La fibrosi retroperitoneale idiopatica
Descrizione di due casi
Clinica Pediatrica, IRCCS Burlo Garofolo, Trieste
Indirizzo per corrispondenza: ebarbi@libero.it
IDIOPATHIC RETROPERITONEAL FIBROSIS:DESCRIPTION OF TWO CASES
Key words: Idiopathic retroperitoneal fibrosis, Abdominal pain, Hypertension, Renal failure
Summary
Idiopathic Retroperitoneal Fibrosis (IRF) is a rare syndrome of unknown origin, possibly of autoimmune nature, which leads to the compression and obstruction of ureteres and other adjacent organs. We describe two paediatric cases of IRF which represent the wide spectrum of clinical expression and evolution of this disease. The diagnosis of IRF should be suspected in front of a patient with abdominal pain, hypertension, hydronephrosis and ESR elevation. An early diagnosis is fundamental to prevent renal failure.
Introduzione
La fibrosi retroperitoneale idiopatica (IRF) � una patologia poco frequente la cui incidenza si attesta attorno ad 1 caso su 200000 abitanti, con picco massimo di incidenza tra i 40 e i 60 anni. E' nota, comunque, la possibilit� di esordio anche in et� pediatrica.(1) Si evidenzia una prevalenza, seppur modesta, a carico del sesso femminile (rapporto uomini: donne 0,66:1).(2)
Si tratta di un processo infiammatorio non specifico, benigno, caratterizzato istologicamente da una proliferazione di tessuto fibroadiposo a carico del distretto retroperitoneale.
Caso Clinico 1
La storia clinica di M., 15 anni, esordisce a 13 anni con l'insorgenza di una sintomatologia dolorosa lombare dx per la quale viene eseguita una ecografia renale che evidenzia un aumento di spessore parenchimale a carico del rene destro con dilatazione delle vie escretrici prossimali.
I sospetti clinici si orientano verso una probabile Sindrome del Giunto e vengono, pertanto, successivamente eseguite una urografia ed una scintigrafia con Mag3; tali indagini, di fatto, avvalorano il sospetto diagnostico.
Vi �, quindi, indicazione per un intervento chirurgico di plastica correttiva.
In sede operatoria, per�, si evidenzia la presenza di un quadro di fibrosi retroperitoneale confermata dal successivo esame istologico eseguito sul campione chirurgico. Nel sospetto di un'origine secondaria viene indagato un possibile quadro di autoimmunit� o di vasculite ma le indagini condotte in questo senso negano tali ipotesi. Inoltre, viene eseguita una Tc che non ha evidenziato masse o deviazioni in sede retroperitoneale.
Da allora M. � sempre stato bene senza il ricorso ad alcuna terapia farmacologia. E' stato, invece, avviato un programma di follow-up laboratoristico (VES inizialmente mossa in seguito negativizzata) ed ecografico che ha dimostrato una progressiva riduzione della dilatazione a carico del rene destro con recente comparsa di modica dilatazione a sinistra.
Al successivo controllo ecografico (3 mesi dopo) si evidenzia una dilatazione bilaterale delle vie escretrici calico-pieliche.
A questo punto si pone il sospetto di un possibile aggravamento del quadro e si decide di valutare l'opportunit� di un eventuale approccio terapeutico.
Dal punto di vista laboratoristico, M. presenta una modesta ipereosinofilia (Eos: 1260/ml) con restante emocromo nella norma, indici di flogosi negativi, funzionalit� renale ed epatica nella norma, adeguati livelli di immunoglobuline e di elettroliti sierici. Riconsiderando l'ipotesi di un quadro secondario si ripete il dosaggio delle frazioni del complemento e degli anticorpi anticitoplasma dei neutrofili (ANCA) che risultano entrambi normali.
Ripetuta l'ecografia renale, si evidenzia solo una lieve pielectasia a carico del rene destro, originariamente interessato, mentre il sinistro non sembra presentare dilatazione delle vie escretrici intrarenali. Tale rilievo strumentale si dimostra, pertanto, del tutto confortante ed esclude, di fatto, anche in ragione del quadro laboratoristico �silente�, ogni ipotesi di peggioramento. Alla luce di tali evidenze non si ritiene ragionevole avviare alcun trattamento farmacologico mantenendo, per�, in atto il programma di follow-up clinico-strumentale.
