Cisti aracnoidea associata a nevo di Becker
1Divisione di Pediatria, 2Servizio di Neuropsichiatria Infantile, Ospedale “Casa Sollievo della Sofferenza” Istituto di ricovero e cura a carattere scientifico, S. Giovanni Rotondo Foggia
(Speciale dal III Convegno di Dermatologia per il Pediatra, Rimini, 28-29 maggio 1999):
Arachnoid cyst associated with Becker’ nevus
The Case
S.C., male.
The first time S.C. was referred to us when he was 15 months old because of delayed motor development (lack of trunk control; he could sit when backed, but he was not able to stand up or to remain standing when backed; no parachute reaction). Since his birth, he showed a nevus lesion on the left side of his back, whose size had been increasing, and which was heterogeneously pigmented, flat, with faded and irregular margins covered by whirlpool hair starting from the centre of the spot.
A MRI to the brain showed the presence of a large cystic cavity to the left temporofrontal region with compression of the frontal and temporal lobe and contralateral midline displacement.
After two months, the patient underwent a cystoventricular shunt surgery; the following CTs showed a modest reduction of the cystic cavity which, however, was no longer having a “mass effect”.
Now the child is negative at objective examination and his psychomotor development is normal.
The Contribution
Many syndromes associate skin with cerebral malformations because of their common neuroectodermal origin. In case of congenital skin anomalies, an associated cerebral malformation should always be suspected.
Introduzione
Le cisti aracnoidee sono espressione di anomalie congenite dell’aracnoide, causate dallo sdoppiamento della membrana durante lo sviluppo embrionario. La parete della cisti è costituita da tessuto fibroconnetivo, del tutto identico a quello dell’aracnoide con minima componente vascolare. Esse contengono liquor e si collocano tra la dura e lo spazio subaracnoideo. In genere il tessuto cerebrale circostante è normale. Quelle situate nella fossa cranica media in corrispondenza del lobo temporale si associano ad agenesia o ipoplasia del polo temporale. Altre sedi comuni sono la scissura interemisferica, la scissura silviana, la regione soprasellare e la fossa cranica posteriore in sede retrocerebellare. La sintomatologia è legata all’ingrossamento della cisti (aumento della circonferenza cranica, cefalea e altri sintomi di ipertensione endocranica, crisi epilettiche). Le cisti temporali possono produrre allargamento della fossa cranica media con assottigliamento del cranio sovrastante. Le cisti retrocerebellari possono associarsi a idrocefalo ostruttivo (1,2).
Il nevo di Becker, conosciuto anche come “nevo epidermico pigmentato peloso”, appartiene al gruppo delle lesioni ipercromiche epidermiche (3).
Trattasi di una chiazza irregolare, iperpigmentata, con caratteristica ipertricosi, localizzata alle spalle, torace anteriore, regione scapolare, che interessa soprattutto soggetti di sesso maschile e si rende evidente soprattutto in adolescenza. Le dimensioni possono essere variabili e raggiungere i 10-15 cm di diametro.
L’eziologia è sconosciuta anche se viene ipotizzata una eccessiva sensibilità recettoriale agli androgeni in quella zona (4).
Sono stati segnalati casi familiari, a sostegno di una verosimile base genetica del disturbo (5), un’associazione sporadica con amartoma dei muscoli lisci che suggerisce la natiura amartomatosa della lesione (6).
E’ stata riportata l’associazione con agenesia della mammella, ipoplasia areolare, petto carenato, spina bifida (7), asimmetria degli arti (8).
Le caratteristiche istologiche rivelano un’epidermide ispessita con iperpigmentazione dello strato basale.
Non c’è aumento dei melanociti e, poiché non ci sono cellule neviche, non vi è rischio di trasformazione maligna (9).
Il caso
Il piccolo S.C., anni 4.6, giungeva alla nostra osservazione all’età di 15 mesi per un ritardo nelle acquisizioni motorie. L’anamnesi familiare era negativa per patologie neurologiche, il paziente era nato a termine da gravidanza fisiologica e non aveva presentato problemi in epoca peri-natale. La storia personale era muta sino a pochi giorni prima della nostra osservazione, quando i problemi motori erano stati osservati dal Pediatra di base. L’esame obiettivo denotava, a livello cutaneo, in corrispondenza dell’emidorso di sn, la presenza di una lesione nevica, presente dalla nascita, che era andata aumentando di dimensioni con il tempo.
