Rivista di formazione e aggiornamento professionale del pediatra e del medico di base, fondata nel 1982.
In collaborazione con l'Associazione Culturale Pediatri.
S. Caputo, F. Quarantiello, G. Vetrano, B. Villari. LA FISTOLA CORONARICA IN ETà PEDIATRICA. Medico e Bambino pagine elettroniche 28; 28(8) https://www.medicoebambino.com/?id=IPS0908_10.html
Ottobre 2009
La fistola coronarica in et� pediatrica
Salvatore
Caputo1, Flavio Quarantiello2, Gennaro
Vetrano2, Bruno Villari1
1
U.O.C. di Cardiologia, UTIC, Emodinamica; 2 U.O.C.
di Pediatria, TIN, Neonatologia.
Ospedale
�Sacro Cuore di Ges�� Fatebenefratelli, Benevento
Coronary
fistula is the most common hemodinamically significant coronary
malformation. It is a rare form of heart disease in which a
coronary artery and a cardiac chamber or another vascular
structure communicate.
Clinical
features depend on the amount of coronary steal and the related
patho-physiological involvement: a significant coronary steal may
cause arrhythmias or myocardial dysfunction. No symptoms are
usually associated with most fistulae.
Anatomic
and functional aspects of fistula may change in time; symptoms
may develop and a treatment may be necessary.
No
pharmacological treatment (to reduce coronary steal and symptoms)
is available. When the shunt through the fistula is high, when
symptoms or complications are evident, a surgical or percutaneous
treatment is necessary.
Premessa
Incidenza
Diagnostica
Patogenesi
Storia
post-trattamento
Monitoraggio
Bibliografia
Sommario
La
fistola coronarica � la pi� comune tra le anomalie
dell�albero arterioso coronarico con significato emodinamico. �
una connessione anomala tra una coronaria e una camera cardiaca o
un�altra struttura vascolare. Gli effetti emodinamici dipendono
dall�entit� del flusso ematico che attraversa la
fistola: un furto coronarico significativo pu� determinare
aritmie o disfunzione miocardica. Nella maggior parte dei pazienti,
la fistola non ha significato emodinamico.
Le
caratteristiche anatomiche e funzionali delle fistole possono
modificarsi nel tempo e questo pu� comportare una
sintomatologia ingravescente e la necessit� di un trattamento.
Non esiste un farmaco che riduca il furto coronarico e risolva i
sintomi del paziente con shunt significativo. In presenza di sintomi,
complicanze o segni strumentali di ampio shunt � indicato un
trattamento chirurgico o percutaneo.
Parole
chiave: fistola coronarica, diagnosi, sintomatologia,
trattamento, sport.
PREMESSA
E DEFINIZIONE
Le
coronarie sinistra e destra sono le arterie che irrorano il cuore.
Originano dai seni di Valsalva, rispettivamente anteriore-sinistro e
anteriore-destro dell�aorta ascendente (Figura
1), ramificano sotto l�epicardio e penetrano
perpendicolarmente il miocardio nel connettivo inter-fascicolare,
terminando in una ricca rete capillare1.
La
Fistola Coronarica � la pi� comune tra le anomalie
dell�albero arterioso coronarico con significato emodinamico
(Tabella 1)2. � una connessione
anomala tra due strutture mediante comunicazione diretta, o con
interposto un canalicolo o una cavit� aneurismatica
vermiforme.
Nel 55%
dei casi, la fonte � la coronaria destra o uno dei suoi rami,
nel 35% la sinistra, mentre sono pi� rari i casi in cui sono
interessate entrambe le coronarie3-4.
Se ne
distinguono due tipi:
- fistola
�coronario-camerale�: si apre in una camera cardiaca,
generalmente atrio o ventricolo destro;
- fistola
�artero-venosa�: termina in un�altra struttura
vascolare, pi� spesso nel tronco polmonare o in una delle due
arterie polmonari5, meno frequentemente in cava superiore,
seno coronarico6 o in una vena polmonare.
Possono
essere singole o multiple (la sede di sbocco pu� essere la
stessa per tutte oppure ognuna terminare in una sede differente),
isolate o associate ad altre cardiopatie7 (Tabella
2).
Tabella
1. Classificazione anatomica delle anomalie coronariche
ANOMALIE
DI ORIGINE E DECORSO
Tipo
�ostio coronarico in sede anomala, ma comunque all�interno
della radice aortica�
Tipo
�ostio coronarico posizionato fuori della radice aortica�
Tronco
comune di coronaria sinistra assente
Coronaria
singola
ANOMALIE
DELL�ANATOMIA INTRINSECA
Tipo
�duplice coronaria�
Tipo
�stenosi � atresia� coronarica
Tipo
�assenza� di una coronaria
Tipo
�ectasie � aneurismi� coronarici
Da
decorso coronarico intra-murale
Da
decorso coronarico sub-endocardico
ANOMALIE
DELLO SBOCCO
Fistola
coronarica
Ridotto
numero di ramificazioni arteriolo-capillari
Semplificata
da Angelini P. et al. Circulation 2002; 105: 2449-54
Tabella
2. Fistola coronarica: caratteri da definire per il
management.
TIPO
Coronario-camerale
Artero-venosa
NUMERO
Singola
Multipla
FORMA
Isolata
Associata
SIGNIFICATO
CLINICO
Asintomatica
Sintomatica
SIGNIFICATO
EMODINAMICO
Nessuno
Con
sequele (aritmiche, meccaniche, etc.)
GENESI
Nota
Non
nota
CORONARIA
D�ORIGINE
Sinistra
Destra
Entrambe
SEDE
DI SBOCCO
Figura
1. Origine delle coronarie dai seni aortici, in schema.
INCIDENZA
�
una patologia cardiaca rara: ricorre nello 0,2% dei cateterismi
cardiaci diagnostici8.
