Difetto interatriale ostium secundum: chiusura transcatetere
Cardiologia Pediatrica, *Cardiologia Invasiva, **Terapia Intensiva Cardiochirurgica, ***Pediatria
A.O. San Carlo, Potenza
Indirizzo per la corrispondenza: Dr. Ugo Vairo, Cardiologia Pediatrica, Azienda Ospedaliera San Carlo, Via Potito Petrone, 85100 Potenza. Tel/Fax 0971-613035. E-mail: cardiopedsancarlo@tiscali.it
Parole chiave: cardiopatie congenite, difetto interatriale, chiusura transcatetere con dispositivo di Amplatz
Transcatheter closure of ostium secundum atrial septal defect
Key words: congenital heart disease, atrial septal defect, transcatheter closure with Amplatzer device
Summary
Transcatheter closure of ostium secundum atrial septal defect with the Amplatzer Septal Occluder was performed in 40 patients (from March 2000 to December 2003) ranging in age from 2 to 67 years (median 23 years). Accurate assessment by transesophageal echocardiography before attempting the transcatheter closure is very important in order to recognize the variability in morphology of the defects and also to avoid any incorrect procedure such as device embolization, residual shunting or atrioventricular valves incompetence. A rim of 5 mm is mandatory around the defect except at the aortic level. Three patients had an associated aneurysm of the atrial septum. Three patients had multiple defects. The stretched diameter of the defects that were closed ranged from 9 to 32 mm (median 17.6 mm) and device sizes ranged from 10 to 34 mm (median 18 mm). The defects were closed with a single device and in one case of the multiple defects are used two devices. At 6 month follow-up 30/31 (96.7%) patients had complete closure of their defects. The only complication encountered was a device embolization in a 16-year-old girl with surgical removal. The Amplatzer Septal Occluder device has demonstrated excellent clinical success in the closure of secundum atrial septal defect.
Riassunto
Da marzo 2000 a dicembre 2003, 40 pazienti (31 femmine e 9 maschi) con età da 2 a 67 anni (media 23 anni) sono stati sottoposti a chiusura transcatetere del difetto interatriale ostium secundum con dispositivo di Amplatz.
Per la selezione dei pazienti adulti, oltre all’ecocardiografia transtoracica, viene eseguito un esame ecocardiografico transesofageo al fine di escludere, a priori, i casi con anatomia sfavorevole. Per i pazienti in età pediatrica la valutazione con ecocardiografia transesofagea viene effettuata in sala di emodinamica. Tutte le procedure vengono realizzate in anestesia generale.
Tre pazienti presentavano un difetto singolo associato ad aneurisma del setto interatriale e tre pazienti difetti multipli.
Il diametro del difetto, calcolato con “stretched diameter”, variava da 9 a 32 mm (media 17.6 mm) e la misura dei dispositivi utilizzati da 10 a 34 mm (media 18 mm). Tutti i difetti sono stati chiusi utilizzando un singolo device ad eccezione di una paziente con difetti multipli in cui sono stati utilizzati due device di diverso diametro.
A sei mesi di follow up sono stati controllati 31 pazienti. In 30 casi è stata ottenuta la chiusura completa del difetto; in una paziente adulta si è verificata l’embolizzazione della protesi nel tronco dell’arteria polmonare, rimossa chirurgicamente con contestuale chiusura del difetto.
In 26 casi (86.6%) la chiusura è stata immediata, in 2 casi è avvenuta entro le 24 h (93.3%), in 1 caso ad un mese (96.6%) e, nell’altro caso al controllo a sei mesi.
Sono stati raccolti dati preliminari riguardanti: 1) la dilatazione del ventricolo destro (dimensione diastolica della cavità ventricolare destra; rapporto tra quest’ultima ed il diametro diastolico del ventricolo sinistro); 2) movimento paradosso del setto interventricolare; 3) pressione sistolica in arteria polmonare.
I pazienti sono stati suddivisi in quattro gruppi: I- fino a 10 anni; II- da 10 a 20 anni; III- da 20 a 40 anni; IV- oltre 40 anni.
In linea con i dati della letteratura, si conferma la sicurezza e l’efficacia del dispositivo di Amplatz nella chiusura transcatetere del difetto interatriale ostium secundum.
Anche nei soggetti adulti si ottiene una significativa riduzione delle dimensioni della cavità ventricolare destra e del movimento paradosso del setto già ad un mese dalla procedura. Al contrario, dopo i 40 anni la pressione sistolica in arteria polmonare declina più lentamente tanto che, nella nostra casistica, i valori sono superiori a 35 mmHg nel 45% dei pazienti, a sei mesi dalla procedura.
La prima esperienza di chiusura del difetto interatriale ostium secundum, in corso di cateterismo cardiaco, risale al 1974 (1,2). Nonostante il fiorire di numerosi nuovi sistemi di occlusione, l’esperienza clinica è rimasta a lungo limitata (3-17). Il device che ha ottenuto un’affermazione ampia “worldwide” è il sistema di Amplatz (18-24). La chiusura transcatetere con dispositivo Amplatzer è, oggi, da tutti ritenuta sicura ed efficace tanto da poterla considerare non più un’alternativa alla tradizionale chirurgia ma metodica di prima scelta nella chiusura del difetto interatriale ostium secundum.
