Osteoma osteoide trattato con ablazione percutanea con radiofrequenze: descrizione di un caso
1Divisione
di Ortopedia e Traumatologia Ospedale Infantile �Regina Margherita�
Torino;
2Universit� degli Studi di Torino, Scuola
di Specializzazione in Pediatria;
3SC di Pediatria
Ospedale Civile �Edoardo Agnelli�, Pinerolo (Torino)
Indirizzo per corrispondenza: sardinicola@hotmail.com
OSTEOID OSTEOMA TREATED WITH PERCUTANEOUS RADIOFREQUENCY ABLATION: CASE REPORT
Key words
Osteoid osteoma, Treatment, Percutaneous radiofrequency ablation
Summary
Osteoid osteoma (OO) is a small, benign bone tumour that occurs in young people. The most common skeletal sites are the metaphysis or diaphysis of long bones. We report a case of a 13-year-old boy with a 5-month history of pain in the right femur. For the persistence and the increasing of the pain the boy underwent a right lower limb CTscan that revealed a well-defined, 5 mm cortical lesion of the distal femur characteristic of an OO. Therefore a percutaneous radiofrequency ablation (PRA) of the OO under CTscan guide was performed: after the treatment there was a complete remission of the pain and at the 3-month-follow-up the child remained symptoms free. Our experience confirms literature data supporting the use of PRA as a minimal invasive and effective treatment for OO.
Introduzione
L'Osteoma Osteoide (OO) � tumore benigno dell'osso di origine sconosciuta che colpisce in pi� del 90% dei casi pazienti di et� compresa tra 5 e 18 anni e costituisce una rara causa di zoppia in et� pediatrica1.
Le sedi pi� colpite sono le metafisi e le diafisi delle ossa lunghe. La lesione tipica � caratterizzata da un �nidus� di tessuto osteoide circondato da uno strato di osso sclerotico reattivo. Le dimensioni medie sono generalmente <1,5 cm. Il �nidus� contiene elevate concentrazioni di prostaglandine che sembrano essere la causa della intensa reazione infiammatoria perilesionale e del dolore2.
Il sintomo tipico di presentazione � il dolore notturno, profondo, continuo e localizzato che tipicamente regredisce con l'assunzione Acido Acetil-Salicilico (ASA) o altri Farmaci Antiinfiammatori Non Steroidei (FANS)3. Una rara localizzazione � quella vertebrale che pu� manifestarsi con torcicollo, scoliosi o sintomi che suggeriscono una possibile patologia neurologica.
Nella maggior parte dei casi, la storia clinica caratteristica e gli approfondimenti radiologici sono sufficienti per confermare la diagnosi, anche in assenza di un riscontro istologico.
Il trattamento di scelta � rappresentato dall'escissione chirurgica. Tuttavia, negli ultimi vent'anni, sono state introdotte nuove modalit� terapeutiche al fine di ridurre la morbidit� correlata alle tecniche tradizionali e di consentire una pi� rapida ripresa funzionale4.
La termoabalzione percutanea con radiofrequenze (TPR), utilizzata per la prima volta da Rosenthal et al 5 nel 1992, si � dimostrata particolarmente promettente sotto questo punto di vista: numerosi studi hanno infatti evidenziato una significativa riduzione della morbidit�. Tale tecnica � basata sulla localizzazione alla Tomografia Assiale Computerizzata (TAC) della lesione da trattare e sulla sua successiva termoablazione con radiofrequenze. Descriviamo il caso di un ragazzo di 13 anni, che permette di illustrare un'ulteriore causa, seppur rara, di zoppia in et� pediatrica ed evidenziare i benefici di un trattamento terapeutico relativamente innovativo e poco invasivo.
Caso clinico
S. � un ragazzo rumeno di 13 anni giunto presso il Pronto Soccorso Pediatrico del nostro Ospedale per importante dolore alla coscia e ginocchio di destra che causava zoppia.
La mamma riferiva che nel 2002 S. era stato trattato in Romania con ASA per 2 mesi circa per sospetta �artrite� (esami ematochimici non disponibili). La sintomatologia si era poi attenuata, per ripresentarsi a inizio 2007. Le radiografie dell'arto inferiore dx eseguite a febbraio 2007 nel suo paese di origine erano risultate normali. S. era dunque stato trattato nuovamente con FANS con scarso beneficio. Giunto in Italia, per la persistenza del dolore, a maggio 2007 veniva condotto presso il nostro DEA pediatrico.
