Trattamento ortognadontico del bambino con sindrome delle apnee ostruttive del sonno (OSAS)
U.O.C.Chirurgia Maxillo-Facciale,Ospedale S. Giovanni-Addolorata, Roma
Direttore: Prof. G. Poladas
Indirizzo per corrispondenza: alfio.buccheri@libero.it
Orthodontic treatment of child with obstructive sleep apnoea syndrome(OSAS)
Keywords: Obstructive sleep apnoea syndrome, mandibular advancement device, rapid maxillary expansion
Summary: Obstructive Sleep Apnoea Syndrome (OSAS) is a breathing disturbance, characterised by breathing halts during sleep, which affects 1 -3% of children. Therapy is different according OSAS aetiology and it can consist of either medical or surgical therapy, treatment with CPAP or orthodontic-orthopedic therapy. Orthodontic-orthopedic therapy consists in using intraoral devices, such as Rapid Maxillary Expansion(RME) or mandibular advancement appliances.
In this study the Author describe two clinical cases of OSAS patients, one treated with RME and the other with mandibular advancement appliance. In both patients an improvement in nocturnal apnoeas and snoring was obtained, as confirmed by polysomnographic tests.
Introduzione
La sindrome delle apnee notturne (OSAS) è un disturbo del sonno ad eziologia multifattoriale caratterizzato da episodi di totale-parziale ostruzione delle prime vie aeree durante il riposo notturno, con presenza di attività dei muscoli respiratori diaframmatici e assenza di flusso aereo oro-nasale. A ciò si associa desaturazione ossiemoglobinica e ipercapnia 1-4.
L'incidenza delle OSAS in età evolutiva si aggira intorno all'1-3% e colpisce prevalentemente la fascia di età compresa tra i 2 e 5 anni senza differenze tra i due sessi 1. La causa più comune di OSAS in età pediatrica è l'iperplasia adenotonsillare.
I meccanismi che entrano in gioco nel determinismo delle apnee ostruttive del bambino spesso risultano diversi da quelli dell'adulto. Il meccanismo patogenetico sarebbe legato alla anomala funzione dei muscoli dilatatori dell'orofaringe come il genioglosso la cui attività normalmente risulta in fase con l'inspirazione. L'alterata funzione o l'alterato controllo nervoso dei muscoli orofaringei, e del genioglosso in particolare, in associazione molto spesso ad una ipertrofia adenotonsillare, porta ad un collasso totale del lume faringeo 1-4. Altri fattori anatomici predisponesti sono rappresentati da: stenosi nasale, rinite stagionale, polipi nasali, macroglossia, palatoschisi, malformazioni cranio-facciali legate ad alcune sindromi (Sindrome di Down, Sindrome di Pierre Robin, di Crouzon, ecc.). L'obesità è a volte un cofattore importante sia come causa dell'OSAS (obesità severa), sia come condizione peggiorativa di situazione anatomiche presenti.
I bambini con OSAS possono presentare dei segni e dei sintomi caratteristici rappresentati essenzialmente dal russamento con apnee. La sindrome può essere causa di inappetenza, sonnolenza diurna, e di rilevanti sequele cardiovascolari e cognitive.
Per la diagnosi delle OSAS, oltre alla anamnesi, ci si avvale della polisonnografia notturna o del più semplice monitoraggio cardio-respiratorio, che ci danno la possibilità di confermare o meno il sospetto e di valutarne la gravità. Il monitoraggio cardio-respiratorio tra le tante variabili esaminate, ci permette di valutare l'indice di apnee-ipopnee (RDI) (per essere classificate come apnne o ipopnee nel bambino devono durare almeno 5 secondi), la saturazione di ossigeno e la presenza o meno del russamento. Per la diagnosi di OSAS, il criterio polisonnografico nel bambino, secondo le piu' recenti linee guida nazionali 5, classifica:
OSAS minima, RDI=1-3 e/o la presenza di russamento continuo per almeno il 50% del sonno associata a desaturazioni di O2 superiori al 4% e SAO2 media>97%;
OSAS lieve, RDI=3-5 e SAO2 media >97%;
OSAS moderata, RDI=5-10 con SAO2 media>95%;
OSAS severa, RDI>10 con SAO2 media <95%.