Difetti del setto interatriale
I difetti del setto interatriale, isolati o associati ad altre cardiopatie, possono presentare ampiezza e sedi diverse (25).
La pervietà del forame ovale rappresenta non tanto un difetto del setto quanto la persistenza della comunicazione tra i due atri, normalmente presente in epoca fetale. In genere è priva di significato emodinamico.
Il difetto interatriale “tipo fossa ovale” interessa in parte o per intero il piano della fossa ovale. La denominazione “difetto tipo ostium secundum” viene spesso utilizzata per identificare questo tipo di difetto. Talvolta può riscontrarsi un aneurisma del setto più o meno cribrato. Quando sono presenti più fori si parla di difetti multipli o di setto multifenestrato.
Il difetto interatriale alto “tipo vena cava superiore”, anche se compreso nella regione dell’ostium secundum, è localizzato al di fuori del limbus della fossa ovale in prossimità dello sbocco della vena cava superiore. Raro come difetto isolato, si associa abitualmente a drenaggio anomalo, in atrio destro, della vena polmonare superiore destra che per la localizzazione del difetto può essere, in genere, solo di tipo funzionale.
Il difetto interatriale basso “tipo vena cava inferiore” è situato sempre al di fuori del limbus della fossa ovale ma in vicinanza dello sbocco della vena cava inferiore. È un difetto estremamente raro sia in forma isolata che associato ad altre cardiopatie.
I difetti situati in prossimità dello sbocco delle vene cave, localizzati nella cosiddetta porzione sinusale degli atri, vengono indicati anche con il termine di difetti tipo seno venoso.
Il difetto interatriale “tipo seno coronario” è esteso all’orifizio ed alla valvola del seno coronarico (valvola di Tebesio).
L’atrio comune, espressione della completa assenza del setto interatriale, è di frequente riscontro negli isomerismi atriali.
Il difetto ostium primum è tipico del canale atrioventricolare.
L’incidenza dei difetti interatriali, escludendo l’ostium primum del canale atrioventricolare parziale, varia tra il 6% e l’11% di tutte le malformazioni cardiache (26). Essi rappresentano circa il 10% delle cardiopatie congenite presenti alla nascita ed oltre il 40% di quelle diagnosticate dopo i 40 anni di età (27, 28). Il sesso femminile è interessato da questa malattia con una frequenza doppia rispetto al sesso maschile.
Dopo la valvola aortica bicuspide, il difetto interatriale è la più comune cardiopatia congenita riscontrabile in età adulta (29). Il difetto più frequente (2/3 dei casi) è l’ostium secundum (“tipo fossa ovale”).
Nei figli di genitori portatori di difetto interatriale, l’incidenza della malformazione è 37 volte superiore a quella della popolazione in generale (30). La ricorrenza per trasmissione materna è del 4-5%, quella paterna dell’1.5% (31).
Dagli studi, non numerosi, riguardanti la storia naturale del difetto interatriale si evidenzia che la mortalità entro il primo anno di vita è appena dello 0.1%. La quasi totalità dei pazienti raggiunge la prima e la seconda decade di vita, in genere in pieno benessere (28). Poiché il difetto è più frequente nel sesso femminile, è utile segnalare che le gravidanze sono, di solito, ben sopportate.
L’assenza o la scarsità di sintomi può indurre a ritardare la diagnosi in qualche caso fino ad età avanzata (32). Dopo la terza decade di vita, tuttavia, è più frequente la comparsa di aritmie atriali, rappresentate prevalentemente da episodi parossistici di fibrillazione atriale, con tendenza, nel tempo, alla cronicizzazione (33,34).
La mortalità, anche per difetti interatriali molto ampi, non è superiore al 25%. Le complicanze potenzialmente letali, quali l’ipertensione polmonare e lo scompenso cardiaco, tendono a manifestarsi molto tardi per cui non è escluso che concomitanti cause non cardiache possano, infine, essere responsabili del decesso di questi pazienti (35). Le lesioni del letto arteriolare polmonare, da iperafflusso polmonare cronico, raramente raggiungono il grado di vasculopatia polmonare irreversibile.
Alla relativa benignità assegnata alla storia naturale di questa malattia si contrappongono alcune rare eccezioni, caratterizzate dalla comparsa di scompenso cardiaco già nei primi anni di vita (36). Si ritiene che l’insorgenza di scompenso cardiaco precoce sia dovuto non all’entità dello shunt ma ad alterazioni extracardiache, che possono interessare il polmone, il sistema nervoso e l’apparato gastrointestinale (37).
Entro il primo anno di vita, è possibile assistere anche alla chiusura spontanea del difetto con una incidenza valutata tra il 14% ed il 22% (38,39). Ciò può avvenire solo per difetti con diametro inferiore ad 8 millimetri (40).
Gli aspetti fisiopatologici dipendono, soprattutto, dall’entità dello shunt, dalla durata della sua persistenza e dalla reazione del letto vascolare polmonare. Nei difetti ampi, con significativo shunt sinistro-destro, l’atrio destro ed il ventricolo destro vanno incontro a dilatazione per sovraccarico di volume. Si ha aumento della gittata polmonare, ma non delle pressioni polmonari che rimangono quasi sempre basse. Raramente, anche nelle forme inveterate dell’adulto, si sviluppano vasculopatia ed ipertensione polmonare.
