Carcinoma papillare della tiroide in eta' pediatrica: descrizione di un caso clinico
1Azienda Ospedaliera di Vimercate, Presidio di Desio. U.O. di Pediatria e Neonatologia
°Pediatria di Famiglia c/o Distretto di Desio ASL 003 Monza
Indirizzo per corrispondenza: m.casati@fastwebnet.it
CARCINOMA OF THE THYROID IN CHILDREN: A CASE DESCRIPTION
Keywords: Papillary thyroid carcinoma. Dietary iodine. Thyroidectomy.
Summary: Papillary carcinoma of the thyroid is the most common malignant growth affecting the thyroid, currently representing 80% of malignant thyroid neoplasm. Genetic factors, sex, dietary iodine and radiation to the head and neck play a role in etiology. The most important aspect of prognosis is the age at which the disease is diagnosed, with excellent prognosis even in extensive lymph node involvement. We report a case of papillary thyroid carcinoma in a 7-year 6 month old female, presenting with left laterocervical adenopathy and diagnosed by fine needle aspiration. Histopathological analysis of the gland confirmed the diagnosis and showed the presence of metastases. The patient was treated with total thyroidectomy and iodine 131.Total thyroidectomy with perithyroidal neck dissection is the treatment of choice. For follow-up, we recommend physical examination with measurement of thyroglobulin, ultrasound examination of neck end eventually radioisotope scan with iodine.
Introduzione
Il carcinoma della tiroide è una patologia tumorale piuttosto rara nei bambini. La sua incidenza annuale in età pediatrica è di circa 0,5 casi/100.000 della popolazione mondiale rispetto ad una percentuale variabile da 0,5 a 10 casi/100.000 al di fuori dell'infanzia. Nella patogenesi di tale affezione un ruolo importante è giocato da fattori genetici (circa il 5-10% dei carcinomi papillari sono familiari) e dall'esposizione a radiazioni ionizzanti come documentato dall'esperienza di Cernobyl e dalla maggiore incidenza di neoplasie tiroidee nei bambini irradiati nell'area del collo per malattie neoplastiche (1). Altro fattore di rischio è il sesso essendo tale patologia più frequente nel sesso femminile con una frequenza doppia rispetto a quello maschile. Un altro potenziale fattore di rischio è il contenuto in iodio della dieta. Lo iodio, qualunque sia la forma chimica assunta, raggiunge la tiroide come ioduro e viene concentrato all'interno delle cellule follicolari per la sintesi degli ormoni tiroidei. Una carenza di iodio nella dieta sta alla base del gozzo endemico che può essere eutiroideo o ipotiroideo in rapporto all'entità del deficit e alla capacità di compenso funzionale della ghiandola. Nel determinismo di un gozzo da carenza iodica concorrono in genere altri fattori quali l'assunzione dall'ambiente di fattori gozzigeni (tiocianati e flavonoidi) ed un'alimentazione ricca di cibi gozzigeni (cavolo, soia, rapa, manioca). E' ben noto il ruolo dell'aumentata increzione del TSH quale fattore di rischio per l'insorgenza di una neoplasia maligna tiroidea. Anche un' eccessiva introduzione di ioduri, per lo più contenuti nei medicinali per la tosse ed in specialità per il trattamento dell'asma, può determinare una ipertrofia della ghiandola da ipericrezione di TSH. Infatti l'eccessiva introduzione di ioduri blocca la sintesi degli ormoni tiroidei attraverso l'inibizione della organificazione dello iodio e riduce la conversione del T4 in T3 attraverso l'inibizione della 5'-deiodinasi. Lo iodio è contenuto nelle acque e in numerosi alimenti (es. latte e pane) e la sua concentrazione è molto variabile in rapporto all'area geografica presa in esame (2-4). Questa ampia variabilità può rendere conto dell'eventuale comparsa di un deficit introduttivo in condizioni di aumentata richiesta (pubertà, gravidanza). Nei casi di carenza iodica i tumori più frequentemente riscontrati sono il carcinoma follicolare e midollare. Nei casi di eccessiva introduzione di ioduri si ha, invece, una maggiore incidenza di neoplasie papillari (5-7).
Nell'ambito pediatrico l'età più colpita dal carcinoma della tiroide è quella adolescenziale e la forma istologica più frequente è la papillare (CPT), circa l'80% di tutti i carcinomi tiroidei. E' caratterizzato da una crescita lenta e da assenza di sintomi talvolta per lunghi anni. Esso presenta nell'età infanzia una maggiore aggressività rispetto all'età adulta, tuttavia la prognosi è in genere buona (8). Si presenta per lo più come un nodulo isolato della tiroide, spesso singolo, fisso, asintomatico, mobile durante la deglutizione e non distinguibile all'esame clinico da un nodulo benigno. Il quadro scintigrafico con I131 o Tc pertecnetato mostra un nodulo freddo, ipocaptante che si differenzia da una tiroidite di Hashimoto con interessamento nodulare della ghiandola (1/3 dei casi) per l'aumento degli anticorpi antitireoglobulina (60% dei casi) ma, soprattutto, degli anticorpi anti frazione microsomale (95% dei casi). In una percentuale elevata di casi (60-80%) sono palpabili linfonodi al collo. L'adenopatia laterocervicale anteriore è in genere il sintomo d'esordio più tipico, altre volte il sintomo d'esordio è la comparsa di un nodulo tiroideo. Nella metà dei casi, all'esordio, sono ben evidenti sia il nodulo tiroideo che l'adenopatia laterocervicale.
