E' giustificato un diverso approccio terapeutico nel trattamento dell'atrofia muscolare spinale di tipo 1? Insegnamenti concreti da un caso clinico
1Clinica Pediatrica, 2UO di Radiologia, 3UO di Fisioterapia, Istituto per l'infanzia IRCCS �Burlo Garofolo�, Trieste; 4UO Anestesia e Rianimazione, Istituto �G. Gaslini�, Genova
Indirizzo per corrispondenza: lau.bad@gmail.com
Could a different approach to respiratory complications in type 1 spinal muscular atrophy be justified? learning by a clinical case
Key words
Spinal muscular atrophy, atelectasis, Boussignac CPAP valve, Mechanical in-exsufflator, Non- invasive ventilation
Summary
Children affected by spinal muscular atrophy (SMA) can develop serious respiratory complications including atelectasis, pneumonia, small airway obstruction and acidosis, principally because of impaired cough secondary to weakness of chest wall. Ineffective airway clearance can be exacerbated by acute respiratory illnesses, when secretion production increases and respiratory muscle function acutely deteriorates. In the past the only chance to prolong serviva for children with SMA intubated for acute respiratory failure was often tracheotomy and long-term mechanical ventilation. Most physicians discourage endotracheal intubation and tracheotomy, assuming that the prognosis for survival would not be greatly improved and the quality of life is too poor to justify such an invasive intervention. Recent reports highlight that tracheotomy for most SMA 1 children could be delayed by the praecox use of non-invasive ventilation (NIV) and mechanical in-exsufflator (MI-E), thus increasing their quality of life. We report a case of a SMA 1 infant presenting migrating atelectasis who was successfully treated by using Boussignac CPAP valve, MI-E and NIV.
Caso clinico
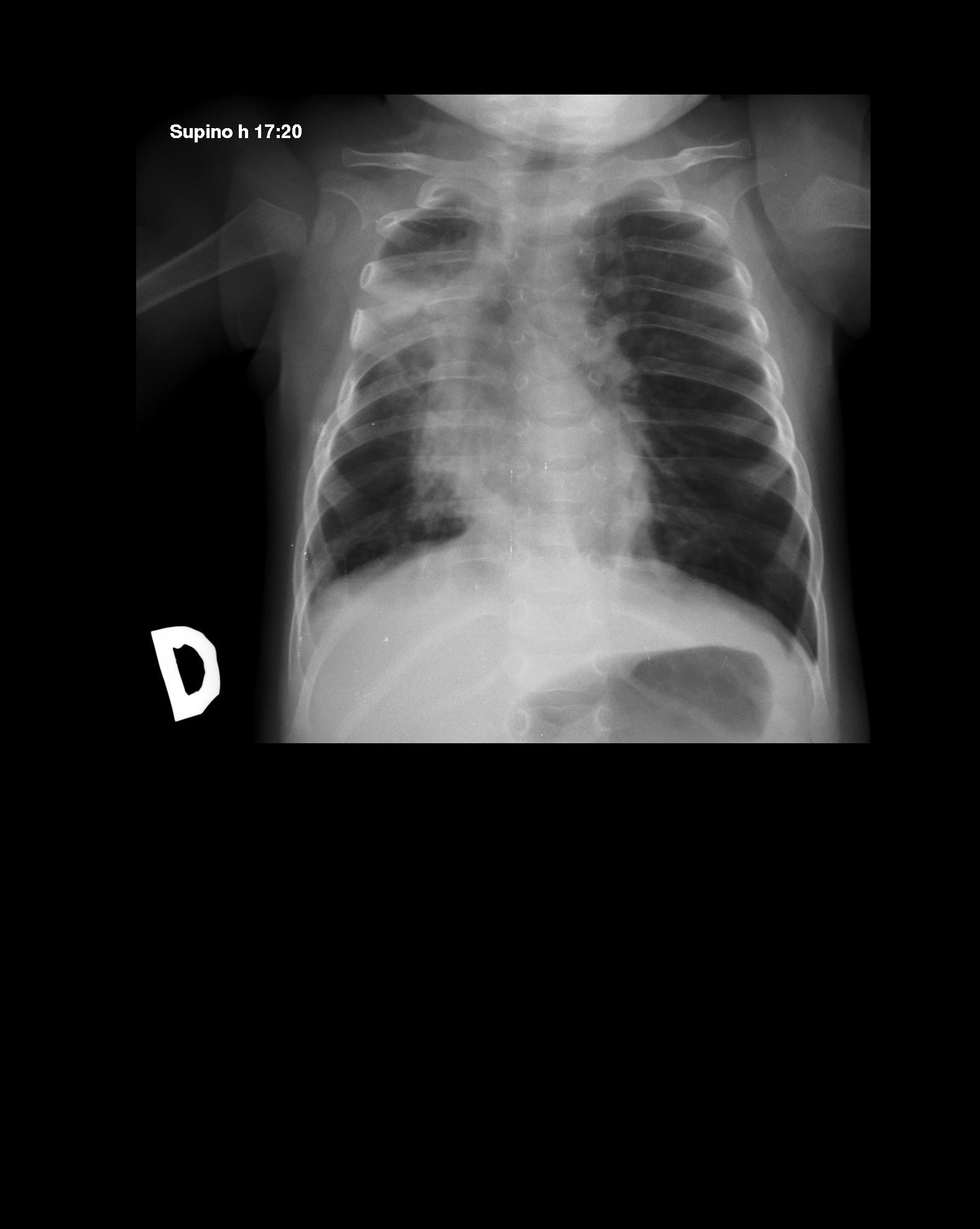