Sotto il profilo clinico la malattia si caratterizza, in genere, per la presenza di un soffio sistolico moderato, presente sul focolaio polmonare, per lo sdoppiamento fisso del secondo tono, per un soffio diastolico da iperafflusso transtricuspidale, per un volume cardiaco lievemente aumentato con arco medio sinistro saliente alla radiografia del torace e per un blocco di branca destro incompleto all’elettrocardiogramma. Un elettrocardiogramma normale, tuttavia, è presente nel 15-20% dei casi. Eccezionalmente i ritorni venosi polmonari parziali possono non associarsi a difetto interatriale. In questo caso, presentano una semiologia completamente sovrapponibile a quella del difetto interatriale.
Mentre sono da tutti accettati ed accertati i benefici della correzione del difetto interatriale in età pediatrica (l’epoca ideale per la correzione è l’età prescolare), in quanto, la chiusura determina la normalizzazione dell’anatomia e della funzione cardiaca, ricostituendo una normale aspettativa di vita (32), esistono tuttora dubbi e controversie sulla effettiva utilità prognostica di chiudere, in ogni caso, il difetto interatriale soprattutto dopo i 40 anni (28,41-42). In generale vi è indicazione alla chiusura quando il difetto determina sovraccarico ventricolare destro con un rapporto tra la portata polmonare e la portata sistemica ≥ 1.5 (43).
La tradizionale chiusura chirurgica del difetto interatriale è sicura e con bassa incidenza di complicanze (44). Attualmente la mortalità è inferiore all’1% e solo il 2% dei pazienti necessita di reintervento per shunt residuo. La prognosi a lungo termine dei pazienti operati è eccellente con il solo rischio, stimato in misura non trascurabile, di tachiaritmie sopraventricolari in età adulta e a distanza dall’intervento. La correzione chirurgica richiede il bypass cardiopolmonare e l’atriotomia destra. L’approccio sia per sternotomia mediana (il più usato), sia sottomammario toraco-laterale o minitoracotomico determina cicatrici spesso evidenti che possono avere rilevanti conseguenze sotto il profilo psico-relazionale soprattutto in adolescenti e giovani adulti, in genere asintomatici al momento dell’indicazione al trattamento (45). La tecnica chirurgica mediante robotica è tutt’ora in fase di sperimentazione clinica (46).
La storia “innaturale” (postchirurgica) del difetto interatriale è fortemente condizionata dall’età alla correzione. Se la chiusura del difetto viene eseguita nei primi anni di vita, o nell’adolescenza, la sopravvivenza è del tutto sovrapponibile a quella di una popolazione normale di controllo. La chiusura del difetto in età giovanile (prima dei 25 anni) ricostituisce, comunque, una normale aspettativa di vita. Al contrario la sopravvivenza a lungo termine nei pazienti operati fra 25 e 40 anni è buona ma inferiore a quella della popolazione generale e la mortalità tardiva risulta significativamente aumentata in pazienti con età all’intervento ≥ 40 anni. In pazienti operati tardivamente, scompenso cardiaco, fibrillazione atriale ed embolie cerebrali sono riportate con un’incidenza significativamente aumentata (32,44). In assenza di intervento l’attesa di vita è inferiore a quella della popolazione generale, ma la sopravvivenza si protrae, comunque, fino all’età adulta. Con il passare del tempo, l’intervento acquista sempre più il carattere di “intervento palliativo” (47).
Chiusura percutanea
È suscettibile di chiusura percutanea transcatetere il difetto interatriale ostium secundum “tipo fossa ovale” (Figura 1). Le indicazioni alla chiusura sono le stesse della chirurgia. Possono essere chiusi, con il dispositivo di Amplatz, difetti anche molto ampi (diametro “stretched” fino a 40 mm) purché con caratteristiche anatomiche favorevoli: distanza tra margine del difetto (rim) e vena polmonare superiore destra, seno coronarico, vena cava superiore, vena cava inferiore e valvole atrioventricolari di almeno 5 mm. Le controindicazioni alla chiusura percutanea sono riportate in Tabella 1.
Il dispositivo di Amplatz è costituito da un doppio disco realizzato con fili di nitinol (55% Nichel e 45% Titanio) tra loro intrecciati. Al centro è presente, per connettere i due dischi, un vero stent, che “riempie” e quindi occupa il difetto. I dischi contengono Dacron che favorisce in pochissimo tempo la deposizione di fibrina e la completa occlusione del difetto (Figura 2) (48).