Segnaliamo, infine, come il rilievo di ipereosinofilia possa essere inquadrato nel contesto della stessa malattia di base secondo un modello di risposta Th2 mediata. Come evidenziato in altri quadri di patologia fibrotica, infatti, il complesso citochinico indotto dalla risposta Th2 (in particolare IL-4) sarebbe responsabile dell'attivazione chemiotattica dei fibroblasti inducendo, allo stesso tempo, la formazione di un diffuso infiltrato eosinofilo (3).
Caso Clinico 2
J. � un ragazzo di 12 anni affetto da un quadro di FRI per la quale, invece, si � reso necessario fin da subito un adeguato approccio farmacologico.
La sua storia clinica esordisce all'et� di 8 anni con un riscontro occasionale (dopo trauma banale) di ipertensione ed idroureteronefrosi sinistra da infiltrazione di massa retroperitoneale localizzata in regione ischiatica sinistra. Clinicamente si evidenzia stasi venosa a carico dell'arto inferiore di sinistra con elevazione degli indici di flogosi (VES 124, PCR 11.6). In seguito, l'indagine scintigrafica ha dimostrato la presenza di un quadro di rene escluso in ragione del quale si � reso necessario procedere con intervento di nefrectomia con parziale resezione della massa fibrosa. L'istologia ha poi confermato il sospetto di Fibrosi Retroperitoneale.
La persistenza degli indici di flogosi elevati ha imposto l'avvio di una terapia cortisonica (2.5-5 mg/die di desametasone) mantenuta in modo continuativo per circa 6 mesi, salvo un breve scalo seguito da un'immediata risalita degli indici di flogosi. Dopo circa 6 mesi dall'inizio della terapia steroidea si assiste ad una negativizzazione degli indici di flogosi e viene, inoltre, eseguita una valutazione complessiva dello stato autoimmunutario che nega l'ipotesi di una natura secondaria del quadro di fibrosi retroperitoneale.
A seguito dell'avvio della terapia steroidea entro breve si � sviluppato un importante eccesso ponderale (+ 67% con peso di 67.5 kg) accompagnato da marcati segni di cortisonizzazione (strie rubrae e acantosi nigricans agli arti e all'addome). Allo scopo di poter effettuare uno scalo della terapia cortisonica (pur se a basso dosaggio) � stato introdotto in terapia un secondo farmaco, l'azatioprina (100 mg/die), la quale, per�, dopo circa un mese, � stata sospesa vista la comparsa di un quadro di epatite ad impronta colestatica correlabile al farmaco stesso (GOT 526, GPT 245, GGT 98, bilirubina tot. 6.48, bilirubina diretta 4.12).
Le indagini di imaging (RMN) eseguite dopo circa 8 mesi di terapia cortisonica dimostrano la necessit� di prosecuzione della terapia stessa in ragione dell'evidenza di un lieve aumento della massa fibrosa specie nei piani pelvici inferiori.
In questa fase, quindi, la malattia di J. appare complessivamente ben controllata ma non completamente spenta (indici di flogosi che tendono all'immediato rialzo al tentativo di scalo del cortisone) al prezzo, per�, della comparsa di evidenti effetti collaterali del farmaco stesso.
Alla luce di queste considerazioni, si impone un pensiero che valuti l'opportunit� di introdurre in terapia un secondo farmaco che possa garantire un miglior controllo della malattia consentendo di poter scalare il cortisone.
Visto il fallimento della terapia con Azatioprina, le pi� recenti evidenze di letteratura suggeriscono l'utilizzo del Tamoxifene. Si tratta di un farmaco antiestrogeno la cui azione farmacologica in questo contesto clinico � da ricondurre al suo effetto anti FGF (fattore di crescita dei fibroblasti); tale farmaco si � dimostrato efficace, come segnalato in numerosi casi presenti in letteratura, in termini di riduzione della massa fibrosa. Esso presenta, inoltre, il vantaggio di scarsi effetti collaterali (anche in ragione del sesso maschile) rispetto alle altre terapie immunosoppressive eventualmente prospettabili per la malattia di Johnny nonch� una efficacia di terapia misurabile in tempi ragionevolmente brevi (3-6 mesi).