Per questa forma di neoplasia tiroidea la presenza di metastasi linfonodali all'esordio non sembra aumentare il rischio di mortalità ma di recidiva. Può dare metastasi ai polmoni, meno frequentemente al mediastino, alle ossa del cranio e alle ossa lunghe. Il rischio di mortalità aumenta con il diminuire dell'età, con la presenza di metastasi a distanza e con la maggiore estensione del tumore. La sopravvivenza per un CPT intratiroideo con dimensione inferiore ai 2 cm è, a 25 anni dall'intervento, intorno al 95% (9). Talvolta il CPT può essere ormonosecernente e dare un quadro di ipertiroidismo. La terapia di elezione è rappresentata dalla tiroidectomia totale o subtotale seguita, se necessario, dalla terapia radiometabolica con I131 allo scopo di eliminare il tessuto tiroideo residuo e di identificare e trattare eventuali metastasi a distanza, e dalla terapia soppressiva del TSH con T4.
Descriviamo un caso di carcinoma papillare della tiroide in una bambina di 7 anni e 6/12.
Caso clinico
A.R. di anni 7 e 6/12, di sesso femminile e gemella omozigote, viene alla nostra osservazione per una linfoadenopatia del collo. Nulla all'anamnesi familiare e fisiologica. All'anamnesi patologica remota vengono segnalati negli ultimi 8 mesi alcuni episodi di disfonia serale, di breve durata riferibili a surmenage e malmenage vocale. L'esame obiettivo mostra in sede laterocervicale sin., davanti allo sternocleidomastoideo, la presenza di un linfonodo del diametro di circa 2 cm, di consistenza duro-elastica, mobile rispetto ai piani superficiali, meno rispetto a quelli profondi, lievemente dolente alla palpazione. Presenza di altri piccoli linfonodi, mobili, di aspetto e consistenza normali in sede sottomandibolare e laterocervicale bilateralmente. Presente anche un'iperemia faringea. Nella norma il restante apparato linfoghiandolare esplorabile. Non epatosplenomegalia. L'ispezione e la palpazione della tiroide risultano apparentemente nella norma.
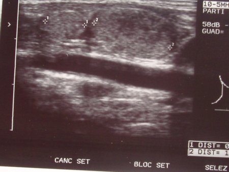
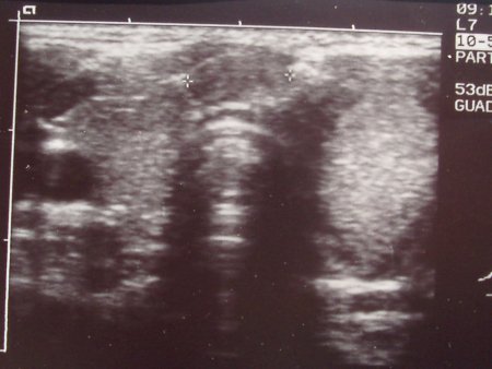
Nel sospetto di una linfoadenopatia reattiva ad una flogosi delle alte vie, dopo aver eseguito un tampone faringeo risultato negativo per SBEA, inizia, in maniera empirica, terapia antibiotica con cefalosporina orale che assume per 10 giorni senza risposta sul quadro clinico. Una nuova valutazione clinica conferma la già nota linfoadenopatia ed una attenta rivalutazione della tiroide evidenzia una modesta pastosità del lobo sin.. Esegue esami ematochimici, compresi gli ormoni tiroidei e la ricerca di anticorpi per infezioni virali, che risultano nella norma. L'ecografia del collo e della tiroide evidenzia un lobo tiroideo sin. quasi interamente occupato da un'estesa formazione di circa 21 mm di diametro (Figura 1 e Figura 2), a profili arrotondati e sfumati, ad ecostruttura solida iperriflettente ed irregolarmente vascolarizzata e la presenza di un linfonodo in sede istmica di circa 8 mm di diametro ed uno in sede laterocervicale sin. di circa 20 mm entrambi ad ecostruttura analoga a quella della formazione presente nel lobo tiroideo di sin.. Esegue agoaspirato con ago sottile che conferma il sospetto diagnostico di neoplasia maligna (CPT).