In un
recente studio di popolazione sui nati vivi tra il 1997 e il 2002, e
residenti in Campania, l�incidenza delle fistole coronariche
all�esame ecocardiografico, risultava pari allo 0,5% delle
cardiopatie congenite persistenti oltre il primo anno di vita9.
� probabile che la reale incidenza della patologia sia ancora
sottostimata per il mancato riconoscimento di forme lievi, a decorso
asintomatico, ed � possibile che la diffusione
dell�ecocardiografia pediatrica possa comportare un aumento
dell�incidenza della patologia (per aumento delle diagnosi).
L�et� di diagnosi dipende dalla severit�
dell�alterazione funzionale determinata e dall�epoca di
vita in cui essa si stabilisce. In realt�, la maggior parte
delle fistole � piccola, con conseguenze emodinamiche non
significative, per cui il riscontro, in et� pediatrica, �
per lo pi� occasionale.
Patogenesi
La
fistola coronarica pu� essere congenita o acquisita.
Le forme
congenite sono considerate persistenze anomale (per mancata
regressione) di giunzioni primordiali di un vaso coronarico
epicardico.
Le forme
acquisite possono essere post-traumatiche (pugnalata, proiettile)11,
post-cardiochirurgiche, da biopsia endomiocardica,
post-infiammatorie, post-infettive12-13, post-infarto
miocardico14.
La
definizione della genesi della fistola pu� avere risvolti
prognostici differenti: quelle traumatiche, ad esempio, hanno una
maggiore tendenza alla chiusura spontanea.
Durante
lo sviluppo fetale precoce, il primitivo miocardio � poco
compatto ed � nutrito da sinusoidi (protrusioni
endoteliali localizzate negli spazi inter-trabecolari) che
comunicano con le cavit� cardiache. Al 32� giorno di
gestazione circa, il miocardio diventa pi� compatto e i
sinusoidi scompaiono lasciando il posto a una ricca rete di
arterie epicardiche, che solo successivamente si connettono al
tronco arterioso; la mancata regressione dei sinusoidi pu�
essere la causa di fistole �coronario-camerali�, che,
in genere, appaiono come multiple micro-fistole. Nel periodo
embrionale, le coronarie epicardiche possono avere connessioni
con altri vasi mediastinici; la mancata regressione di queste
anastomosi pu� essere la causa delle fistole
�artero-venose�. Per spiegare le fistole coronariche
�artero-venose� che drenano nel tronco polmonare �
stata proposta anche un�altra teoria5: il
primitivo tronco arterioso avrebbe, in corrispondenza dei seni,
sei bottoni (tre �aortici� e tre �polmonari�),
dei quali solo due daranno origine alle due coronarie, mentre gli
altri andranno incontro a un�involuzione progressiva. La
mancata involuzione dei bottoni �polmonari� potrebbe
portare allo sviluppo di vasi che poi si connettono al sistema
coronarico come fistole.
L�osservazione
personale di una fistola coronarica �artero-venosa�,
isolata, drenante nel tronco polmonare in due fratelli gemelli
dizigoti, suggerisce l�esistenza di fattori ambientali,
attivi durante la gravidanza, nel determinismo di questa
condizione. Al contrario, la descrizione in gemelli monozigoti di
fistole coronariche tipo �coronario-camerali�10, pu�
suggerire che, almeno in queste, un fattore ambientale ancora non
definito, agendo su un substrato genetico comune, pu�
determinare lo sviluppo di un�anomalia con caratteri
anatomici simili.
Fisiopatologia
Tipo
di flusso Il flusso che attraversa la fistola coronarica ha
caratteri molto differenti da quello che attraversa le coronarie
normali. Il flusso coronarico � prevalentemente
diastolico, modulato dalla resistenza offerta dalle arteriole e
dal circolo capillare10, e dalla contrazione sistolica
miocardica. Nella fistola artero-venosa, invece, il flusso �
continuo, ma prevalentemente sistolico15-16: sia in
sistole che in diastole, la pressione della sede di sbocco �
inferiore alla pressione coronarica. La connessione tra le due
strutture avviene senza un letto capillare interposto, per cui la
resistenza al flusso � scarsa o nulla e la contrazione
miocardica non causa limitazione al flusso. Anche il flusso nella
fistola coronario-camerale che drena in un atrio �
continuo: la pressione intra-atriale � la pi� bassa
del sistema circolatorio e favorisce un ampio drenaggio della
fistola sia in sistole che in diastole; inoltre, la contrazione
atriale non � tale da ostruire in sistole la sede di
sbocco della fistola. Nella fistola coronario-camerale che
termina in un ventricolo il flusso � esclusivamente
diastolico perch� in sistole viene interrotto dalla
contrazione miocardica.
Effetti
emodinamici Dipendono dall�entit� del flusso
ematico che attraversa la fistola.
Sinteticamente
si pu� affermare che il flusso sottratto da una fistola �
significativo se:
la
comunicazione � ampia e lo sbocco non � stenotico;
il
canale di comunicazione � breve o assente;
�
molto basso il regime pressorio della sede di sbocco fistolare:
lo shunt � maggiore quando lo sbocco � negli atri o
nelle vene piuttosto che nel ventricolo sinistro (dove le
pressioni sistoliche sono elevate e la contrazione miocardica
determina chiusura funzionale, pressocch� completa, dello
sbocco fistolare).
Nella
maggior parte dei pazienti, le comunicazioni fistolari sono
piccole e il flusso che le attraversa � privo di
significato emodinamico, compatibile con un normale sviluppo
miocardico post-natale. Le piccole fistole possono evolvere verso
la chiusura spontanea13: in particolare, �
possibile la chiusura spontanea della fistola coronario-camerale,
specie se acquisita. Meno frequente � la chiusura
spontanea della fistola coronarica artero-venosa.
In
alcuni casi, tuttavia, � possibile osservare un
peggioramento emodinamico in quanto il flusso ematico
�preferenziale� e ad alta velocit� attraverso
la fistola (perch� senza resistenza), pu�
determinare una progressiva dilatazione del tramite fistoloso con
un ulteriore aumento della quota di sangue che l�attraversa.
