Dalla diagnosi prenatale al management post natale delle malformazioni polmonari: suggerimenti per i pediatri
1Scuola di Specializzazione, Chirurgia Pediatrica, IRCCS G. Gaslini, Universit� di Genova
2Dipartimento di Chirurgia Pediatrica, IRCCS �Burlo Garofolo�, Trieste
Indirizzo per corrispondenza: francescagobbo@hotmail.com
From prenatal dıagnosıs to postnatal management of pulmonary malformatıonsKeywords Key words Congenital pulmonary airway malformations (CPAM), Prenatal diagnosis, Lung surgery, Infants SummaryCongenital pulmonary airway malformations (CPAM) include a wide spectrum of developmental anomalies. Almost 50% of the cases are diagnosed in utero. These appear as hyperechoic, cystic or mixed lesions. Prenatal clinical course varies from serious complications in utero to polyhydramnios with premature labor. Hydrops and fetal demise is reported in as many as 25-30% of cases. Postnatal presentation ranges from severe respiratory distress to symptoms related to pulmonary hypoplasia, left to right shunting in sequestration or overinflation and pneumothorax. When no prenatal diagnosis is made, children may remain asymptomatic or may present, later in their lives, with complications of recurrent pneumonias or spontaneous pneumothorax. Surgical resection represents the standard for symptomatic cases at birth and later in children with respiratory symptoms. Even though the management for asymptomatic cases remains controversial, early surgical excision to avoid recurrent infections, pneumothorax and malignancy is recommended. New instrumentation and advanced skills make thoracoscopic lobar lung resection the preferred approach. |
Introduzione Classificazione Diagnosi pre e post-natale Clinica Suggerimenti Casi clinici Chirurgia mini invasiva Da ricordare Bibliografia |
Introduzione
Le malformazioni congenite polmonari (CPAM) includono un ampio spettro di lesioni secondarie ad anomalie dello sviluppo del polmone1. Nel 50% dei casi la diagnosi avviene in utero con l�identificazione dei 3 aspetti morfologici ecografici tipici: le macro e micro cisti (CPAM tipo I e II) e le forme solide2 Tipo III e PS (sequestro polmonare).
La storia naturale della malformazione varia dalla comparsa di polidramnios causa di prematurit�, all�idrope (con rischio di morte in utero nel 25-30% dei casi), alla mancata visualizzazione della lesione a fine gravidanza (15%). Nei casi pi� gravi vi � l�indicazione al posizionamento di uno shunt toraco-amniotico o all�intervento chirurgico in utero. Nella gran parte dei casi le lesioni cistiche CCAM Tipo I e II, presentano un incremento delle dimensioni fino alla 32 settimana di gestazione. Le forme solide, invece, CCAM tipo III e PS, sono considerate le pi� stabili: crescono con il feto e subiscono, a fine gravidanza, un arresto della crescita. L�enfisema congenito presenta un andamento simile al tipo III, scompare nel 3� trimestre di gravidanza ed � visibile al controllo TAC postnatale. Segni ecografici prenatali di compressione del mediastino e di idrope impongono l�espletamento del parto in un centro di 3� livello.
In tutti i casi con regressione della lesione in gravidanza, o asintomatici alla nascita, la malformazione va ricercata nei primi mesi di vita con TAC del polmone.
I casi sintomatici alla nascita possono presentare sintomi da ipoplasia polmonare, distress respiratorio, pneumotorace, shunt sinistro-destro, tipico del sequestro polmonare. La terapia chirurgica � la lobectomia. Per i pazienti asintomatici, invece, l�indicazione alla resezione polmonare � auspicabile entro l�anno di vita. Polmoniti ricorrenti e pneumotorace sono, invece, l�espressione clinica della presenza di una CPAM in pazienti senza diagnosi prenatale. Nel 53% dei casi le CPAM sono associate a �overlapping lesion�: enfisema perilesionale, bronchiectasie, sequestro polmonare. Per questa ragione oltre il 60% delle malformazioni presentano una discrepanza tra la diagnosi pre- e post-operatoria. Inoltre, estesi fenomeni flogistici, coinvolgono le malformazioni e sembrano essere presenti anche nei pazienti asintomatici sin dalla nascita. In tutti i casi, e soprattutto per quelli con diagnosi tardiva o manifestazione clinica di una lesione misconosciuta, la resezione lobare deve avvenire il pi� presto possibile per evitare infezioni ricorrenti, degenerazione maligna e pneumotorace. La crescita polmonare compensatoria � eccellente fino al 5�-7� anno di et�.
