Due volti per uno stesso quadro...
1Scuola di Specializzazione in Pediatria, Universit� degli Studi di Ferrara
2UO di Neonatologia e Terapia Intensiva Neonatale, Az. Osp. Univerist� S. Anna, Ferrara
F. �decide� di venire al mondo alla 36a settimana e la sua avventura comincia subito in salita. Al nostro primo incontro non ci appare proprio in gran forma. Depressione respiratoria con apnea e cianosi non c�� male come inizio. Con la rianimazione il cuore si riprende ma il respiro rimane irregolare, e poi� qualcos�altro attira la nostra attenzione: l�itto non � al suo solito posto! Cosa pensare? Pneumotorace? Ernia diaframmatica? Situs inversus? Dalla storia ostetrica non emerge nulla. Mentre i nostri neuroni viaggiano, mettiamo F. in assistenza respiratoria mediante nasal-CPAP e lo trasferiamo in TIN.
La
situazione non migliora e pertanto non gli neghiamo un po�
di ossigeno. Dobbiamo �vagliare� le nostre ipotesi:
iniziamo da una procedura semplice e rapida, la trans
illuminazione del torace, che risulta negativa e ci consente di
accantonare, almeno per il momento, la nostra prima ipotesi.
Passo successivo: e se si trattasse di un�ernia
diaframmatica non riconosciuta all�indagine morfologica?
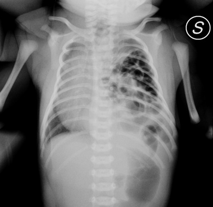
A sostegno del nostro secondo sospetto, richiediamo una radiografia del torace: �risalita dell'intestino nell'emitorace di sinistra� (Figura 1).

Figura 1.
Ci avevamo visto giusto! Non c�� tempo da perdere: � necessario ripristinare la corretta anatomia del nostro piccolo paziente e in accordo con i nostri dirimpettai di reparto (meglio identificati come chirurghi) accompagniamo F. in sala operatoria.
Nel
decorso post-operatorio le condizioni cliniche di F. sono
progressivamente migliorate. L�intestino inizialmente ha un
po� protestato ma successivamente, seppur con qualche
aiuto, si � messo a lavorare, nella sua nuova dimora!
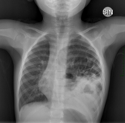
A., una bimba di 2 anni, giunge in Ambulatorio di Accettazione Pediatrica perch� da qualche giorno ha febbre e fa fatica a respirare. Era stata da poco vista dalla sua Pediatra che dubbiosa aveva richiesto una radiografia del torace. Mah? Vediamo cosa ci suggerisce la nostra visita. Curiosi ci affrettiamo a visitarla. A. presenta modesti rientramenti al giugulo e respiro un po� appoggiato, all�emitorace sinistro l�ingresso aereo � ridotto con ottusit� alla base. Ma qualcos�altro non ci convince. L�itto sta nel mezzo! I dubbi si moltiplicano e ci arrendiamo al fatto che un po� di radiazioni questa volta ci potrebbero essere d�aiuto. E non ci sbagliavamo: �emitorace sinistro occupato da anse intestinali. Sbandamento verso destra del mediastino� (Figura 2).

Figura 2.
Dopo un breve momento di stupore, nelle nostre menti si fa spazio un quesito. Possibile che fino ad allora l�intestino �fuori sede� non avesse mai dato segno di s�? I genitori della piccola paziente ci raccontano che A. � una bambina vivace e a parte �le solite infezioni da nido� � sempre stata bene. Agli occhi di noi �giovani medici� questo decorso � alquanto strano. Siamo tutti concordi e dopo un rapido consulto coi cugini chirurghi A. � gi� in sala operatoria per rimettere in ordine le cose. Anche questa volta tutto � tornato al suo posto e abbiamo tirato un sospiro di sollievo.
Uno stesso errore anatomico, che si � manifestato con tempistiche diverse, per il quale sarebbe proprio il caso di dire che la sede ha fatto la differenza. E� verosimile infatti che il differente andamento di queste due storie cliniche sia legato alla diversa localizzazione del difetto diaframmatico. Il caso di F. rientra nella forma classica di ernia diaframmatica (sede postero-laterale) mentre A. fa parte di quel gruppo pi� ristretto di soggetti che possono rimanere asintomatici anche fino all�et� adulta (sede anteriore). Da entrambi abbiamo imparato qualcosa: nel primo caso una diagnostica prenatale negativa non ci ha permesso di escludere a priori il difetto, mentre il secondo ci ha insegnato che, nonostante le forme di ernia a localizzazione anteriore siano le meno frequenti, devono essere sempre tenute in considerazione nella diagnostica differenziale.