Attualmente si presenta morfologicamente come una macchia irregolare, del diametro medio di 10 cm. circa. La lesione si presenta disomogeneamente pigmentata, piana, a margini sfumati e irregolari, ricoperta da peli distribuiti a vortice, con partenza dal centro della chiazza (fig.1).
Il paziente presentava un ritardo importante delle acquisizioni prettamente motorie: aveva acquisito il controllo del capo ma non quello del tronco, stava seduto solo con appoggio, era in grado di rotolarsi sia dalla posizione prona a quella supina che viceversa, non erano presenti le reazioni paracadute, non era in gradi di alzarsi in piedi, di stare in piedi con appoggio. Del tutto normali erano, invece, le acquisizioni negli altri versanti dello sviluppo P.M. L’obiettività generale e neurologica erano per il resto negative.
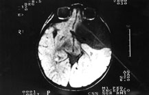
Veniva eseguita una R.M. encefalo che denotava la presenza di “...una voluminosa cavità cistica a contenuto simil-liquorale in sede temporo-frontale sinistra; il lobo frontale e il lobo temporale appaiono ipoplasici, il ventricolo laterale omolaterale è parzialmente obliterato e la linea mediana è lievemente spostata controlateralmente ...”(fig. 2)
Dopo 2 mesi circa il paziente veniva sottoposto a un intervento di derivazione cisto-ventricolare e i controlli T.C. successivi mostravano una modesta riduzione della cavità cistica che, peraltro, non esercitava più “effetto massa”. Veniva avviato al trattamento riabilitativo e veniva sottoposto a follow-up. Il trattamento riabilitativo veniva interrotto all’età di 3 anni perché ritenuto superfluo. Attualmente presenta obiettività neurologica negativa e sviluppo psico-motorio nei limiti. Ai controlli T.C. successivi il quadro neuroradiologico è rimasto immutato.
Discussione e conclusione
Numerose sindromi associano anomalie malformative cutanee e cerebrali a causa della comune origine neuroectodermica dei due tessuti. A parte le sindromi più comuni e conosciute negli ultimi anni si sono moltiplicate numerose segnalazioni di associazione tra anomalie cutanee (le più disparate) e malformazioni cerebrali, da ultima l’associazione tra neo peloso gigante e cisti aracnoidea da noi segnalata. Di fronte ad anomalie cutanee insolite presenti alla nascita o insorte subito dopo è sempre da sospettare una malformazione cerebrale associata.
Bibliografia
- Haller JS: "Congenital malformation of the Central Nervous System II", in David RB, Child and Adolescent Neurology. Mosby, St Louis, 1998: 448-449
- Adams RD: Principles of neurology, IV ed., Mc Graw Hill Inc, New York, 1989: 488-489
- Becker SW: Concurrent melanosis and hypertrichosis in the distribution of nevus unius lateris, Arch Dermat Syph 60, 155-160, 1949
- Person JR, Longcape C: Becker’s nevus: an androgen-mediated hyperplasia with increased androgen receptors, J Am Acad Dermat 10, 235-238, 1984
- Fretzin DF, Whitney D: Familiar Becker’s Nevus, J Am Acad Dermatol 12, 589-590, 1985
- Slifman NR, Harrist TJ, Rhodes AR: Congenital arrector pili hamartoma: a case report and review of the spectrum of Becker’s melanosis and pilar smooth-muscle hamartoma, Arch Dermatol 121, 1034-1037, 1987
- Glinick SE, Alper JC, Bogaars H et al: Becker’s melanosis: associated abnormalities. J Am Acad Dermatol 9, 509-514, 1980.
- Lucky AW, Saruk M, Lerner AB: Becker’s nevus associated with limb asymmetry. Arch. Dermat 117, 243, 1981
- Hurwitz S: Clinical Pediatric Dermatology, 2nd ed, WB Saunders Company, Philadelphia, 1993, p. 210-211.