Un lattante di 6 mesi affetto da atrofia muscolare spinale di tipo 1 viene ricoverato per un episodio di broncopolmonite, resistente alla terapia antibiotica orale avviata a domicilio e caratterizzato da quadro di importante impegno respiratorio. All'ingresso � febbrile, polipnoico, dispnoico con moderata desaturazione arteriosa di ossigeno (91%), ma reattivo e con tempo di ricircolo capillare nella norma. Il fabbisogno di ossigeno � di 3 l/min con occhialini. Al torace si apprezzano rumori trasmessi dalle alte vie aeree associati a ronchi, rantoli umidi ed espirio prolungato. L'emogasanalisi capillare mostra pH 7,41, pCO2 44,2 mmHg, pO2 62 mmHg, bicarbonato 28,6 mEq/l, BE 4. La radiografia del torace evidenzia un'atelettasia destra con spostamento del polmone controlaterale (Figura 1).
Viene iniziata terapia antibiotica parenterale (ceftriaxone) e, nell'ottica di agire sulla componente atelettasica, steroide per via endovenosa e DNAsi inalatoria.
Nelle ore successive le condizioni del bambino peggiorano ulteriormente con aggravamento della dispnea, pertanto si decide di eseguire una broncoscopia in sedazione, durante la quale viene aspirato materiale mucoso chiaro ed acellulato, con successivo lieve miglioramento clinico e radiologico.
Nel timore che potesse essersi trattato di una polmonite ab ingestis viene prudenzialmente sospesa l'alimentazione e avviata nutrizione parenterale tramite catetere venoso centrale, posizionato in corso di intervento di broncoscopia. Dopo 24-48 ore di apparente benessere, le condizioni del bambino peggiorano nuovamente con ricomparsa di severa poli-dispnea e di un quadro radiografico sostanzialmente sovrapponibile a quello d'ingresso. Ma, per la persistenza della dispnea con progressiva compromissione della reattivit�, il piccolo viene sottoposto a una seconda broncoscopia con broncoaspirazione. L'estubazione � immediata e il bambino viene mantenuto in respirazione spontanea appena terminata la procedura. Dopo la seconda broncoscopia si assiste a un miglioramento solo parziale dell'impegno respiratorio associato ad una rilevante componente di agitazione, tale da richiedere sedazione con midazolam in infusione continua.
