Il rischio di andare alla deriva sull'iceberg della celiachia
Scuola di Specializzazione in Pediatria; 1Clinica Pediatrica, Universit� di Verona
Indirizzo per corrispondenza: enrico.valletta@azosp.vr.it
Possible pitfalls in diagnosing celiac disease
Key words
celiac disease, duodenal biopsy, cytochrome-c oxidase deficiency, mitochondrial encephaloneuromyopathy
Summary
A 12-year old child with failure-to-thrive had diagnosis of celiac disease at the age of 20 months, in spite of negative serologic markers and only slight histological modifications at the duodenal biopsy. After 10 years of gluten free diet his weight and height were ≤ 2SD than the normal values for the age. He had also neurodevelopmental delay, dyslexia and visual disturbances. Markers of HLA susceptibility for celiac disease were absent. Investigations showed growth hormone deficiency and neuromuscular impairment due to mitochondrial encephaloneuromyopathy (cytochrome-c oxidase deficiency). Possible pitfalls in diagnosing celiac disease are discussed. Clinical history, serology, histology and gluten-dependency must be taken in account especially in doubtful clinical situations.
Riassunto
Descriviamo il caso di un bambino di 12 anni con diagnosi di celiachia dall'et� di 20 mesi formulata sulla base di uno scarso accrescimento pondero-staturale, una sierologia negativa e sfumate alterazioni dell'istologia duodenale. Dopo 10 anni in dieta senza glutine, la curva auxologica non mostra alcun miglioramento. Al momento dell'osservazione peso e altezza sono attorno a -2DS, c'� un lieve ritardo psicomotorio e sfumate note sindromiche. Non vi � predisposizione HLA per celiachia, mentre emerge un deficit di ormone della crescita e un quadro neuromuscolare suggestivo di mitocondriopatia con deficit di citocromo-c ossidasi. La spinta alla diagnosi delle forme silenti e latenti di celiachia � oggi molto forte, ma occorre mantenere un atteggiamento critico e prudente nelle situazioni cliniche non chiare.
Introduzione
La celiachia � ormai argomento all'ordine del giorno tanto per il pediatra quanto per il medico dell'adulto. La prevalenza � elevata (0.5-1%), i pazienti non ancora noti sono la maggioranza (~80%) e il rischio per la salute individuale ed il costo sociale della malattia sembrano essere consistenti. D'altra parte, la prospettiva di una terapia risolutrice (la dieta) e la larga disponibilit� di accertamenti (sierologici) di primo livello di grande affidabilit� offrono motivazione e strumenti per una ricerca sempre pi� attiva della patologia. Si affacciano, addirittura, ipotesi di screening su fasce di popolazione allargate, avvalendosi, all'occorrenza, anche delle risorse della genetica (HLA di