Diarrea acquosa in una bambina di 22 mesi
Una bambina di 22 mesi viene ammessa in ospedale perché da 5 mesi ha una diarrea acquosa, senza sangue, caratterizzata da 2-4 scariche al giorno. Il ricovero era giustificato perché da due giorni la diarrea era peggiorata e la bambina presentava anche vomito
Anamnesi patologica prossima
La bambina non aveva avuto episodi febbrili, né mostrava irritabilità, né soffriva di infezioni delle vie aeree superiori; non aveva ricevuto alcun trattamento nei mesi precedenti.
Aveva perso più di due chili negli ultimi due mesi, nonostante che fosse stata alimentata e avesse seguito una buona dieta.
Dall'anamnesi non è risultata una storia di viaggi all'estero, né allergia alimentare, né l'assunzione di cibi sospetti, né vi era frequenza all'asilo nido.
Anamnesi fisiologica
La bambina è nata a termine, dopo una gravidanza decorsa normalmente.
Il peso alla nascita era di 3.400 grammi
Le vaccinazioni eseguite erano quelle previste.
Esame obiettivo
La bambina appariva veramente sofferente, in stato letargico.
Temperatura: 37,4°C.
Polso: 100/m: respiri 24/m; pressione arteriosa 100/57 mm Hg.
Peso sul 5° centile; altezza sul 10° centile e circonferenza cranica sul 25° centile.
Nessun elemento sulla cute, salvo una dermatite da pannolino. La pelle era secca e le labbra screpolate. Occhi infossati. Niente alle orecchie.
Polso molle, riempimento capillare ritardato, estremità fredde.
Niente al torace.
Addome disteso, con scarso turgore cutaneo e con scarsi rumori intestinali. Timpanico alla percussione, trattabile, senza masse alla palpazione.
Accertamenti di laboratorio
Gli esami emato-chimici sono riportati nella Tabella n.1.
La radiografia dell'addome mostra un ileo dinamico a livello del colon. Non è visibile alcuna calcificazione.
Tabella n.1 Esami di laboratorio all'ammissione
| Esame | Valore | Normalità |
| Conta dei globuli bianchi | 12.700/mmc | 6-8.000/mmc |
| Formula leucocitaria Neutrofili Linfociti Monociti Basofili |
77% 14% 8% 1% |
|
| Glucosio | 8,15 mmol/L1 | 3,3-6,1 mmol/L |
| Azoto ureico | 22,42 mmol/L | 2,5-6,7 mmol/L |
| Creatinina | 53,4 mmol/L | 22,8-45,8 mmol/L |
| Sodio | 132 mmol/L | 135-145 mmol/L |
| Potassio | 2,2 mmol/L | 3,6-5 mmol/L |
| Cloro | 10 mmol/L | 98-107 mmol/L |
| CO2 | 6 mmol/L | 18-27 mmol/L |
| Anion gap | 27 | 6-22 |
1 Per convertire il valore del glucosio da millimole/L in mg/dL, bisogna dividere il valore per 0,05551 (per esempio 6,83 mmol/L = 123 mg/dL)
L'analisi delle feci dimostrò un pH di 6,5, 104 mmol/L di sodio (valori normali 26,66 mmol/L), senza presenza di sostanze riducenti. Le feci furono positive per il sangue occulto e negative per i leucociti, per parassiti e loro uova, per bacilli acido-resistenti e Cryptosporidia.
Le colture dalle feci per germi e la ricerca dei virus furono negative; anche la ricerca della tossina del Clostridium difficile fu negativa.
Le biopsie, attraverso l'endoscopia superiore e inferiore, furono negative: era presente solo un lieve accorciamento dei villi duodenali e una rigenerazione focale delle cripte della mucosa del colon. Non era presente alcun agente infettivo.
Le prove per l'HIV furono negative.
Trattamento
Sulla base del quadro clinico e della risposta degli esami di laboratorio, al bambino sono state somministrate soluzioni per via venosa per migliorare l'idratazione, le alterazioni elettrolitiche e l'acidosi. Nonostante la sospensione di ogni tipo di alimentazione la diarrea continuò invariata.
Discussione clinica
Il caso riguarda una bambina di 22 mesi con diarrea cronica (cioè con una diarrea che dura da più di due settimane), associata a perdita di peso; la bambina al momento del ricovero aveva subito un'esacerbazione della diarrea e della disidratazione.
Questa diarrea profusa era di tipo acquoso, senza evidenti perdite di sangue e senza leucociti. Probabilmente si tratta di una diarrea che proviene dal tenue. Quando la diarrea proviene dal colon, essa si associa usualmente a feci con sangue visibile, con presenza di leucociti.
Le diarree originate dal tenue possono essere:
- infettive e
- non infettive
Le infezioni includono le enteriti virali, le enteriti da batteri tossigeni, quelle da crescita eccessiva della flora anearobia, che si associa alla produzione di sali biliari non coniugati, responsabili della diarrea.