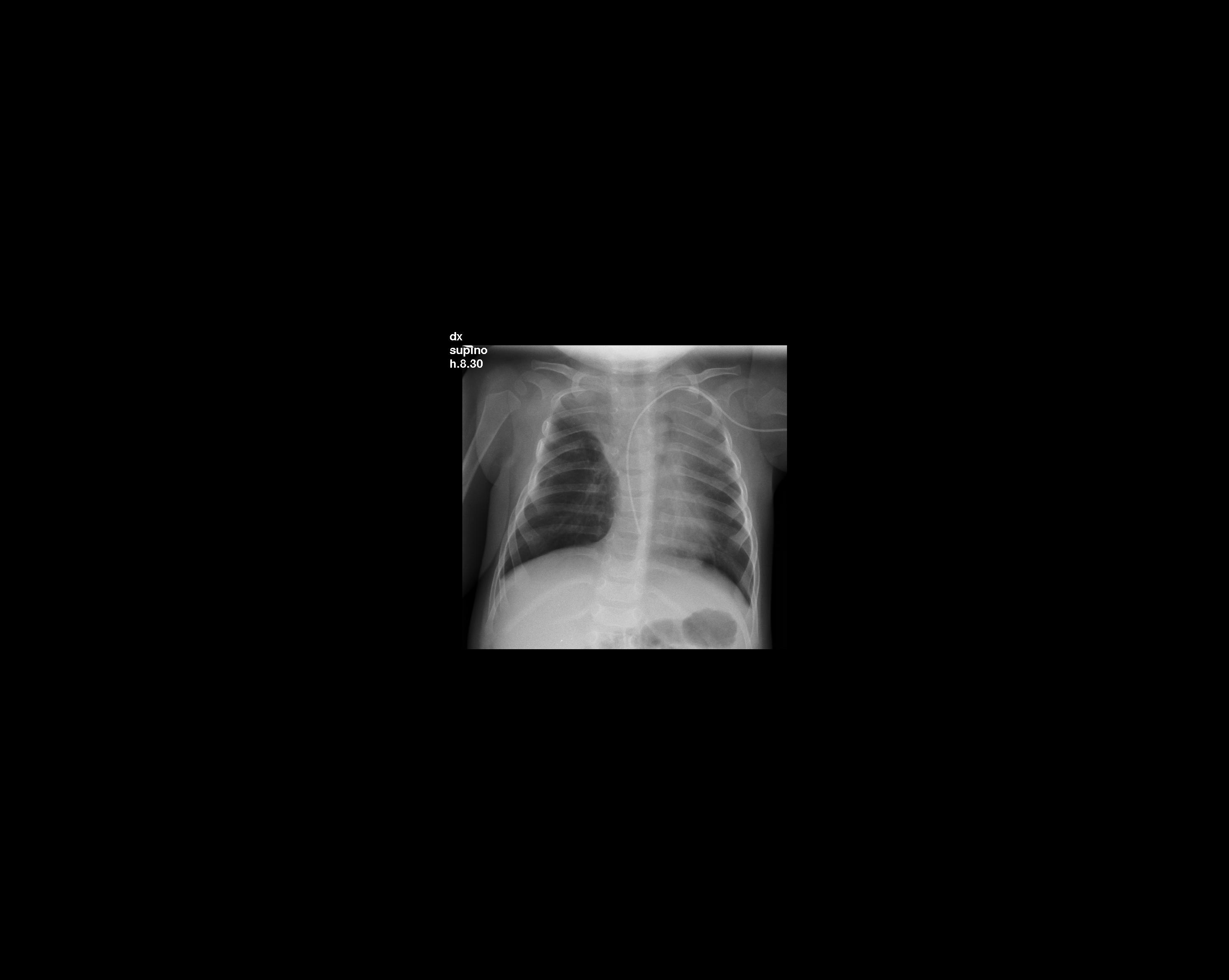
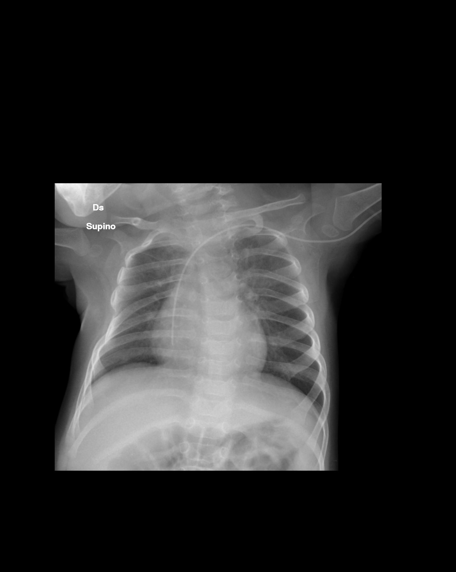
Nel corso della degenza in Rianimazione le condizioni generali del bambino vanno progressivamente migliorando. Sono comunque presenti rumori grossolani diffusi e persistenti su tutto l'ambito toracico. Dopo alcuni giorni la radiografia del torace, che fino a quel momento � progressivamente migliorata pur persistendo l'opacit� all'apice polmonare di destra (Figura 2), � assolutamente sconfortante, ed evidenzia una nuova opacit� al campo polmonare superiore di sinistra associata a broncogramma aereo in sede retrocardiaca sinistra con lieve deviazione mediastinica (Figura 3).