L�approccio chirurgico toracoscopico mini invasivo � la metodica di scelta: riduce i tempi di degenza ospedaliera e il fabbisogno di analgesia post operatoria. Il risultato estetico � eccellente. Con la lobectomia vengono asportate anche le �overlapping lesion�, potenziali sedi di processi pneumonici.
Cosa sono e come si classificano
Le CCAM (congenital cystic adenomatoid malformation) sono masse intrapolmonari caratterizzate da un incremento della componente adenomatoide dei bronchi terminali. Le cisti che ne derivano presentano dimensioni variabili da un millimetro a pi� di 10 centimetri. Sono evidenti sottili connessioni con l�albero tracheo-brionchiale, non coinvolti negli scambi gassosi3.
Negli anni 70 fu introdotta da Stocker la classificazione in tre tipi, basata sulla grandezza della lesione. Nel 2001 la denominazione delle CCAM fu modificata in CPAM: �Congenital pulmonary airway malformation� per includere cinque tipi di lesione e le relative origini della malformazione, dalla trachea, dai bronchi, dai bronchioli, alveoli, e acini. Questa nuova suddivisione, pur di scarsa applicazione in diagnosi prenatale, � molto utile per la definizione anatomopatologica e anche perch� tiene conto delle varie possibili coesistenze malformative come l�enfisema lobare, (PIPE) e il sequestro intralobare (ILE)4,5.
Per comodit� di definizione diagnostica, l�ecografia prenatale mantiene la suddivisione delle lesioni in cistiche (CCAM 1 > 2 cm, CCAM 2 < 1 cm), e solide (CCAM 3 con microcisti). Pi� semplicemente, dal punto di vista clinico, si ricorre alla suddivisione ecografica, proposta da Adzick, in due categorie: macrocisti, con cisti sopra i cinque millimetri, e microcisti con aspetto di massa solida.
Il sequestro polmonare non ha comunicazione con l�albero tracheo-bronchiale ma presenta uno o pi� rami arteriosi a diretta dipendenza dall�aorta toracica. La grande maggioranza delle forme intralobari � localizzata ai lobi inferiori, mentre le extralobari sono generalmente reperite nella regione toracica postero mediale, talvolta sovra o infradiaframamtica. Il sequestro polmonare � spesso associato alle CCAM, soprattutto di tipo II.
L�enfisema lobare congenito � una malformazione che sembra originare da un�ostruzione bronchiale parziale che induce un effetto a tipo valvola. L�occlusione pu� essere intrinseca da tracheomalacia o estrinseca (vascolare o da cisti broncogena). Questa condizione di �overinflation polmonare� pu� essere isolata o molto spesso associata alle CCAM o ai sequestri polmonari.
Diagnosi pre e post natale e implicazioni nel management
La gran parte delle CPAM � ora diagnosticabile in gravidanza6. L�accuratezza della diagnosi prenatale ultrasonografica aumenta dal 59%, a 32 settimane, all�81% a 36 settimane di gestazione.
Il follow-up prenatale include la sorveglianza della comparsa di segni di complicanze quali il coinvolgimento della lesione all�intero emitorace, la compressione cardiaca e mediastinica (20% dei casi), la comparsa di segni di impegno cavale quali il polidramnios e l�idrope.
La presenza di idrope fetale (25-30% delle complicanze prenatali) delinea un punto di svolta nella malattia. � considerato un elemento di aggravamento prognostico e costituisce una indicazione al drenaggio toraco-amniotico o all�intervento in utero, a prevenzione della complicanza estrema e mortale dello stato anasarcatico (30% delle complicanze)7.