predisposizione). La spinta a far emergere la parte sommersa � e spesso silente - dell'iceberg celiachia � forte e vi � la sensazione che i casi di celiachia latente (sierologia positiva e biopsia duodenale normale o, quantomeno, non conclusiva) siano in aumento. Con la tentazione, ormai dichiarata, di gettare il cuore oltre l'ostacolo e, confidando in una robusta positivit� sierologica, superare i frequenti problemi legati all'istologia duodenale1. Talora, la tentazione � talmente forte da spingerci anche oltre, come dimostra il nostro caso clinico
Caso clinico
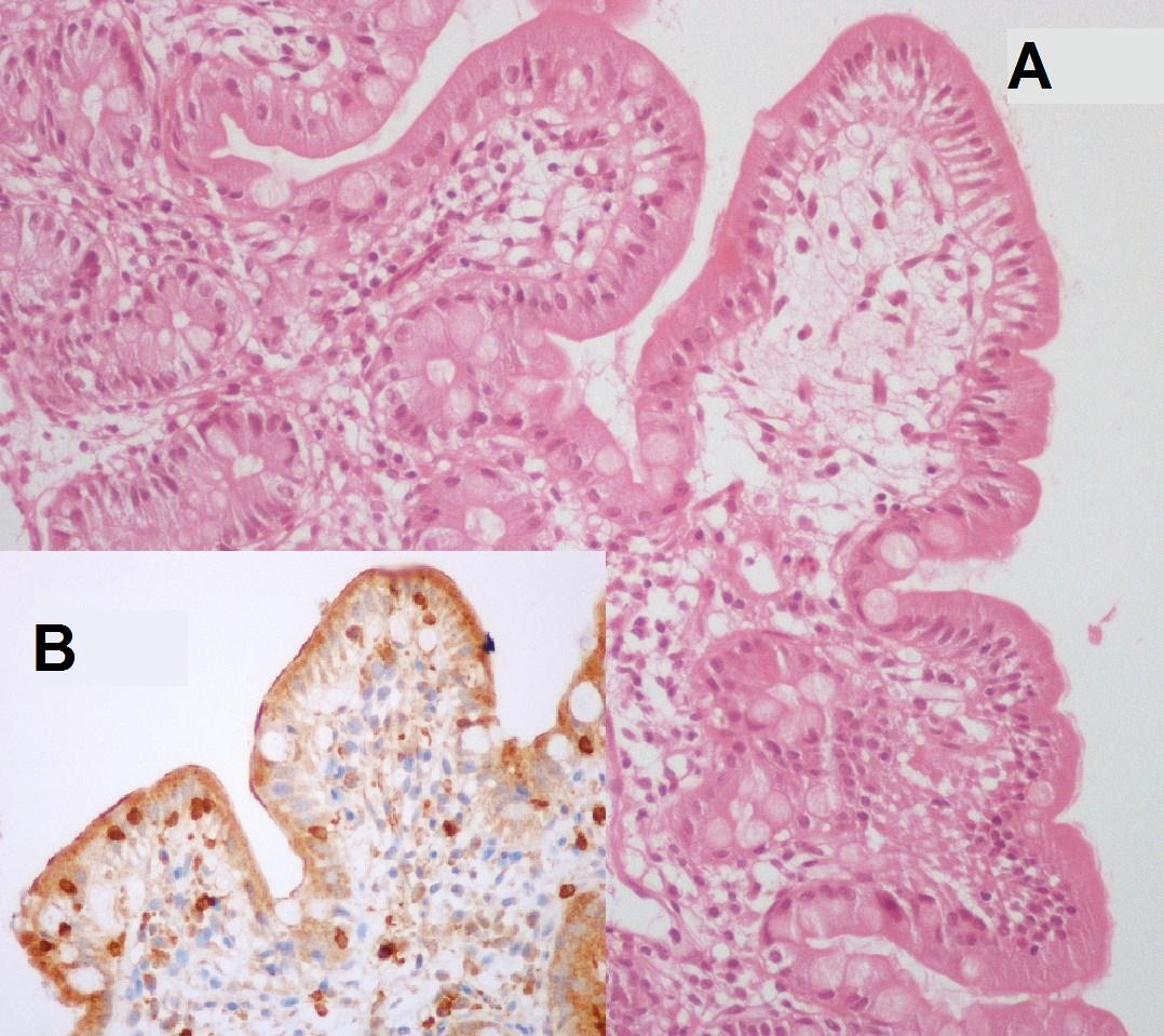
M. ha poco meno di 12 anni e una diagnosi di celiachia che lo accompagna da dieci anni. E' un ragazzino timido e un po' impacciato sia nel muoversi che nel parlare e porta spessi occhiali da vista. E' piccolo (-2DS per peso (26 kg) e <-2DS per altezza (127 cm) (Figura 1), ancora prepubere (G1, P1); ha dei genitori non consanguinei di buona statura, una certa familiarit� per patologia tiroidea non meglio identificata e una storia personale tutt'altro che banale. Nato a 35 settimane per gestosi gravidica (PN 2420 g), viene allattato al seno fino all'ottavo mese e svezzato senza problemi dal sesto. Ad 11 mesi di vita la curva di crescita comincia a suscitare qualche perplessit�, l'addome � un po' disteso e l'alvo irregolare. Anche lo sviluppo psicomotorio non � brillante. A 20 mesi iniziano gli accertamenti: c'� una lieve anemia (Hb 12.9 g/dl) sideropenica (MCV 80.5 fl, ferritina 13 ng/ml) con anticorpi antigliadina, antiendomisio (EMA) e antireticolina negativi e un normale corredo immunoglobulinico. Nonostante questo, M. va alla biopsia duodenale e, nonostante un'istologia un po' vaga (parziale ampliamento dei villi e infiltrato linfoplasmacellulare di media entit�) (Figura 2), esce dall'ospedale con una diagnosi di celiachia ed una dieta ben impostata. Ci si propone di vigilare sulle tappe del suo sviluppo, aiutandolo dove � in difficolt� ed il problema sembra risolto. In realt�, ad 8� anni le curve di crescita non mostrano di risentire minimamente della dieta, peraltro scrupolosamente seguita. Nuovi accertamenti, quindi, in diverso ospedale, nuova biopsia duodenale (in dieta senza glutine, con anticorpi antitransglutaminasi (TGA) ed EMA negativi) e quadro istologico ancora ambiguo (cattivo orientamento delle biopsie e dubbia, lieve atrofia dei villi), ma con identica conclusione: celiachia e dieta. I successivi tre anni sono storia di oggi con in pi� alcune informazioni interessanti. M. � francamente dislessico, ha difficolt� nella lettura e ha due sorelle pi� piccole di 7 e 3 anni con dislessia e ritardo dell'apprendimento l'una e con ritardo del linguaggio l'altra.