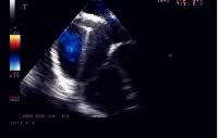
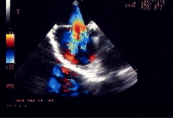
La procedura di impianto viene eseguita in anestesia generale con intubazione del paziente. Un ruolo essenziale, in tutte le fasi della procedura, è svolto dall’ecocardiografia transesofagea. Essa detta le indicazioni alla “fattibilità” (diametro del difetto, misura dei rims settali, ritorni venosi, anatomia atriale), guida l’operatore nel posizionamento della protesi a cavallo del difetto e nel successivo rilascio della stessa, permette una immediata valutazione del risultato (“tenuta” del device dopo rilascio, shunt residuo) (Figure 1, 3, 4). Dall’ottimale utilizzo e dall’esatta interpretazione dei dati forniti dall’ecocardiografia transesofagea dipende in larga parte la riuscita della procedura. Alcuni Autori riportano l’impiego di altri sistemi di monitoraggio durante la procedura quale ad esempio l’ecocardiografia intracavitaria (49). Quest’ultima consentirebbe di evitare l’uso dell’ecocardiografia transesofagea e quindi la necessità dell’intubazione.
Ai pazienti viene somministrato antibiotico a largo spettro prima e per 24/48 ore dopo la procedura. Per sei mesi, in attesa della completa endotelizzazione del dispositivo, il paziente effettuerà terapia antiaggregante con aspirina alla dose di 5 mg/Kg/die e profilassi dell’endocardite batterica. Nei pazienti adulti sono sufficienti 100 mg di ASA/die (Tabella 2). Il follow-up prevede una radiografia del torace in AP ed LL ed un esame ecocardiografico transtoracico il giorno successivo alla procedura (Figura 5). In questa stessa giornata, in assenza di complicanze, il paziente può essere dimesso.
I controlli clinici successivi, che prevedono l’esecuzione di un elettrocardiogramma standard ed un esame ecocardiografico transtoracico, verranno programmati ad 1 mese, 6 mesi e ad 1 anno dalla procedura (Tabella 3).
Casistica
Da marzo 2000 a dicembre 2003, sono giunti alla nostra osservazione 53 pazienti con difetto interatriale ostium secundum e con indicazione alla chiusura.
Per la selezione dei pazienti adulti, oltre all’ecocardiografia transtoracica, è stato effettuato un esame ecocardiografico transesofageo al fine di escludere, a priori, i casi con anatomia sfavorevole. Per i pazienti in età pediatrica la valutazione con ecocardiografia transesofagea è stata eseguita in sala di emodinamica.
13 pazienti (24.5%), 4 bambini (30.8%) (età compresa tra 2 e 10 anni, media 4,5 anni) e 9 adulti (69.2%) (età compresa tra 18 e 53 anni, media 29.8 anni) sono stati ritenuti non idonei alla chiusura transcatetere per anatomia sfavorevole del difetto e, pertanto, sono stati affidati al chirurgo.
40 pazienti (75.5%), 31 femmine e 9 maschi di età compresa tra 2 e 67 anni (media 23 anni) sono stati sottoposti a chiusura transcatetere del difetto interatriale ostium secundum con dispositivo di Amplatz.
Tutte le procedure sono state realizzate in anestesia generale.
Tre pazienti presentavano un difetto singolo associato ad aneurisma del setto interatriale e tre pazienti avevano difetti multipli. In una paziente di 14 anni veniva evidenziato all’ecocardiografia transesofagea e confermato angiograficamente il ritorno venoso anomalo della vena polmonare superiore destra in vena cava superiore. La chiusura del difetto interatriale veniva praticata nel corso di un successivo cateterismo cardiaco dopo aver richiesto ed ottenuto un nuovo consenso dai genitori.
Il diametro del difetto, calcolato con “stretched diameter”, variava da 9 a 32 mm (media 17.6 mm) e la misura dei dispositivi utilizzati da 10 a 34 mm (media 18 mm). Tutti i difetti sono stati chiusi utilizzando un singolo device ad eccezione di una paziente con difetti multipli in cui sono stati utilizzati due device di diverso diametro.
A sei mesi di follow up sono stati controllati 31 pazienti. In 30 casi è stata ottenuta la chiusura completa del difetto; in una paziente adulta, nella quale è stato utilizzato un dispositivo di 34 mm, si è verificata l’embolizzazione della protesi in arteria polmonare a 30 minuti circa dalla fine della procedura. L’Amplatzer è stato rimosso dal chirurgo, che ha provveduto, comunque, alla chiusura con patch del difetto interatriale.
In 26 casi (86.6%) la chiusura è stata immediata, in 2 casi è avvenuta entro le 24 h (93.3%), in 1 caso ad un mese (96.6%) e, nell’altro caso al controllo a sei mesi (Tabella 4).
La degenza ospedaliera è stata, in media, di due giorni e mezzo.
Un paziente di 46 anni ha mostrato, al controllo ad un mese, fibrillazione atriale, regredita prima spontaneamente e successivamente con Amiodarone. Sotto terapia anticoagulante ha mostrato, al controllo a tre mesi, la ripresa dell’aritmia nonostante il farmaco antiaritmico. Ad 1 anno dalla procedura il paziente è in ritmo sinusale, in terapia con Propafenone.
I pazienti sono stati suddivisi in quattro gruppi: I gruppo - fino a 10 anni; II gruppo - da 10 a 20 anni; III gruppo - da 20 a 40 anni; IV gruppo - oltre 40 anni (Tabella 5).
Sono stati raccolti dati preliminari (follow-up a sei mesi) riguardanti: 1) la dilatazione del ventricolo destro (dimensione diastolica della cavità ventricolare destra; rapporto tra quest’ultima ed il diametro diastolico del ventricolo sinistro); 2) movimento paradosso del setto interventricolare; 3) pressione sistolica in arteria polmonare (calcolata al Doppler CW e derivata dal rigurgito tricuspidale). I risultati sono riportati in Tabella 6.