L'anamnesi familiare e patologica remota erano silenti.
L'esame obiettivo all'ingresso era normale. La deambulazione era consentita ma con evidente zoppia dx. La circonferenza degli arti inferiori a livello del ginocchio era di 34 cm a sinistra e di 35 cm a dx. Inoltre lamentava dolore alla pressione del legamento rotuleo e alla mobilizzazione attiva e passiva del ginocchio dx. L'esame obiettivo neurologico era negativo.
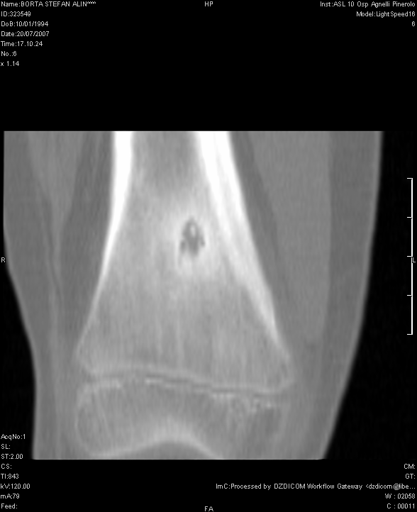
S. veniva dunque ricoverato presso il nostro Reparto di Pediatria. Gli esami di laboratorio inizialmente eseguiti erano normali e la radiografia del ginocchio non evidenziava anomalie. Veniva eseguita una TAC dell'arto inferiore dx che evidenziava una lesione di circa 5 mm di diametro a livello della corticale del femore distale, compatibile con OO (Figura 1). In seguito la scintigrafia total-body con Tecnezio-99 dimostrava una intensa captazione del tracciante a livello della diafisi distale del femore destro, con segni di ipervascolarizzazione e di aumentata attivit� osteoblastica. Per meglio definire la lesione veniva eseguita anche una Risonanza magnetica Nucleare (RMN) che confermava la presenza di un quadro compatibile con OO (Figura 2).
Il ragazzo veniva dunque inviato presso la Divisione di Ortopedia dell'Ospedale Infantile �Regina Margherita� di Torino dove veniva sottoposto ad intervento di TPR.
Tecnicamente, si � praticata un'anestesia generale. Sotto guida TC si � identificato il punto di accesso attraverso il quale � stato introdotto per via percutanea un ago da biopsia ossea al centro del �nidus�. L'elettrodo, connesso con un generatore di radiofrequenze, mantiene una temperatura di 85�-90�C per un tempo di circa 4-6 min durante il quale avviene l'ablazione termica tramite necrosi coagulativa di una porzione di tessuto osseo pari ad una sfera di circa 1 cm di diametro.
Dopo tale trattamento si � assistito alla completa risoluzione della sintomatologia algica. Al follow-up di 3 mesi il ragazzo risultava asintomatico e in buone condizioni generali.
Discussione
L'OO � il pi� comune tumore osseo benigno la cui storia naturale varia in base alla sede di presentazione; sono descritti casi di regressione spontanea dopo un periodo medio di 3-7 anni6. La TAC con mezzo di contrasto rappresenta la miglior tecnica di �imaging� per la diagnosi di OO in quanto frequentemente l'indagine radiologica standard risulta negativa come nel caso descritto.
La lesione alla TAC � piuttosto caratteristica: l'aspetto tipico di un'immagine lacunare osteolitica di piccole dimensioni circondata da una reazione sclerotica iperdensa � quasi sempre dirimente. Per la diagnosi differenziale (soprattutto con tumori ossei e istiocitosi) � utile l'esecuzione della scintigrafia ossea con Tecnezio-99 e della RMN, che pu� evidenziare la diffusione ai tessuti molli e l'eventuale coinvolgimento intramidollare (in caso di lesioni a localizzazione vertebrale).
Nella maggior parte dei casi, se il paziente continua ad essere sintomatico nonostante la somministrazione di FANS, il trattamento chirurgico d'elezione � rappresentato da un'ampia escissione della lesione. Gli svantaggi di questa procedura sono rappresentati dalla necessit� di immobilizzazione prolungata e dalla possibilit� di applicare fissatori interni e/o un innesto osseo per la prevenzione delle fratture7.