Con il trascorrere degli anni inoltre, l�aumento delle
resistenze coronariche contribuisce ulteriormente a questo
fenomeno10.
Quando
il flusso attraverso la fistola � emodinamicamente
significativo, ne possono conseguire:
dilatazione
compensatoria della coronaria che d� origine alla fistola
per aumentare la quota di flusso che l�attraversa e la
perfusione miocardica.
un
aumentato ritorno venoso sistemico con secondario aumento della
portata cardiaca. Raramente e solo se la sede di drenaggio �
una camera sinistra si pu� arrivare a un�insufficienza
cardiaca ad alta portata.
un
furto di sangue dal circolo coronarico con ischemia nei segmenti
miocardici a valle del punto di origine della fistola.
progressiva
ipertensione polmonare e stasi epatica, quando lo sbocco della
fistola � ampio ed � in una camera cardiaca destra.
Le
conseguenze del furto coronarico sono frequenti perch�:
le
arteriole coronariche si comportano come rami terminali: in
realt�, tra le ramificazioni coronariche sono presenti
ampie anastomosi, ma i vasi che vi partecipano sono molto esili,
per cui, pur se documentate anatomicamente, le anastomosi sono
funzionalmente inefficienti1.
l�irrorazione
miocardica, in particolare del ventricolo sinistro, �
pressoch� limitata al periodo diastolico in quanto in
sistole le arteriole coronariche vengono chiuse dalla contrazione
miocardica. Durante l�esercizio fisico con l�aumento
della frequenza cardiaca e la riduzione del tempo diastolico, il
tempo di irrorazione miocardica si riduce ulteriormente.
pu�
realizzarsi una progressiva degenerazione parietale del tramite
fistoloso con successive estasia, e/o trombosi;
�
possibile un restringimento di tipo aterosclerotico della
coronaria nativa secondario alla turbolenza di flusso in
corrispondenza dell�origine della fistola15.
Un
furto coronarico significativo, tale cio� da superare la
riserva di flusso del vaso stesso e la sua capacit� di
compenso, determina un�ischemia miocardica non solo durante
lo sforzo, ma anche a riposo, con disfunzione ventricolare
(inizialmente diastolica e successivamente anche sistolica), ed
aritmie.
DIAGNOSTICA
CLINICA
Il quadro
clinico dipende dall�entit� del furto coronarico, dalla
presenza di condizioni ischemizzanti associate (tipo la
cardiomiopatia ipertrofica7) e dalla presenza di patologie
associate la cui fisiopatologia potrebbe essere clinicamente
preminente. In generale, i sintomi sono rari nelle prime due decadi
di vita, tranne che per i pazienti con fistole congenitamente gi�
grandi ed emodinamicamente significative4,17.
Il
paziente con fistola coronarica isolata di piccole dimensioni �
asintomatico ed ha una buona tolleranza all�esercizio fisico.
L�auscultazione cardiaca � generalmente normale. Nei
pazienti in cui il tramite fistoloso ha uno sbocco stenotico �
possibile apprezzare un soffio diastolico, di bassa intensit�,
al mesocardio, non irradiato.
La
fistola coronarica piccola e isolata rappresenta, dunque, un
riscontro del tutto occasionale, per cui molti pazienti, raggiungono
l�et� adulta senza aver avuto necessit� di una
procedura correttiva17.
Le forme
moderate o significative sono frequentemente sintomatiche e
potenzialmente mortali nei primi mesi o anni di vita e necessitano di
un trattamento tempestivo. Il paziente pu� anche essere
asintomatico a riposo, ma in genere ha una ridotta tolleranza
all�esercizio, angina, dispnea o palpitazioni17; nei
primi mesi di vita, i sintomi possono presentarsi durante
l�alimentazione (dispnea, sudorazione algida, pallore, nausea).
Altre modalit� di presentazione sono le aritmie, l�infarto
miocardico acuto, l�ipertensione polmonare, la morte
improvvisa, la cardiopatia dilatativa18 e lo scompenso
cardiaco. Alla valutazione clinica, il soffio � continuo e di
media intensit� in genere udibile sul bordo sinistro o sul
bordo destro della regione medio-sternale. Si pu� apprezzare
anche un ritmo di galoppo da IV tono, per disfunzione diastolica o da
III tono, per disfunzione sistolica del ventricolo sinistro,
eventualmente interrotto da extrasistoli ventricolari, secondarie
all�ischemia miocardica.
Nelle
forme avanzate, non diagnosticate, potrebbe rendersi evidente un
indebolimento dell�itto puntale da insufficienza ventricolare
sinistra.
DIAGNOSTICA
STRUMENTALE E STADIAZIONE FUNZIONALE
Elettrocardiogramma
� normale nei pazienti con fistola piccola e isolata. Nei
pazienti con fistola di grosso calibro o con fistole multiple o con
condizioni ischemizzanti aggiuntive (tipo cardiomiopatia
ipertrofica), l�esame pu� mostrare segni di ischemia
miocardica, quali depressione del tratto ST, onde T invertite, ed
extrasistoli ventricolari, oppure segni di sovraccarico
ventricolare.
RX
torace Nei pazienti con insufficienza cardiaca e cardiomegalia
da significativo furto coronarico, si evidenzia una prominenza
dell�arco inferiore sinistro del profilo cardiaco (componente
ventricolare), un sollevamento della punta del cuore e segni di
congestione polmonare. Nelle fistole grandi drenanti in vena cava
superiore pu� essere presente una prominenza dell�arco
superiore destro.
