Torcicllo ricorrente nell'infanzia e patologia malformativa neurologica. Descrizione di un caso clinico
U.O. di Pediatria e Neonatologia - Azienda Ospedaliera “Ospedale Civile” di Vimercate - P.O. di Desio - DESIO (MI)
Indirizzo per corrispondenza: guidolap@libero.it
A CHILD WITH RECURRENT TORTICOLLIS AND CONGENITAL NEUROLOGICAL MALFORMATION
Keywords:Recurrent torticollis - Type I Arnold Chiari malformation.
Summary
Torticollis is a clinical malformation which may be due to congenital, traumatic, inflammatory or neurological malformations. The Authors describe a case of a ten years old girl with recurrent torticollis, with a rate of three-four attacks/year characterised by intense pain and head left drifting. The brain and cervical column MRI showed a type I Arnold-Chiari malformation explaining the recurrent torticollis. Follow-up examinations will clarify whether surgery by suboccipital decompression will be necessary.
Il torcicollo è una manifestazione clinica caratterizzata dalla deviazione del capo da un lato con mento ruotato in senso opposto. Il torcicollo non è una malattia, ma il sintomo di numerosi processi fisiopatologici sottostanti. Può essere presente alla nascita come risultato di alterazioni di sviluppo o di lesioni traumatiche del muscolo sternocleidomastoideo e/o della colonna cervicale (1) o manifestarsi più tardivamente come il risultato di un trauma, di un processo infiammatorio o neoplastico interessanti lo sternocleidomastoideo, la colonna cervicale o il sistema nervoso centrale (2). Descriviamo un caso di torcicollo ricorrente in una bambina di 10 anni.
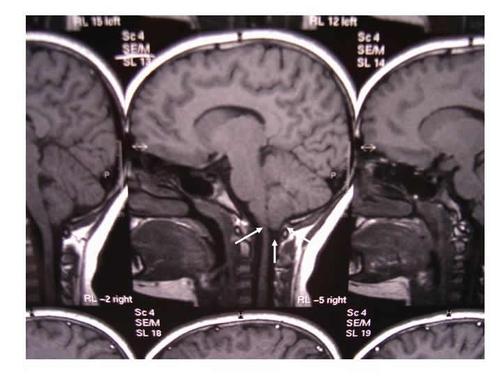
Caso clinico: C.L. di anni 10, di sesso femminile e di razza bianca, nasce a termine con parto eutocico. Nulla all'anamnesi familiare e fisiologica. La ragazza viene alla nostra osservazione per la presenza di torcicollo sx. L'anamnesi evidenzia la comparsa, da circa 5 anni, di cefalea frontale saltuaria ed episodi ricorrenti di torcicollo con una frequenza di circa 3-4 episodi annui. Il torcicollo è sempre caratterizzato da deviazione del capo verso sx con vivace dolore ai movimenti attivi e passivi del collo. Nella maggior parte dei casi non c'è mai stato un chiaro evento scatenante, altre volte la sintomatologia è insorta dopo sforzo fisico. L'obiettività clinica evidenzia una deviazione del capo verso sx e del mento in senso opposto con contrattura dolente dello sternocleidomastoideo sx. Nella norma la restante obiettività clinica e neurologica. Normali gli esami ematochimici, la radiografia del rachide cervicale e delle arcate dentarie. Nulla di patologico alla valutazione ortopedica ed oculistica. Esegue RMN encefalo e della colonna cervicale che mostrano una ectopia delle tonsille cerebellari con modesta platibasia compatibile con anomalia di Arnold-Chiari di tipo I (Figura 1). I metameri vertebrali appaiono normalmente allineati mentre è presente rettilineizzazione della fisiologica lordosi cervicale. Normale il midollo spinale. La ragazza viene trattata con antinfiammatori e miorilassanti che portano alla risoluzione della sintomatologia.

Discussione: Il torcicollo al di fuori del periodo neonatale, è un'evenienza abbastanza frequente e riconosce nella grande maggioranza dei casi o un trauma muscolare cervicale di modesta entità o un'infiammazione dei muscoli cervicali in seguito a patologie delle prime vie aeree. Tuttavia come riportato nellaTabella 1 (3), accanto ad eventi causali di modesta rilevanza clinica, esistono delle patologie abbastanza gravi a carico dell'encefalo, del midollo spinale e della colonna cervicale che richiedono sempre, là dove la sintomatologia tende a persistere o a ricorrere, un approfondimento diagnostico. La nostra paziente ha presentato, negli ultimi cinque anni, in maniera ricorrente e con una frequenza di 3-4 episodi all'anno, torcicollo della durata di circa 4-5 giorni con deviazione del capo sempre verso sx, importante sintomatologia dolorosa e notevole limitazione dei movimenti del collo, che hanno sempre richiesto terapia antidolorifica e miorilassante. Talora presente cefalea. L'assenza di un chiaro evento causale (trauma, processo infiammatorio in atto), l'età superiore ai 5 anni che ha escluso un torcicollo parossistico benigno, l'assenza di patologia da reflusso gastroesofageo e di segni clinici di distonia ci hanno indotto ad un approfondimento diagnostico con esami strumentali che hanno permesso di evidenziare una anomalia cerebrale tipo Arnold-Chiari di tipo I.
La malformazione di Arnold-Chiari di tipo I è caratterizzata da dislocazione del bulbo nel canale spinale con erniazione delle tonsille cerebellari nel foramen magnum. La patogenesi è sconosciuta, tuttavia la teoria prevalente suggerisce quale evento responsabile l'ostruzione della porzione caudale del IV ventricolo durante lo sviluppo fetale. Questa condizione è in genere asintomatica nell'infanzia, mentre si rende evidente nell'adolescenza e nell'età adulta con difficoltà respiratoria, paralisi delle corde vocali, torcicollo, paralisi dei nervi cranici, dolore al dorso, scoliosi, atassia, nistagmo, cefalea e vertigini (4-6). Nella nostra paziente l'esordio clinico della malformazione, attualmente limitata al torcicollo ricorrente e talora a cefalea concomitante, è stato abbastanza precoce con obiettività clinica e neurologica sempre normale al di fuori degli episodi di torcicollo. Il meccanismo fisiopatologico del torcicollo e della cefalea è da riferire alla compressione delle tonsille cerebellari ed allo stiramento delle prime radici spinali (4). La ricorrenza degli episodi è verosimilmente da riferire ad episodi scatenanti quale la tosse, gli sforzi fisici ed i bruschi movimenti del collo che accentuano questa compressione. La nostra paziente è entrata in un programma di controlli clinici e strumentali al fine di valutarne l'evoluzione ed eventualmente programmare un intervento chirurgico di decompressione suboccipitale. Da quanto su esposto appare evidente l'importanza di non sottovalutare la comparsa di un torcicollo nella tarda infanzia soprattutto se tende a ricorrere e se non ci sono chiari eventi causali di scatenamento.
Bibliografia