Nella pratica clinica bisogna considerare che l'indagine strumentale polisonnografica sia a volte difficilmente fattibile ed ipotizzabile come routine in ogni bambino con OSAS perché avrebbe un costo sociale non indifferente. Esistono dei questionari specifici ed accreditati per la diagnosi clinica di questa condizione che hanno un buon indice di affidabilità.
In alcune specifiche situazioni può essere di ausilio diagnostico l'Rx telecranio in proiezione latero-laterale, per valutare la presenza di una eventuale ipertrofia adenotonsillare e lo spazio respiratorio superiore. Sulla stessa radiografia è possibile eseguire un tracciato cefalometrico per evidenziare possibili caratteristiche dento–scheletriche predisponesti i disturbi respiratori.
La terapia piu' spesso praticata in questi bambini è l'adenotonsillectomia la cui efficacia nella risoluzione dell'OSAS e del russamento risulta molto alta 1.
L'applicazione della CPAP (Nasal continuos positive airway pressare) nei bambini trova, invece, per la scarsa praticità di tale scelta terapeutica, un'indicazione più limitata rispetto ai soggetti adulti.
Un ruolo significativo, invece, può assumere la terapia ortopedica-ortodontica nei soggetti in crescita con OSAS e russamento. Infatti, a volte i bambini OSAS presentano delle caratteristiche dentoscheletriche peculiari quali retrusione mandibolare associata o meno a morso profondo, palato ogivale associato o meno a morso crociato mono o bilaterale, che potrebbero influire sui disturbi respiratori. Tale approccio terapeutico mira al ripristino di un rapporto armonico mascellare-mandibolare e di conseguenza tra le arcate dentarie, e ci consente attraverso l¢applicazione di determinate procedure terapeutiche di ottenere dei benefici respiratori non indifferenti.
Casi Clinici
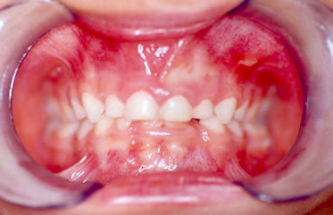
I° Caso- La piccola S.T. di anni 4 è giunta alla nostra osservazione per una visita ortodontica mandata dal suo pediatra di famiglia. All'anamnesi risultava che la bambina respirava prevalentemente con la bocca e durante la notte russava e andava i apnea. All'esame clinico ortodontico la bambina presentava un morso inverso anteriore con palato ogivale (Figura 1).E' stato richiesto quindi un monitoraggio cardio-respiratorio che è stato eseguito con un poly-mesam 8 canali portatile. Tale esame ha evidenziato un RDI =13 associato a forte russamento (Figura 2). Sulla radiografia del cranio in proiezione latero-laterale è stata eseguita l'analisi cefalometrica che ha messo in evidenza una I classe scheletrica con tendenza alla III in soggetto ipodivergente. In considerazione del morso inverso e del palato ogivale, si è deciso di applicare un espansore rapido palatale con ganci per maschera di Del aire (Figura 3). Ottenuta l'apertura della sutura palatina è stata applicata la Maschera facciale di Delaire per la trazione postero-anteriore del mascellare superiore. Dopo 2 mesi dall'inizio della terapia è stato eseguito un monitoraggio cardio-respiratorio di controllo che ha messo in evidenza un RDI= 5 con riduzione del russamento rumoroso (Figura 4). Dopo 6 mesi, ottenuta la correzione del morso inverso e del palato ogivale, una volta rimosso l'espansore rapido e la maschera facciale, è stato applicato un apparecchio funzionale di III classe come mantenimento. La correzione della malocclusione ha coinciso con il miglioramento dei sintomi respiratori come anche riferito dalla madre.