Ecocardiografiacolor-Doppler � tra le indagini strumentali pi�
importanti. Fondamentale per la diagnosi e la definizione
anatomo-funzionale (sede e aspetto dello sbocco del tramite
fistoloso, entit� di shunt; Figura 2), per
la valutazione delle sequele (dimensioni delle camere cardiache,
efficacia della funzione di pompa ventricolare, asinergie di
contrazione del ventricolo sinistro, disfunzione diastolica,
dilatazione coronarica, etc; Figura 3), e la
individuazione delle eventuali lesioni cardiache associate
(congenite o acquisite). Essa � estremamente utile nel
follow-up del paziente asintomatico e per il management terapeutico.
Raramente � necessario ricorrere all�esame
ecocardiografico trans-esofageo, da alcuni considerato una guida
fondamentale per la chiusura percutanea della comunicazione e il
follow-up successivo19-20.
Angio-risonanza
magnetica � uno strumento diagnostico alternativo
all�esame ecocardiografico. Consente di studiare, in maniera
accurata e non invasiva, anatomia e flusso coronarico21.
Il limite principale � la definizione del decorso distale
delle coronarie, in particolare della discendente posteriore.
Angio-TAC
coronarica La TAC spirale multidetettore � capace di una
notevole risoluzione temporale e spaziale e consente una
ricostruzione tridimensionale con la visualizzazione non invasiva e
di alta qualit� di arterie e vene coronariche, del loro
decorso, calibro e profilo parietale22.
Test
da sforzo Nelle forme lievi-moderate � un utile
completamento diagnostico in quanto fornisce una valutazione
funzionale della tolleranza all�esercizio del paziente e
consente di escludere l�inducibilit�, durante
esercizio, di ischemia miocardica e di aritmie. Quando il test �
positivo per segni o sintomi di ischemia o aritmie, il paziente deve
essere avviato a indagini invasive10. � necessario
tener presente che l�esercizio, determinando dilatazione
coronarica e aumento del flusso miocardico, potrebbe migliorare il
flusso nella coronaria a valle dell�origine della fistola15
con un risultato falsamente negativo in un paziente che invece
potrebbe avere dei periodi di ischemia a riposo. Per slatentizzare i
segni di ischemia in un paziente con una fistola significativa, che,
come gi� detto, � responsabile di un furto coronarico
continuo, sisto-diastolico, � necessario eseguire un test da
sforzo prolungato, in maniera da ridurre in maniera critica il tempo
di perfusione miocardica (diastolico).
ECG
dinamico secondo Holter Registrando l�attivit�
elettrica cardiaca nelle 24 ore, consente di accertare, nelle
attivit� quotidiane, l�eventuale presenza di ischemia
miocardica e di aritmie ventricolari secondarie alla fistola. �
un completamento diagnostico fondamentale, da associare all�esame
ecocardiografico e al test da sforzo. � particolarmente utile
nei primi anni di vita, non potendo, i piccoli pazienti, effettuare
un test da sforzo.
Ecostressfarmacologico Pu� essere un utile completamento
diagnostico nei casi dubbi. Alle informazioni ottenibili con un test
da sforzo ben condotto, aggiunge, infatti, la possibilit� di
valutare la cinesi miocardica regionale quando aumenta il lavoro
cardiaco. Nel paziente con fistola coronarica, � preferibile
utilizzare la dobutamina che ha effetto inotropo e cronotropo
positivo; se il test � condotto con l�adenosina e
risulta negativo, potrebbe essere un �falso negativo�
perch� il farmaco induce dilatazione per lo pi�
coronarica e non fistolare23-24.
Scintigrafiamiocardica per evidenziare o meno deficit di perfusione a
riposo o durante esercizio. � di certo pi� sensibile
del test da sforzo, ma pi� costosa e utilizza un mezzo
radio-isotopico. Potrebbe essere un utile completamento negli
adolescenti, in particolare in quelli con evidenza anatomica di
fistola di media ampiezza25-27.
Cateterismocardiaco Si rende necessario nei pazienti con fistola
coronarica di grosse dimensioni, in quelli con significativa
dilatazione coronarica, in quelli con segni clinici (angina,
palpitazioni, dispnea, etc.) o strumentali (aritmie ventricolari
complesse, ischemia inducibile) di ridotta perfusione miocardica o
di dilatazione � sovraccarico cardiaco da significativo furto
coronarico. L�esame consente di definire in maniera accurata
l�anatomia coronarica, l�origine, le dimensioni, lo
sbocco del tramite fistoloso ed eventuali anomalie coronariche
concomitanti. In alcuni laboratori di emodinamica, in corso di
cateterismo, � possibile effettuare anche un�analisi
quantitativa con tecnica Doppler del furto coronarico17.
La decisione interventistica deve essere multi-parametrica e la
determinazione della quota di sangue sottratta alla perfusione
miocardica � tra i parametri da considerare. L�esame
coronarografico � invasivo e prevede l�utilizzo di
mezzi di contrasto potenzialmente nefrotossici o allergenici.
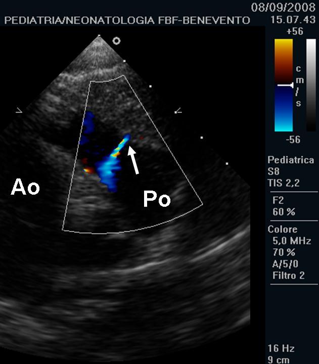
Figura
2. Immagine ecocardiografica, proiezione parasternale asse corto,
alta. La freccia indica lo sbocco della fistola sulla parete laterale
del tronco polmonare. Ao, aorta. Po, tronco polmonare.
Figura
3. Immagine ecocardiografica, proiezione parasternale asse lungo,
modificata. � ben visibile il tronco comune di coronaria
sinistra, dall�origine aortica alla biforcazione in arteria
discendente anteriore e in arteria circonflessa. Ao, aorta.
DIAGNOSTICA
PRENATALE
La
visualizzazione ecografica prenatale di una fistola coronarica
congenita � difficile; la diagnosi � pressoch�
esclusivamente post-natale. Nel raro caso di fistole coronariche
congenite, con elevato significato emodinamico, � possibile
visualizzare ecograficamente, quando presenti, le sequele del furto
coronarico (dilatazione ventricolare sinistra da sovraccarico di
volume; ipo-acinesie ventricolari da ischemia miocardica).