In epoca neonatale la radiografia del torace pu� apparire normale anche in presenza di lesione gi� confermata in gravidanza. Anche per questi casi � l�indagine radiologica di elezione. Definisce sede, tipo, estensione della lesione. L�esame con contrasto � raccomandato per tutti i casi, siano essi gi� diagnosticati in utero, asintomatici alla nascita o con storia di scomparsa della lesione al follow-up prenatale.
Clinica e trattamento
Quando la diagnosi prenatale � nota l�80% dei casi � asintomatico alla nascita.
Se la diagnosi avviene in epoca post natale, o pi� tardivamente, i sintomi classici sono:
distress respiratorio: sia nelle prime settimane di vita, come anche nel lattante e anche nel bambino pi� grande. Il sospetto diagnostico � la presenza di una CCAM.
infezioni respiratorie ricorrenti nei bambini dopo i due anni di vita. Una storia di polmonite recidivante sempre nello stesso lobo deve far pensare alla presenza di un soggiacente sequestro polmonare.
I sintomi di una CCAM non diagnosticata e non trattata possono variare dall�episodio di distress respiratorio acuto, alla tosse cronica, alle infezioni toraciche ricorrenti8. La lobectomia � la procedura di scelta: evita la ricorrenza di recidive locali secondarie all�elevata incidenza di lesioni malformative coesistenti, le �overlapping lesion�. Tra queste va citato soprattutto l�enfisema, molto spesso associato alla malformazione principale e responsabile, se non asportato in toto, di flogosi cronica. L�approccio chirurgico guarda con attenzione al risparmio del tessuto polmonare in tutte le epoche dell�infanzia e dell�adolescenza. Tuttavia, quando il compenso polmonare � fisiologico, e cio� prima dei 5-7 anni di vita, la metodologia di scelta � la lobectomia. Nel bambino pi� grande e nell�adolescente pu� essere discussa una metodologia di risparmio polmonare sotto forma di asportazione della lesione a segmenti, a condizione che non vi siano stati pregressi episodi infiammatori che mal delimitano l�estensione della malformazione iniziale.
Per questa ragione il trattamento chirurgico precoce va incoraggiato anche per le malformazioni asintomatiche. L�obiettivo � quello di evitare il potenziale rischio di infezioni ricorrenti, il coinvolgimento flogistico di segmenti polmonari attigui sani, la trasformazione maligna (carcinoma, blastoma pleurico)9, l�insorgenza di scoliosi toracogeniche secondarie a resezioni polmonari molto ampie.
Suggerimenti
Valutazione post natale
RX torace:
in prima giornata solo per casi con deviazione mediastinica nota o sintomatici
TAC torace:
in prima giornata in caso di distress respiratorio o di compressione mediastinica nota in prenatale
ai tre mesi di vita nei pazienti asintomatici, con diagnosi prenatale nota o con storia di regressione della lesione in gravidanza
Timing chirurgico
Resezione toracoscopica o toracotomica:
in urgenza nel neonato se sintomatico entro l�anno di vita nei casi asintomatici, noti in diagnosi prenatale in tutti gli altri casi, diagnosticati pi� tardivamente, a risoluzione della sintomatologia respiratoria e dei segni di flogosi.
Nella Tabella uno viene riportato il follow-up di un gruppo di pazienti noti in diagnosi prenatale sin dalla 23� settimana di gestazione. Alcune considerazioni:
l�incidenza di lesioni associate10-12 documentate all�esame anatomopatologico, � risultata elevata, pari al 53%.
Vi � una corrispondenza con l�aspetto ecografico prenatale e quello perinatale: le compressioni mediastiniche documentate in utero poco prima della nascita necessitano di assistenza rianimatoria perinatale in un centro di terzo livello dove sia possibile eseguire anche la chirurgia nei primissimi giorni di vita.
La strategia chirurgica dovrebbe considerare l�alta incidenza di lesioni istologiche associate, unitamente all�aumentato rischio di complicanze tardive nel ritardato o mancato trattamento chirurgico13.
