Una zoppia di difficile inquadramento diagnostico
Unit� Operativa Complessa di Pediatria, Ambulatorio di Reumatologia Pediatrica. AORN �A. Cardarelli�, Napoli
1UOC di Radiologia Vascolare ed Interventistica, UOOS RM Body. AORN �A. Cardarelli�, Napoli
Indirizzo per corrispondenza: paolo.siani@ospedalecardarelli.it
Hip pain difficult to diagnose
Key words
Limb pain, children, septic arthritis, pelvic pyomyositis, magnetic resonance imaging
Summary
We describe the symptoms in a girl, aged 12 years, who presented hip pain and we analyse the initial clinical picture and its worsening. It needs to be differentiated from septic arthritis, pyomyositis and transient synovitis among other disease. Septic hip should be the first diagnostic consideration in children with fever and acute hip pain. Pyomiositis should be considered if there is clinical suspicion of infection outside the hip joint. The patient represents an unusual case of pyomyositis of the psoas muscle caused by Group A beta-haemolytic streptococcus. Magnetic resonance is the preferred imaging modality for the diagnosis.
Il dolore muscoloscheletrico a carico degli arti inferiori � un evento frequente nel bambino, con una incidenza pari al 6% delle visite pediatriche1. Spesso si tratta di un evento banale con risoluzione spontanea in breve tempo; tuttavia, in alcuni casi, pu� essere la spia di patologie di origine reumatologica, ortopedica, infettiva, emato-oncologica, e, raramente, endocrina2. La diagnosi pu� essere semplice come nella sinovite transitoria dell'anca o pi� complessa e richiedere indagini laboratoristiche e strumentali appropriate.
Presentiamo di seguito il caso clinico di M.I, una ragazzina di 12 anni, pervenuta al Pronto Soccorso per dolore ingravescente agli arti inferiori. I genitori riferiscono che la paziente, in adozione all'et� di 6 mesi, in epoca neonatale ha presentato un trauma cranico con esito cerebrale evidenziato dalla risonanza magnetica (RM) dell'encefalo, con una modesta �claudicatio� a carico dell'arto inferiore dx con presenza di intrarotazione del piede omolaterale.
Circa sette giorni prima del ricovero M.I. ha presentato un episodio febbrile e da due giorni presenta dolore ingravescente agli arti inferiori con progressiva difficolt� inizialmente a camminare e in seguito a mantenere la stazione eretta.
L'aspetto generale � molto sofferente. L'esame clinico dell'apparato osteoarticolare evidenzia dolore all'anca destra con irradiazione alla coscia e al ginocchio. L'intrarotazione e la flesso-abduzione della coscia evoca spiccata sintomatologia dolorosa. Il dolore aumenta, inoltre, con la digito-pressione della regione iliaca e dei muscoli della regione anteriore della coscia. I riflessi osteo-tendinei sono ben evocabili. Indenni le altre articolazioni. La restante obiettivit� clinica � normale e all'ingresso la paziente � apiretica.
La conta dei globuli bianchi � di 13.700 mmc, con neutrofilia (75%) e modesta trombocitosi (563.000/mmc). La VES � 34 mm/1h e i livelli sierici di proteina C reattiva (PCR) sono elevati (60 mg/l).
Il TAS � 454 UI/mg. L'esame culturale del tampone faringeo � risultato negativo per ricerca di Streptococco beta emolitico di gruppo A (SBEA). I dosaggi enzimatici mostrano transaminasi, lattato-deidrogenasi e aldolasi normali. L'intradermoreazione alla tubercolina � risultata negativa. Normale l'esame urine, sterile l'urinocultura. La coprocultura non ha mostrato crescita di germi patogeni. La ricerca di anticorpi verso l'EBV � risultata, altres�, negativa. La radiografia dell'anca non ha rilevato segni di lesioni ossee n� articolari. L'ecografia delle anche segnalava presenza di versamento a carico del recesso anteriore dell'articolazione dell'anca destra con spessore di 8 mm., regolare spessore della capsula articolare di sinistra. L'elettrocardiogramma e l'ecocardiogramma sono risultati normali.
