Labbroni
Clinica Pediatrica, IRCCS �Burlo Garofolo�, Universit� di Trieste
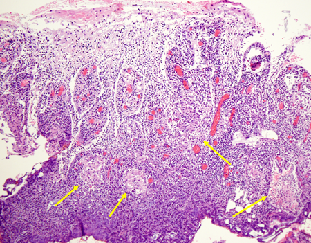
M. giunge alla nostra attenzione, all'et� di 7 anni, per la prima volta al cospetto del nostro allergologo: il suo problema infatti � quel gonfiore �rosso� a carico della labbra e gengive (soprattutto superiori), che interessa anche le guance, il mento e la regione peri-orbitale. Il collega descrive il quadro come una vera e propria ipertrofia da �infiltrazione� (edematosa ed eritematosa) delle gengive e delle labbra, che appaiono fissurate (mai cheilite), con cute arrossata e discheratosica al volto. Trattasi di granulomatosi orofacciale quadro clinico confermato anche dalla biopsia orale.
|
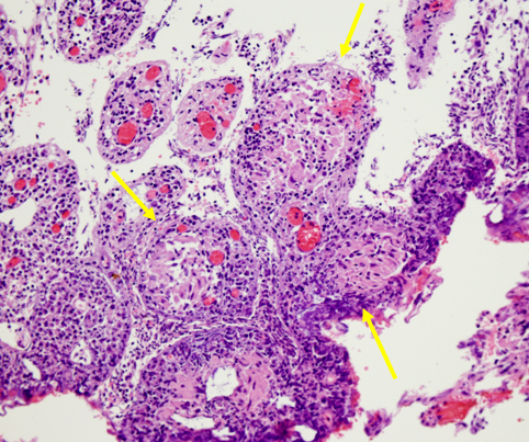
I genitori raccontano che le hanno gi� tentate tutte (terapia antibiotiche, antimicotiche, anti-infiammatorie) senza ottenere alcun beneficio. L'allergologo allora chiede se la manifestazione appaia correlata all'ingestione di qualche alimento e la madre riferisce che �s�, dottore, sembra esserci una correlazione con il latte, sa M. � un grande bevitore di latte (presenta RAST per latte e uovo positivi), ma l'associazione vale solo per l'edema, mentre l'ipertrofia sembra assolutamente indipendente, perch� persiste nonostante l'alimento non venga assunto�. Il ragazzo non presenta alcun altro segno e sintomo associato: non perdita di peso (anzi � in soprappeso), non febbre, non disturbi gastrointestinali di alcun genere. Gli accertamenti ematochimici mostrano un emocromo nella norma, negativit� degli indici di flogosi (VES 6 e PCR negativa) e delle IgG (1257), ASCA e ANCA negativi, non deficit del C1q esterasi inibitore, negative Mantoux e coprocolture, calcemia e ACE sierica nella norma, normali le sottopopolazioni linfocitarie. Vengono eseguiti anche test di funzionalit� intestinale al doppio zucchero (lattulosio/ramnosio) che dimostra un aumento patologico della permeabilit� alle macromolecole (rapporto L/M 0.049 v.n. <0.026) e il dosaggio della calprotectina fecale (indicatore altamente sensibile di flogosi intestinale) che risulta invece assente. Considerata la possibile associazione tra morbo di Crohn e granulomatosi oro-facciale viene eseguita una gastroscopia, una colonscopia con biopsie e una ileoscopia con videocapsula che mostrano un quadro di duodenite cronica di grado lieve, con una mucosa duodenale con aspetti di iperplasia follicolare linfoide (soprattutto dell'ileo terminale e valvola ileo-ciecale) e una colite afosa ad impronta eosinofila. Pertanto, l'aumento della permeabilit� intestinale associata all'esito dell'esame istologico orientano fortemente verso una genesi allergica della granulamatosi orofacciale e quindi avviamo una dieta di esclusione per latte, uovo e derivati. A un mese dall'avvio della dieta il quadro appare notevolmente migliorato, seppur la risposta alla dieta sia in realt� parziale: scomparsa dell'edema labiale e gengivale, persistenza invece dell'infiltrato duro e parenchimatoso al labbro superiore e gengiva, anche se ridotto. Sempre nella norma l'emocromo e negativi gli indici di flogosi. Il miglioramento clinico, nonostante l'assenza di segni di allergia, la presenza di prick e RAST test negativi, ci impone di insistere sulla necessit� di continuare la dieta di esclusione. Tuttavia l'adesione del ragazzo alla dieta non � molto rigorosa: si hanno infatti 2 episodi di riacutizzazione dell'edema labiale in seguito all'ingestione di uova, con presenza di moderata ipereosinofilia periferica (eosinofili 470/mm3) a conferma delle trasgressioni dietetiche (con necessit� di utilizzare steroide a brevi perioidi, con peraltro efficacia). A un anno dalla diagnosi, la dieta di esclusione non aveva portato ad alcun miglioramento clinico, anzi nonostante un'adesione rigorosa (questa volta!), si era assistito a un franco peggioramento: labbra edematose, fissurate, la mucosa gengivale tumefatta, che impedivano al ragazzino perfino di sorridere. Cute perianale arrossata, con piccola ulcera interglutea. All'emocromo persisteva un' eosinofilia periferica, ma era presenta anche lieve anemia (Hb 11 g/dl con MCV 76), ipoferritinemia (10.85), ulteriore aumento della permeabilit� al test al doppio zucchero (0.079) e positivizzazione della calprotectina fecale (58 mg/kg), lieve aumento della VES (32), positivizzazione dei c-ANCA e negativi apparivano i patch-test per gli allergeni maggiormente implicati nella granulomatosi oro-facciale (cannella e sodiobenzoato). Questi nuovi reperti ci imponevano quindi di rivalutare completamente la malattia anche dal punto di vista endoscopico e istologico. In corrispondenza del retto, sigma e colon discendente erano presenti papule rilevate ulcerate al centro e piccole afte diffuse, a livello ileale distale la mucosa appariva granulare ma senza lesioni ulcero-erosive. Il risultato istologico delle biopsie coliche dimostrava la presenza di infiltrato cronico transmucoso con presenza di granulomi, quadro compatibile con il morbo di Crohn.
|
Sulla base dei dati presenti in letteratura (�Aphtous Ulceration� NEJM 2006;355:165-72), per non utilizzare lo steroide (il ragazzo � in soprappeso) e per la doppia localizzazione oro-facciale e colica della malattia, si � deciso di intraprendere terapia con talidomide al dosaggio di 2 mg/kg (100 mg), liberalizzando progressivamente la dieta. In sintesi il quadro clinico, nonostante dopo il primo mese di terapia non vi fosse un miglioramento anzi, la malattia era da considerarsi di fatto cortico-dipendente (visto 2 episodi di riacutizzazione a livello labiale con necessit� di ciclo di steroide con graduale ripresa della malattia allo scalo dello stesso), si � mantenuta la terapia con talidomide. Attualmente siamo a 7 mesi: il quadro intestinale � decisamente sotto controllo (non dolori addominali, non feci sfatte, negativi gli indici di flogosi, IgG 1052, emocromo e ferritine nella norma, calprotectina in netto calo (da 58 a <15), solo lieve rialzo di transaminasi compatibili con il quadro di epatopatia steatosica da soprappeso, ecografia addominale non rileva ispessimenti) e quello oro-facciale, seppur la tumefazione delle labbra si sia notevolmente ridotta, meno sensibile appare il miglioramento alle gengive. |
|





