Encefalomielite acuta disseminata (ADEM): descrizione di un caso
U.O. Pediatria, Ospedale “Maurizio Bufalini”, Cesena
Indirizzo per corrispondenza: locatelli_chiara@libero.it
Acute disseminated encephalomyelitis (ADEM): a case report
Key words: Acute disseminated encephalomyelitis, diagnosis, treatment
Abstract
Acute disseminated encephalomyelitis (ADEM) is a rare acute inflammatory demyelinating disease of the central nervous system. It affects children and young adults and is characterized by a wide range of multifocal neurological signs. It is usually a monophasic disease, but occasionally it can be multiphasic so that the differential diagnosis of multiple sclerosis (MS) must be considered. We report the case of a 2-year-old child with sudden onset of neurological symptoms after a pharyngitis. The diagnosis of ADEM was made by magnetic resonance imaging that showed multiple high signal areas in the brain and in the spinal marrow. She was treated with high dose methylprednisolone for five days with a rapid improvement of neurological signs.
Introduzione
L’encefalomielite acuta disseminata (ADEM) è una rara malattia acuta demielinizzante multifocale del sistema nervoso centrale [1]. Esordisce improvvisamente con un ampio spettro di segni e sintomi neurologici spesso a breve distanza da un episodio infettivo o da una vaccinazione. La patogenesi non è ancora pienamente compresa anche se l’ipotesi più accreditata è che l’ADEM sia di origine immunomediata [2,3].
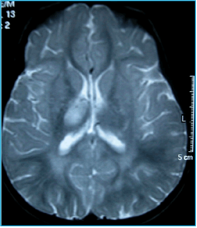
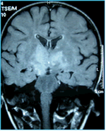
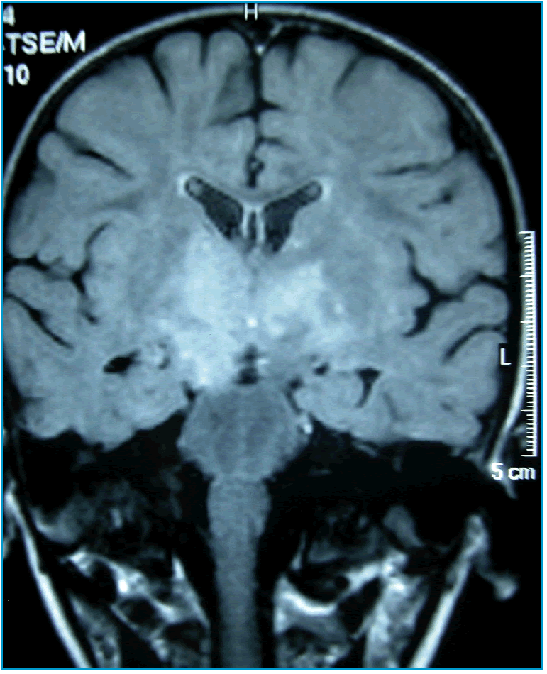
Fondamentale per la diagnosi è la RMN dell’encefalo e del midollo che mostra la presenza nelle sequenze T2-pesate di multiple aree iperintense che presentano caratteristicamente margini indistinti e assumono il mezzo di contrasto [4,5].
Il trattamento è basato su boli di metilprednisolone ad alte dosi (da 15 a 30 mg/kg/dose) per 3-5 giorni. Una valida alternativa è costituita dalle Ig e.v. (400-500 mg/Kg/die) per 4-5 giorni [3,6].
La prognosi della malattia è generalmente buona con completa restitutio ad integrum, nella maggior parte dei casi, nell’arco di alcune settimane o mesi. Raramente persistono deficit motori permanenti e/o riduzione dell’acuità visiva [7].
Caso clinico
S., 2 anni, viene ricoverata per improvvisa comparsa di manifestazioni neurologiche (irritabilità, atassia, emiparesi, disestesia, strabismo) a breve distanza da un’infezione delle vie aeree superiori. Gli indici di flogosi sono negativi e l’esame del liquor evidenzia una modesta pleiocitosi linfocitaria con glicorrachia e proteinorrachia normali e assenza di bande oligoclonali. La RMN mostra multiple aree di iperintensità a livello dell’encefalo, in corrispondenza del talamo, del peduncolo cerebrale dx, dei gangli della base, del chiasma ottico e dei tratti ottici, e del midollo spinale, a livello di C3-C5, C7-D3, D7-D8 (Figure 1-3). Alcune delle aree captano in maniera disomogenea il gadolinio. Nel sospetto di ADEM la bambina viene trattata con boli di metilprednisolone e.v. (10 mg/Kg) per 5 giorni con rapido miglioramento dei segni neurologici. Il follow-up a 5 mesi documenta un’obiettività neurologica pressoché normale e una significativa riduzione delle aree iperintense, precedentemente rilevate, alla RMN.
Discussione
La diagnosi di ADEM è essenzialmente clinica, anamnestica e neuroradiologica. È fondamentale differenziare l’ADEM dalla Sclerosi Multipla (SM), con cui condivide molte analogie, ma dalla quale si discosta soprattutto per la prognosi. Nel nostro caso il concomitare di un esordio polisintomatico preceduto da un’infezione respiratoria, la presenza alla RMN di lesioni multifocali, ed il decorso monofasico ci suggeriscono in prima istanza la diagnosi di ADEM piuttosto che di SM [8]. In realtà la diagnosi di certezza sarà possibile solo valutando l’andamento clinico e neuroradiologico della malattia in un follow-up di anni.
Bibliografia
- Balestri P, Grosso S. L’encefalomielite acuta disseminata (ADEM). Riv Ital Pediatr 2001; 27: 680-683.
- Murthy KSN, Faden HS, Cohen ME, Bakshi R. Acute disseminated encephalomyelitis in children. Pediatrics 2002; 110(2): 1-7.
- Stonehouse M, Gupte G, Wassmer E, Whitehouse WP. Acute disseminated encephalomyelitis: recognition in the hands of general paediatricians. Arch Dis Child 2003; 88:122-124.
- Khong PL, Ho HK, Cheng PW et al. Childhood acute disseminated encephalomyelitis: the role of brain and spinal cord MRI. Pediatr Radiol 2002; 32:59-66.
- Hynson JL, Kornberg AJ, Coleman LT et al. Clinical and neuroradiological features of acute disseminated encephalomyelitis in children. Neurology 2001; 56:1308-1312.
- Iannetti P, Polizzi A. Novità cliniche e terapeutiche sulle malattie demielinizzanti dell’infanzia. Prospettive in Pediatria 2003; 33: 251-264.
- Anlar B, Basaran C, Kose G et al. Acute disseminated encephalomyelitis in children: outcome and prognosis. Neuropediatrics 2003; 34:194-199.
- Dale RC, de Sousa C, Chong WK et al. Acute disseminated encephalomyelitis, multiphasic disseminated encephalomyelitis and multiple sclerosis in children. Brain 2000; 123:2407-2422.
