Quando si dice...ha una testa un po� grande...!
1Scuola di Specializzazione in Pediatria, Universit� di Ferrara; 2Clinica Pediatrica, Arcispedale Sant�Anna, Ferrara
Emma (nome di fantasia) giunge alla nostra attenzione all�et� di 2 anni per una valutazione neurologica dopo il secondo episodio di convulsioni febbrili. Da subito ci colpisce la sua testa �un po� grande� (cc > 97� con lunghezza e peso adeguati all�et�) ma Emma non � sempre stata cos�. I genitori ci riferiscono che l�aumento della sua circonferenza cranica � iniziato dal 6� mese. L�EEG che eseguiamo documenta focus epilettogeno al vertice. I genitori rifiutano la nostra proposta di eseguire una RMN dell�encefalo come approfondimento diagnostico.
Dopo 2 anni ritorna alla nostra attenzione per comparsa di crisi epilettica tonico-clonico generalizzata in benessere. Durante la visita si evidenziano ipotonia e deficit di forza e motricit� a destra, mentre i riflessi osteotendinei sono nella norma cos� come le pupille. Ripetiamo l�EEG che evidenzia focus epilettogeno in sede occipitale e concordiamo con i genitori RMN.
Ma Emma si ammala, ha febbre e flogosi delle prime vie respiratorie, nel corso della quale si ripresenta una crisi generalizzata a prevalenza destra con emiparesi postcritica che si risolve in poche ore. Per il ripetersi delle crisi decidiamo di iniziare terapia con VPA.
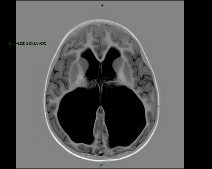
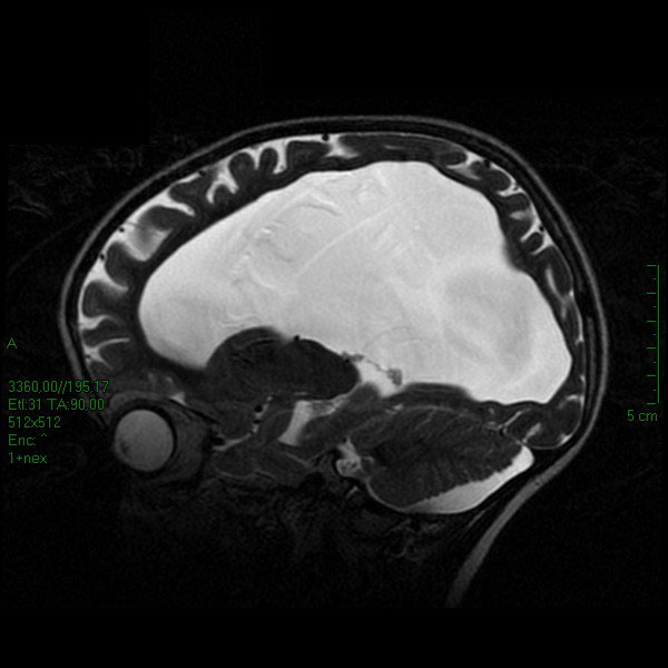
Eseguiamo finalmente la tanto attesa RMN che mostra: �idrocefalo tetraventricolare di grado severo e cisti liquorale retro e sottovermiana compatibile con tasca di Blake persistente. Non segni di ipertensione endocranica� (Figura 1 e Figura 2). Dopo aver escluso cause infettive (in particolare la ricerca di CMV DNA � negativa) e aver eseguito l�esame del fundus oculi che rileva papille pallide a limiti netti (con potenziali evocati visivi nella norma), confermiamo la diagnosi malformativa.

Figura 1. Idrocefalo tetraventricolare in sezione sagittale(RMN pre-intervento)

Figura 2. Idrocefalo in sezione trasversale (RMN pre-intervento)
Alla valutazione neuropsichiatrica non si documenta ritardo cognitivo, mentre viene descritta una condizione di fragilit� emozionale. Emma viene quindi sottoposta a intervento di terzoventricolostomia per via endoscopica. Il decorso postoperatorio � stato regolare, in assenza di deficit neurologici. Dopo 4 mesi dall�intervento le dimensioni del terzo ventricolo appaiono lievemente ridotte e si evidenzia una minima riduzione di volume anche dei ventricoli laterali (Figura 3).