TRATTAMENTO
FARMACOLOGICO
Non
esiste un farmaco che riduca il furto coronarico e risolva i sintomi
del paziente con shunt significativo.
I
diuretici possono attenuare la sintomatologia dispnoica nei
pazienti con marcato sovraccarico ventricolare e risultano
sicuramente utili nell�attesa della procedura interventistica.
I
beta-bloccanti rallentando la frequenza cardiaca allungano il
tempo diastolico aumentando il tempo di perfusione miocardica.
Riducono il rischio aritmico, ma possono causare un aumento del furto
coronarico che � sisto-diastolico.
I nitrati
dilatano le coronarie e riducendo la pressione di perfusione
miocardica possono rendersi responsabili di un ulteriore aggravio del
furto coronarico26.
Non �
ben chiaro se esiste un aumentato rischio di endocardite infettiva in
sede di fistola e, al momento, la profilassi non �
raccomandata.
INDICAZIONI
AL TRATTAMENTO PERCUTANEO O CHIRURGICO E OPZIONI
Il
trattamento chirurgico o percutaneo � indicato in presenza di
sintomi, complicanze o segni strumentali di ampio shunt oppure quando
la fistola coronarica � un fattore ulteriore di ischemia
sovrapposto a una grave patologia di base (tipo cardiomiopatia
ipertrofica7).
Per i
pazienti asintomatici e senza segni strumentali di
sovraccarico-ischemia, al momento, non c�� un
comportamento omogeneo. A chi sostiene la necessit� di
trattamento percutaneo o chirurgico in tutti i pazienti17, 28-31
si oppone chi ricorda di valutare attentamente il rapporto tra i
benefici del trattamento e le potenziali complicanze legati allo
stesso4, 10, 15, 32-33, considerando che:
- la
maggior parte dei pazienti con fistola coronarica congenita o a
comparsa neonatale diventa sintomatico solo in et� adulta
(quando cominciano ad associarsi anche lesioni coronariche di tipo
aterosclerotico o quando il tramite fistoloso �
progressivamente aumentato di calibro);
- la
natura congenita della fistola, determina l�adeguamento
(anatomico e funzionale) di tipo compensatorio del tronco
coronarico misto, prossimale all�origine della fistola15;
- alcune
fistole possono andare incontro a chiusura spontanea33-34.
I
pazienti asintomatici, con fistole coronariche piccole e senza segni
di sovraccarico di volume o di furto coronarico dovrebbero essere
solo seguiti periodicamente4, 10, 35-36. Se poi, nel
tempo, le caratteristiche emodinamiche e le conseguenze del furto si
amplificano, allora dovr� essere considerato un management
interventistico10.
L�obiettivo
del trattamento percutaneo o chirurgico � la chiusura del
tramite fistoloso senza arrecare danno al normale albero coronarico.
Le
opzioni chirurgiche sono varie e le tecniche sono migliorate
negli anni37.
Per la
fistola coronarica artero-venosa, attualmente si tenta la
chiusura interna della fistola a partire dal vaso ricevente,
associata alla legatura diretta del tramite fistoloso. Se ci�
non � possibile si pratica la legatura distale e/o prossimale
della fistola. Se il tramite fistoloso ha determinato una dilatazione
aneurismatica della coronaria, si tenta la riparazione di questa
mediante plicatura.
Per la
fistola coronario-camerale si pu� tentare la chiusura
chirurgica mediante multiple suture tra l�arteria di origine e
la parete cardiaca. In genere, il risultato � parziale.
Il tasso
di complicanze della procedura chirurgica � basso nella
maggior parte dei centri; l�outcome a lungo termine �
eccellente e la maggior parte dei pazienti rimane asintomatica38-39.
Nonostante
i buoni risultati chirurgici, il trattamento percutaneo sta
diventando il metodo di scelta. � possibile la chiusura
percutanea mediante l�inserimento nel tramite fistoloso di coil
singoli o multipli intrecciati tra loro, di doppi ombrelli o di un
occlusore tipo Amplatzer, oppure iniettando schiuma alcolica
polivinilica40-43. La tecnica di embolizzazione sar�
scelta in relazione alla sede di origine della fistola, alla
morfologia e alle dimensioni del tramite. I coils offrono il
vantaggio di essere piccoli e poco costosi. I device a ombrello
consentono maggiore precisione di posizionamento e sono da
preferire per le fistole larghe35. � stata
riportata anche la possibilit� di esclusione del tramite
fistoloso mediante l�impianto di uno stent rivestito
nella coronaria nativa in modo da coprire l�origine della
fistola44.
Il
trattamento chirurgico � ancora richiesto in alcuni casi e, in
particolare, nei pazienti con altre cardiopatie congenite o acquisite
con necessit� chirurgica e in quelli in cui il trattamento
percutaneo � stato inefficace o in quelli con anatomia del
tramite fistoloso inadeguata a trattamento percutaneo5, 35.
�
necessario puntualizzare che la ricerca delle fistole coronariche �
di fondamentale rilevanza nei pazienti con cardiopatie congenite o
acquisite con necessit� chirurgica. Le fistole potrebbero
essere, infatti, un motivo di inadeguata protezione miocardica. La
soluzione di cardioplegia potrebbe non raggiungere in quantit�
adeguata la porzione di miocardio a valle dell�origine della
fistola ed essere dunque causa di disfunzione post-operatoria45.
In questi pazienti, la fistola va chiusa prima di procedere alla
cardioplegia.
STORIA
POST-TRATTAMENTO
Dipende
dalla presenza di residui/sequele del trattamento.