Tabella. Aspetti clinici e patologici pre- e post natali in un gruppo di 25 pazienti operati per CAM (Burlo 1996-2006)
Diagnosi Prenatale |
Shift Mediastinico |
Parto |
Distress fetale |
Peso alla nascita |
Chirurgia |
Intervento |
Istologia |
CAM 1 8 casi |
3 Casi |
Taglio cesareo: 32-36 sett 4 casi |
3 Casi |
1140-2700 g |
3 mesi (3 casi) |
Resezione |
CAM 1 + Lesioni associate (4 casi) |
at birth (5 casi) |
Lobectomia | ||||||
CAM 2 11 casi |
6 casi |
Taglio cesareo: 36-38 sett (6 casi) |
6 Casi |
2400-2700 g |
3 mesi (5 casi) |
Resezione |
CAM 2 + Enfisema lobare (2 casi)* |
at birth (6 casi) |
Lobectomia | ||||||
CAM 3 6 feti |
Parto vaginale 40 sett |
3000 g |
5 mesi (6 casi) |
Lobectomia: 3 casi |
CAM 2 + ILS | ||
Resezione |
- LS (2 casi)* | ||||||
ELS + CAM 3 (2 casi) |
(*) Casi che hanno presentato recidiva dopo resezione polmonare
CASI CLINICI
Caso 1
