regression may occur and treatment is often unsuccessful.
5.2 Treatment of symptomatic disease
For patients with progressive or symptomatic presentation or for those requiring treatment because of cosmetic problems, standard treatment is corticosteroid therapy, usually prednisone at high doses (2 mg/kg daily for at least one month).
Bibliografia
Rosai J , Dorfman RF : Sinus histiocytosis with massive lymphadenopathy, a newly recognized benign clinopathological entity. Arch Pathol Lab Med 1969; 87:63-70
Rosai J , Dorfman RF : Sinus histiocytosis with massive lymphadenopathy, a pseudolymphomatous benign disorder. Analysis of 34 cases. Cancer 1972; 30: 1174-88
Foucar E, Rosai J, Dorfman RF: Sinus histiocytosis with massive lymphadenopathy (Rosai-Dorfman disease). Review of the entity. Semin Diagn Pathol 1990; 7: 19-73
Pettinato G, Manivel JC et al. : Fine needle aspiration cytology and immunocytochemical characterization of the histiocytes in sinus histiocytosis with massive lymphadenopathy ( Rosai-Dorfman syndrome). Acta Cytol 1990 Nov-Dec; 34 (6): 771-7
Horneff G, Jurgens H, Hort W, Karitzky D, Gobel U: Sinus histiocytosis with massive lymphadenopathy (Rosai-Dorfman disease): respense to methotrexate and mercaptopurine. Med Pediatr Oncol 1996, Sep; 27(3): 187-92.
Das DK, Gulati A , Bhatt NC, Sethi GR: Sinus histhiocytosis with massive lymphadenopathy (Rosai-Dorfman disease): report of two cases with fine-needle aspiration cytology. Diagn Cytopathol 2001 Jan; 24(1): 42-5.
