Rash orticarioide alla nascita e malattia infiammatoria cronica
Clinica Pediatrica, IRCCS Burlo-Garofolo, Universit� di Trieste
1) Divisione di Pediatria Ospedale di Portogruaro-Venezia
Indirizzo per corrispondenza: leporel@burlo.trieste.it
Neonatal urticaria-like rash and multisystemic inflammatory disease
Summary
We describe two unrelated children with neonatal onset of urticarial skin rash and subsequent development of a chronic multisystemic inflammatory syndrome, characterized by fever episodes, deforming arthropaty, central-nervous-system involvement, sensorineural hearing loss (chronic, infantile, neurologic, cutaneous and articular syndrome or CINCA syndrome). In both children typical facies with frontal bossing and saddle back nose was observed. We describe the molecular basis (CIAS1/cryopyrin mutations) and the pathogenetic hypothesis of CINCA. Therapy with IL-1beta-receptor blockade (anakinra) was successful in both cases.
Introduzione
Descriviamo il caso di due bambine con una rara patologia autoinfiammatoria, con tipica insorgenza in epoca neonatale con manifestazioni cutanee. Si tratta della sindrome CINCA (chronic, infantile,neurologic, cutaneousand articular syndrome. In entrambi i casi la malattia � progredita con il tipico interessamento di altri organi e apparati (apparato osteo-articolare, SNC, organi di senso) associato a un persistente quadro di flogosi cronica (febbre, aumento degli indici di flogosi e delle gammaglobuline, anemia ipocromica microcitica).
Caso 1
C. � una bambina di 10,5 anni, che sin dalla nascita ha presentato un rash eritemato-ponfoide, orticarioide diffuso, non pruriginoso, sempre presente anche se pi� o meno acceso (Figura 1).
Lo sviluppo psico-motorio e staturo-ponderale � sempre stato nella norma. I dati di laboratorio mostrano costantemente leucocitosi, aumento dei livelli della PCR, della VES, delle immunoglobuline ed anemia ipocromica microcitica. Il complemento � sempre stato nel range di normalit�, gli ANA e gli Anti-DNA negativi. Dall'et� di 2 anni si apprezza la comparsa di linfoadenomegalia inizialmente a livello inguinale e poi anche a livello ascellare e cervicale con diametro massimo di 1,5 cm (la biopsia linfonodale evidenziava un quadro di tipo infiammatorio aspecifico); tale linfoadenomegalia � receduta successivamente con l'avvio della terapia cortisonica. Gi� dall'et� di 2 anni, la piccola ha presentato due episodi di zoppia, dovuti ad artrite d'anca sinistra; due anni pi� tardi ha presentato artrite del ginocchio sinistro, trattata con flurbiprofene, con completa risoluzione della sintomatologia.
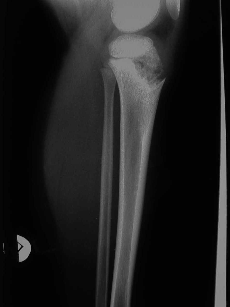
All'et� di 3 anni compare una tumefazione dell'epifisi prossimale della tibia dolente sia alla palpazione che dopo carico, con cute sovrastante calda. Inizialmente la sintomatologia dolorosa era ben controllata dall'uso dei FANS, ma successivamente per il persistente dolore � stato necessario iniziare un trattamento con gli steroidi a basso dosaggio (5 mg/die). Successive radiografie hanno mostrato un'estesa lesione litica con reazione periostale sclerotica nella metafisi dell'estremit� prossimale della tibia sinistra (Figura 2).
La biopsia ossea eseguita all'et� di 8 anni perch� la lesione nel tempo tendeva ad aumentare di volume, ha rivelato una lesione benigna definita come disostosi condroide. Dall'et� di 4 anni riscontro di epatosplenomegalia, inoltre nello stesso anno, nel sospetto di una diagnosi di sindrome di CINCA si esegue visita oculistica che evidenzia un edema bilaterale della papilla ottica, poi sempre confermato nei controlli successivi (Tabella I: andamento clinico del caso di C).