S. � un bambino di 4 anni in cui era stata fatta diagnosi prenatale di malformazione basale sinistra alla 23� settimana di gestazione. A fine gravidanza la lesione non era pi� visibile per cui, dopo la nascita non era pi� stata ricercata. Dall�et� di 2 anni, tuttavia erano comparsi episodi polmonari infettivi recidivanti sempre alla base inferiore di sinistra.
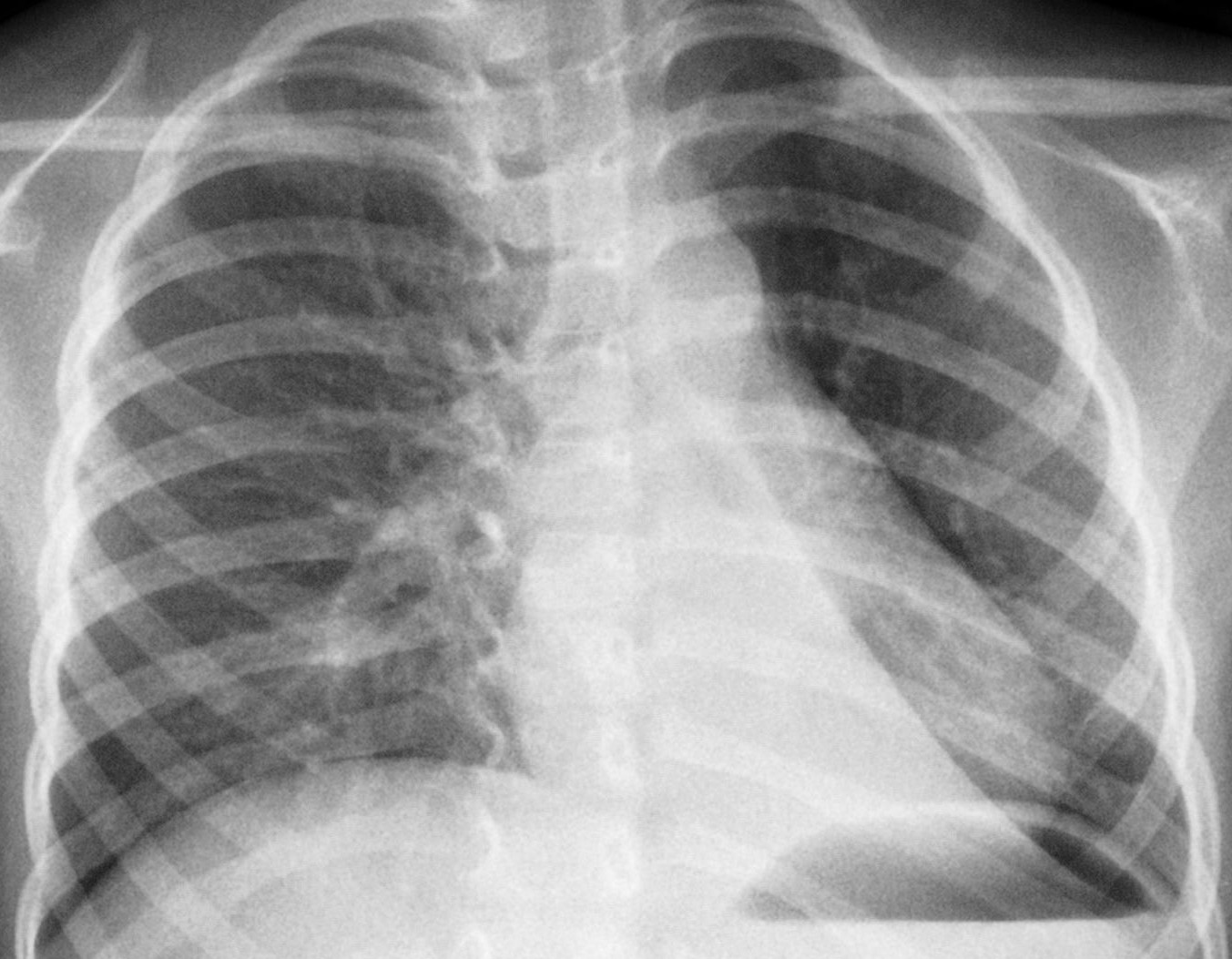
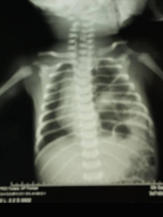
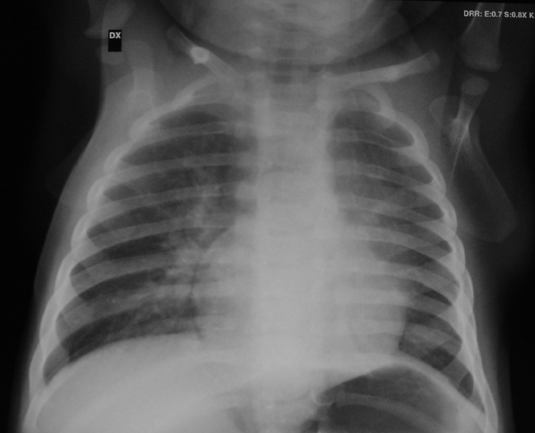
L�Rx torace eseguito in corso di uno di questi episodi aveva evidenziato la presenza di polmonite basale sinistra (Figura 1).
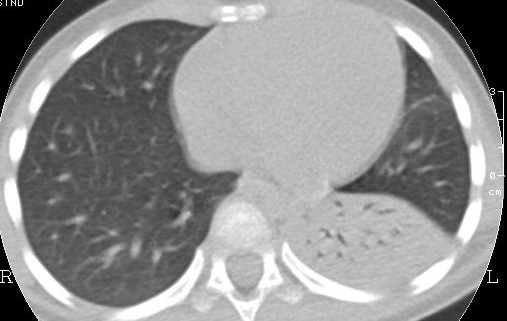
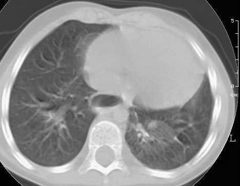
La TAC, eseguita a risoluzione del terzo episodio infettivo, metteva in luce la presenza di lesione malformativa, altrimenti non visibile in radiologia convenzionale (Figura 2).
All�et� di 4 anni il bambino veniva sottoposto a intervento di lobectomia inferiore sinistra per via toracoscopica.
