U caso di bartonellosi viscerale in paziente immunocompetente
1Struttura complessa di Pediatria e 2Servizio di Radiologia, Ospedale San Leopoldo Mandic, Merate (Azienda Ospedaliera di Lecco);
3Clinica Pediatrica, IRCCS �Burlo Garofolo�, Trieste
Indirizzo per corrispondenza: a.bettinelli@ospedale.lecco.it
A CASE OF SYSTEMIC BARTONELLOSIS IN A IMMUNOCOMPETENT BOY
Key words
Fever of unknown origin, laterocervical lymphonode enlargment, hepatosplenic abscess, systemic bartonellosis
Summary
We report a case of a 5-years old immunocompetent boy with persistent fever and a diffuse enlargement of laterocervical lymphonodes. We performed first an abdominal ultrasonography and then a CT showing multiple hepatosplenic abscesses. Later the family referred child's contact with young cats some months before. Significantly high levels of antibody title for Bartonella henselae confirmed the diagnosis. The boy received an antibiotical therapy with azythromicin and gentamicin because of the visceral diffusion of the disease. In typical cases there is no indication to antibiotic therapy.
Caso clinico
G. � un simpatico bambino di 5 anni e 8 mesi che abita in un ambiente rurale poco distante dalla nostra Struttura e che giungeva alla nostra osservazione poich� presentava da circa 7 giorni temperatura febbrile a carattere intermittente, con puntate anche sino a 40 �C, prevalenti nel pomeriggio e in serata. Dall'anamnesi emergeva che il piccolo, non vaccinato per MPR, avrebbe presentato una tumefazione laterocervicale monolaterale due settimane prima dell'esordio della sintomatologia interpretata come parotite, poi regredita per lasciare spazio a una linfoadenopatia diffusa del collo.
G., sempre in buona salute e perfettamente immunocompetente, non lamentava alcun sintomo, non aveva perso peso n� la consueta vivacit�, sebbene gli episodi febbrili lo lasciassero piuttosto spossato. Non viaggi recenti al di fuori della residenza.
All'esame obiettivo generale la cute era rosea, integra, obiettivit� cardiotoracica completamente negativa; la palpazione dell'addome non evidenziava n� resistenza, n� masse, n� organomegalia. Linfoadenopatia diffusa laterocervicale e retronucale; indenni le altre stazioni linfonodali.
Gli esami ematochimici documentavano modesta leucocitosi (GB=12.600 con 62% di neutrofili), aumento della PCR=15,4 mg/dl e della VES=100 mm/ora.
Nella norma la funzionalit� epatica e renale. Striscio periferico negativo (Hb:11,2 g/dl, PTL=550.000 mm3). Sierologia per EBV, Toxoplasma, CMV e reazione di Wright: negative. Mantoux: negativa. Esami colturali (emocoltura, coprocoltura, urinocoltura, tampone faringeo per adenovirus e SBEA): negativi.
La radiografia del torace non evidenziava addensamenti e l'immagine cardiomediastinica e vascolare risultava nella norma. L'ecocardiogramma non documentava una dilatazione delle coronarie e un interessamento delle valvole cardiache
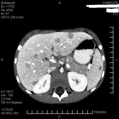
Un'ecografia addominale rilevava �a carico del fegato e della milza multiple lesioni focali solide, ipoecogene; almeno sei a livello della milza e a carico del fegato interessanti entrambi i lobi con dimensioni variabili da pochi mm a un massimo di un cm. Lesioni epatiche a contorni un po' pi� sfumati, quelle spleniche ben delimitabili dal parenchima circostante. Ascessi? Interessamento d'organo in malattia leucemoide-linfomatosa?�. A seguito di tale referto, veniva eseguita una TAC addominale (Figura 1) che confermava nel contesto del parenchima epatico e splenico la presenza di multiple lesioni focali ipodense di diametro compreso tra i 5 ed i 22 mm; reperto compatibile in prima ipotesi con ascessi multipli.

Figura 1. TAC addominale con mezzo di contrasto. Nel contesto del parenchima epatico e splenico si evidenziano multiple lesioni focali ipodense rotondeggianti di diametro compreso tra i 5 ed i 22 mm. Il reperto � pi� evidente a livello delle lesioni epatiche ed � compatibile in prima ipotesi con ascessi multipli.
Il piccolo, stante l'anamnesi (emersa in seconda battuta) di contatto con una cucciolata di gatti randagi qualche mese prima (erano divenuti i compagni di gioco di G. e lo avevano riempito di graffi�), veniva sottoposto a sierologia per Bartonella henselae. In tempi rapidi ottenemmo una risposta decisamente significativa: IgG anti-Bartonella POSITIVE 1:512 ed IgM positive. Si poneva quindi diagnosi di �malattia da graffio di gatto� (CSD) in forma viscerale. A completamento diagnostico, � stata eseguita una visita oculistica che escludeva uveite o problemi retinici.
Il bambino quindi presentava una forma sistemica di bartonellosi con interessamento epatosplenico.
Dopo consulto con Centro specialistico veniva iniziata terapia con azitromicina 10 mg/kg in unica dose per il primo giorno seguito da 5 mg/kg per altri 4 giorni per la prima settimana, quindi 5 mg/kg per 5 giorni la settimana per altre 4 settimane (tale durata � stata da noi stabilita poich� non vi � accordo generale circa questo punto). Per i primi dieci giorni, poich� il piccolo inizialmente tendeva a non sfebbrare, veniva aggiunta gentamicina per via venosa, proseguita per 10 giorni.