Ci si trova, quindi, di fronte alla difficolt� di dover gestire delle atelettasie ricorrenti, verosimilmente generate dalla formazione di tappi di muco endobronchiali, in un bambino con severa compromissione della forza dei muscoli della gabbia toracica, non in grado di gestire autonomamente un'espettorazione efficace. Nel tentativo di superare il limite imposto dall'incapacit� del paziente a generare flussi espiratori sufficienti per mobilizzare le secrezioni bronchiali, sono stati iniziati dei cicli di ventilazione non invasiva con il supporto della CPAP (Continuous Positive Airway Pressure) con valvola di Boussignac (Box 1 e Figura 4) associata al Mechanical In-Exsufflator o �macchina della tosse� (pressione inspiratoria 30 cmH2O, pressione espiratoria 40 cmH2O), (Box 2 e Figura 5) per il supporto della tosse appunto, entrambe ben tollerate dal bambino. Tale approccio ha permesso di migliorare l'ingombro respiratorio dovuto alle secrezioni, con negativizzazione del reperto obiettivo toracico ed eclatante normalizzazione della radiografia del torace (Figura 6).
Successivamente viene avviata ventilazione non invasiva (NIV) notturna in modalit� pressometrica assistita controllata con maschera facciale (IPAP o Inspiratory Positive Airway Pressure: 18 cmH2O; EPAP o Expiratory Positive Airway Pressure: 4 cmH2O).
Il piccolo � stato dimesso con il seguente programma di assistenza domiciliare respiratoria (ADR): abilitazione dei genitori nella care quotidiana, all'uso dei presidi di ventilazione non invasiva e di sostegno della tosse e nella gestione delle urgenze ed emergenze; coinvolgimento del pediatra di libera scelta e delle strutture territoriali (ASL, 118, azienda fornitrice di energia elettrica); fornitura di apparecchiature e materiali di consumo. La prosecuzione della ventiloterapia a casa associata a programma fisioterapico riabilitativo ha permesso una stabilizzazione delle condizioni cliniche. A 6 mesi dalla dimissione il bambino � in buone condizioni generali, 2 episodi di infezione delle alte vie respiratorie sono stati gestiti a domicilio senza problemi e non ha necessitato di ulteriori ricoveri.
Discussione
L'atrofia muscolare spinale di tipo 1 (SMA 1) evolve verso lo sviluppo progressivo di insufficienza respiratoria secondaria a deficit di forza muscolare. I bambini manifestano i primi segni della malattia (fascicolazioni linguali, ipotonia agli arti inferiori con �gambe a rana�) entro i primi 6 mesi di vita. La debolezza muscolare si aggrava rapidamente ed i problemi respiratori successivi portano a morte generalmente entro i 2 anni d'et�1. L'interessamento respiratorio consta di infezioni ricorrenti, atelettasie, patologia polmonare da inalazione di materiale gastrico e di saliva, progressivo sviluppo di insufficienza respiratoria tipo II (ipossiemica e ipercapnica).