Si avvia pertanto la terapia con Tamoxifene 10 mg x 2/die mantenendo lo steroide ancora per 6 mesi con il programma di ripetere una RMN dopo 4-5 mesi dall'inizio della terapia.
Contributo
La fibrosi retroperitoneale si caratterizza per una notevole variabilit� in termini di eziologia, di modalit� di esordio clinico e di corrispettivi radiologici. La diversa manifestazione clinica dei nostri due recenti casi conferma questa estrema variabilit� di espressione.
A dispetto del termine, in una percentuale di casi valutabile nell'ordine del 15%, la presenza di tessuto fibrotico pu� estendersi anche al di fuori della sede retroperitoneale; in questi casi si parla pi� propriamente di Fibrosi Multifocale. Accanto alla FR, che ne rappresenta certamente la pi� comune manifestazione, possono evidenziarsi quadri quali la tiroidite di Riedel, lo pseudotumor dell'orbita, la fibrosi mediastinica e la colangite sclerosante (4). In letteratura esistono segnalazioni di associazione con coinvolgimenti pericarditici, periaortici e con la pancreatite autoimmune (5,6). A livello addominale la fibrosi pu� coinvolgere sia le strutture del retroperitoneo che quelle presenti nella cavit� peritoneale determinando, pertanto, a volte il coinvolgimento di multiple strutture anche non contigue. Una valutazione condotta su una casistica di 30 pazienti con FR (con conferma diagnostica istologica) pubblicata sul British Journal of Radiology del 2000, dimostra come a fronte di una prevalente localizzazione della placca fibrotica nella regione lombare inferiore (a livello dell'aorta distale e delle arterie iliache comuni) sia possibile riscontrare, in un restante 40% di casi, una localizzazione in sedi �atipiche� quali i distretti peripancreatici, periduodenali e pelvici (7).
Per quanto riguarda l'eziologia va sottolineato come in circa due-terzi dei casi la fibrosi retroperitoneale resti di natura indefinita, �origine idiopatica (FRI)�, mentre nel rimanente terzo dei casi questa si dimostri secondaria a malignit�, malattie autoimmuni, vasculiti, emorragie, infezioni e aneurismi dell'aorta addominale. In una piccola percentuale di casi, inoltre, essa pu� essere secondaria ad una causa iatrogena riconducibile a terapie farmacologiche (in primis ergotamina e derivati), interventi chirurgici e radioterapia.
L'eziopatogenesi dei quadri di FRI risulta ancora ignota. Alcuni autori ritengono che questa possa rappresentare l'epifenomeno di un disordine autoimmune sistemico per altri versi misconosciuto; altri, invece, sostengono che questa possa generarsi come conseguenza di una reazione locale autoimmune contro antigeni della placca aterosclerotica, sottolineando, per�, come questa stessa ipotesi sia da porre in relazione in misura pressocch� esclusiva ai casi ad esordio in et� adulta (8-10).
Negli stadi precoci di formazione della massa fibrosa, istologicamente si dimostra la presenza di una importante componente cellulare costituita in particolare da linfociti, eosinofili, leucociti polimorfonucleati ed altre cellule dell'infiammazione immerse in una matrice di collagene; progressivamente, per�, tale tessuto fibrotico tende a divenire sempre pi� acellulare.
Clinicamente pi� frequentemente la FRI si caratterizza per la comparsa di segni e sintomi sistemici aspecifici quali astenia, anoressia, anemia, calo ponderale, febbricola, malessere� A questi possono, poi, accompagnarsi sintomi conseguenti all'intrappolamento e alla compressione delle strutture retroperitoneali, in particolare una sintomatologia dolorosa lombare. La progressivit� evolutiva e la notevole aspecificit� sintomatologica possono essere spesso causa di un importante ritardo diagnostico; non infrequentemente, quindi, la diagnosi pu� essere posta tardivamente quando, cio�, vi � ormai un importante danno renale (vedi il caso di J.).