Per tali motivi e per la possibilit� di regressione spontanea dell'OO, si sono sviluppate nell'ultimo decennio nuove tecniche tese a minimizzare la rimozione di tessuto osseo con i conseguenti problemi correlati.
Sebbene l'assenza di una reperto istologico di conferma sia oggetto di critiche, l'impiego di nuove tecniche minimamente invasive come la TPR � diventato il trattamento di scelta per questo tipo di lesioni, quando le caratteristiche cliniche e radiologiche siano tipiche di OO. Inoltre questa tecnica consente il carico a partire dal giorno seguente il trattamento3.
La principale limitazione all'esecuzione della TPR � rappresentata dai casi (peraltro non frequenti) con localizzazione anatomica complessa (OO localizzati a livello di ossa piccole, contiguit� con organi vitali, OO intra-articolari). Gli effetti collaterali della TPR sono invece essenzialmente di due tipi: 1) danno a carico dei tessuti limitrofi alla zona trattata (la punta dell'ago a radiofrequenze deve essere posizionata ad almeno 1 cm di distanza dalle strutture vascolo-nervose regionali); 2) mancata riuscita della procedura con conseguente recidiva di OO (dovuta per lo pi� a non perfetta centratura della lesione per difficolt� d'accesso oppure per problemi intrinseci al dispositivo a radiofrequenze).
La percentuale di successi terapeutici riportata da Rosenthal et al. con questa tecnica � dell'88% 5. Gli stessi autori8 hanno dimostrato, in uno studio comparativo tra il trattamento chirurgico tradizionale e la TPR, una percentuale di recidiva del 9% per la prima e del 12% per la seconda metodica. In un altro studio, la TPR si � dimostrata risolutiva nel 96% dei pazienti; tutte le recidive sono state sottoposte ad un secondo trattamento ottenendo una remissione completa nel 100% dei casi9.
In conclusione, il trattamento dell'OO dovrebbe essere il meno invasivo possibile in considerazione della storia naturale benigna del tumore. Considerando i dati della letteratura10, la TPR risulta essere un trattamento sicuro ed efficace per questo genere di tumore, con vantaggi anche di ordine economico in termini di riduzione delle complicanze post-trattamento, dei costi di gestione e dei tempi di degenza dei pazienti.

Figura 1. La TC del femore dx dimostra la presenza in sede iuxtametafisaria di addensamento della trabecolatura ossea che circoscrive un'area di maggior radiotrasparenza.

Figura 2. La RMN del femore dx conferma la presenza della lesione evidenziata alla TC.
Bibliografia
Vigorita VJ. Orthopaedic pathology. Philadelphia: Lippincot Williams and Wilkins, 1999.
Greco F, Tamburelli F, Ciabattoni G. Prostaglandins in osteoid osteoma. Int Orthop 1991;7:789-800.
Ghanem I. The management of osteoid osteoma: updates and controversies. Curr Opin Pediatr 2006;18:36-41.
Yildiz Y, Bayrakci K, Altay M, Saglik Y. Osteoid osteoma: the results of surgical treatment. Int Orthop 2001;25:119-122.
Rosenthal DI, Alexander A, Rosenberg AE, Springfield D. Ablation of osteoid osteomas with a percutaneously placed electrode: a new procedure. Radiology 1992;183:29-33.
Frassica FJ, Waltrip RL, Sponseller PD et al. Clinicopathologic features and treatment of osteoma and osteoblastoma in children and adolescents. Orthop Clin North Am 1996;27:559-574.
Kitsoulis P, Mantellos G, Vlychou M. Osteoid osteoma. Acta Orthop Belg 2006;72:119-125.
Rosenthal DI, Hornicek FJ, Wolfe MW. Percutaneous radiofrequency coagulation of osteoid osteoma compared with operative treatment. J Bone Joint Surg 1998; 80-A:815-821.
Lindner NJ, Ozaki T, Roedl R et al. Percutaneous radiofrequency ablation in osteoid osteoma. J Bone Joint Surg Br 2001;83(3)
Mastrantuono D, Martorano D, Verna V, Mancini A, Faletti C. L'osteoma osteoide. Nostra esperienza nel trattamento mediante radiofrequenza (RF). Radiol Med 2005;109:220-228.