Discussione
Il successo delle procedure di occlusione transcatetere del difetto interatriale dipende dalla accurata selezione dei pazienti e dalla esperienza degli operatori.
L’80% circa dei pazienti con difetto interatriale ostium secundum isolato può essere sottoposto a chiusura percutanea. Nella nostra esperienza il 24.5% dei pazienti (70% adulti) è stato indirizzato alla chirurgia.
La percentuale di successo (assenza di shunt residuo ad 1 anno) è alta (98%).
Le complicanze, anche se notevolmente ridotte in virtù delle migliorate esperienze tecniche, non sono trascurabili e vanno pertanto considerate. Documentate in recenti ed ampie casistiche (50,51), le più importanti sono: embolizzazione del dispositivo (1.6-2%), aritmie sopraventricolari (1.6-8%), insufficienza mitralica (1.5%), stroke/TIA (0.5%), formazioni trombotiche formatesi precocemente sul dispositivo (1-2%). L’incidenza di complicanze, cosiddette maggiori e minori, non è, tuttavia, superiore al 6%. Vengono purtroppo riferiti anche episodi di morte improvvisa, apparentemente non collegabili all’impianto della protesi (52-53).
In linea con i dati della letteratura, anche nella nostra esperienza si conferma la sicurezza e l’efficacia del dispositivo di Amplatz nella chiusura del difetto interatriale ostium secundum con il 96.8% di occlusione completa a 6 mesi dalla procedura. Nei soggetti adulti di età superiore a 40 anni (19.3%), il dato di confronto più rilevante con i gruppi di pazienti fino a 10 anni (54.8%), da 10 a 20 (9.7%) e da 20 a 40 (16.2%), è dato dalla pressione sistolica in arteria polmonare che declina più lentamente, tanto che, nella nostra casistica, i valori sono superiori a 35 mmHg nel 45% dei pazienti a sei mesi dalla procedura.
La degenza ospedaliera è molto breve (54).
Per essere alternativo alla tradizionale chirurgia, un dispositivo di chiusura percutanea deve quanto meno rispondere ai seguenti requisiti: elevata percentuale di chiusura, bassa incidenza di complicanze maggiori, facilità di impianto (55).
Formigari et al (56), in un recente confronto tra chiusura chirurgica (sternotomia mediana, chirurgia mini-invasiva) e chiusura percutanea, in una popolazione pediatrica, ha rilevato una minore incidenza di complicanze con quest’ultima procedura. I tempi di degenza sono stati molto più brevi per la procedura interventistica (in media tre giorni), mentre i costi sia della procedura chirurgica che percutanea sono sostanzialmente sovrapponibili a causa dell’elevato costo del dispositivo di Amplatz (circa 9.000 Euro). Va inoltre considerato che la tecnica percutanea è di gran lunga più accettata, per un evidente minore impatto fisico ed emotivo (45).
In conclusione la chiusura transcatetere del difetto interatriale ostium secundum con dispositivo di Amplatz è ormai da tutti ritenuta una procedura molto sicura ed efficace.
In virtù dell’alta percentuale di chiusura, della facilità e rapidità di impianto, della bassa incidenza di complicanze, del basso grado di impatto fisico ed emotivo sul paziente (assenza di circolazione extracorporea, assenza di cicatrici, tempi ridotti di ricovero ospedaliero senza necessità di “passaggio” in terapia intensiva), si considera la chiusura percutanea transcatetere del difetto interatriale ostium secundum la metodica di prima scelta. Andranno affidati comunque al chirurgo tutti quei casi che, per la sede e le dimensioni del difetto, non si prestano alla chiusura percutanea (difetti con anatomia sfavorevole).
Ringraziamenti
Un particolare ringraziamento va al personale infermieristico e tecnico (Capalbi Maria Teresa, Cerqua Anna Maria, Galotta Canio, Kuzumbachi Maria Nunzia*, Lella Raffaella*, Marinelli Maria Rosaria, Pasquariello Lucia, Risoli Raffaele, Tessalon Raffaella, Fontana Michele, Gioscio Vincenzo, Luongo Giuseppe, Mautone Salvatore†) per la preziosa ed irrinunciabile collaborazione offerta in Sala di Emodinamica durante l’esecuzione delle procedure e (*) nei controlli ambulatoriali a distanza.
Bibliografia
- King TD, Mills NL. Nonoperative closure of atrial septal defect. Surgery 1974; 75: 383-388.
- King TD, Thompson SL, Steiner C, Mills NL. Secundum atrial septal defect: nonoperative closure during cardiac catheterization. JAMA 1986;235:2506-9.
- Rashkind W. Transcatheter treatment of congenital heart disease. Circulation 1983;67:711-716.
- Sievert H, Bussmann WD, Kaltenbach M. Closure of left-to-right shunts by catheter technique. In Invasive cardiovascular therapy edited by Hilger HH and Hombach V, Rashkind WJ. 1987 Martinus Nijhoff Publishers; 25-38.