� affetto da strabismo e miopia, la seconda dentizione � iniziata a 10 anni, viene operato di criptorchidismo a 11 e, la sua et� ossea � in ritardo di circa tre anni. Negli ultimi tempi ha anche una lieve disfagia per i cibi solidi. Ci sembra si possa dubitare che la celiachia sia l'unica responsabile di questo quadro, neanche troppo vagamente, sindromico e proviamo ad applicarci anche noi partendo�. dalla celiachia. Gli HLA (DQA1*0103/0505, DQB1*0603/0301) non sono tra quelli classicamente predisponenti all'intolleranza al glutine, TGA ed EMA sono negativi e, prevedendo un imminente challenge con glutine, archiviamo una terza biopsia duodenale che d� un quadro di sostanziale normalit�. Gli esami ematologici e biochimici di routine sono tutti nella norma, cos� come la funzione tiroidea e l'IGF1 (22 nmol/L). Scendendo un po' in profondit� peschiamo qualcosa di pi� interessante: un carico di arginina molto sospetto per deficit di GH (4.8 ng/ml al picco) ed uno di insulina (GH: 4 ng/ml al picco) che d� la conferma. Nel mentre ci si organizza per impostare la terapia sostitutiva, emergono ulteriori pezzi del puzzle. La valutazione neuropsichiatrica conferma l'impaccio della motricit� e della coordinazione oculo-manuale con compromissione della comprensione verbale, dell'attenzione e dell'attivit� grafo- motoria. L'EEG mostra anomalie nelle regioni fronto-temporali bilateralmente e la RNM � riconosciuta un'ipofisi priva di anomalie � segnala alterazioni diffuse della sostanza bianca parietale, mesencefalica e cerebellare. I potenziali evocati somato-sensitivi sono marcatamente destrutturati nelle componenti corticali e la risposta cardiorespiratoria e metabolica al test da sforzo, evidentemente deficitaria, sembra compatibile con una miopatia mitocondriale. Ineludibile, a questo punto, la biopsia muscolare con diagnosi finale di miopatia mitocondriale con deficit di citocromo-c ossidasi. Certamente, la storia di M. e della sua famiglia (non dimentichiamo le difficolt� delle sorelle) non pu� dirsi ancora conclusa. In attesa che ulteriori indagini genetiche e di biologia molecolare aiutino a precisare meglio la natura del problema, abbiamo deciso di mettere definitivamente alla prova l'ormai improbabile diagnosi di celiachia. M. � in dieta libera ormai da quattro mesi, senza sintomi e con TGA ed EMA del tutto negativi. Se nel corso dei prossimi mesi clinica e sierologia non vireranno, potremmo forse risparmiargli la quarta biopsia e dichiararlo definitivamente �guarito� anche se, purtroppo, solo dalla celiachia.
Discussione
Il caso che abbiamo descritto riassume in s� quasi tutti gli elementi di incertezza nei quali ancora oggi possiamo imbatterci mentre indaghiamo una �banale� celiachia. L'et�, anzitutto, ancora in quella fascia (primi due anni di vita) che anche l'ormai storico lavoro del Gruppo Italiano di Gastroenterologia Pediatrica del 19892 considerava comunque a rischio di errore diagnostico. E' un messaggio vecchio di vent'anni, ma forse non vale la pena rimuoverlo del tutto. Poi la sierologia, come abbiamo gi� detto molto sensibile e affidabile, ma non infallibile e se il sospetto clinico � forte siamo autorizzati ad andare alla biopsia1. La diagnosi di celiachia con sierologia negativa � possibile, ma in questo caso ci stiamo muovendo nell'eccezione dove la prudenza � d'obbligo e l'istologia duodenale riconquista un suo ruolo fondamentale. La vecchia biopsia fatica, oggi, a tenere il passo delle incalzanti tecniche immunodiagnostiche e genetiche. L'abituale morfometria, pur periodicamente rivisitata e integrata dall'immunoistochimica, svela quadri sempre pi� spesso sfumati, forse di danno iniziale non ancora conclamato, ma che siamo tentati a considerare comunque �suggestivi� sull'onda di una sierologia positiva. Da pi� parti si afferma il primato della sierologia sull'istologia e a un numero non trascurabile di pazienti con clinica e TGA francamente positivi potrebbe essere effettivamente risparmiata la biopsia senza ragionevole dubbio di errore3,4. In molti soggetti asintomatici, con sierologia borderline, con deficit di IgA o per qualsiasi motivo �complessi� l'istologia duodenale continuer� ad avere un ruolo, se non sempre risolutivo, quantomeno contributivo. Nel nostro caso, una biopsia dubbia associata ad una sierologia negativa avrebbe potuto suggerire una salutare attesa e la riconsiderazione del quadro clinico. A posteriori, possiamo ipotizzare che le anomalie istologiche potessero essere, in certa misura, espressione morfologica della patologia mitocondriale sottostante, analogamente a quanto emerge da alcune segnalazioni della letteratura6,7.