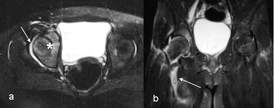
Si � iniziato un trattamento con Ibuprofene nell'ipotesi diagnostica di artrosinovite transitoria dell'anca. Dopo 48 ore M.I. presentava febbre elevata e persistenza della sintomatologia dolorosa, sebbene in parte attenuata. La ripetizione degli indici di flogosi dimostrava un notevole aumento della PCR, superiore a 300 mg/l, e del TAS 1115 UI/mg. Progressivo aumento delle piastrine (737.000/mmc) e dei globuli bianchi a 21.000 / mmc. Il dosaggio degli anticorpi antinucleo � risultato non significativo. L'emoculture sono risultate sterili. Per il rifiuto dei genitori all'artrocentesi, � stata praticata la RM del bacino con il riscontro di versamento intrarticolare nella coxofemorale destra, raccolta fluida tra i ventri muscolari del pettineo e dell'ileopsoas ed associato edema interspongioso nell'ambito della testa del femore e dell'acetabolo omolateralmente (Figura 1, a e b). La diagnosi formulata � stata di piomiosite.
Discussione
La presenza dei riflessi osteo-tendinei rotulei ci ha permesso di scartare da subito l'ipotesi diagnostica del medico della nostra accettazione di sospetta sindrome di Guillain-Barr�3, supportata inizialmente dalla assoluta impossibilit� da parte della paziente di mantenere la stazione eretta con intenso dolore a carico degli arti inferiori.
La presenza, all'esame ecografico, di versamento a carico del recesso anteriore dell'articolazione dell'anca ha fatto pensare inizialmente ad una artrosinovite transitoria dell'anca, supportata da i seguenti elementi caratteristici della malattia: 1) rapporto di vicinanza con affezioni delle alte vie respiratorie; 2) presenza di zoppia e dolore spontaneo, aggravato dal carico e dal movimento, riferito all'anca; 3) assenza al ricovero di febbre4. La ricomparsa della febbre e l'incremento degli indici di flogosi hanno rimesso in discussione l'iniziale diagnosi. L'aumento progressivo del titolo antistreptolisinico indirizzava verso una patologia streptococcica di tipo diretto (artrite settica) o immuno-mediata (artrite reattiva post-streptococcica).
Il reperto della RM, grazie all'utilizzo di sequenze sensibili alla identificazione delle componenti idriche dei tessuti (FSE T2 fat-sat), ci ha permesso di formulare la diagnosi di piomiosite pelvica con interessamento dei muscoli ileopsoas e pettineo5.
Il termine di piomiosite definisce l'infezione piogena primitiva della muscolatura scheletrica. La malattia � endemica nelle regioni tropicali, colpendo prevalentemente pazienti in et� pediatrica, ma la sua incidenza � in progressivo aumento nei paesi industrializzati. Lo stafilococco aureo rappresenta il pi� frequente germe patogeno isolato; infrequenti le segnalazioni di piomiosite da SBEA6. Si ritiene che il meccanismo di diffusione sia la disseminazione ematogena. Da un punto di vista anatomo-patologico nella prima fase �invasiva� � presente edema flogistico, sostituito da focolai ascessuali della seconda fase �suppurativa�. In caso di localizzazione pelvica, � fondamentale la diagnosi differenziale con l'artrite settica dell'anca di cui mima la sintomatologia5. Una precoce terapia antibiotica migliora drasticamente la prognosi.
Ulteriore elemento di discussione del nostro caso clinico la contemporanea presenza di versamento articolare e dell'edema spongioso dei capi articolari. Per il totale e irremovibile rifiuto da parte dei genitori e della paziente non � stato possibile praticare l'artrocentesi, che avrebbe permesso di capire l'esatta natura del versamento. Resta, comunque, il dubbio diagnostico tra versamento semplicemente reattivo (pi� frequente), o settico (rare segnalazioni in letteratura)7. Da segnalare in tema di diagnosi differenziale per immagini RM, alcuni lavori che considerano la presenza di edema spongioso dei capi articolari concomitante a versamento articolare segno indiretto di artrite settica8.
Il progressivo aumento del TAS (da 450 UI/ml a 1880 UI/ml) ha indirizzato verso una eziologia streptococcica. Nel dubbio di versamento settico articolare si � preferito praticare un protocollo teraupetico aggressivo con cefalosporine di 2� generazione per via endovenosa9. Ottima la risposta teraupetica: sfebbramento dopo 48/72 ore di terapia e regressione progressiva della sintomatologia dolorosa. La terapia endovenosa � stata praticata per 10 giorni, seguita da terapia orale con amoxicillina + acido clavulanico per 3 settimane.