All'et� di 9 anni, C. presenta una tumefazione dolente alla caviglia destra, con presenza di versamento all'ecografia; inoltre dolore a livello dei gomiti e delle articolazioni delle mani. Nel dicembre 2004 ha iniziato terapia biologica con Anakinra, antagonista del recettore dell'IL1beta (1 mg/kg/die sottocute); da allora completa risoluzione del quadro clinico, tranne la lesione ossea tibiale, non pi� dolente. Si ottiene anche la normalizzazione degli esami di laboratorio, sospensione sia dei FANS che del cortisone; si segnala solamente la comparsa di estese lesioni eritematose, rossastre nella sede dell'iniezione sottocutanea (Tabella II: Andamento clinico del caso di C dopo trattamento con Anakinra).
Caso 2
V. � una ragazza di 20 anni che ha presentato dal 9� gg di vita un rash generalizzato, non pruriginoso, eritemato-ponfoide, orticarioide con lesioni ben delimitate, altamente iperemiche, mai scomparse del tutto bench� pi� o meno accese nell'arco della giornata. Dal 6� mese di vita V. ha iniziato a presentare puntate febbrili della durata di circa 1 ora, dapprima quotidiane successivamente con frequenza di 1-2 volte a settimana. I dati di laboratorio mostravano costantemente leucocitosi, lieve anemia, indici di flogosi e livelli di immunoglobuline aumentati. La ricerca degli ANA, ANCA, FR e immunocomplessi circolanti risultava negativa. Fu eseguita una biopsia cutanea, che ha evidenziato aree di vasculite simil-orticaria che coinvolgevano i vasi di piccolo e medio calibro del derma. L'immunofluorescenza diretta ha mostrato alcuni depositi di Ig M nelle giunzioni dermo-epidermiche. Dai 2 ai 4 anni artrite monoarticolare del ginocchio destro regredita dopo terapia cortisonica locale. Dall'et� di 3 anni presenta ipoacusia percettiva bilaterale progressiva, che ha reso necessario l'uso dell'apparecchio acustico dall'et� di 8 anni e che si accompagna a cefalea frontale intensa, scarsamente responsiva alla terapia con paracetamolo, FANS o antinfiammatori steroidei. Dall'et� di 8 anni si evidenzia una moderata ipertrofia patellare bilaterale (Figura 3).
La radiografia del ginocchio ha confermato la presenza di una eccessiva crescita bilaterale dei nuclei di ossificazione della rotula. La visita oculistica ha riscontrato la presenza di papilledema dall'et� di 6 anni. V. dai 15 mesi di vita ai 14 anni ha eseguito terapia steroidea, che ha determinato un miglioramento delle puntate febbrili (riduzione della temperatura massima e della frequenza). (Tabella III: Andamento clinico del caso 2).
All'et� di 16 anni � stata avviata la terapia con infliximab, anticorpo monoclonale inibitore del TNF-alfa, sospesa per� dopo sole due somministrazioni per la comparsa di shock anafilattico. La RMN del cervello e del tronco encefalico eseguita all'et� di 19 anni mostrava un diffuso incremento di dimensione degli spazi liquorali periencefalici per atrofia corticale ed un'adenoipofisi ridotta di dimensioni. Dal 2001, nonostante la persistenza dei sintomi, non ha assunto alcun farmaco fino al novembre del 2004 quando ha iniziato la terapia con Anakinra, antagonista del recettore dell'IL1beta (1 mg/kg/die sottocute), ottenendo cos� la scomparsa del rash in tutti le sedi tranne che al volto dove persiste un lieve rash orticariode associato a lieve iperemia congiuntivale, scomparsa della febbre e della cefalea, normalizzazione degli indici di flogosi e delle immunoglobuline e progressiva riduzione del papilledema.(Tabella IV: andamento clinico del caso 2 dopo terapia con Anakinra).
Discussione
La sindrome CINCA (Chronic Infantile Neurological Cutaneous and Articular Syndrome) � una rara sindrome infiammatoria cronica congenita descritta per la prima volta nel 1981 da Prieur e Griscelli (1) e caratterizzata dalla triade: manifestazioni cutanee, interessamento del sistema nervoso centrale con meningite cronica e interessamento articolare. L'insorgenza � tipicamente neonatale-infantile e sono presenti febbre ricorrente e stato infiammatorio cronico sistemico; non c'� evidenza di remissione spontanea. Di recente il difetto che sta alla base della patologia � stato identificato nella mutazione del gene CIAS1 (Cold-Induced Autoinflammatory Sindrome), presente sul cromosoma 1q44 che codifica per una proteina di nome criopirina.