Non �
indispensabile la chiusura completa del tramite fistoloso. Se il
danno miocardico indotto dalla fistola non � stato
irreversibile, il recupero (regressione dei sintomi e/o dei segni di
sovraccarico di volume-ischemia del ventricolo sinistro) pu�
essere completo anche in coloro in cui rimane un lieve shunt
residuo18. La comparsa di complicanze (da ischemia
miocardica o da sovraccarico di volume ventricolare) prima della
correzione (percutanea o chirurgica) pu� comportare la
necessit� di controlli periodici e pu� limitare
l�idoneit� funzionale.
I
pazienti in cui il trattamento non � stato soddisfacente, con
persistenza di sintomi o segni di fistola coronarica significativa,
devono essere avviati a un ulteriore intervento (in genere
chirurgico).
In
maniera indipendente dal tipo di trattamento, nel follow-up del
paziente, vanno considerati:
la
profilassi dell�endocardite batterica (alcuni
consigliano la profilassi per almeno un anno dalla chiusura del
tramite fistolare o comunque fino alla normalizzazione del calibro
coronarico46);
la
dilatazione coronarica residua: i pazienti trattati quando �
gi� presente una dilatazione coronarica significativa,
possono non avere un recupero completo del calibro coronarico, anche
se il trattamento chirurgico o percutaneo � stato ottimale,
senza shunt residui46. Anche se non sono disponibili
informazioni sul rischio trombotico di questi pazienti, potrebbe
essere prudente l�utilizzo di antiaggreganti come l�acido
acetilsalicilico. Nei pazienti in cui la dilatazione coronarica �
marcata dovrebbe essere utilizzata una terapia anticoagulante
orale46;
lo shunt
residuo, che deve essere valutato per il suo significato
emodinamico. In genere, il paziente operato non ha residui del
trattamento della fistola artero-venosa. Nei pazienti
trattati per fistola coronario-camerale pu� residuare un
lieve shunt;
il
rischio di emolisi va considerato nei pazienti trattati in
maniera percutanea, in particolare, se con impianto di coils
e con shunt residuo; � transitorio.
MONITORAGGIO
DEL PAZIENTE NON TRATTATO
I
pazienti asintomatici, con fistola non emodinamicamente significativa
(in genere, di individuazione occasionale, in corso di un
ecocardiogramma eseguito per motivi differenti), dovrebbero essere
sottoposti a valutazione periodica (annuale; semestrale se il
paziente � nei primi due anni di vita o se la fistola �
di recente osservazione) almeno con ECG, ecocardiogramma, test da
sforzo (quando possibile), ECG Holter, per monitorare la persistenza
di perviet� della fistola, le dimensioni coronariche, la
funzione ventricolare sinistra, la comparsa di sintomi, la presenza
di aritmie e la capacit� funzionale in corso di esercizio
fisico. La comparsa di sintomi o di segni indicativi di furto
significativo possono esprimere la necessit� di trattamento47.
MONITORAGGIO
DEL PAZIENTE TRATTATO
I tempi
di follow-up dipendono dalla modalit� di correzione del
difetto e dai residui/sequele.
Ecocardiografia
con color-Doppler Consente di definire il risultato del
trattamento, di precisarne le eventuali sequele, di seguire la
funzione di pompa bi-ventricolare, il calibro coronarico e di
diagnosticare una possibile endocardite, rara complicanza di una
chiusura percutanea parziale del tramite fistoloso.
Test
da sforzo Consente una valutazione funzionale e della tolleranza
allo sforzo dei pazienti operati.
ECG
dinamico secondo Holter Consente di accertare la presenza �
persistenza di aritmie ventricolari.
Cateterismo
cardiaco In alcuni casi, soprattutto in quelli in cui persiste
la dilatazione coronarica o � evidente uno shunt residuo
attraverso la fistola o vi sono segni persistenti di
ischemia�sovraccarico ventricolare sinistro, potrebbe essere
utile ripetere l�esame coronarografico per valutare
direttamente l�efficacia del trattamento44.
IDONEIT�
FISICA
Tra i
pazienti con fistola coronarica isolata, pur in assenza di studi
dedicati e di indicazioni definite da parte del Comitato
Organizzativo Cardiologico per l�Idoneit� allo Sport
(COCIS48), appare ragionevole considerare a basso rischio
di eventi cardiovascolari quelli con le seguenti caratteristiche:
et�
inferiore ai trenta anni;
asintomatici;
con
aspetto ecocolorDoppler di shunt fistolare lieve;
con
buona funzione ventricolare, in assenza di aree di asinergia di
contrazione;
senza
dilatazione coronarica;
con
normali ECG Holter e test da sforzo massimale.
Vanno
programmati controlli clinico-strumentali a cadenza semestrale.
Per
quanto riguarda i pazienti trattati (in maniera percutanea o
chirurgica), appare ragionevole considerare a basso rischio di eventi
cardiovascolari, quelli con le seguenti caratteristiche:
asintomatici;
con un
aspetto ecocolorDoppler di shunt fistolare residuo lieve o assente;
con
buona funzione ventricolare, in assenza di aree di asinergia di
contrazione;
senza
dilatazione coronarica;
con
normali ECG Holter e test da sforzo massimale.
Vanno
programmati controlli clinico-strumentali a cadenza annuale.
TAKE
HOME MESSAGES
Le
fistole coronariche sono anomalie rare; � probabile, per�,
che la reale incidenza della patologia sia sottostimata per il
mancato riconoscimento di forme lievi, a decorso asintomatico.
L�et�
di diagnosi dipende dalla severit� dell�alterazione
funzionale determinata; la maggior parte delle fistole �
piccola, con conseguenze emodinamiche non significative (compatibili
con un normale sviluppo miocardico post-natale), per cui, spesso
rappresentano solo un riscontro occasionale. Anche le fistole
piccole, per�, possono determinare la comparsa di un soffio
(in particolare se lo sbocco � stenotico).
La
maggior parte dei pazienti con fistola raggiunge l�et�
adulta senza aver avuto bisogno di una procedura correttiva.