- Lock JE, Cockerham JT, Keane JF, Finley JP, Wakely PE, Fellows KE. Transcatheter umbrella closure of congenital heart defects. Circulation 1987;75:593-599.
- Rashkind WJ, Mullins CE, Hellembrand WE, Tait MA. Non surgical closure of patent ductus arteriosus: clinical application of the Rashkind PDA occluder system. Circulation 1987; 75:583-92.
- Ballerini L, Mullins CE, Cifarelli A, Pasquini L, Vairo U, Bermudez Canete R, Picchio FM, Bonvicini M, Marzocchi A, Piovaccari G. Chiusura non chirurgica del dotto arterioso pervio in età pediatrica con dispositivo di Rashkind a doppio ombrello. G Ital Cardiol 1990;20:805-809.
- Lock JE, Rome JJ, Davis R, Van Praagh S, Perry SB, Van Praagh R, Keane JF. Transcatheter closure of atrial septal defect. Experimental studies. Circulation 1989;79:1091-1099.
- Rome JJ, Keane JF, Perry SB, Spevak PJ, Lock JE. Double-umbrella closure of atrial defects. Initial clinical applications. Circulation 1990;82:751-758.
- Prieto LR, Foreman CK, Cheatham JP, Latson LA. Intermediate-term outcome of transcathheter secundum atrial septal defect closure using the Bard Clamshell septal umbrella. Am J Cardiol 1996;78:1310-1312.
- Justo RN, Nykanen DG, Boutin C, McCrindle B, Freedom RM, Benson LN. Clinical impact of transcatheter closure of secundum atrial septal defects with the double umbrella device. Am J Cardiol 1996;77:889-892.
- Sideris EB, Sideris SE, Thanopoulos BD, Ehly RL, Fowlkes JP. Am J Cardiol 1990;66:1524-1526.
- Das SG, Voss G, Jarvis G, Wyche K, Gunther R, Wilson RF. Experimental atrial septal defect closure with a new, transcatheter, self-centering device. Circulation 1993;88 part 1:1754-1764.
- Babic UU, Grujicic S, Popovic Z, Djurisic Z, Vucinic M, Pejcic P. Double-umbrella device for transvenous closure of patent ductus arteriosus and atrial septal defect: first experience. Journal of Interventional Cardiology 1991;4:283-294.
- Hausdorf G, Kaulitz R, Paul T, Carminati M, Lock J. Transcatheter closure of atrial septal defect with a new flexible, self-centering device (the STARFlex Occluder). Am J Cardiol 1999;84:1113-1116.
- Sievert H, Wilson N, Trepels T. Catheter closure of patent foramen ovale: experience with the new Helex occluder. Eur Heart J 2001 (Abstract Supplement);22:42.
- Zahn EM, Wilson N, Cutright W, Latson LA. Development and testing of the Helex Septal Occluder, a new expanded polytetrafluoroethylene atrial septal defect occlusion system. Circulation 2001;104:711-716.
- Sharafuddin MJA, Gu X, Titus JL, Urness M, Cervera-Ceballos JJ, Amplatz K. Transvenous closure of secundum atrial septal defects. Preliminary results with a new self-expanding nitinol prosthesis in a swine model. Circulation 1997;95:2162-2168.
- Masura J, Gavora P, Formanek A, Hijazi Ziyad M. Transcatheter closure of secundum atrial septal defects using the new self-centering Amplatzer Septal Occluder. Cathet Cardiovasc Diagn 1997;42:388-393.
- Du ZD, Hijazi ZM, Kleinman CS, Silverman NH, Larntz K. Comparison between transcatheter and surgical closure of secundum atrial septal defect in children and adult. J Am Coll Cardiol 2002;39:1836-1844.
- Cao QL, Du ZD, Joseph A, Koenig P, Heitschmidt M, Rhodes J, Hijazi ZM. Immediate and six-month results of the profile of the Amplatzer Septal Occluder as assessed by transesophageal echocardiography. Am J Cardiol 2001;88:754-759.
- Waight DJ, Bacha EA, Kahana M, Cao QL, Heitschmidt M, Hijazi ZM. Catheter therapy of swiss cheese ventricular septal defects using the Amplatzer Muscular VSD Occluder. Cathet Cardiovasc Intervent 2002;55:355-361.
- Hakim F, Madani A, Hawelech A, Tarawneh W, Hiari A, Cao QL, Hijazi ZM. Catheter closure of perimembranous ventricular septal defect using the new Amplatzer Membranous VSD Occluder: initial clinical experience. PICS September 22-25, 2002 Chicago, Illinois. Cathet Cardiovasc Intervent 2002;57:99.
- Du ZD, Cao QL, Joseph A, Koenig P, Heischmidt M, Waight DJ, Rhodes J, Brorson J, Hijazi ZM. Transcatheter closure of patent foramen ovale in patients with paradoxical embolism: intermediate-term risk of recurrent neurological events. Cathet Cardiovasc Intervent 2002;55:189-194.
- Calabrò R, Caso P, de Leva F, Iacono C, Vairo U. Difetti del setto interatriale. In Ecocardiografia transesofagea e transtoracica delle cardiopatie congenite. Ed. Piccin-Padova. 1998; pag.123-135.