In sostanza si tratta di una patologia molto rara, con manifestazioni aspecifiche ma in cui una diagnosi ragionevolmente precoce pu� cambiare la sostanza delle cose (vedi nefrectomia del secondo caso). In questo senso ci pare importante sottolineare come un alto indice di sospetto debba essere posto a fronte di sintomatologia addominale vaga, dilatazione del bacinetto renale, in diagnosi differenziale con sindrome del giunto, o in corso di movimento degli indici di flogosi senza localizzazione in un adolescente.
Dal punto di vista strumentale, in passato, per la diagnosi si ricorreva all'urografia intravenosa con evidenza della triade: deviazione mediale degli ureteri, compressione estrinseca e idronefrosi. Si trattava, peraltro, di evidenze non specifiche di tale patologia essendo riconducibili esclusivamente all'effetto massa determinato dalla fibrosi e pertanto ascrivibili anche ad altri quadri quali malignit�, processi infiammatori e adenopatie.
Oggi si ricorre pi� spesso alla ecografia che consente spesso di individuale la lesione come una massa ben definita, retroperitoneale, ipoecogena con frequente reperto consequenziale accessorio di idronefrosi. L'ecografia addominale � molto utile, inoltre, per il monitoraggio della risposta alla terapia. Altre tecniche di imaging quali la TC e la RMN si rivelano importanti per valutare l'estensione del processo. (11)
Indiagnosi differenziale � opportuno tenere presente la localizzazione tendenzialmente pi� craniale del linfoma e delle altre adenopatie maligne che solitamente si trovano a livello dell'ilo renale e talvolta dislocano l'aorta anteriormente e gli ureteri lateralmente. Pu� essere utile ricordare, inoltre, come la fibrosi retroperitoneale non si associ a quadri osteolitici, cosa che invece pu� avvenire in conseguenza a neoplasie maligne retroperitoneali come esito di localizzazione metastatica o di diffusione per contiguit�. Altre patologie da considerare in diagnostica differenziale sono, inoltre, le emorragie, le infezioni e l' amiloidosi. Ovviamente la diagnosi differenziale diventa pi� difficile quando la fibrosi si trova in siti atipici (7).
La diagnosi definitiva, comunque, si pone esclusivamente mediante biopsia (12) e conseguente esame istologico del campione. A volte, per�, pu� accadere che permangano dei dubbi diagnostici anche alla luce di biopsie ripetute, motivo per cui secondo alcuni � da preferire la biopsia escissionale. A causa della crescita invasiva della lesione non sempre tale modalit� di campionamento bioptico pu� essere condotta, in questi casi, pertanto, si tende a preferire l'escissione completa della massa �a cielo aperto� (13,14).
Per quanto riguarda il trattamento non � possibile identificare in letteratura un orientamento univoco. Allo stato attuale, infatti, nessuna terapia medica o chirurgica per tale patologia � stata effettivamente valutata in un contesto di trial clinico controllato e randomizzato (causa, certamente, la scarsa incidenza del quadro patologico) (15).
In generale, comunque, si ritiene che il ricorso combinato ad entrambi gli approcci, medico e chirurgico, rappresenti probabilmente la migliore strategia terapeutica (16). In particolare, il ricorso alla terapia chirurgica dovrebbe essere considerato in presenza di una importante ostruzione ureterale ed in tutti i casi che si dimostrano scarsamente responsivi alla sola terapia medica. In linea con questo orientamento alcuni autori (7) consigliano di risolvere l'eventuale ostruzione ureterale (mediante inserzione di stent o ureterolisi) in modo da ristabilire la funzione renale e instaurare un trattamento con cortisonici cos� da consentire la regressione completa o comunque il controllo della malattia. Tale tipologia di approccio consentirebbe, peraltro, di ridurre al minimo il rischio di ricorrenza della malattia valutabile nell'ordine dell'8% (17).
Riferendoci alla sola terapia medica, i corticosteroidi rivestono un ruolo di primo piano (18,19) anche se non esiste, ancora, un univoco orientamento in termini di dose e durata della terapia stessa. (20) Nel caso di pazienti non rispondenti alla terapia steroidea, quota valutabile nell'ordine del 25% (21) o in presenza di effetti avversi della stessa terapia (vedi il caso di J.) vanno considerate altre strategie terapeutiche, in particolare segnaliamo il ricorso alla terapia immunosoppressiva ed antiestrogenica.
