Un addome sottosopra
Dipartimento Materno Infantile, A.O.U. di Parma
|
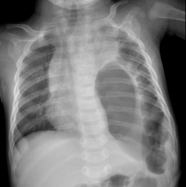
N. di 4 mesi � giunto alla nostra osservazione presso l'ambulatorio di pediatria generale perch� la madre da qualche ora aveva la sensazione che il piccolo respirasse male. Inoltre riferiva che il piccolo appariva addormentato, che si era alimentato meno del solito negli ultimi 2 pasti (assumeva LMS integrato con latte di formula) e che aveva presentato un conato di vomito seguito da transitorio ipotono. Dall'anamnesi ostetrico-ginecologica non emergevano elementi degni di nota. Era apiretico e presentava colorito roseo. Appariva tuttavia scarsamente reattivo e soporoso. L'obiettivit� polmonare mostrava tachipnea (FR 90 atti/min) con lievi rientramenti sottocostali, silenzio respiratorio a sinistra senza rumori patologici aggiunti, mentre a destra il MV era normotrasmesso, SatO2 96-97%. Le restanti obiettivit� clinica generale e neurologica apparivano nella norma. Considerato il quadro clinico, nel sospetto di un esteso focolaio bronco-pneumonico, il paziente � stato inviato urgentemente presso l'ambulatorio pediatrico di libero accesso dell'Ospedale di Parma, dove si � deciso di ricoverare il piccolo. Gli esami ematochimici eseguiti all'ingresso evidenziavano leucocitosi neutrofila (GB 25.190/Ul, N 67%), iperglicemia (glucosio 155 mg/dl), negativit� della PCR (0,15 mg/l) e normalit� dell'emogasanalisi arteriosa. La radiografia del torace ha mostrato erniazione dello stomaco e di buona parte del colon sinistro nell'emitorace sinistro con atelettasia pressoch� completa del polmone omolaterale, deviazione controlaterale del mediastino, normalit� del polmone destro (Figura). Dopo il riscontro dell'ernia diaframmatica congenita, a completamento diagnostico � stato eseguito un esame ecocardiografico che ha evidenziato assenza di flusso nell'arteria polmonare sinistra. Il giorno seguente al ricovero il piccolo � stato trasferito presso la Chirurgia Pediatrica dove � stato sottoposto a intervento di correzione dell'ernia (nel corso della procedura � stata riscontrata anche la milza nel torace di sinistra). Il decorso post-operatorio � stato ottimo: il piccolo ha ripreso precocemente ad alimentarsi per via enterale, era gi� canalizzato in seconda giornata, il polmone sinistro si � completamente riespanso come mostrato dall'Rx torace di controllo che appariva nella norma (eseguito il giorno dopo l'intervento). Attualmente N. si alimenta e cresce bene, non presenta nessun problema respiratorio n� gastrointestinale.
Figura Un distress respiratorio da ernia diaframmatica Per ernia diaframmatica si intende una comunicazione anomala tra le cavit� addominale e toracica, associata o meno a presenza del contenuto addominale nel torace. L'eziologia pu� essere congenita o traumatica. Si distinguono le ernie postero-laterali: la sinistra (o di Bochdalek, 80% dei casi) e la destra (20% dei casi), le retrocondrosternali (di Morgagni-Larrey, 2% di tutte le ernie diaframmatiche congenite), le iatali (a livello dello iato esofageo) e le paraesofagee (adiacenti allo iato). Quando si parla di ernia diaframmatica congenita (CDH) in genere ci si riferisce alla variante di Bochdalek. Sebbene la CDH sia caratterizzata da un difetto diaframmatico strutturale, uno dei principali fattori limitanti per la sopravvivenza � l'ipoplasia polmonare associata. Infatti la presenza dei visceri/organi in cavit� toracica pu� causare una compressione costante sui polmoni fetali in via di sviluppo, determinando un vario grado di ipoplasia polmonare (omo- e controlaterale) anche se in genere pi� grave dal lato dell'ernia. L'ipoplasia � caratterizzata da riduzione delle diramazioni bronchiali e dello sviluppo alveolare e arteriolare (che clinicamente produce ipertensione polmonare). L'incidenza � stimata da 1:2000 a 1:5000 nati vivi, M:F = 1:2. I visceri/organi pi� frequentemente erniati sono lo stomaco e l'ileo, il lobo sinistro del fegato e la milza. In circa un terzo dei casi sono associati lesioni del sistema nervoso centrale, malformazioni cardiache, atresia esofagea, palatoschisi, trisomia dei cromosomi 21, 13, 18. Generalmente la CDH si rende evidente nelle prime 24 ore di vita con segni di distress respiratorio acuto (tachipnea, cianosi, gasping, retrazioni inspiratorie e sforzi respiratori) progressivamente ingravescenti parallelamente alla distensione intestinale, che determina un peggioramento della compressione parenchimale polmonare e della dinamica ventilatoria.
Esiste
uno spettro ben definito di evoluzione clinica e prognostica che
consente di distinguere 3 gruppi di pazienti: Il trattamento delle CDH, oltre all'assistenza respiratoria, � chirurgico. Nel nostro caso si pu� parlare di CDH a esordio ritardato (la sintomatologia compare oltre il periodo neonatale). Le CDH �late presenting� rappresentano il 5-20% di tutti i casi di CDH1. In letteratura sono descritti casi di esordio a diverse et�: infanzia, adolescenza e perfino in et� adulta2,3. Tali pazienti possono sviluppare vomito secondario alla (sub)occlusione intestinale e sintomi respiratori lievi. Occasionalmente l'incarceramento dell'intestino evolve in ischemia, sepsi e shock. Nel caso del piccolo N. la madre aveva notato la tachipnea e c'era anche stato un conato di vomito seguito da ipotono transitorio (verosimilmente legato a uno stimolazione vagale secondaria a distensione gastrica o colica). Noi non conoscevamo la CDH ad esordio ritardato e cos�, prima di documentarci, abbiamo posto personalmente alcune domande ai colleghi chirurghi pediatrici, in particolare su come fosse stato possibile che un bambino perfettamente normale fino a quel momento (alimentazione, alvo e crescita nella norma, mai nessun disturbo respiratorio), avesse presentato un esordio sintomatologico cos� improvviso nonostante il difetto fosse gi� presente alla nascita. Ci hanno risposto che l'erniazione dei visceri in torace c'� sempre stata, forse anche in utero e che l'esordio della sintomatologia era legato a erniazione di un nuovo organo/viscere o a strozzamento di un viscere cavo gi� presente in torace. Successivamente abbiamo studiato un po' e sulla base delle evidenze cliniche e di ci� che abbiamo trovato in letteratura invece pensiamo che il corteo sintomatologico sia stato scatenato dall'improvvisa erniazione di stomaco, colon e milza (che fino a quel momento erano rimasti in addome) e dalla conseguente improvvisa compressione polmonare. Questo perch�:
Bibliografia
|