In letteratura sono stati descritti alcuni casi di multiple atelettasie migranti, secondarie a malattie neuromuscolari, tra cui anche la SMA2.
Questa esperienza ci permette di valorizzare come il trattamento con metodiche non invasive di ventilazione meccanica e di supporto della tosse (CPAP di Boussignac e macchina della tosse) sia stato decisivo per risolvere il quadro polmonare, come e pi� della broncoaspirazione eseguita ripetutamente. Avremmo potuto utilizzare una ventilazione non invasiva convenzionale, con IPAP alte, in modo da favorire la penetrazione dell'aria anche nelle zone con bassa compliance polmonare. Il bambino per� ha presentato una buona risposta alla CPAP che � risultata, in questo caso, una tecnica di pi� facile applicazione vista la situazione d'urgenza. L'adattamento all'utilizzo della macchina della tosse � stato, invece, pi� graduale, almeno inizialmente. Infatti sia l'insufflazione che l'aspirazione dell'aria spaventavano il bambino. In seguito � stato possibile coordinare progressivamente la macchina con il pattern respiratorio del piccolo, che ha iniziato ad abituarsi a tale sostegno respiratorio. Bisogna sottolineare comunque che, anche in questo caso, come del resto si verifica quasi sempre nei pazienti che ne traggono reale beneficio, l'adattamento all'uso della �macchina della tosse� � stato piuttosto agevole. Nell'esperienza descritta inoltre si � mostrata risolutiva proprio l'associazione delle due tecniche: la valvola di Boussignac prima e la macchina della tosse poi.
Dopo l'avvenuta stabilizzazione dall'evento acuto, � stata avviata ventilazione non invasiva a due livelli di pressione (ventilazione pressometrica assistita controllata) a causa della presenza di respiro paradosso, e mantenuto l'utilizzo della �macchina della tosse� al fine di proteggere il bambino da successive riesacerbazioni.
In letteratura iniziano a comparire i primi studi che sottolineano come la prognosi dei bambini con malattie neuromuscolari possa essere modificata dall'utilizzo di supporti di ventilazione non invasiva3. Alcuni lavori dimostrano anche nello specifico l'efficacia del Mechanical In-Exsufflator in pazienti con distrofia muscolare di Duchenne4,5,6 e SMA5,7 con risultati positivi in termini di necessit� di ospedalizzazione, frequenza di polmoniti, tempo di evoluzione in insufficienza respiratoria e necessit� di tracheostomia. Nella quasi totalit� dei casi riportati il dispositivo � risultato sicuro, ben tollerato ed efficace nel prevenire le complicazioni polmonari.
Va sottolineato come la ventilazione non invasiva possa offrire a questi bambini le stesse opportunit� di sopravvivenza della ventilazione con tracheostomia, migliorando per� alcuni aspetti della qualit� della vita: autonomia per alcune ore dalla ventilazione meccanica, conservazione della fonazione, minor rischio infettivo3. I primi 3 anni di vita sono gravati, per i pazienti mantenuti in NIV, da una maggiore necessit� di ricorrere a ricoveri ospedalieri. Dopo questa et� tale esigenza si riduce fino ad essere inferiore a quella dei pazienti tracheostomizzati.
Attualmente la NIV non ha raggiunto una sufficiente diffusione nel trattamento di questi pazienti ed � possibile che centri ospedalieri di riferimento in varie regioni d'Italia posseggano ancora scarsa dimestichezza con la tecnica e non siano quindi adeguatamente preparati per supportare queste famiglie sia nella gestione quotidiana del bambino sia nei momenti di emergenza/urgenza.
In caso di episodi intercorrenti che compromettano l'efficacia della NIV, il bambino potrebbe dover essere sottoposto ad intubazione tracheale ed a ventilazione meccanica invasiva. Raggiunta la remissione da tale recrudescenza, per�, apposite tecniche di estubazione possono essere utilizzate per riportare il paziente alla ventilazione non invasiva7.