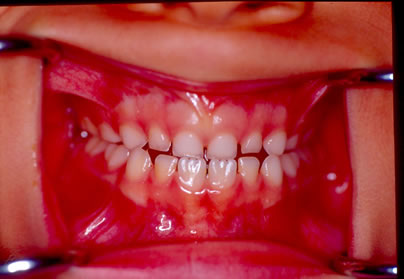
II° caso- La bambina E.R. di anni 5 è giunta alla nostra osservazione per una visita ortodontica mandata dallo specialista O.R.L. in quanto soggetto respiratore orale con alla anamnesi tonsilliti ricorrenti, otiti e russamento cronico. All'esame clinico ortodontico si evidenziava un morso profondo associato ad una II classe dentale da presumibile retrusione mandibolare con affollamento marcato della arcata inferiore (Figura 5) E' stato eseguito un monitoraggio cardio-respiratorio con un Poly-mesam 8 canali portatile, che ha evidenziato un RDI=6, russamento e una saturazione basale media dell'86% (Figura 6).
L'analisi cefalometrica eseguita sulla RX del cranio in proiezione latero-laterale confermava la II classe scheletrica da posizione arretrata del mascellare inferiore.
Si è deciso di applicare un apparecchio funzionale di II classe per favorire l'avanzamento mandibolare. Dopo 2 mesi dall'applicazione dell'apparecchio (Figura 7) è stato eseguito un esame polisonnografico di controllo con apparecchio di avanzamento mandibolare. L'esame ha evidenziato un RDI=2, una saturazione basale media del 98%, con una notevole riduzione del russamento rumoroso notturno come anche confermato dalla madre (Figura 8).Contestualmente si è ottenuto un notevole miglioramento della malocclusione con l'apertura del morso e l'avanzamento mandibolare che ha determinato la riduzione dell'overjet.
Discussione
I casi trattati in questo lavoro si prestano ad interessanti considerazioni riguardo al miglioramento respiratorio-funzionale, strumentale e clinico osservato. L'espansione rapida palatale, come provato in studi precedenti, sarebbe in grado di ridurre le resistenze nasali al passaggio del flusso aereo aumentando lo spazio respiratorio delle fosse nasali specialmente nella porzione inferiore (6-8). A ciò potrebbe associarsi, una “espansione” volumetrica dello spazio faringeo e una riduzione delle masse adenoidee .
L'espansione rapida palatale, infatti presumibilmente, in relazione al principio chiamato “The law of the Tension Stress” (9,10), sarebbe in grado di determinare una attivazione metabolica dei tessuti molli circostanti i siti ossei espansi. Più precisamente, l'espansione mascellare, determinando posteriormente, anche una espansione trasversale dei processi pterigoidei dello sfenoide su cui la porzione superiore del faringe si inserisce, sarebbe in grado di aumentare lo spazio rinofaringeo Tale meccanismo espansivo dello scheletro mascellare, con l¢allontanamento dei segmenti ossei dei due emimascellari, provocherebbe, quindi, una tensione sui tessuti che delimitano lo spazio faringeo superiore producendo uno stiramento tessutale e, di conseguenza, un ampliamento dello spazio respiratorio superiore con riduzione del rischio di collasso delle pareti faringee . A ciò si aggiunge, probabilmente, anche la migliore postura linguale dovuta all¢espansione palatale ed al conseguente aumento di volume della cavità orale, che permette di ottenere un ampliamento dello spazio aereo retrolinguale (11-14). L'espansione palatale, inoltre, potrebbe avere degli effetti diretti sulla funzione del palato molle con ripercussioni dirette sulla pervietà delle prime vie aeree (11-14). Per quanto riguarda i dispositivi intraorali per le apnee notturne e il russamento, nella maggior parte dei casi, determinano un avanzamento mandibolare e linguale associato ad una attivazione dei muscoli genioglossi e sono quindi in grado di ridurre le resistenze delle prime vie aeree, ampliando le dimensioni del lume orofaringeo (PAS) (7,15,16). I bambini OSAS possono presentare un morso profondo associato a retrusione mandibolare (13,17,18). Queste caratteristiche, in particolare, favoriscono una posizione linguale arretrata con riduzione del lume faringeo e del PAS. Tutto ciò, in posizione supina e in combinazione agli altri fattori ostruttivi prima descritti, è in grado di provocare un aumento delle resistenze al passaggio dell'aria con insorgenza del russamento, prima, e delle apnee, dopo (19). Ciò può determinare l'instaurarsi di un circolo vizioso con ulteriore incremento del volume adenotonsillare stimolato dall'errato “pattern” respiratorio.