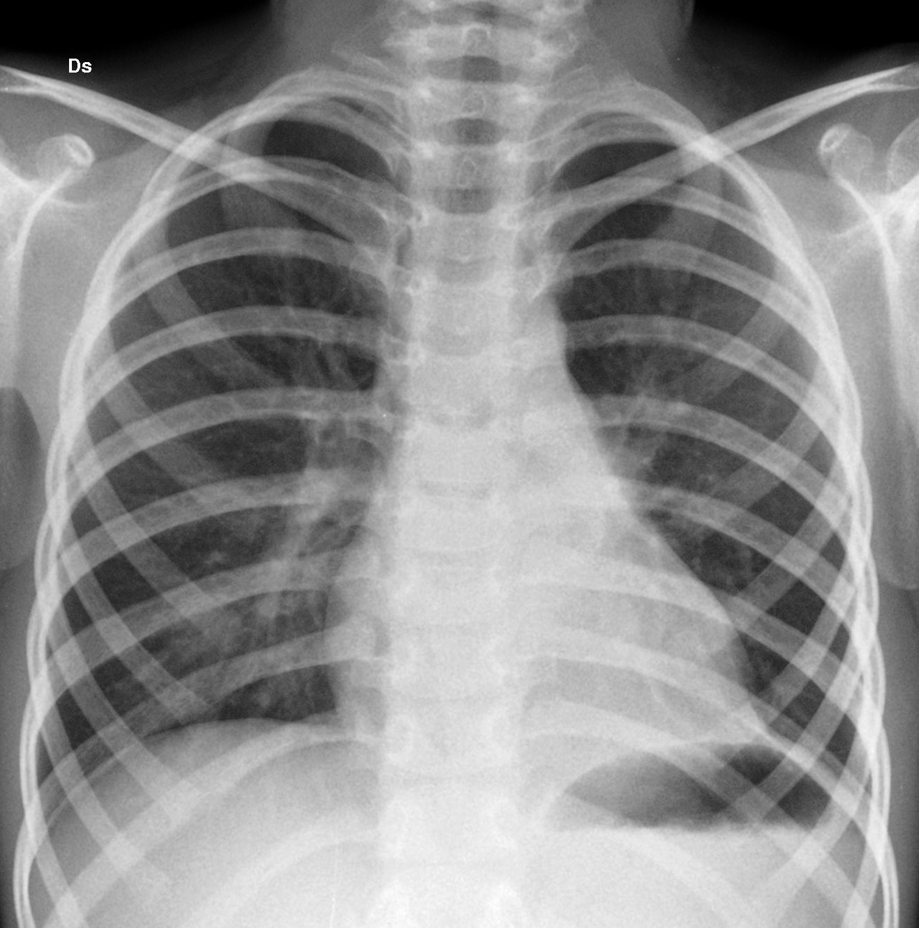
In Figura 3 l�immagine del controllo a un anno dall�intervento.
|
|
|
Figura 1 |
Figura 2 |
Figura 3 |
Caso 2
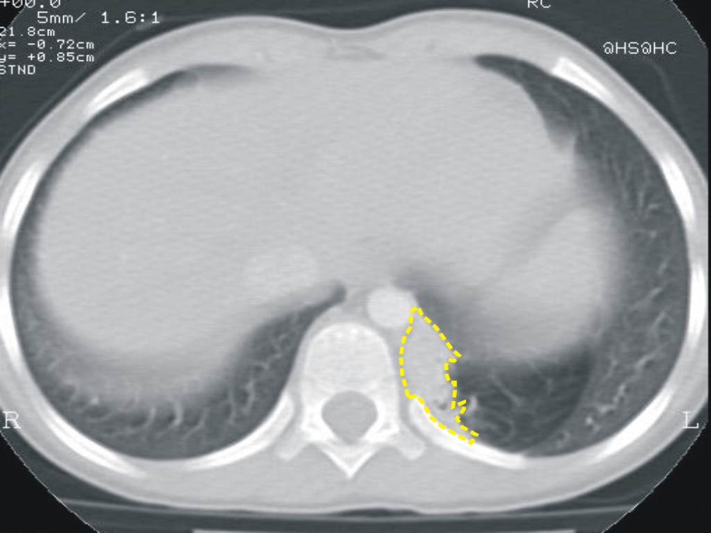
R. � una bambina di 4 anni in cui la diagnosi di malformazione polmonare era stata posta all�et� di 3 anni, come reperto tardivo, secondario a episodi broncopneumonici basali a sinistra. In tale occasione era stata evidenziata per la prima volta lesione microcistica basale sinistra associata ad area enfisematosa perilesionale (Figura 4).