La domiciliazione richiede il consenso dei genitori, il loro adeguato addestramento, la scelta di un trattamento ventilatorio idoneo e sicuro. L'organizzazione dell'assistenza domiciliare prevede il coinvolgimento del pediatra di libera scelta quale primo responsabile della salute del bambino, ma ha come primi operatori i genitori. Questi vengono preventivamente addestrati per diventare esperti care givers. Il monitoraggio della saturazione arteriosa di ossigeno (SaO2) durante il respiro spontaneo senza supporto di ossigeno rappresenta per i genitori il principale indicatore delle condizioni del bambino. L'obiettivo � costituito dal mantenimento di SaO2 pari o superiori al 95%, che corrispondono solitamente ad una pressione parziale di anidride carbonica nel sangue inferiore ai 50 mmHg. Qualora la SaO2 scenda a valori inferiori al 95%, l'indicazione per i care givers � di intervenire mediante metodiche di fisioterapia respiratoria, aspirazione ed eventuale avvio di ventilazione non invasiva.
L'ossigenoterapia � da ritenersi dannosa in questi pazienti. Infatti la supplementazione di ossigeno permette di normalizzare i valori di ossigenazione nel sangue senza migliorare la ventilazione, rendendo il parametro della SaO2 inutile quale indicatore di adeguatezza ventilatoria e di necessit� di intervento. I genitori, infine, devono essere in grado di individuare situazioni di graduale peggioramento legato ad infezioni respiratorie, da trattare, quando possibile, con terapia specifica e soprattutto devono saper intervenire mediante aspirazione e ventilazione con pallone Ambu e maschera in caso di emergenza, il pi� delle volte correlata a inalazione di saliva o materiale gastrico. Nel caso si verifichi un evento acuto legato a inalazione, sar� opportuno eseguire uno studio della deglutizione (la debolezza muscolare bulbare pu� determinare incoordinazione deglutitoria) ed escludere l'eventuale presenza di reflusso gastroesofageo (deglutogramma, pasto baritato, impedenzo-pHmetria esofagea), condizioni che, se presenti, andranno trattate fino anche alla necessit� di avviare un supporto alimentare mediante posizionamento di gastrostomia per via endoscopica (PEG).
Gli incoraggianti dati di letteratura, associati alla concretezza di esperienze come questa sulla possibilit� di migliorare la qualit� della vita dei bambini affetti da malattie neuromuscolari, rendono auspicabile un progetto condiviso finalizzato a migliorare la care dei pazienti affetti da SMA 1, con un'attenta valutazione del rapporto costi/benefici e delle sostanziali modifiche di outcome.
L'alternativa a tutto ci� rimane un approccio minimamente invasivo, al limite dell'astensionismo terapeutico. In uno studio pubblicato su Pediatrics che metteva in luce le molteplici difficolt� nella gestione del bambino dipendente da sistemi di supporto ventilatorio, per�, nessuna delle famiglie intervistate era in grado di pensare alla propria esistenza senza il figlio, membro a tutti gli effetti del nucleo familiare e degno di ogni rispetto. Tutte queste famiglie inoltre cercavano di condurre una vita quanto pi� ordinaria possibile e di garantire il massimo della normalit� al bambino8.
La
Figura
1. Radiografia del torace che evidenzia: marcato spostamento del
mediastino, deviazione dell'asse tracheale, erniazione del polmone
sinistro a destra; opacamento del campo polmonare medio e superiore
di destra con atelettasia del lobo superiore. Figura
2. Banda radiopaca atelettasica contro il III e IV spazio
intercostale di destra da riferire a residua atelettasia. Figura
3. Opacit� al campo superiore di sinistra. Presente lieve
ipoespansione dell'emitorace di destra rispetto al controlaterale,
con dimorfismo del V arco costale di destra. Figura
4. CPAP di Boussignac. Figura
5. Macchina della tosse. Figura
6. Non evidenti alterazioni pleuro-parenchimali in atto. L'unico
reperto da segnalare � la permanenza dell'ipoespansione
dell'emitorace di destra rispetto al controlaterale; con dimorfismo
del V arco costale di destra. Bibliografia 1. Sarnat
HB. Neuromuscolar Disorder. In: Kliegman RM, Behrman RE, Jenson HB,
Stanton BF ed. Nelson Textbook of Pediatrics 18th edition by Saunders
Elselvier. Philadelphia;2007. 2.