Le
caratteristiche anatomiche e funzionali delle fistole possono
modificarsi nel tempo e questo pu� comportare una
sintomatologia ingravescente e la necessit� di un
trattamento.
Le
fistole coronariche possono essere motivo di dolore toracico,
dispnea, palpitazioni, sincope, aritmie ventricolari, morte
improvvisa; il loro riconoscimento, dunque, � fondamentale,
in particolare nei giovani atleti.
La
combinazione di pi� esami diagnostici cardiologici consente
di ottenere una definizione anatomica e una stratificazione
funzionale adeguate.
I
pazienti non trattati, perch� con fistola non
emodinamicamente significativa, vanno comunque sottoposti a
valutazioni cardiologiche periodiche.
Bibliografia
Lambertini
G, Mezzogiorno V. Anatomia dell�uomo. Piccin
Nuova Libraria, 1986.
Angelini
P, Velasco JA, Flamm S. Coronary anomalies: incidence,
pathophysiology, and clinical relevance. Circulation 2002;
105: 2449-54.
Anderson
RH. Cardiologia pediatrica. Mc Graw Hill, 1990.
Sherwood
MC, Rockenmacher S, Colan SD, Geva T. Prognostic significance of
clinically silent coronary artery fistulas. Am J Cardiol
1999; 83:407-11.
Vaidyanathan
KR, Theodore SAC, Sankar MN, Cherian KM. Coronary artery to
pulmonary artery fistula with dual origin � embryological,
clinical and surgical significance. Eur J Cardiothoracic
Surg 2007; 31: 318-19.
Burns
KE, Ferguson KA, Spouge A, Brown JE. Massive congenital coronary
arteriovenous malformation presenting with exertional dyspnea and
desaturation in an adult: a case report and review of the
literature. Can J Cardiol 2001;17: 85-89.
Caputo
S, Capozzi C, Santoro G, et al. Multiple right coronary
artery fistulae in a patient with diffuse hypertrophic
cardiomyopathy: a case report. J Am Soc
Echocardiogr 2005; 18: e19-21.
Kardos
A, Babai L, Rudas L, Gaal T, Horvath T, Talosi L, T�th K,
S�rv�ry L, Sz�sz K. Epidemiology of congenital
coronary artery anomalies: a coronary arteriography study on a
central European population. Catheter Cardiovasc Diagn 1997; 42:
270-75.
Capozzi
G, Caputo S, Pizzuti R, et al. Congenital
heart disease in live born children: incidence, distribution and
yearly changes in Campania Region. J Cardiovasc Med 2008; 9:368-74.
Hoffman,
JI. Congenital anomalies of the coronary vessels and the aortic
root. In: Heart disease in infants, children and adolescents, 5th
ed, Emmanoulides, GC, Riemenschneider TA, Allen HD, Gutgesell, HP
(Eds), Williams and Wilkins, Baltimore 1995. p.780.
Moss
& Adams. Heart disease in infants, children and adolescents.
Lippincott, Williams and Wilkins, 2001.
Schanzenbacher
P, Bauersachs J. Acquired right coronary artery fistula draining to
the right ventricle: angiographic documentation of first appearance
following reperfusion after acute myocardial infarction, with
subsequent spontaneous closure. Heart 2003; 89: e22.
Itoi
T, Satou H, Hamaoka K. Coronary flow
characteristics of multiple coronary artery-left ventricular
microfistulae in young monozygotic twins. Circ J
2007;71:1492�95.
Angelini
P. Coronary-to-pulmonary fistulae. What are they? What are their
causes? What are their functional consequences? Tex
Heart Inst J 2000; 4:327-29.
Kochiadakis
GE, Vardakis KE, Vardas PE. Coronary-pulmonary artery fistulae:
blood flow pattern and effect on myocardial perfusion. Heart 2002;
88: 400.
Kamiya
H, Yasyda T, Nagamine H, et al Surgical treatment of congenital
coronary artery fistulas: 27 years� experience and a review of
the literature. J Card Surg 2002; 17: 173-177.
Guo H,
You B, Lee JD. Dilated cardiomyopathy caused by a coronary �
pulmonary fistula treated successfully with coil embolization. Circ
J 2006;70:1223-25.
McElhinney
DB, Burch GH,
Kung GC,
Villegas MD,
Silverman NH,
Moore P.
Echocardiographic guidance for transcatheter coil embolization of
congenital coronary arterial fistulas in children. Pediatr
Cardiol 2000; 21:253-58.
Vitarelli
A, De Curtis G, Conde Y, Colantonio M, Di Benedetto G, Pecce P, De
Nardo L, Squillaci E. Assessment of congenital coronary artery
fistulas by transesophageal color Doppler echocardiography. Am J Med
2002; 113: 127-133.
Parga
JR, Ikari NM, Bustamante LNP, Rochitte CE, de Avila LFR, Oliveira
SA. MRI evaluation of congenital coronary artery
fistulae. Br J Radiol 2004; 77: 508-511.
Early
SA, Meany TB, Fenlon HM, Hurley J. Coronary artery fistula; coronary
computed tomography. The diagnostic modality of choice. J Card Surg
2008; 3: 41.
Angelini
P. Questions on coronary fistulae and microfistulae. Tex
Heart Inst J 2005; 32: 53-54.
Elhendy
A, Nierop PR, Roelandt JR, Fioretti PM. Myocardial ischemia assessed
by dobutamine stress echocardiography in a patient with bicoronary
to pulmonary artery fistulas. J Am Soc
Ecocardiogr 1997;10:189-91.
Glynn
TP, Fleming RG, Haist JL, Hunterman RK. Coronary arteriovenous
fistula as a cause for reversible Thallium-201 perfusion defect. J
Nucl Med 1994;35:1808-10.
Heper
G, Kose S. Increased myocardial ischemia during nitrate therapy
caused by multiple coronary artery�left ventricle fistulae?