Questa � un membro della famiglia di proteine citoplasmatiche chiamate caterpiller ed � coinvolta nella regolazione dell'apoptosi e della risposta infiammatoria immunitaria. Si pensa che questa proteina occupi una posizione cruciale nella via dei segnali associati allo stress che culmina nella morte cellulare o nella risposta infiammatoria. Infatti, quando associata con la proteina adattatrice ASC (Apoptosis-associated speck-like protein with a CARD: un'altra molecola contenente un dominio pyrin-like), la criopirina � capace di promuovere l'attivazione del fattore nucleare kB (NF-kB) ed � in grado di indurre sia il rilascio di mediatori proinfiammatori (in particolare l'interleuchina-1), che l'apoptosi.(2,3)
Alcuni studi hanno evidenziato che l'espressione di CIAS1 � particolarmente intensa a livello dei polimorfonucleati e dei condrociti (4). In letteratura la mutazione del gene CIAS1 � descritta in circa il 60% dei casi di CINCA. Le manifestazioni cliniche nei pazienti senza la mutazione del CIAS1 sono peraltro sovrapponibili a quelle degli altri soggetti, per cui si ipotizza la possibilit� in questi casi di mutazioni non ancora identificate su altri geni. In tutti i casi finora osservati � presente un rash che assomiglia a un'orticaria persistente non pruriginosa e che tende a migrare durante la giornata; compare sempre entro le prime settimane di vita (nel 75% dei casi gi� alla nascita) e permane per tutta la vita del paziente, senza periodi di remissione. La biopsia cutanea evidenzia solo una leggera infiammazione nel derma e una infiltrazione perivascolare costituita prevalentemente da granulociti neutrofili. Clinicamente met� dei pazienti con questa sindrome presentano un basso peso alla nascita. In alcuni casi si pu� osservare la presenza di onfalocele o onfalite (5, 6).
Le manifestazioni neurologiche sono quasi la regola e sono imputabili a una meningite cronica da infiltrazione meningea di polimorfonucleati. Durante i primi anni di vita i pazienti possono presentare epilessia o transitori episodi di emiplegia che, assieme alla frequente cefalea, possono fortemente compromettere la qualit� di vita di questi pazienti. Anche la spasticit� degli arti � molto frequente (7). Nella maggior parte dei pazienti si evidenzia con il tempo un basso quoziente intellettivo, mentre in alcuni casi lo sviluppo intellettivo pu� essere normale, come nei nostri due casi. Molto frequente � il coinvolgimento oculare tardivo che pu� portare a progressivo calo del visus e talvolta alla cecit�. Obiettivamente si rileva papilledema e atrofia ottica.
Nel 50% dei casi � presente una uveite cronica anteriore, ma non sono riportati in letteratura sinechie o glaucoma (8). Una sordit� progressiva di tipo neurosensoriale di grado variabile si pu� manifestare in epoche successive. Il coinvolgimento articolare � estremamente variabile, dalla semplice artralgia con tumefazione transitoria alla artropatia severa e simmetrica. Modificazioni epifisarie e metafisarie sono conseguenti ad una crescita cartilaginea in esubero (tipica l'eccessiva crescita della patella). In letteratura � descritta la possibilit� di degenerazione maligna (condrosarcoma) di lesioni osteo-cartilaginee (9). In rari casi una reazione periostale � stata osservata molto precocemente, mentre non � presente ispessimento sinoviale ma si pu� riscontrare versamento, probabilmente come conseguenza delle alterazioni epifisarie.
Nella maggior parte dei pazienti si osservano alcune caratteristiche dismorfiche comuni: un progressivo ritardo di crescita con peso spesso sotto il terzo percentile; un caratteristico aspetto del cranio con aumento in toto del volume e bozze frontali; una lieve micrognazia e il naso a sella; le mani e i piedi sono corti e tozzi, con dita a forma di clava e a volte aspetto rugoso e grinzoso delle palme delle mani e piante dei piedi. Riacutizzazioni infiammatorie con picchi febbrili si verificano costantemente; durante questi episodi possono essere presenti linfoadenomegalia ed epatosplenomegalia.
