Un caso di polmonite “tipica” da mycoplasma
U.O di Pediatria, Ospedale “M. Bufalini”, Cesena
The Case
E.T., a girl aged 16, was hospitalised after 4 days of temperature, started with shivers and pain to the left flank. At auscultation: obtusion and murmur at the lower third of left lung base, opacity of left lower lobe with small effusion; CRP 17 mg%ml., GB 6,600, N 73%, PLT 90,000, Alt 243, GPT 178, negative blood culture.
The Problem
When an infection is detected, the problem is always related to the choice of the most suitable antibiotic. The clinical picture is a lobar pneumonia, which is almost by definition “pneumococcal”; therefore, a beta-lactamic antibiotic should be preferred. Treatment based upon ceftriaxone, no response; addition of vancomycin, then addition of teicoplanin, no response.
The Solution
On day 6 change in mycoplasma titre (1/320) and addition of a macrolide. Temperature disappeared.
Comments
Thrombopenia and the change in ALTs suggest a mycoplasmatic aetiology. Mycoplasma can induce a lobar pneumonia and can be associated to a pneumococcus. We believe that both the first choice and the addition (not the replacement) of macrolide to beta-lactamic antibiotics can be supported. Maybe this case is not a real “contribution”, but it is certainly very interesting (at least for us).
Il caso
E.T., f. di 16 anni, viene ricoverata per una storia di febbre elevata con brivido da 4 giorni seguita, dopo 48 ore da tosse e dolore in ipocondrio destro, trattata a domicilio con amoxicillina a dose adeguata per 3 giorni e farmaci antidolorifici (diclofenac e ketorolac) senza apparente beneficio. Le condizioni generali all’ingresso non sono particolarmente compromesse e all’obiettività toracica si apprezza un’area di ottusità e un soffio bronchiale in corrispondenza del terzo inferiore del campo polmonare di destra.
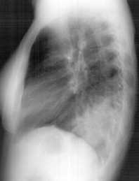
L’Rx del torace evidenzia un addensamento parenchimale che occupa la base di destra (Figure 1-2) con modesto versamento (ecografia: pochi millilitri). Indici di flogosi elevati (VES 52, PCR 17 mg/dL. GB 6.600, N73%, L11%, M15%, E1%, Plt 90.000). Emocultura negativa; ricerca di antigeni batterici nelle urine negativa, anticorpi anti-micoplasma <1/32; GOT 243, GPT 178, gammaGT 96.
Il problema
Il problema, come sempre di fronte a una infezione, massime se severa, è quello del farmaco da scegliere. Ci sono pochi dubbi (almeno a una visione semplificata dei dati) che il quadro sia quello della classica polmonite lobare da pneumococco, e tale eziologia, pur in presenza di ripetute emocolture e della ricerca degli antigeni batterici urinari negativi, ci è apparsa la più verosimile. Abbiamo iniziato terapia antibiotica con ceftriaxone alla dose di 1,5 g per 2 volte/die ma senza risposta clinica: persistenza della febbre ed estensione del focolaio. Ci sono dei problemi aggiunti: quello delle transaminasi mosse e quello della piastrinopenia, che ci sembrano, in prima battuta, di rilevanza marginale, forse da attribuire alla terapia anti-infiammatoria.
Il problema non è risolto
In 5a giornata, nell’ipotesi di una forma da pneumococco resistente, viene sostituito il ceftriaxone con la vancomicina, a sua volta sostituita quasi subito, per la comparsa di segni di intolleranza, con la teicoplanina. Nessuna risposta.
La soluzione
Il giorno successivo, in 6a giornata, c’è il riscontro di un franco movimento del titolo anticorpale per micoplasma (negativo all’ingresso, 1:320 in 6a giornata), e naturalmente viene aggiunto un macrolide. A partire dall’8a giornata si verifica un progressivo miglioramento del reperto clinico e radiologico e la febbre diventa intermittente. La ragazza si sfebbra stabilmente in 11a giornata. A posteriori, ad ulteriore supporto della eziologia da micoplasma, vengono valorizzati i seguenti reperti di laboratorio: iniziale piastrinopenia (90.000/mmc in 1a giornata, 152.000 in 4° giornata, 242.000 in 7° giornata e 336.000 alla dimissione) e un movimento transitorio degli enzimi epatici (GOT 243 U/l, GPT 178 U/l, gammaGT 96 U/l all’ingresso e GOT 29 U/l, GPT 31 U/l, gammaGT 45 U/l alla dimissione), inizialmente interpretato come possibile conseguenza della terapia con farmaci antidolorifici assunti alcuni giorni prima. La ragazza viene dimessa in 13a giornata, a PCR quasi normalizzata e dopo evidenza di un consistente miglioramento del reperto radiografico.
Discussione
La storia di questo caso (febbre e brivido seguiti solo a distanza di qualche giorno da tosse e dolore pleurico) ed il quadro clinico radiologico (polmonite lobare) suggeriscono una eziologia pneumococcica o comunque la diagnosi di polmonite “ematogena” mentre, la piastrinopenia, e l’aumento degli enzimi epatici avrebbero potuto già al momento del ricovero far pensare alla eziologia da micoplasma (Nelson, Trattato di Pediatria, XV edizione, pag. 810-811), eziologia confermata sia dal successivo movimento del titolo anticorpale (anche di questo bisogna tener conto: che il movimento anticorpale, nell’infezione da micoplasma, ma non solo in quella, è un esame ingannevole all’esordio) e soprattutto il viraggio clinico dopo aggiunta del macrolide sono fortemente suggestivi di una eziologia da micoplasma.
E’ difficile dire se abbiamo sbagliato e se dovevamo pensare fin dall’inizio all’eziologia da micoplasma. E’ vero che il micoplasma può dare, specie nel bambino più grande, quadri di polmonite lobare, ed il nostro caso ne è una prova. Tuttavia abbiamo preferito (e continueremo a preferire) restare ancorati alla posizione tradizionale di trattare le forme lobari con un betalattamico e, solo in caso di insuccesso (da valutare entro 24 ore, ci dice il protocollo pubblicato proprio su queste pagine nel mese di febbraio), dopo aver escluso l’esistenza di una raccolta (l’empiema deve essere drenato ed è causa di fallimento della sola terapia antibiotica) e prima di pensare al pneumococco resistente (che per il momento e per fortuna non pare esserci in Italia) considerare l’eziologia da micoplasma e aggiungere il macrolide. Aggiungere e non sostituire poiché il pneumococco ed il micoplasma possono coesistere, e così riteniamo sia successo nel nostro caso.
Recenti lavori della letteratura, recensiti anche nelle pagine gialle di M&B, indicano come questa associazione sia tutt’altro che rara (Pediatr Infect Dis J 17, 986, 1998).