Alcuni autori, peraltro, ritengono che la stessa terapia immunosoppressiva possa essere considerata come prima scelta nei pazienti con FRI. In particolare, segnaliamo l'utilizzo di Azatioprina, Metotrexate, Ciclofosfamide e Ciclosporina (22-24).
Infine, sono sempre pi� numerose le segnalazioni di evidenza di efficacia della terapia con Tamoxifene (25-27).
Si tratta di un antiestrogeno non steroideo il cui ruolo terapeutico nei confronti della FRI � stato ipotizzato in ragione dell'efficacia dimostrata nell'indurre la regressione di tumori desmoidi, lesioni caratterizzate anch'esse da un'anomala proliferazione di elementi fibroblastici. La sua azione specifica sembrerebbe riconducibile all'inibizione dell'ossidazione di lipoproteine come la ceratide incriminate nel meccanismo fisiopatologico della fibrosi retroperitoneale. Inoltre, il tamoxifene determinerebbe la formazione di una forma �anomala� di TGF-b (trasforming growth factor b) da parte dei fibroblasti presenti nel tessuto fibrotico. Il TGF-b anomalo, cos� prodotto, � in grado di determinare un'azione inibitoria nei confronti del processo infiammatorio e dell'attivit� fibroblastica (azione antiFGF-like) attraverso un meccanismo di feed-back negativo sui macrofagi (28). Il farmaco andrebbe somministrato con un dosaggio di 10 mg x2/die per un tempo variabile dai 10 mesi ai 2 anni di terapia. L'efficacia sul piano clinico si dimostrerebbe gi� nei primi mesi di terapia con una evidenza di miglioramento sul piano radiologico valutabile dopo 3-6 mesi (29,30). In corso di terapia con Tamoxifene � opportuno procedere al monitoraggio della funzionalit� epatica (possibile rialzo reversibile delle transaminasi) e della coagulazione con d-dimero (effetto pro-trombotico). Ulteriori effetti collaterali riguardano la possibilit� di insorgenza di cisti ovariche, osteoporosi e tumori uterini (solo in caso di trattamenti a lungo termine).
Il follow-up a lungo termine � comunque mandatorio nei pazienti affetti da FRI indipendentemente dalla terapia avviata, soprattutto in considerazione del rischio di ricorrenza della patologia che si dimostra particolarmente �imprevedibile� potendo questa ripresentarsi in un periodo variabile dai 3 mesi ai 10 anni dopo l'iniziale diagnosi e trattamento (31). Il monitoraggio deve essere effettuato principalmente ricorrendo a tecniche di imaging a distanza (ecografia, Tc, RMN) in associazione alle valutazioni laboratoristiche (funzionalit� renale, indici di flogosi�).
Laprognosi a lungo termine della FRI � eccellente, con tasso di guarigione superiore al 90% per i pazienti senza compromissione renale. Per quanto riguarda invece i soggetti con coinvolgimento renale, se non trattati, la malattia pu� determinare nella maggior parte dei casi una progressione fino a giungere all'insufficienza renale grave. Ovviamente, tali dati si riferiscono alle sole forme idiopatiche; nei pazienti con FR secondaria a malignit� � riportata una sopravvivenza media di 3-6 mesi dalla diagnosi (32).
