Chi la fa l'aspetti... e chi non la fa?
UO Pediatria, Azienda Ospedaliera Universitaria Pisana, Pisa
L. � un ragazzino di 13 anni che una sera di met� settembre si presenta presso il nostro Pronto Soccorso pediatrico riferendo la comparsa, da pochi giorni, di dolore addominale e diarrea acquosa (circa 10 scariche/die) caratterizzata da feci normocromiche prive di sangue e/o muco, per la quale aveva cominciato ad assumere Loperamide e fermenti lattici. L�esame obiettivo generale � negativo: L. � apiretico, in buone condizioni generali, l�addome � trattabile, non dolente n� dolorabile, n� sono presenti segni di disidratazione. Gli esami ematici e l�ecografia addominale risultano nella norma.
Considerando il quadro clinico compatibile con una banale gastroenterite, inviamo L. a domicilio consigliando di sospendere la terapia che aveva autonomamente intrapreso e di idratarsi abbondantemente, confidando in una risoluzione spontanea della sintomatologia.
Passano 3 giorni e L. si presenta nuovamente presso il nostro ambulatorio dicendo che la sintomatologia non � affatto migliorata. Le condizioni generali appaiono lievemente scadute rispetto al precedente controllo: il ragazzo � sofferente, le evacuazioni hanno la stessa frequenza e le feci hanno le medesime caratteristiche, l�addome � trattabile, diffusamente dolorabile alla palpazione profonda. Decidiamo di trattenere il ragazzo in osservazione per una pi� efficace idratazione e per un controllo degli esami chimico-clinici, aggiungendo, questa volta, lo screening per la celiachia e le indagini sulle feci (parassitologico, virologico e coprocoltura). Ancora una volta tutto risulta negativo. Raccogliendo accuratamente l�anamnesi emerge che, pochi anni prima in seguito alla perdita della madre, L. aveva gi� presentato disturbi simili dell�alvo e, per questo motivo, aveva cominciato un trattamento di tipo psicologico, da poco interrotto. Sospettando che l�episodio attuale potesse rappresentare una riacutizzazione del disturbo psico-somatico del ragazzo, il padre ci trasmette la propria tranquillit� rispetto alla situazione di L. e concordiamo, in concomitanza con un lieve miglioramento delle condizioni del ragazzo, di dimetterlo con diagnosi di �diarrea persistente�. Ci accordiamo per un controllo clinico ambulatoriale ad un mese di distanza.
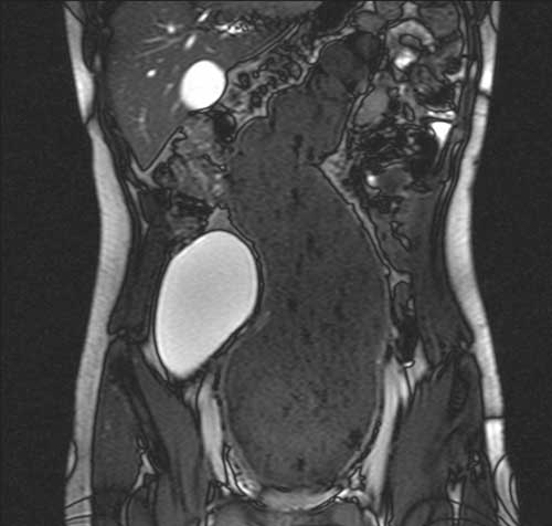
Passano 3 settimane... di nuovo turno di Pronto Soccorso e... giunge nuovamente L.! Troviamo il ragazzo in attesa nel corridoio sdraiato su una barella, visibilmente sofferente e debilitato. Lo facciamo entrare subito: L. ci racconta che dall�ultima volta che ci siamo visti il dolore addominale � sempre stato presente e le scariche diarroiche, negli ultimi giorni, sono addirittura aumentate di frequenza, raggiungendo 25 scariche al giorno! Recentemente, inoltre, � comparsa astenia, disappetenza e, rispetto al precedente controllo, una riduzione del peso di 6 kg.