La piccola viene sottoposta ad intervento di tiroidectomia totale e linfonodectomia. L'esame istologico permette di porre diagnosi di carcinoma papillare del lobo sin. e dell'istmo della tiroide, variante follicolare di tipo solido, multifocale, con metastasi ai linfonodi sottoistmici, giugulo-carotidei sin., al linfonodo del rafe mediano inferiore e al linfonodo giugulare inferiore. Negativa per metastasi a distanza la scintigrafia total body. Dopo l'intervento è stata instaurata terapia sostitutiva con ormoni tiroidei e con calcio per un ipoparatiroidismo concomitante. Ad 1 mese dall'intervento esegue scintigrafia con I131 che evidenzia una piccola formazione captante al 3° medio del collo identificata come residualità tissutale tumorale e viene sottoposta a terapia radiometabolica. A distanza di circa 4 mesi dall'intervento la bambina sta bene.
Conclusioni
La nostra paziente ha presentato un carcinoma papillare della tiroide con un quadro clinico tiroideo molto modesto (una lieve pastosità del lobo sin). E' stato il riscontro di un linfonodo laterocervicale sin. a richiamare l'attenzione della famiglia ed a condurre la piccola dal medico. La presenza di un faringe rosso e di una modesta dolenzia alla palpazione del linfonodo ci ha inizialmente portati fuori strada orientandoci verso una linfoadenopatia reattiva di natura infettiva. L'ecografia della tiroide e del collo è stata fondamentale per formulare il sospetto diagnostico. La conferma è stata data dall'agoaspirato e la tipizzazione della neoplasia dal successivo esame istologico.
Dalla rivisitazione della letteratura degli ultimi anni sul carcinoma papillare della tiroide in età pediatrica (1,7-9) si possono trarre le seguenti conclusioni:
1. In tutti i casi di ipofonia o disfonia anche se apparentemente banali e facilmente attribuibili a surmenage vocale è opportuno eseguire un'attenta valutazione clinica del collo.
2. Qualsiasi inspiegato aumento di volume delle linfoghiandole cervicali richiede sempre l'esame della tiroide.
3. Indagare sempre un nodulo o un aumento asimmetrico della ghiandola con un agoaspirato ad ago sottile.
4. Escludere attraverso la determinazione degli autoanticorpi antitireoglobulina e antiperossidasi una tiroidite di Hashimoto nella sua variante nodulare (nei 2/3 dei casi la malattia si manifesta con un ingrossamento diffuso e disomogeneo di tutta la ghiandola).
5. Valutare sempre la situazione ormonale tiroidea di fronte ad un nodulo o un ingrossamento della ghiandola.
6. Il carcinoma papillare della tiroide ha una crescita molto lenta e la sopravvivenza per le forme intratiroidee senza metastasi a distanza è buona, nonostante questo tumore si riveli più aggressivo in età pediatrica rispetto all'età adulta.
7. Il follow-up, dopo l'intervento ablativo, con esame clinico, indagini ecografiche, dosaggio della tireoglobulina (importante marker di recidiva) ed eventuale scintigrafia con iodio marcato deve durare tutta la vita (10).
Bibliografia di riferimento
1) Segal K, Arad-Cohen A, Mechlis S et al. Cancer of the thyroid in children and adolescents. Clin Otolaryngol 1997;10:561-8
2) Pearce EN,Pino S, He X, Bazrafshan HR et al. Sources of dietary iodine: bread, cows'milk, and in formula in the Boston area. J Clin Endocrinol Metab 2004;89(7):3421-4
3) Pedersen KM, Laurberg P, Nohr S, Jorgensen A, Andersen S. Iodine in drinking water varies by more than 100-fold in Denmark.Importance for iodine content of infant formulas. Eur J Endocrinol 1999;140 (5):400-3
4) Laurberg P, Pedersen KM, Hreidarsson A, Sigfusson N et al. Iodine intake and the pattern of thyroid disorders: a comparative epidemiological study of thyroid abnormalities in the elderly in Iceland and in Jutland, Denmark. J Clin Endocrinol Metab 1998;83(3):765-9
5) Harach HR, Williams ED. Thyroid cancer and thyroiditis in the goitrous region of Salta, Argentina, before and after iodine prophylaxis. Clin Endocrinol 1995; 43(6):701-6
6) Franceschi S. Iodine intake and thyroid carcinoma-a potential risk factor. Exp Clin Endocrinol Diabetes.1998;106 Suppl 3: S38-44
7) Cady B. Papillary carcinoma of the thyroid. Semin Surg Oncol 1991;7(2):81-6
8) Feinmesser R, Lubin E, Segal K et al. Carcinoma of the thyroid in children-a review. J Pediatr Endocrinol Metab 1997;10(6):561-8
9) Flannery TK, Kirkland JL, Copeland KC et al. Papillary thyroid cancer: a pediatric perspective. Pediatrics 1996;98:464
10) Mazzaferri EL, Robbins RJ, Spencer CA, Braverman LE, Pacini F, et al. A consensus report of the role of serum thyroglobulin as a monitoring method for low-risk patients with papillary thyroid carcinoma. J Clin Endocrinol Metab 2003;88(4):1433-41
Figura 1