Bibliografia
1. Brooks MT, Magil HL, Hanna SL, et al. Case of the day. Pediatric Idiopathic retroperitoneal fibrosis. RadioGraphics 1990; 10: 1096-1100
2. Tralce L, Antonelli A, Dotti P, Cunico SC. Epidemiology, clinical features and treatment of
idiopathic retroperitoneal fibrosis: our experience. Arch Ital Urol Androl 2004;76(3):135-9
3. Marcolongo R, Tavolini IM, Laveder F, Busa M et al. Immunosuppressive Therapy for Idiopathic Retroperitoneal Fibrosis: A retrospective analysis of 26 cases. The American Journal of Medicine 2004;1:194-197
4. Ergen FB, Arslan EB, Turkbey B, Akinci D et al. Unilateral Perirenal Fibrosis. Journal of computer assisted tomography 2005;29(4): 477-480
5. Kamisawa T, Matsukawa M, Ohkawa M. Autoimmune pancreatitis associated with Retroperitoneal Fibrosis. J Pancreas 2005; 6(3):260-263
6. Amiya E, Ishizaka N, Watanabe A, Endo Y et al. Retroperitoneal Fibrosis with Periaortic and Pericardial Involvement. Circ J 2005;69:760-762
7. Vivas I, Nicolas AI, Velazquez P. Retroperitoneal fibrosis: typical and atypical manifestations. The British Journal of Radiology 2000;73:214-222
8. Greco P, Vaglio A, Manenti L, et al. Idiopathic retroperitoneal fibrosis. G Ital Nefrol 2004; 21(2):132-8
9. Tralce L, Antonelli A, Dotti P, Cunico SC. Epidemiology, clinical features and treatment of idiopathic retroperitoneal fibrosis: our experience. Arch Ital Urol Androl 2004;76(3):135-9
10. Vaglio A, Salvarani C, Buzio C. Retroperitoneal Fibrosis. Lancet 2006; 367:241-251.
11. Meier P., Gilabert C., Burnier M., Blanc E. Retroperitoneal fibrosis, an unrecognized inflammatory disease. Clinical observations and review of the literature. Nephrologie 2003;24(4):173-80
12. Monev S. Idiopathic retroperitoneal fibrosis: prompt diagnosis preserves organ gunction. Cleve Clin J Med 2002; 69 (2):160-166
13. Takashima T, Onoda N, Ishikawa T, Koyama T, Inaba M, Nishizawa Y, Nakatani T, Wakasa K, Hirakawa K. Tumor-forming idopathic retroperitoneal fibrosis: report of a case. Surg Todey 2004;34(4):374-8
14. Czauderna P, Schaarschmidt K, Komasara L, harms D, Lempe M, Vorpahl K, Szumera M, Balanda A. Abdominal inflammatory masses mimicking neoplasia in children-experience of two centers. Pediatr Surg Int 2005;21(5):346-50
15. Estrade V, Traxer O, Sibony M, Haab F. Retroperitoneal fibrosis. Ann Urol 2004; 38(1):3-13
16. Heidenreich A, Derakhshani P, Neubauer S, Krug B. Treatment outcomes in primary and secondary retroperitoneal fibrosis. Urologe A. 2000 Mar; 39 (2) : 141-148
17. Tziomalos K, Krikis N, Karagiannis A, Perifanis V et al. Treatment of idiopathic retroperitoneal fibrosis with combined administration of corticosteroids and tamoxifen. Clinical Nephrology, Vol 62 1/2004
18. Kubota Y, Nomura Y, Tamaki M, Maeda S, Deguchi T. Four cases of idiopathic retroperitoneal fibrosis markedly responsive to steroid therapy. Hinyokika Kiyo. 2005; 51 (5):315-319
19. Kaaroud H, Jeri E, Beji S, Ben Moussa F, Ben Hamida F et al. Retroperitoneal fibrosis. Presse Med. 2005 Feb 12; 34 (3) :213-217