Leistikow EA, Jones NE, Josephson KD et al. Migrating atelectasis in
Werdnig-Hoffmann Disease: Pulmonar manifestation in two cases of
Spinal Muscular Atrophy Type 1. Pediatric Pulmunology 1999;28:149-53. 3. Bach
JR, Saltstein K, Weaver B, Komaroff E. Long term survival in Werdnig
Hoffman Disease. Am J Phys Med Rehabil 2007;86:339-45. 4.
Panitch HB. Airway clearance in children with neuromuscular weakness.
Curr Opin Pediatr 2006;18:277-81. 5. Miske
LJ, Hockey EM, Kolb SM, Weiner DJ, Panitch HB. Use of the Mechanical
In-Exsufflator in pediatric patients with neuromuscular disease and
impaired cough. Chest 2004;125:1406-12. 6.
Chatwin M, Ross E, Hart N, et al. Cough augmentation with mechanical
insufflation/exsufflation in patients with neuromuscolar weakness.
Eur Respir J 2003;21:502-8. 7. Bach
JR, Baird JS, Plosky D, et al. Spinal muscular atrophy type 1:
management and outcomes. Pediatr Pulmonol 2002;34:16-22. 8.
Carnevale FA, Alexander E, Davis M, Rennick J, Troini R. Daily living
with distress and enrichment: the moral experience of families with
ventilator-assisted children at home. Pediatrics 2006;117:e48-60. 9. Cigada
M, Elia G, Ombrello M, et al. Novel indications for the Boussignac
CPAP valve. Intensive Care Med 2007;33:374-5. 10.
Maitre B, Jaber S, Maggiore SM, et al. Continuous positive airway
pressure during fiberoptic bronchoscoy in hypoxemic patients. A
randomized double-blind study using a new device. Am J Respir Crit
Care Med 2000;162:1063-7. 11.
Dieperink W, Goorhuis JF, de Weerd W, et al. Walking with continuous
positive airway pressure. Eur Respir J 2006;27:853-5. 12. Bach
JR. Mechanical insufflation/exsufflation: has in come of age? A
commentare. Eur Respir J 2003;21:385-6. 13.
Teague WG. Non-invasive positive pressure ventilation: current status
in paediatric patients. Pediatr Respir Rev 2005;6:52-60. 14.
Hilbert G, Gruson D, Vargas F, et al. Noninvasive ventilation in
immunosuppressed patients with pulmonary infiltrates, fever, and
acute respiratory failure. N Engl J Med. 2001;344:481-7. 15.
Vasconcelos M, Fineza I, F�lix M, Est�v�o MH.
Spinal muscular atrophy--noninvasive ventilatory support in
pediatrics. Rev Port Pneumol. 2005;11:443-55.