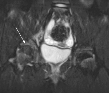
La ragazza � stata dimessa in corso di trattamento antibiotico, con consiglio di evitare il carico dell'articolazione. Il follow-up ha dimostrato un ritorno alla normalit� degli indici infiammatori e una progressiva ripresa della funzionalit� motoria. Il controllo dell'articolazione tramite RM a quattro mesi ha dimostrato un reperto normale (Figura 2)

Figura 1. a) RM, Assiale FSE T2 Fat-sat: Versamento intra-articolare nell'ambito dell'articolazione coxo-femorale di destra (freccia). Incremento di segnale della testa femorale e dell'acetabolo di destra, rispetto all'arto controlaterale, da riferire ad edema intraspongioso (asterisco).
b) RM, Coronale FSE T2 Fat-sat: Edema e versamento a carico dei ventri muscolari del pettineo e dell'ileo-psoas (freccia).

Figura 2. RM, Coronale FSE T2 Fat-sat: Controllo a 4 mesi dopo terapia. Scomparsa dell'edema intraspongioso e del versamento intra-articolare. Risoluzione della raccolta muscolare (freccia).
Conclusioni
Il dolore a carico degli arti inferiori � sicuramente la causa pi� frequente di richiesta di visita reumatologica: elementi fondamentali per la diagnosi sono l'identificazione dell'origine del dolore, se muscolare, osseo o articolare e della reale importanza del problema. E' necessario innanzitutto saper riconoscere alcune entit� cliniche quali l'artrite settica e le neoplasie (leucemie e tumori ossei, in particolare) in cui la diagnosi precoce � determinante per la prognosi. L'artrite settica dell'anca, rappresenta una vera e propria urgenza. Il dolore ingravescente, l'impotenza funzionale completa dell'articolazione, anche in assenza di febbre e di indici di flogosi molto elevati, devono far sospettare una forma settica. L'ecografia solitamente dimostra un versamento articolare. In tali casi l'artrocentesi � obbligatoria; l'esame del liquido sinoviale permetter� di confermare la diagnosi. Se l'artrocentesi dimostra un liquido sinoviale sterile, � necessario eseguire la RM per la ricerca di osteomieliti e/o di lesioni dei tessuti molli. La piomiosite a localizzazione pelvica pu� interessare differenti gruppi muscolari e presentarsi clinicamente con la stessa sintomatologia dell'artrite settica con cui pu� essere confusa, come nel caso descritto.
Bibliografia
1. De Inocencio J. Musculoskeletal pain in primary pediatric care: analysis of 1000 consecutive general pediatric clinic visits. Pediatrics 1998;102(6):E63.
2. De Inocenzio J. Epidemiology of musculoskeletal pain in primary care. Arch Dis Child 2004;89:431-34.
3. Cerisola-Cardoso A, Capote-Moreira G, Scavone-Mauro C. Guillain-Barre syndrome in paediatrics. Different forms of presentation and difficulties involved in reaching an early diagnosis. Rev Neurol 2007;44(12):725-32.
4. Kocher MS, Mandiga R, Zurakowski D, Barnewolt C, Kasser JR.Validation of a clinical prediction rule for the differentiation between septic arthritis and transient synovitis of the hip in children. J Bone Joint Surg Am 2004;86-A(8):1629-35.
5. Karmazyn B, Kleiman MB, et al. Acute pyomiositis of the pelvis: the spectrum of clinical presentations and MR findings. Pediatr Radiol 2006;36(4):338-43.
6. Kern L., Rassbach C, Ottolini M. Streptococcal pyomiositis of the psoas: case report and review Pediatr Emerg Care 2006;22(4):250-3.
7. Jou IM, Chiu NT, Lai KA, Chuang YC. Synchronous pyomiositis and septic hip arthritis. Clin Rheumatol 2000;19(5):358-8.
8. Sang Kwon Lee MD, Kyung Jin Suh, MD, et al. Septic Arthritis versus Transient Synovitis at MR Imaging: Preliminary Assessment with Signal Intensity Alterations in Bone Marrow. Radiology 1999;211:459-65.
9. Trevisiol C, Berti I, Marchetti F. Le affezioni suppurative dello scheletro: osteomielite, artrite, discite. Medico e Bambino 2003;22(7):431-38.