Si osservava completa defervescenza e riduzione della linfoadenopatia laterocervicale dopo il primo ciclo di terapia.
Abbiamo rivisto G. una prima volta dopo 5 giorni dalla dimissione: in quell'occasione mostrava un'eruzione cutanea al tronco, orticarioide con maculopapule di colore rossastro, non particolarmente pruriginose, interpretabili come altra manifestazione sistemica della malattia.
Dopo circa un mese � stata ripetuta un'ecografia addominale documentante la risoluzione delle lesioni epatiche; ancora riconoscibili 3 noduli ipodensi splenici. G. presentava ancora esantema cutaneo, anch'esso in via di risoluzione.
Gli indici di flogosi erano completamente negativizzati. In ulteriore incremento le IgG specifiche (1:1024), con persistenza delle IgM anti-Bartonella.
Il follow-up di G. � durato per un anno, in cui il piccolo � cresciuto in modo soddisfacente e non ha presentato alcun problema clinico; l'ultima ecografia (dopo 6 mesi di follow-up) mostrava un'obiettivit� epatica perfettamente regolare e a livello splenico due piccole lesioni calcificate (Figura 2).

Figura 2. Ecografia addome; in particolare nel parenchima del parenchima splenico sono ancora riconoscibili tre piccole lesioni rotondeggianti del diametro di 11, 8 e 6 mm rispettivamente.
Discussione
La bartonellosi � caratterizzata, nella sua forma tipica, da un'adenite in una sede che drena una lesione provocata dal graffio o morso di un gatto e ha per lo pi� un'evoluzione favorevole, autolimitantesi. Da 3 a 5 giorni dopo la procurata lesione da parte (di solito) di un cucciolo maschio, compare nella stessa sede una papula che evolve quindi in vescicola e crosta. Dopo due settimane, compare un'adenopatia satellite che pu� essere paucisintomatica; talora si osserva franca adenite che giunge a guarigione in settimane o addirittura mesi. A volte � presente astenia e dolore addominale. Solo un 30% dei soggetti presenta febbre, 1/3 dei quali elevata.
Una quota variabile dei soggetti (stimata sino al 25%) presenta forme atipiche, tra cui la pi� comune � la Sindrome di Parinaud (lesione congiuntivale da inoculo, congiuntivite granulomatosa, non suppurativa e linfoadenopatia reattiva preauricolare), ma si annoverano sintomi del sistema nervoso centrale (ipereccitabilit�, convulsivit�, deficit dei nervi cranici sino al coma), neuroretiniti, polmoniti, endocarditi, osteomieliti e una malattia viscerale diffusa come nel nostro caso.
In genere, si tratta di pazienti indagati per febbre di origine sconosciuta, con sintomi spesso modesti, senza movimento degli enzimi epatici e senza obiettivit� di epatosplenomegalia, in cui vi � riscontro all'ecografia addominale di lesioni ipoecogene nel fegato e nella milza. Dal punto di vista istologico si tratta di granulomi necrotizzanti stellati.
Per quanto concerne il trattamento, va sottolineato che la bartonellosi � una malattia autolimitantesi e la terapia antibiotica � di dubbia utilit� sulla prognosi finale. Tuttavia essa � indicata nelle forme disseminate e/o viscerali e necessaria nei pazienti immunocompromessi. Oltre all'azitromicina, altri farmaci efficaci sembrano essere la rifampicina, la gentamicina, la ciprofloxacina, il TMP-SMX.
Tra le affezioni febbrili persistenti (a volte associate a linfoadenopatia ed evidenza ecografica di ascessi epatosplenici), la �malattia da graffio di gatto�, deve essere posta sempre in diagnosi differenziale. Per la diagnosi di infezione recente si ritiene significativo un titolo di IgG >1:512 o un aumento di 4 diluizioni del titolo IgG in un periodo di 2-4 settimane; una titolazione 1:256 pur essendo significativa, potrebbe essere poco attendibile in soggetti con malattia pregressa in continuo contatto con gatti. La ricerca delle IgM appare a questo riguardo importante, confermando una diagnosi che, se dubbia, comporterebbe ulteriori indagini invasive. Le IgM anti-Bartonella possono persistere positive per 3 mesi circa e le IgG (a titolo elevato) per oltre 12 mesi.
Bibliografia di riferimento
Bass JW, Freitas BC, Freitas AD, et al. Prospective randomized double blind placebo controlled evaluation of azithromycin for treatment of cat-scratch disease. Pediatr Infect Dis J 1998;17:447-52
English R. Malattia da graffio di gatto Pediatrics in Review ed.Italiana 2006;16(4):127-32.
Laham FR, Kaplan SL. Hepatosplenic cat-scratch fever. Lancet Infect Dis 2008;8(2):140.
Manfredi R, Sabbatani S, Chiodo F. Bartonellosis: light and shadows in diagnostic and therapeutic issues Clin Microbiol Infect 2005;11:167-69.
Massei F, Messina F, Talini I, et al. L'infezione da Bartonella henselae nel bambino: una malattia frequente e proteiforme. Medico e Bambino 1999;18(7):410-16.
Massei F, Gori L, Maggiore G. Infezione da Bartonella: molto pi� di una sola malattia. Area Pediatrica 2006;9:5-15
Ventura A, Massei F, Not T, et al. Systemic Bartonella henselae infection with hepatosplenic involvment. J Pediatr Gastroenterol Nutr 1999;29(1):52-56.
Windsor JJ. Cat-Scratch disease: epidemiology, aetiology and treatment. Br J Biomed Sci 2001;58(2):101-10.