- Valdez-Cruz LM, Cayre RO. Atrial septal defects. Echocardiographic diagnosis of congenital heart disease. An embryologic and anatomic approach. Lippincott-Raven. 187-199.
- Hoffman JIE. Incidence of congenital heart disease. Postnatal incidence. Pediatr Cardiol 1995;16:103-113.
- Campbell M. Natural history of atrial septal defects. Br Heart J 1970;32:820-826.
- Shan D, Azhar M, Oakley CM, Cleland JGF, Nihoyannopoulos P. Natural history of secundum atrial septal defect in adults after medical or surgical treatment: a historical prospective study. Br Heart J 1994;71:224-228.
- Nora JJ, Dodd PF, McNamara DG et al. Risk to offspring of parents with congenital heart defects. JAMA 1969;209:2052.
- Nora JJ, Nora AH. Update on counseling the family with a first-degree relative with a congenital heart defect. Am J Med Genet 1988;29:137-142.
- Favilli S, Zuppiroli A, Mori F, Santoro G, Manetti A, Dolara A. Il paziente con difetto interatriale riconosciuto in età adulta deve essere sempre operato? G Ital Cardiol 1999;29:1302-1307.
- Gatzoulis MA, Freeman MA, Siu SC, Webb GD, Harris L. Atrial arrhythmia after surgical closure of atrial septal defects in adults. N Engl J Med 1999;340:839-846.
- Calabrò R, Pacileo G, Pisacane C, Russo MG. Fisiopatologia e funzione ventricolare delle cardiopatie in età pediatrica. Valutazione ecocardiografica. Difetto interatriale. Capitolo 6:145-161; Piccin Nuova Libraria-Padova; 1997.
- Magilligan DJ, Lam CR, Lewis JW. Late results of atrial septal defect repair in adults. Arch Surg 1978;113:1245-1251.
- Gordovilla-Zurdo G, Cabo-Salvator J. Surgery of symptomatic interauricular communication in the first year of life. An Esp Pediatr 1988;29:94-98.
- Rudolph AM. Atrial septal defect. In Rudolph AM (ed). Congenital disease of the heart. Chicago, Year Book Medical Publisher, 1974;264.
- Cockerham JT, Martin TC, Gutierrez FR. Spontaneous closure of secundum atrial defect in infant and young children. Am J Cardiol 1983;52:1267-71.
- Ghisla RP, Hannon DW, Meye RA, Kaplan S. Spontaneous closure of isolated secundum atrial septal defects in infants: an echocardiographic study. Am Heart J 1985;109:1327-33.
- Radzik D, Davignon A, Van Doesburg N. Predictive factors for spontaneous closure of atrial septal defects diagnosed in the first 3 months of life. J Am Coll Cardiol 1993;22:851-3.
- Webb G. Do patients over 40 years of age benefit from closure of an atrial septal defect? Heart 2001;85:249-250.
- Jemielity M, Dyszkiewicz W, Paluszkiewicz L, Perek B, Buczkowski P, Ponizynski A. Do patients over 40 years of age benefit from surgical closure of an atrial septal defect? Heart 2001;85:300-303.
- Konstantinides S, Geibel A, Olschewski M. A comparison of surgical and medical therapy for atrial septal defect in adult. N Engl J Med 1995;333:469-473.
- Murphy JC, Gersh BJ, McGoon MD, Mair DD, Porter CJ, Ilstrup DM, McGoon DC, Puga FJ, Kirklin JW, Danielson GK. Long-term outcome after surgical repair of isolated atrial septal defect. N Engl J Med 1990;323:1645-1650.
- Visconti KJ, Bichell DP, Jonas RA, Newburger JW, Bellinger DC. Developmental outcome after surgical versus interventional closure of secundum atrial septal defect in children. Circulation 1999;100(19 Suppl):II 145-150.
- Torraca L, Ismeno G, Alfieri O. Totally endoscopic atrial septal defect closure using robotic techniques: report of two cases. It Heart J 2000;1:698-701.
- Abbate M, Lomeo A, Patanè L, Urso E, Gentile M, Motta D, Guarnera S, D’Arrigo G, Greco G. La comunicazione interatriale in età adulta: risultati chirurgici. Il Cuore Vol. VII n. 6 Novembre/Dicembre 1990;701-707.
- http://www.amplatzer.com
- Hijazi ZM, Wang Z, Cao QL, Koenig P, Waght D, Lang R. Transcatheter closure of atrial septal defect and patent foramen ovale under intracardiac echocardiographic guidance. Cathet Cardiovasc Intervent 2001;52:194-199.
- Wilkinson JL. Can transcatheter closure of atrial septal defect be regarded as a “standard” procedure? Cardiol Young 1999;9:458-461.
- Chessa M, Butera G, Bini RM, Rosti L, Drago M, Pomè G, Giamberti A, Carminati M, Yousef R. Complications associated with atrial septal defect transcatheter closure. Eur Heart J 2001 (Abstract Supplement);22:470.
- Piéchaud JF. Transcatheter closure of atrial septal defects with the Amplatzer Septal Occluder. 3rd International Workshop on Interventional Pediatric Cardiology. San Donato Milanese, Italy, March 2001.