�...Qualcosa non quadra... ripensiamo ai nostri sospetti diagnostici: esclusa la �banale� gastroenterite, consideriamo anche difficile che il quadro possa essere giustificato interamente da un disturbo psico-somatico. Visitiamo L.: l�addome � piano e trattabile ma, questa volta, alla palpazione si apprezza una massa di consistenza dura, di circa 10 x 20 cm, localizzata in sede pelvica con impegno meso-epigastrico. La peristalsi � torbida. Richiediamo un�ecografia addominale. Dopo pochi minuti l�ecografista ci contatta per suggerirci una RM dell�addome, viste le difficolt� nell�eseguire l�ecografia. Questa mostra una marcata dilatazione di tutto il retto e del sigma (diametro massimo di circa 12 cm di calibro a livello del retto), ma con spessore di parete nei limiti; il lume risulta occupato da abbondante materiale poltaceo e gas (Figura 1). La vescica � completamente dislocata in fossa iliaca destra con morfologia allungata. Rimaniamo stupiti dalle immagini radiologiche e iniziamo ad ipotizzare la possibile causa in relazione alla clinica ed al reperto della RM: patologia ostruttiva? Megacolon tossico? Massa fecaloide?

Figura 1. RM: dilatazione retto-sigma (dm max ≈ 12 cm), pareti nei limiti, materiale poltaceo e gas, vescica in FID.
Approfondiamo l�anamnesi e sveliamo l�arcano... L. ci racconta che, dopo il ricovero, aveva ricominciato (autonomamente!) ad assumere Loperamide con fiducia in quanto, nei primi giorni, i sintomi erano un po� migliorati; per la precisione ci dice di aver assunto 3 compresse/die per 20 giorni consecutivi...Facilmente calcoliamo un totale di 60 compresse!!! Le indicazioni relative alla somministrazione terapeutica sul foglietto illustrativo consigliano di non assumere il farmaco per pi� di 2 giorni, a dosi di 2 cpr/die sino a un massimo di 8 cpr/die, ma si sa, i �bugiardini� non li legge mai nessuno ed in particolare, vista l�et� del minore sarebbe stato compito del padre vigilare sul trattamento terapeutico informandosi sui possibili effetti collaterali del farmaco; purtroppo in questo caso ha pesato un quadro familiare sfortunato in associazione a un basso livello culturale. La diarrea persistente, inizialmente imputabile all�episodio di gastroenterite, era in realt� una diarrea da overflow causata dal fecaloma. Viene disposto il ricovero per la rimozione del fecaloma, dapprima manuale e successivamente con l�ausilio di lassativi osmotici per bocca ed enteroclismi a bassa pressione con paraffina liquida. Nel giro di pochi giorni la massa addominale si riduce progressivamente sino a non essere pi� palpabile; Luca perde pi� di 3 kg di peso e ricomincia ad alimentarsi volentieri. Le feci tornano di colore e consistenza normali e al controllo ecografico, eseguito dopo una settimana la marcata distensione del colon risulta scomparsa residuando soltanto una modesta distensione gassosa; anche la vescica risulta in sede e ha riacquisito la sua normale forma, non pi� compressa dal retto che risulta scarsamente disteso.
Il fecaloma � una massa di feci, accumulata nell�intestino, di consistenza molto aumentata rispetto alle feci normali. Le cause pi� frequenti, in et� pediatrica, sono la malattia di Hirschsprung, i disturbi psichiatrici, la costipazione cronica, malattie neoplastiche e malattie infiammatorie croniche intestinali. Un�altra causa da non sottovalutare nella pratica clinica e che riguarda molte altre possibili sintomatologie, � l�uso improprio di farmaci potenzialmente dannosi.
Nell�anamnesi si � concentrato tutto: sviandoci inizialmente e poi indicandoci la diagnosi!