Box 1. CPAP di Boussignac La valvola di Boussignac permette di generare una CPAP attraverso un dispositivo in plastica semplice e leggero (circa 10 g di peso), privo di parti mobili. La particolare geometria di questo dispositivo permette di creare una pressione positiva continua senza necessit� di generatori di pressione meccanici, ma semplicemente collegando la valvola ad un flussometro tramite un tubo connettore (Figura 5). La valvola presenta attacchi standard per il collegamento a tutti i tipi di maschere facciali, tubi endotracheali e cannule per tracheostomia. Si tratta di un sistema aperto (cio� in connessione diretta con la pressione atmosferica) che sfrutta il principio di Bernoulli per trasformare in pressione il flusso di gas all'ingresso. La pressione pu� essere regolata aumentando o diminuendo il flusso d'aria o di ossigeno, variando da un minimo di 2,5 a un massimo di 10 cmH2O in base al flusso erogato, e pu� essere facilmente monitorata con l'uso di un manometro9. Rispetto ai sistemi tradizionali, la CPAP di Boussignac � di semplice utilizzo; in ambiente ospedaliero � sufficiente connetterla ad un flussometro �a muro� per utilizzarla immediatamente. � inoltre di minimo ingombro e, essendo un sistema aperto, permette al paziente di respirare liberamente senza alcuna resistenza qualora il flusso venga interrotto. Inoltre � possibile utilizzare il foro in comunicazione con l'ambiente per praticare contemporaneamente una broncoscopia10. � possibile infine usare un nebulizzatore per l'areosol-terapia in corso di CPAP e si possono somministrare alti flussi di ossigeno, anche umidificato, senza interruzioni nel circuito. Il peso e l'ingombro ridotti permettono una facile applicazione del dispositivo anche in pazienti portatori di tracheotomia o di tubo endotracheale, riducendo le forze meccaniche applicate alla trachea e alle strutture circostanti. Inoltre il fatto che il sistema di Boussignac sia una valvola solo virtuale, senza parti mobili, ne impedisce, in questi pazienti, l'ostruzione da parte di secrezioni. Il fatto che il flusso si conserva indipendentemente dalla lunghezza del tubo di connessione permette di usare connettori anche molto lunghi; tale fatto non � trascurabile nei pazienti con patologia polmonare cronica che necessitano di pressioni di supporto per molte ore al giorno poich� concede loro dello spazio per il movimento11. L'ultima e forse pi� importante caratteristica di questo dispositivo � che sar� il flusso richiesto dal paziente in fase inspiratoria a condizionare la pressione di supporto nelle vie aeree (mentre l'eccedente uscir� dal sistema aperto), minimizzando il rischio di barotrauma soprattutto nei bambini pi� piccoli e delicati.
Box 2. Mechanical In-Exsufflator o ChoughAssist (macchina della tosse) La macchina della tosse � un ventilatore a pressione positiva/negativa intermittente per la disostruzione delle alte vie aeree. Il dispositivo garantisce un'insufflazione di ampiezza variabile attraverso un boccaglio, una maschera nasale (o oro-nasale) o ancora per mezzo di un tubo endotracheale o tracheostomico. Questa insufflazione � seguito dall'applicazione di una pressione negativa che assicura un'espirazione meccanica forzata. I soggetti con malattie neuromuscolari possono beneficiare a lungo del supporto ventilatorio tramite NIV, ma pu� diventare impossibile per questi pazienti evitare la tracheotomia qualora la debolezza muscolare sia tale da renderli incapaci di eliminare le secrezioni in corso di episodi infettivi intercorrenti12. La macchina della tosse permette in diversi casi di aumentare questa chance. Il 90% delle complicanze respiratorie nei pazienti neuromuscolari � dovuto principalmente alla debolezza dei muscoli respiratori e/o bulbari che rendono estremamente difficoltosa l'espulsione delle secrezioni. � stato dimostrato che quando il picco di tosse scende sotto i 160 l/min, l'espulsione volontaria delle secrezioni diviene impossibile. Pertanto in tali pazienti anche una banale infezione delle alte vie aeree complicata da tracheo-bronchite pu� portare alla necessit� di intubazione e alla successiva tracheostomia. I bambini con debolezza della muscolatura toracica da moderata a severa sono inoltre a rischio di andare incontro ad episodi ricorrenti di polmonite o atelettasia proprio per la loro incapacit� a drenare spontaneamente le secrezioni delle vie aeree2,5. Sia nei pazienti adulti che nei pazienti pediatrici affetti da malattie neuromuscolari (distrofia muscolare di Duchenne, miopatie congenite, atrofia muscolare spinale di tipo I e II, altre malattie neuromuscolari non specifiche) l'utilizzo della macchina della tosse si � confermata una promettente, sicura, ben tollerata e valida alternativa o supporto alle tecniche di fisiocinesiterapia respiratoria al fine di ridurre le complicanze infettive e posticipare il ricorso alla tacheostomia5,6. 