L'assenza degli HLA pi� comunemente predisponenti contribuisce a rendere ancor meno probabile (anche se neppure qui mancano le eccezioni) la diagnosi di celiachia5. Infine, la risposta clinica alla dieta senza glutine: elemento cardine sul quale si fondava la semplificazione dell'iter diagnostico2 e che mantiene, tuttora, un forte significato confermativo. Fatta eccezione per i casi asintomatici, identificati per lo pi� attraverso screening precoce di gruppi a rischio, negli altri casi � ragionevole attendersi un cambiamento di rotta nel segno/sintomo che ci aveva indotti a sospettare la celiachia. Un deficit di peso e/o di statura non dovrebbe restare indifferente ad una prolungata dieta senza glutine, se questo � realmente il problema.
Il caso di M. � quello di un vero e proprio naufragio sull'iceberg della celiachia al quale � oggi sempre pi� facile approdare (e questa � una cosa buona) e dal quale � comunque molto difficile ripartire nel caso ci si fosse arrivati per sbaglio (e questa � cosa meno buona). I punti critici della nostra storia sono purtroppo molti: da una diagnosi fatta � a tutti i costi� nonostante una sierologia negativa e un'istologia per nulla significativa, ad una dieta senza glutine tanto prolungata quanto inefficace sul sintomo di presentazione, all'opportunit� persa - in occasione della seconda biopsia - per rifare criticamente il punto della situazione e dare una svolta diversa alla vicenda. Nella corsa alla diagnosi precoce, anche nei casi sierologicamente ed istologicamente incerti (tenere il caso aperto � impegnativo per tutti e c'� sempre la possibilit� che qualcun'altro, pi� deciso di noi, lo chiuda per noi), vale la pena ricordarci che la dieta senza glutine � comunque un impegno per la vita e che mettere in discussione una diagnosi fatta � spesso pi� complesso che farne una nuova. Se si procede in maniera lineare e rigorosa8, nella gran parte dei casi � certamente molto difficile sbagliare (forse anche senza biopsia), ma un quadro troppo insolito ci costringe ancora oggi a procedere con prudenza e a considerare anche possibili alternative alla �solita� celiachia.


Figura 1. Diagrammi dell'altezza e del peso.
Nota: La diagnosi di celiachia viene formalizzata a circa 2 anni di et�: non si assiste ad alcun recupero nella crescita ponderale e staturale

Figura 2. Istologia duodenale ed immunoistochimica (CD3+) alla diagnosi di celiachia.
Bibliografia
Collin P, Kaukinen K, Vogelsang H, et al. Antiendomysial and antihuman recombinant tissue transglutaminase antibodies in the diagnosis of coeliac disease: a biopsy-proven European multicentre study. Eur J Gastroenterol Hepatol 2005;17:85-91.
Guandalini S, Ventura A, Ansaldi N, Giunta AM, Greco L, Lazzari R, Mastella G, Rubino A. Diagnosis of coeliac disease: time for a change? Arch Dis Child. 1989;64:1320-4.
Barker CC, Mitton C, Jevon G, Mock T. Can tissue transglutaminase antibody titers replace small-bowel biopsy to diagnose celiac disease in select pediatric populations? Pediatrics 2005;115:1341-6.
Donaldson MR, Book LS, Leiferman KM, Zone JJ, Neuhausen SL. Strongly positive tissue transglutaminase antibodies are associated with Marsh 3 histopathology in adult and pediatric celiac disease. J Clin Gastroenterol 2008;42:256-60.
Karell K, Louka AS, Moodie SJ, et al. HLA types in celiac disease patients not carrying the DQA1*05-DQB1*02 (DQ2) heterodimer: results from the European Genetics Cluster on Celiac Disease. Hum Immunol 2003;64:469-77.
Bonnemains C, Berthelot J, Mousson de Camaret B, Chomienne F, Duveau E, Gini�s JL. Mitochondrial cytopathy: an unusual infantile cause of total villous atrophy. Arch Pediatr. 2004;11:118-21.
Giordano C, Sebastiani M, Plazzi G, et al. Mitochondrial neurogastrointestinal encephalomyopathy: evidence of mitochondrial DNA depletion in the small intestine. Gastroenterology. 2006;130:893-901.
Ministero della Salute. Documento di inquadramento per la diagnosi ed il monitoraggio della malattia celiaca e relative complicanze. 23 Luglio 2007. http://www.ministerosalute.it/speciali/documenti/protocollo_diagn.pdf