Veniva eseguito l�intervento chirurgico di segmentectomia basale sinistra per via toracoscopia. A 6 mesi dall�intervento era ricomparsa polmonite basale sinistra sulla regione enfisematosa. Il ripetersi di episodi infettivi aveva richiesto, a distanza di due anni dal primo intervento, l�asportazione dell�intero lobo inferiore sinistro.
La Figura 5 mostra controllo al un mese dopo il secondo intervento di lobectomia eseguito per via toracoscopia.
|
|
Figura 4 |
Figura 5 |
Caso 3
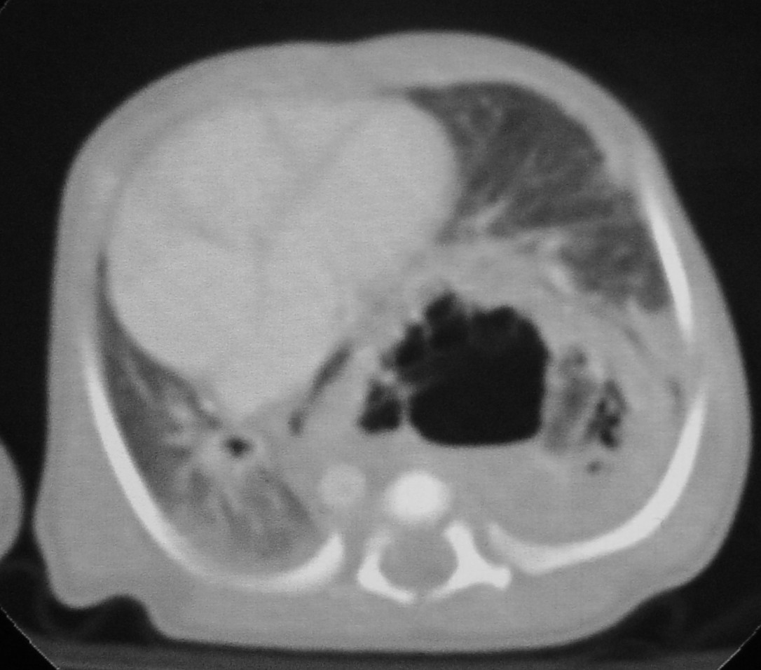
L. � un neonato di un giorno di vita e presenta distress respiratorio secondario a deviazione del mediastino da massa toracica sinistra. In diagnosi prenatale veniva individuata una lesione macrocistica compatibile con CAM tipo 1. Nel corso del secondo trimestre di gravidanza si assisteva a comparsa di deviazione mediastinica, con peggioramento della compressione a fine gravidanza (Figura 6)
In seconda giornata di vita veniva eseguita una lobectomia superiore sinistra. Il decorso � stato privo di complicanze (Figura 7 e Figura 8). Controllo post operatorio a 1 mese (Figura 9).
|
|
Figura 6 |
Figura 7 |
|
|
Figura 8 |
Figura 9 |
La chirurgia mini invasiva
|
|
Figura 10. Toracoscopia13 |
Figura 11. Toracoscopia |
|
|
Figura 12. Aspetto toracoscopio di resezione lobare inferiore destra. |
Figura 13: Risultato cosmetico a 1 anno. |
Da ricordare
L�eco fetale definisce la storia della malformazione e la prognosi neonatale. Per i casi complessi ha il compito di mettere a punto un piano adeguato di assistenza perinatale14,15.
L�indagine radiologica toracica standard non definisce il tipo di lesione, spesso non identifica neppure la presenza della lesione. L�Rx torace individua i segni indiretti della presenza della lesione e la presenza di lesioni a grosse bolle.