Da quanto detto, si evince l'importanza dell'approccio ortopedico-ortodontico che, qualora ci sia una specifica indicazione, andrebbe preso in considerazione nei bambini che presentano una sindrome dell'apnea ostruttiva da sonno. Per tale ragione è auspicabile una collaborazione multidisciplinare tra il pediatra, l'otorinolaringoiatra e l'ortodontista nell'approccio diagnostico e terapeutico al bambino OSAS al fine di assicurare un migliore e completo risultato terapeutico.
Bibliografia
Bruni O. Principi di medicina del sonno in età evolutiva. Mediserve , I edizione 2000 Milano.
Caprioglio A, Sfondrini G, Mira E, Gandini P. Bambino adenoideo. Correlazioni ortodontiche e otorinolaringoiatriche. Dental Cadmos 1989; 9:15-37.
Kats ES., White DP. Genioglossus activity in children with obstructive sleep apnea during wakefulness and sleep onset. Am J Resp Crit care Med 2003;168(6):664-70.
Zettergren-Wijk, Linder-Aronson S, Nordlander B, Agren K, Svamborg E. Longitudinal effect on facial growth after tonsillectomy in children with obstructive sleep apnea. World Journal of orthodontics 2002; 3(1):67-72
Villa MP, Brunetti L, Bruni O, Cirignotta F, Cozza P, Donzelli G, Ferini-Strambi L, Levrini L., Mondini S, Nespoli L, Nasetti L, Pagani J, Zucconi M. Linee Guida per la diagnosi della Sindrome delle Apnee ostruttive nel sonno in età pediatrica. Minerva Pediatr 2004;56(3):239-53.
Bernkopf E, Broia V, Bertarini A. Ortodonzia e patologia respiratoria ostruttiva. Medico e Bambino 1997;1:23-7.
Manzon L, Buccheri A. Trattamento Ortopedico-Ortodontico-Intercettivo in bambini con patologia ostruttiva delle prime vie aeree. Mondo Ortodontico 1999;5:359-64.
Timms DJ. Rapida espansione del palato. Scienza e Tecnica Dentistica. Edizioni Internazionali S.N.C. Milano 1980.
Ortiz-Monasterio F. Mandibular distractionin respiratory distress in infants. Atti II International Meeting "Distraction Osteogenesis of the Facial Skeleton" Bologna 26-28 September 2002.
Scopelliti D, Orsini R, Ventucci E,Verdino G. Osteogenesi distrazionale dello scheletro cranio-maxillo-facciale. Minerva Stomat 2000; 49(7):355-368
Bonetti GA, Marini I, Capurso U. Il disgiuntore rapido del palato. Edizioni Martina Bologna 1998.
Cistulli P.A. ,Palmisano R.G.,Poole M.:Treatment of obstructive sleep apnea sindrome by rapid maxillary expansion. Sleep 1998;21(8):831-835
Levrini L, Ostinelli E, Tagliabue A , CaprioglioA. Russamento e disordini correlati : approccio odontoiatrico. Dental Cdmos 1997;19:11-28.
Piccini A, Giorgetti R, Fiorelli G. Stenosi respiratoria nasale ed ipoplasia mascellare. Modificazioni dopo trattamento ortodontico con espansione rapida palatale. Acta Otorhinol Ital 1989;9:375-80.
Di Malta E. Le terze classi. Masson 1989 Milan
Leonardi R, Verzi P, Russo G, Rasà A. Comparazione dello spazio rinofaringeo prima e dopo terapia con attivatore di Andresen. Ortognatodonzia Italiana 1992; 1 (4):534-47.
Buccheri A. Considerazioni sull'espansione palatale rapida in dentatura mista. Odontostomatologia. Anno XXIV; 6: 586-94.
18.Buccheri A, Longhi V, Manzon L. Espansore palatale rapido fissato su splint acrilico. Caso clinico. Atti III congresso nazionale dei docenti di odontoiatria Roma 1996
Hellsing E. Changes in the pharyngeal airway in relation to extension of the head. Eur J Orthod 1989;11:359-65.
Figura 1: Paziente S.T. di anni 4 dove si evidenzia un morso inverso e palato ogivale.