Le cause non infettive includono l'intolleranza ai cibi, soprattutto ai carboidrati, ma anche alle proteine e ai grassi. L'intolleranza ai carboidrati si rileva facilmente misurando il pH e le sostanze riducenti delle feci o saggiando l'idrogeno contenuto nell'aria espirata, dopo carico di carboidrati. Nella deficienza di disaccaridasi (congenita o acquisita, dopo un'enterite virale) i disaccaridi non sono scissi e quindi non sono assorbiti a livello del tenue. Essi raggiungono il colon dove sono trasformati dalla flora batterica in molecole a corta catena che abbassano il pH delle feci a 5,5 o meno e aumentano il carico di soluti, per cui ne risulta una diarrea osmotica. Il carboidrato non scisso può essere ritrovato nella porzione liquida delle feci fresche usando il comune Clinetest.
Raramente le diarree del tenue sono para-neoplastiche, specialmente per la secrezione del polipeptide vasoattivo da parte di un tumore.
Un'altra causa potrebbe essere un difetto congenito del trasporto, da non prendere in considerazione in questo caso di diarrea di lunga durata.
Dopo la reidratazione e la sospensione dell'alimentazione orale, la diarrea continuò invariata. Questa constatazione è in accordo più con una diarrea di tipo secretorio che con una diarrea di tipo osmotico. Inoltre l'alto contenuto di sodio nelle feci, con un pH normale, in assenza di sostanze riducenti conferma questo sospetto.
Se a questo punto vengono considerati i processi patologici che danno diarrea secretiva cronica, vanno considerate molte possibili cause (Tabella n.2)
Tabella n.2 Cause di diarrea secretiva cronica in soggetti pediatrici
| Diarrea congenita da cloruri |
| Diarrea congenita da sodio |
| Malassorbimento congenito da acidi biliari primari |
| Ostruzione parziale congenita o acquisita del tenue |
| Malattia di Hirschsprung |
| Tumori della cresta neurale |
| Enterite da Escherichia coli immuno-aderente |
| Eccessiva crescita batterica |
| Atrofia congenita dei microvilli |
| Enteropatia autoimmune |
| Stati d'immunodeficienza delle cellule T (incluse le infezioni da HIV) |
Molte delle condizioni ricordate non si applicano affatto al caso che è stato descritto. La mancanza di febbre il mancato rilievo di patogeni nei numerosi campioni di feci e nelle biopsie rendono difficile un'eziologia infettiva. Ovviamente non può essere scartato del tutto un E. coli enteropatogeni o entero-adesivo, ma non c'è una storia di viaggi all'estero o di diarrea nell'ambito domestico.
La presenza d'ipopotassiemia e di acidosi metabolica fa pensare che l'impoverimento di potassio sia più profondo di quanto non indichino i livelli ematici, perché l'acidosi causa uno spostamento di ioni dal compartimento intracellulare all'extracellulare, portando a un aumento del potassio nel siero.
Questo quadro elettrolitico in un bambino con diarrea acquosa protratta e reperti negativi per una causa infettiva è facile sia dovuto a un tumore secernente Vasoactive intestinal polypeptide (VIP), per cui a questo punto è necessario conoscere le risposte di alcuni esami sierologici e radiologici specifici.
Ulteriori accertamenti
Il dosaggio del VIP plasmatico è risultato 3.247 pmol/L (valori normali inferiori a <273 pmol/L). Concentrazione nelle orine di acido vanillinmandelico 62,5 mg/g di creatinina (valori normali 2,5-21 mg/g). Concentrazione di acido omovanillico 49,7 mg/g di creatinina (valori normali 8,5-38 mg/g).
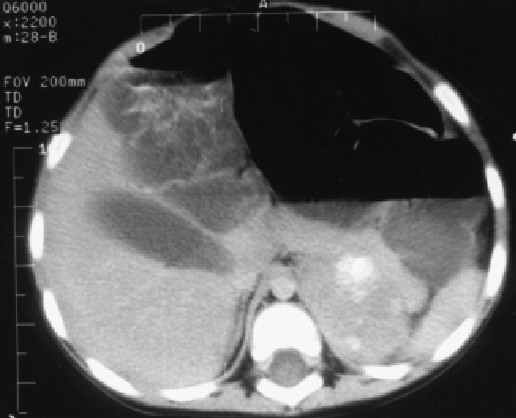
Valutazione radiologica: la tomografia computerizzata (TC) con mezzo di contrasto ha messo in evidenza una massa surrenale a sinistra con calcificazioni del diametro di 5 cm. Non altre alterazioni dei visceri, né linfoghiandolare. Una nuova valutazione della primitiva radiografia dell'addome non ha mostrato la presenza di calcificazioni.
Trattamento successivo
Il bambino venne sottoposto a un'adrenalectomia sinistra, con immediato arresto della diarrea dopo l'intervento. La bambina gode ottima salute, come è risultato in un controllo eseguito dopo 24 mesi dall'intervento.