In tutti i pazienti la diagnosi definitiva postnatale necessita della metodica TAC.
Nei pazienti asintomatici e con diagnosi prenatale � consigliabile eseguire la TAC nei primi mesi di vita, anche quando la lesione � scomparsa durante gli ultimi controlli ecografici prenatali.
La terapia � chirurgica, possibilmente entro l�anno di vita, per evitare la comparsa di fenomeni infiammatori e favorire un�adeguata crescita del polmone residuo16,17,18.
Bibliografia
Cloutier MM, Schaeffer DA, Hight D. Congenital cystic adenomatoid malformation. Chest 1993;103:761-4.
Bratu I, Flageole H, Chen MF, Di Lorenzo M, Yazbeck S, Laberge JM. The Multiple Facets of Pulmonary malformations..J Pediatr Surg2003;12:17-37.
Kunisaki SM, Barnewolt CE, Estroff JA, et al. Large fetal congenital adenomatoid malformations: growth trends and patient survival. Journal of Paediatric Surgery 2007;42:404-10.
Langston C. New Concepts in the Pathology of Congenital Lung Malformations. Seminars in Paediatric Surgery 2003;12:17-37.
Barnes NA, Pilling DW. Bronchopulmonary foregut malformations: embryology, radiology and quandary. Eur Radiol 2003;13:2659-73.
Adzick NS, Flake AW, Crombleholme TM. Management of Congenital Lung Lesions. Seminars in Paediatric Surgery 2003;12:10-6.
Dommergues M, Louis-Sylvestre C, Mandelbrot L, et al. Congenital adenomatoid malformation of the lung: when is active fetal therapy indicated? Am J Obstet Gynecol 1997;177:953-8.
Aziz D, Langer JC, Tuuha SE, Ryan G, Ein SH, Kim PC. Perinatally diagnosed asymptomatic congenital cystic adenomatoid malformation: to resect or not? J Pediatr Surg 2004;39:329-34.
Miniati DN, Chintagumpala M, Langston C, et al. Prenatal presentation and outcome of children with pleuropulmonary blastoma. J Pediatr Surg 2006;41:66-71.
Tawill MI, Pilling DW. Congenital cystic adenomatoid malformation: is there a difference between the antenatally and postnatally diagnosed cases? Pediatr Radiol 2005;35:39-40.
Fraggetta F, Cacciaguerra, Nash R, Davenport M. Intra-abdominal Pulmonary Sequestration Associated with Congenital Cystic Adenomatoid Malformation of the Lung: Just an Unusual Combination of Rare Pathologies? Pathol Res Pract 1998;194:209-11.
Conran RM, Stocker JT. Extralobar sequestration with frequently associated congenital cystic adenomatoid malformation, type II: report of 50 cases. Pediatr Dev Pathol 1999;2:454-63.
Cano I, Anthon-Pacheco JL, Garc�a A, Rothenberg S. Video-assisted thoracoscopic lobectomy in infants. European Journal of Cardio-thoracic Surgery 2006;29:997-1000.
Sauvat F, Michel JL, Benachi A, Edmond S, Revillon Y. Management of asymptomatic neonatal cystic adenomatoid malformations. J Pediatr Surg 2003;38:548-52.
Tsao K, Albanese CT, Harrison MR. Prenatal Therapy and Mediastinal Lesions. World J Surg 2003;27:77-83.
Van Leeuwen K, Teitelbaum DH, Hirschl RB, et al. Prenatal Diagnosis of Congenital Cystic Adenomatoid Malformation and Its Postnatal Presentation. Surgical Indications, and Natural History. J Pediatr Surg 1999;34:794-9.
Usui N, Kamata S, Sawai T, et al. Outcome Predictors for Infants WITH Cystic Lung Disease. J Pediatr Surg 2004;39:603-6.
Laberge JM, Flageole H, Pugash D, et al. Outcome of prenatally diagnosed congenital cystic adenomatoid lung malformation: A Canadian experience. Fetal Diagn Ther 2001;16:178-86.