Tex Heart Inst J 2005;32:50-2
Sunder
KRS, Balakrishnan KG, et al. Coronary artery fistula in children and
adults: a review of 25 cases with long term observations. Int J
Cardiol 1997; 58: 47-53.
Carrel
T, Tkebuchava T, Jenni R, Arbenz U, Turina M. Congenital coronary
fistulas in children and adults: diagnosis, surgical technique and
results. Cardiology 1996; 87: 325-330.
Meissner
A, Lins M, Herrmann G, Simon R. Multiple coronary artery �
left ventricular fistulae: haemodynamic quantification by
intracoronary Doppler ultrasound. Heart 1997; 78: 91-3.
Mavroudis
C, Backer CL, Rocchini AP, Muster AJ, Gevitz M. Coronary artery
fistulas in infants and children: a surgical review and discussion
of coil embolization. Ann Thorac Surg 1997; 63: 1235-42.
Schumacher
G, Roithmaier A, Lorenz HP, et al. Congenital coronary artery
fistula in infancy and childhood: diagnostic and therapeutic
aspects. Thorac Cardiovasc Surg 1997; 45: 287-94.
Angelini
P. Coronary fistulae: which ones deserve treatment and what kind of
treatment do they need? Tex Heart Inst J 2007; 34: 202-03.
Hackett
D, Hallidie-Smith KA. Spontaneous closure of coronary artery
fistula. Br Heart J 1984; 52: 477-479.
Griffiths
SP, Ellis K, Hordof AJ, Martin E,
Levine OR,
Gersony WM.
Spontaneous complete closure of a congenital coronary artery
fistula. J Am Coll Cardiol 1983;2:1169-73.
Armsby
LR, Keane JF, Sherwood MC, Forbess JM, Perry SB, Lock JE. Management
of coronary artery fistulae. Patient selection and results of
transcatheter closure. J Am Coll Cardiol 2002; 39: 1026-1032.
Reul
RM, Cooley DA, Hallman GL, Reul GJ. Surgical treatment of coronary
artery anomalies. Report of a 37�-year
experience at the Texas Heart Institute.Tex Heart Inst J 2002; 29: 299-07
Urrutia-S
CO, Falaschi G, Ott DA, Cooley DA. Surgical
management of 56 patients with congenital coronary artery fistulas.
Ann Thorac Surg 1983;35:300-07.
Cheung
DL, Au WK, Cheung HH, Chiu CS,
Lee WT. Coronary
artery fistulas: long-term results of surgical correction. Ann
Thorac Surg 2001; 71: 190-95.
Sun S,
Li JY, Hu PY, Wu SJ. Starfish � assisted off-pump obliteration
of massive coronary arteriovenous fistulae. Tex Heart Inst J 2005;
32: 595-97.
Okubo
M, Nykanen D, Benson LN. Outcomes of
transcatheter embolization in the treatment of coronary artery
fistulas. Cathet Cardiovasc Intervent 2001; 52: 510-517.
Ogoh
Y, Akagi T, Abe T, Hashino K,
Hayabuchi N,
Kato H.
Successful embolization of coronary arteriovenous fistula using an
interlocking detachable coil. Pediatr Cardiol 1997; 18: 152-155.
Hakim F,
Madani A, Goussous Y, Cao QL, Hijazi ZM. Transcatheter closure of a
large coronary arteriovenous fistula using the new Amplatzer duct
occluder. Cathet Cardiovasc Diagn 1998; 45: 155-157.
Kassaian
SE, Mahmoodian M, Salarifar M, Alidoosti M, Abbasi SH, Rasekh A.
Stent graft exclusion of multiple symptomatic coronary artery
fistulae. Tex Heart Inst J 2007; 34: 199-203.
Alphonso
N, Anagnostopoulos PV, Azakie A, Karl TR. Undiagnosed
coronary fistula causing low cardiac output syndrome after pediatric
heart surgery. Eur J Cardiothoracic Surg 2006; 30: 397-399.
Liberthson
RR, Sagar K, Berkoben JP, Weintraub RM,
Levine FH.
Congenital coronary arteriovenous fistula. Report of 13 patients,
review of the literature and delineation of management. Circulation
1979; 59: 849-854.
Protocolli
cardiologici per il giudizio di idoneit� allo sport
agonistico 2003. Casa Editrice Scientifica Internazionale. Terza
Edizione 2003.
Informativa Cookie
Questo sito utilizza cookie tecnici necessari al funzionamento (autenticazione, sessione, preferenze).
Le funzionalità di intelligenza artificiale sono erogate tramite Amazon Bedrock (Anthropic Claude):
i dati vengono elaborati nei data center europei AWS e non vengono condivisi con terze parti né utilizzati per addestrare modelli.
Non utilizziamo cookie di profilazione commerciale.
Privacy e Cookie Policy
Cookie tecnici necessari(sempre attivi) Sessione, autenticazione, CSRF, preferenze utente. Indispensabili per il funzionamento del sito. Non tracciano l'utente.
Cookie analitici(opzionali) Misurano le performance del sito (pagine visitate, tempi di caricamento). I dati sono aggregati e anonimi, memorizzati nel nostro database interno (tabella user_access). Nessun dato viene inviato a Google Analytics o servizi terzi.
Servizi di Intelligenza Artificiale(opzionali) Funzionalità AI (ricerca intelligente CoScienza, assistente backoffice) erogate tramite Amazon Bedrock con modelli Anthropic Claude. I dati transitano nei data center europei (eu-west) e non vengono utilizzati per l'addestramento dei modelli. Nessun dato personale viene condiviso con Anthropic o Amazon al di fuori dell'elaborazione della richiesta.
Cookie pubblicitari(opzionali) Permettono la visualizzazione di annunci pertinenti tramite Google AdSense. Google potrebbe utilizzare cookie per mostrare annunci basati sulle visite precedenti a questo o altri siti. Puoi disattivare la personalizzazione su impostazioni annunci Google.