Reperto anatomo-patologico e ulteriore discussione
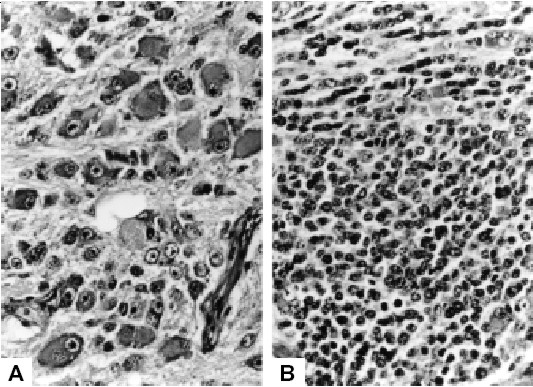
La massa è ovoidale, ben circoscritta con un volume di 4,2 x 3,4 x 2,2 cm. All'esame macroscopico, la superficie di taglio appare omogenea di colorito rosa/marrone con punti giallastri, eccetto per centro del diametro di un cm di tessuto bianco-avorio. Non necrosi, né emorragie. La componente rosa-marrone corrisponde al tessuto del ganglioneuroma relativamente maturo, variabilmente mescolato con cellule neuroblastiche diffuse. I punti giallastri sono le aree di calcificazione. Il centro bianco-avorio corrisponde al tessuto immaturo più densamente neuroblastico. Le cellule più mature del tumore sono positive per il VIP; le cellule neuroblastiche sono invece negative (Vedi Figura n.2)
A. Componente ganglioneuromatosa predominante, contenente grandi cellule chiare gangliari con nucleo vescicolare e nucleolo evidente. Queste sono le cellule che producono il VIP. Sono presenti in modo diffuso altre cellule meno mature.
B. Componente neuroblastica meno matura, costituita da cellule piccole e scure con scarso citoplasma, che costituiscono il centro bianco-avorio.
Dopo la prima descrizione del 1952, sono stati riportati molti casi con questa sindrome (Hawfield HH, 1952). Addirittura la sintomatologia è stata riprodotta in volontari iniettando il VIP per vena (Kane MG, 1983).
Lo stesso quadro clinico può insorgere con altri tipi di tumore (Vedi Tabella n.3).
Tabella n.3 Tumori associati con la produzione di VIP e diarrea acquosa
| Tumore pancreatico delle isole non betacellulare |
| Ganglioneuroblastoma |
| Ganglioneuroma |
| Feocromocitoma |
| Mastocitoma |
| Carcinoma midollare della tiroide |
| Carcinoma a cellule squamose del polmone o dell'esofago |
La maggior parte dei tumori del bambino sono dovuti a tumori neurogenici (più spesso ganglioneuroblastomi), mentre la maggior parte dei tumori degli adulti derivano da tumori delle isole pancreatiche. I tumori pediatrici si manifestano con una diarrea profusa, piuttosto che con una massa palpabile. La diarrea è sempre secretoria e si accompagna a ipopotassiemia.
L'elevazione del VIP nel plasma è l'esame di laboratorio più utile, anche se la maggior parte dei pazienti ha anche un'elevazione delle catecolamine urinarie. La sede più frequente è a carico dei surreni o nel retoperitoneo, seguiti dal mediastino e dal collo.
La terapia medica, con somatostatina, può risultare utile, ma la vera cura è quella chirurgica.
Anche se la malattia è abbastanza rara, a essa è necessario pensare per arrivare alla diagnosi, da fare il prima possibile per evitare complicazioni gravi e a volte mortali.
La diagnosi finale è stata quella di ganglioneuroblastoma nodulare con produzione di VIP.
Controlli a distanza
Una volta stabilita la diagnosi il bambino va studiato per accertare la presenza di tumori in altre sedi. Questo esame fu negativo.
Poiché il ganglioneuroblastoma può avere una cattiva prognosi è necessario che il bambino venga seguito a distanza dal Centro Oncologico pediatrico.
Considerazioni pratiche
- Di fronte a un bambino con diarrea acquosa cronica, con pH normale e senza leucociti nelle feci è necessario pensare anche alla possibilità di un tumore della cresta neurale, secernente VIP.
- Per la diagnosi differenziale sono sempre molto utili la determinazione del pH nelle feci, la ricerca delle sostanze riducenti e dei cloruri nelle feci, insieme a quella dei leucociti
- L'esame TC mette in evidenza le calcificazioni intralesionali molto meglio di una semplice radiografia. Forse un ECO le avrebbe potuto mettere in evidenza ugualmente.
- Nel sospetto di una diarrea acquosa cronica da tumore, la ricerca nel plasma del VIP è l'esame più sicuro per la diagnosi.
- Di fronte a un ganglioneuroblastoma è necessario stabilire controlli a distanza di tempo.
Bibliografia
- Hawfield HH, Daisley GW: A report of a case of a functional adrenal ganglioneuroma, Clin Proc Child Hosp (Washington) 8:98-105, 1952
- Kane MG, O'Dorisio TM, Krejs GJ: Production of secretory diarrhea by intravenous infusion of vasoactive intestinal polypeptide, N Engl J Med 309:1482-5, 1983
- Rodriguez MM, Regalado JJ, Zaleski CG et al: Chronic watery diarrea in a 22-month-old girl, J Pediatr 136:262-5, 2000