- Carminati M, Butera GF, Bini RM, Chessa M, Drago M. Transcatheter closure of atrial septal defects with different size and morphology: matching device to septal anatomy. 3rd International Workshop on Interventional Pediatric Cardiology. San Donato Milanese, Italy, March 2001.
- Vairo U, Pucci E, Fiorilli R, Argento G, Adurno G, Fasano ML, Di Segni M, Violini R. Transcatheter closure of atrial septal defect with Amplatzer Septal Occluder. Ital Heart J 2001;2 Suppl 4:27.
- Aggetti A, Carano N, Barone A, Tchana B, Squarcia A, Squarcia U. Chiusura del difetto interatriale mediante cateterismo cardiaco interventistico: risultati con un nuovo dispositivo. Riv Ital Pediatr 2001;27:331-336.
- Formigari R, Di Donato RM, Mazzera E, Carotti A, Rinelli G, Parisi F, Pasquini L, Ballerini L. Minimally invasive or interventional repair of atrial septal defects in children: experience in 171 cases and comparison with conventional strategies. J Am Coll Cardiol 2001;37:1707-1712.
Tabelle
Tabella 1. Controindicazioni alla chiusura percutanea
- Anomalie associate che richiedono chirurgia
- Assenza dei rims settali superiore ed infero-posteriore
- Difetti multipli ed ampi
- Distorsioni dell’anatomia atriale
- Trombosi atriale, trombosi vena cava inferiore
- Endocardite, ogni infezione < 1 mese dalla procedura
- Neoplasie con aspettativa di vita inferiore a 3 anni
- Impossibilità ad ottenere il consenso informato
Tabella 2. Terapia e profilassi
| Terapia | Profilassi endocardite batterica | |
|---|---|---|
| Bambini | Antibiotico a largo spettro 24 h prima e per 24/48 h dopo la procedura. Acido acetilsalicilico 5 mg/Kg/die per almeno 6 mesi dopo la procedura | Per almeno 6 mesi dopo la procedura |
| Adulti | Antibiotico a largo spettro 24 h prima e per 24/48 h dopo la procedura. Acido acetilsalicilico 100 mg/die per almeno 6 mesi dopo la procedura | Per almeno 6 mesi dopo la procedura |
Tabella 3. Controlli e indagini
| Controlli | Indagini |
|---|---|
| A 24 h dalla procedura | Rx torace in AP e LL; visita cardiologica; ECG; ecocardiogramma transtoracico |
| A 1 mese, 6 mesi, 1 anno dalla procedura | Visita cardiologica; ECG; ecocardiogramma transtoracico |
Tabella 4. Risultati della chiusura
| Immediata | 24h | 1 mese | 6 mesi | |
|---|---|---|---|---|
| Totale pazienti: 31 (F 23, M 8). Età: da 2 a 67 anni (mediana 8 aa; media 20 aa) | ||||
| Chiusura completa | 26 (86.6%) | 28 (93.3%) | 29 (96.6%) | 30 |
| Trivial shunt | 3 (10%) | 1 (3.4%) | 0 | 0 |
| Minimo shunt | 1 (3.4%) | 1 (3.4%) | 1 (3.4%) | 0 |
| Shunt moderato | 1 | embolizzazione |
Tabella 5. Gruppi di pazienti
| N. pazienti | Età | |
|---|---|---|
| Gruppo I (fino a 10 aa) | 17 | 2-10 (media 5,3 aa) |
| Gruppo II (da 10 a 20 aa) | 3 | 11-18 (media 14,3 aa) |
| Gruppo III (da 20 a 40 aa) | 5 | 23-40 (media 31,6 aa) |
| Gruppo IV (oltre 40 aa) | 6 | 45-67 (media 53,8 aa) |
Tabella 6. Dati preliminari (follow-up a sei mesi)
| DVDx (mm) | VD/VS | MPS | PSAP (mmHg) | ||
|---|---|---|---|---|---|
| Gruppo I | Pre | 19.5 | 0.64 | 11 pz | 31.2 |
| 1m | 15.2 | 0.44 | 1 pz | 22.9 | |
| 6m | 14.2 | 0.41 | 0 pz | 21.3 | |
| Gruppo II | Pre | 27.7 | 0.73 | 3 | 34.5 |
| 1m | 24.5 | 0.59 | 0 | 30.5 | |
| 6m | 19.7 | 0.47 | 0 | 24.2 | |
| Gruppo III | Pre | 32.2 | 0.76 | 5 | 38 (3/5 >35 mmHg) |
| 1m | 24.4 | 0.56 | 1 | 30 (2/5 >35 mmHg) | |
| 6m | 22.2 | 0.47 | 1 | 28 (2/5 >35 mmHg) | |
| Gruppo IV | Pre | 27.8 | 0.74 | 4 | 46.6 (6/6 >35 mmHg) |
| 1m | 26 | 0.57 | 2 | 39.3 (4/6 >35 mmHg) | |
| 6m | 24.5 | 0.52 | 0 | 36.6 (3/6 >35 mmHg) |
DVDx = dimensione diastolica della cavità ventricolare destra; VD/VS = rapporto tra le dimensioni del ventricolo destro ed il diametro diastolico del ventricolo sinistro; MPS = movimento paradosso del setto; PSAP = pressione sistolica arteria polmonare.
Figure