Figura 3. Immagine RMN post-intervento
La cisti da persistenza di tasca di Blake (BPC) fa parte delle malformazioni della fossa cranica posteriore (FCP) insieme alla cisti aracnoidea, alla cisti retro cerebellare e al Dandi-Walker complex (DWC). Mentre la cisti aracnoidea deriva da un difetto della membrana aracnoide, le altre malformazioni della fossa cranica posteriore appartengono al DWC che fa parte di un continuum di malformazioni comprendenti la forma classica di DW, la sua variante e la Megacisterna Magna (MCM). Alcuni Autori iniziarono successivamente a considerare in questa classificazione �la persistenza della tasca di Blake� come un�entit� separata, differente dalla MCM, con cui viene spesso confusa1. Embriologicamente, la formazione della plica coroidea (da cui originer� il plesso coroideo) divide il tetto del romboencefalo in due parti: l�Area membranosa anteriore (AMA) e posteriore (PMA). La PMA estroflettendosi forma un�espansione digitiforme detta tasca di Blake che dovrebbe scomparire successivamente lasciando un pertugio considerato il precursore del forame di Magendie che mette in comunicazione il IV ventricolo con la cisterna magna insieme al forame di Luschka. Da un difetto della PMA origina anche la MCM2. La persistenza della tasca di Blake si caratterizza per la presenza di idrocefalo tetraventricolare con libera comunicazione del 4� ventricolo che spesso pu� venire interpretata come una MCM.
L�eziopatogenesi, probabilmente, � simile quella della MCM, ma in questo caso non c�� sufficiente comunicazione con lo spazio sub aracnoideo; quindi questa malformazione � costantemente associata ad idrocefalo1.
Clinicamente la BPC pu� generare un ampio spettro di sintomi e segni che vanno da forme asintomatiche a gravi forme di idrocefalo3,4.
In conclusione la cisti della tasca di Blake � frequentemente menzionata nello spettro delle cisti della fossa cranica posteriore ma la sua storia naturale, le manifestazioni cliniche, le caratteristiche neuro radiologiche, il trattamento ottimale e l�outcome restano relativamente poco conosciute. Di conseguenza spesso pu� essere sottodiagnosticata.
Attualmente Emma ha 6 anni, prosegue il follow-up presso il nostro ambulatorio di neurologia mostrando ottime condizioni generali, buono sviluppo psicomotorio e cognitivo. Prosegue terapia anticomiziale con buona risposta clinica.
Questo caso � indimenticabile�
Per l�entit� e il grado di idrocefalo documentato dalle immagini RMN che difficilmente dimenticheremo.
Perch�, considerando le immagini, ci saremmo aspettate un quadro clinico e cognitivo pi� compromesso.
Perch� le teste grandi devono sempre far pensare, anche se la letteratura ne descrive l�incidenza nel 2% della popolazione senza che ci siano problematiche associate.
Perch� l�epilessia di Emma, che dai dati forniti dalla letteratura non possiamo correlare con la patologia di base, ha convinto anche i suoi scettici genitori a eseguire la RMN che ha accelerato l�iter diagnostico di una patologia neppure sospettata.
Bibliografia
Tortori-Donati P, Fondelli MP, Rossi A, Carini S. Cystic malformations of the posterior cranial fossa originating from a defect of the posterior membranous area. Mega cisterna magna and persisting Blake�s pouch: two separate entities. Child�s Nerv Syst 1996;12:303-8.
Cornips EM, Overvliet GM, Weber JW, et al. The clinical spectrum of Blakes pouch cyst: report of six illustrative cases. Childs Nerv Syst 2010;26:1057-64.
Arai H, Sato K. Posterior fossa cysts: clinical, neuroradiological and surgical features. Child�s Nerv Syst 1991;7:156-64.
Calabr� F, Arcuri T, Jinkins JR. Blake�s pouch cyst: an entity within the Dandy-Walker continuum. Neuroradiology 2000;42:290-5.