Il follow-up a lungo termine evidenzia un progressivo peggioramento dei sintomi. Il laboratorio documenta anemia ipocromica, leucocitosi neutrofila ed eosinofila, piastrinosi, aumento della VES e della PCR. Non c'� movimento di auto-anticorpi. Il blocco farmacologico dell'azione dell'interleuchina 1 per mezzo di un antagonista del recettore per questa citochina � attualmente la terapia pi� promettente per questi bambini (10) e si ipotizza che se instaurata precocemente, possa impedire l'insorgenza delle complicanze pi� tardive (come la temibile amiloidosi secondaria all'infiammazione cronica).
In conclusione bisogna sospettare questo tipo di patologia di fronte a un bambino che gi� in epoca neonatale presenta un rash di tipo orticarioide che si complica nel tempo con altri sintomi (febbre a puntate quotidiane) e interessamento di vari organi e apparati (soprattutto apparato osteo-articolare, SNC, organi di senso, facies tipica). Da ricordare che nella sindrome CINCA gli esami di laboratorio risultano sempre alterati.
NB. Nell'ambito del gruppo di Reumatologia Pediatrica della SIP si � istituito il registro nazionale della sindrome CINCA che fa capo al servizio di Reumatologia Pediatrica della Clinica Pediatrica di Trieste. La scheda raccolta dati pu� essere richiesta via e-mail al seguente indirizzo: leporel@burlo.trieste.it
Bibliografia
1. Prieur AM, Griscelli C. Arthropaty with rash, chronic meningitis, neurological changes, and arthritis. J Pediatr 1981;99:79-83.
2. Neven B., Callebaut I., Prieur A.M. et al. Molecular basis of the spectral expression of CIAS1 mutations associated with phagocytic cell-mediated autoinflammatory disordes CINCA/NOMID, MWS, and FCU. Blood, 2004;103:2809-15.
3. Aksentijevich I, Nowak M, Mallah M, et al. De novo CIAS1 mutations, cytokine activation, and evidence for genetic heterogeneity in patients with neonatal-onset multisystem inflammatory disiease (NOMID): a new member of the expanding family of pyrin-associated autoinflammatory diseases. Arthritis Rheum 2002;46:3340-8.
4. Feldman J. Prieur AM, Quartier P et al., Chronic infantile neurogical cutaneous and articular syndrome is caused by mutations in CIAS1, a gene highly expressed in polynorphonuclear cells and chondrocytes. Am J Hum Genet 2002; 71:198-203.
5. Prieur AM, Griscelli C, Lampert F et al. A chronic, infantile, neurological, cutaneous and articular (CINCA) syndrome: a specific entity analysed in 30 patients. Scand J Rheumatol 1987; 66:57-68.
6. Prieur AM. A recently recognized chronic inflammatory disease of early onset characterized by the triad of rash, central nervous system involvement and arthropaty. Clin Exp Rheumatol 2001; 19:103-6.
7. Huttenlocher A, Frieden IJ, Emery H. Neonatal onset multisystem inflammatory disease. J Rheumatol 1995; 22:1171-73.
8. Dollfus H, Dfner R, Hofmann HM, et al. Chronic infantile neurological cutaneous and articular/neonatal onset multisystem inflammatory disease syndrome: ocular manifestations in a recently recognized chronic inflammatory disease of childhood. Arch Ophtalmol 2000; 118:1386-92.
9. De Cunto C.L., Liberatore D.I., San Roman J.L. et al. Infantile-onset multisystem inflammatory disease: A differential diagnosis of systemic juvenile rheumatoid arthritis. J Pediatr 1997;130:551-556.
10. Dowds TA, Masumoto J, Zhu L, Inohara N, G. Cryopyrin-induced interleukin 1� secretion in monocytic cells. Jour Biol Chem 2004; 27
Figure


Figura 1(a,b). Tipico rash orticarioide in corso di sindrome CINCA

Tabelle

Tabella I: Andamento clinico del caso 1

Tabella II: Andamento clinico del caso 1 dopo terapia con Anakinra

Tabella III: Andamento clinico del caso 2

Tabella IV: Andamento clinico del caso 2 dopo terapia con Anakinra