20. Kardar AH, Kattan S, Lindsted E, Hanash K. Steroid therapy for idiopatic retroperitoneal fibrosis: dose and duration. J urol 168: 550-555
21. Brechignac X, de Wazieres B, Desmurs H, Gil H et al. New medical treatments of systemic idiopathic fobrosis. Rev Med Interne. 1997; 18 (12): 967-971
22. Kurzawska-Firlej D, Suchanek-Krawiec A, Pirnik T, Oko A. Outcome of immunosuppressive treatment of a patient with renal failure due to retroperitoneal fibrosis. Pol Arch Med Wewn 2004;112 (1):845-848
23. Oosterlinck W, Derie A. New data onn diagnosis and medical treatment of retroperitoneal fibrosis. Acta Urol belg. 1997; 65(2): 3-6
24. Scavalli AS, Spadaro A, Riccieri V, Ricciuti GP, Taccari E et al. Long-term follow-up of low dose methotrexate therapy in one case of idiopathic retroperitonealfibrosis. Clin Rheumatol. 1995;14(4) :481-484
25. Manero C, Navas-Parejo A, Prados MD, Garcia-Valdecasas J et al. Acute obstructive renal failure to retroperitoneal mass. Nefrologia. 2004;24 Suppl 3: 49-55
26. Del Peso G, Bajo MA, Gil F, Aguilera A, Ros S etal. Clinical experience with tamoxifene in peritoneal fibrosing syndrome. Adv Perit Dial. 2003; 19 :32-35
27. Ihsan Ergun, Kenan Keven, Basol Canbakan, Yakup Ekmekci, & Bulent Erbay. Tamoxifen in the treatment of idiopatic retroperitoneal fibrosis, International Urology and Nephrology 2005;37:341-343
28. Al Rabi N, Graziani R, Cerruto MA, Baldassarre R, Ficarra V, Artibani W. Clinical and radiological evolution of a case of idiopathic retroperitoneal fibrosis treated with tamoxifen. Scand J Urol Nephrol 36; 391-392, 2002
29. Dedeoglu F, Rose DC, Balu H, Athreya, Conard K et al. Succesful Treatment of Retroperitoneal fibrosis with Tamoxifen in a Child. J Rheumatol 2001; 28: 1693-1695
30. Van Bommel E FH, Hendriksz TR, Huiskes A, Zeegers A. Brief comunication: Tamoxifen Therapy for Nonmalignant Retroperitoneal Fibrosis. Ann Intern Med. 2006; 144: 101-106
31. van Bommel EF. Retroperitoneal fibrosis. Neth J Med 2002; 60; 231-242
32. Kurzawska-Firlej D, Suchanek-Krawiec A, Piernik T, Oko A. Outcome of immunosoppressive treatment of a patient with renal failure due to retroperitoneal fibrosis. Pol Arch Med Wewn 2004;112(1):845-8
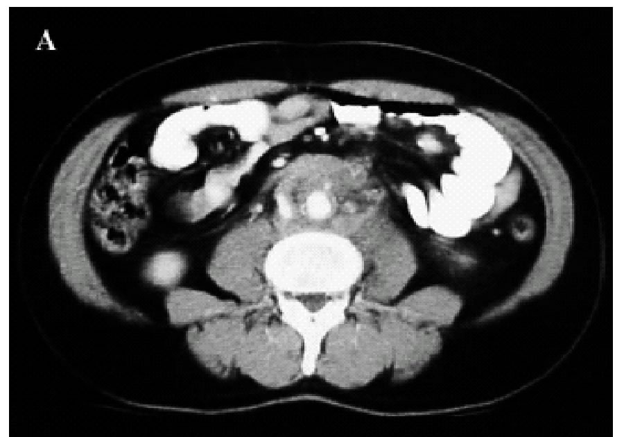
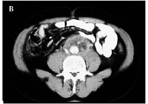
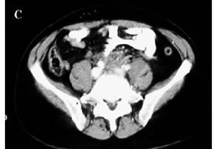
Figura 1. A-C: Tc spirale con MdC; evidenza di tessuto fibroso in sede retroperitoneale disposto attorno all'aorta,alla vena cava inferiore e alla biforcazione iliaca.(Da referenza 30)



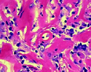
Figura 2. Preparato istologico di fibrosi retroperitoneale; importante infiltrato infiammatorio immerso tra bande di tessuto collagene. (S. Jogai, A. Al-Jassar and L. Temmim. Cytopathology 2005, 16, 49�54)

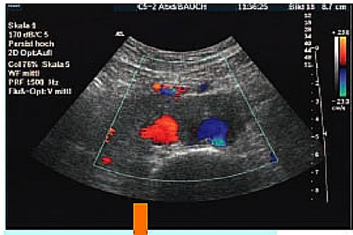
Figura 3: ecocolor doppler; massa fibrotica che circoscrive l'aorta e la vena cava inferiore.(Ultraschall Med 2005; 26: 91-93)

Figura 4: urografia intravenosa; idronefrosi sx. con evidenza di stenosi ureterale all'altezza di L-4.(Da referenza 30)

