L� emocromatosi neonatale o, meglio, l�epatite congenita alloimmune: nuove definizioni per nuove terapie
Clinica Pediatrica, IRCCS �Burlo Garofolo�, Trieste
Indirizzo per corrispondenza: sara83lega@hotmail.com
Neonatal haemochromatosis or, better, congenital alloimmune hepatitis: new definitions for new therapies
Keywords
Neonatal haemochromatosis, Acute liver failure, Alloimmune disease, Intravenous immunoglobulin
Summary
Neonatal Haemochromatosis (NH) is a rare gestational disease often presenting with foetal death or acute liver failure in the newborn. The disease is historically described as severe with low survival rates despite treatments. The mechanism leading to develop NH phenotype has been object of debate for long, and in recent years observations about the high rate of recurrence in siblings have led to hypothesize that NH is an alloimmune disease for which the definition of congenital alloimmune hepatitis would fit better. Based on the alloimmune hypothesis, intravenous immunoglobulin (IVIg) therapy was applied both to prevent recurrence in mothers at risk of bearing infants with NH and to treat neonates with the disease. The significant improvement in survival rates observed in both fields with IVIg treatment further supports the alloimmune hypothesis and represents a turning point for the history of the disease.
Introduzione al problema
L�emocromatosi neonatale (EN) � una malattia gestazionale caratterizzata sul piano clinico dall�associazione di danno epatico grave a esordio precoce (gi� dalla fine del II trimestre di gravidanza) e siderosi extraepatica, con una distribuzione del ferro depositato nei tessuti simile a quello dell�emocromatosi ereditaria1-4. Una delle modalit� pi� frequenti di presentazione della malattia, a causa della severit� del danno epatico, � la morte del feto che si verifica in genere tra il II e il III trimestre di gravidanza5,6.
Nel neonato, l�EN � una delle cause pi� frequenti di insufficienza epatica7,8, rappresenta inoltre una delle principali indicazione al trapianto di fegato (OLT, orthotopic liver transplantation) nei primi tre mesi di vita9,10. La prognosi � spesso severa, con una percentuale di sopravvivenza intorno al 20% nei pazienti trattati con l�associazione di ferrochelanti e antiossidanti8,11,12 e di circa il 50% nei pazienti sottoposti a OLT9; la probabilit� di recidiva in una gravidanza successiva a un caso � inoltre molto elevata, circa l�80%5,6.
In passato sono state proposte numerose ipotesi per spiegare l�origine dell�EN; l�ipotesi a oggi pi� convincente � che si tratti di una malattia alloimmune, causata cio� dal passaggio transplacentare di anticorpi materni diretti contro antigeni epatici non ancora identificati, e che la siderosi extraepatica tipica della malattia sia di fatto un epifenomeno del danno epatico severo e precoce10.
Proprio a partire dall�ipotesi alloimmune � stata proposta e sperimentata una terapia semplice (le immunoglobuline) che sembra essere efficace sia nel migliorare la sopravvivenza dei neonati affetti da EN che nel prevenire la ricorrenza del danno epatico nelle gravidanze successive6,13,14.
La clinica
In epoca neonatale il quadro di presentazione dell�EN � spesso quello di un neonato pretermine con una storia gestazionale caratterizzata da segni di sofferenza fetale (IUGR, oligoidramnios, segni ecografici indiretti di danno epatico con edema placentare o fetale al III trimestre)1 che a poche ore dalla nascita, o pi� raramente a distanza di giorni o settimane15, presenta ittero, edemi diffusi con o senza ascite, e segni di insufficienza multiorgano associati ai reperti laboratoristici dell�insufficienza epatica: ipoglicemia, ipoprotidemia con ipoalbuminemia, iperbilirubinemia (in molti casi sia diretta che indiretta) e coagulopatia marcata10.
La diagnosi differenziale in un quadro di questo genere si pone con le altre principali cause di insufficienza epatica: cause metaboliche, principalmente tirosinemia, mitocondriopatie, difetti congeniti del ciclo dell�urea che per� non danno mai un quadro di sofferenza fetale e in genere si presentano a qualche settimana dalla nascita e le cause infettive (principalmente HSV 1 e 2, CMV, HHV6) che possono condizionare il decorso dell�ultimo periodo della gravidanza ma che raramente si presentano con un danno epatico isolato7,8.
Gli elementi clinici e laboratoristici pi� importanti, anche se non strettamente specifici, che devono mettere in allarme sulla possibilit� che si possa trattare di una EN sono gli edemi diffusi e l�ascite spesso severa (si potrebbe dire che un�ascite neonatale � un�emocromatosi fino a prova contraria), la ipotransferrinemia con ipersaturazione della transferrina, l�aumento solo modesto delle aminotranferasi (come nel caso di N., vedi Box), e l�aumento invece importante dell�α-fetoproteina, dai 100.000 ai 600.000 ng/ml con valori normali < 80.000 ng/ml5 (che N. non aveva). L�iperferritinemia (> 800 ng/ml) � un reperto costante ma aspecifico, potendosi riscontrare in tutte le cause di insufficienza epatica neonatale12,16; di frequente riscontro � anche l�anemia10 (vedi Tabella I).
Box - Un caso clinico
N., secondogenito, nasce a 34 settimane di et� gestazionale da taglio cesareo per il riscontro ecografico di ascite fetale gi� a partire dalla 20� settimana. Le indagini prenatali (cariotipo, FISH, sierologia per parvovirus B19) erano risultate negative e non indirizzavano verso la causa dell�ascite.
Alla nascita il neonato si presenta in discrete condizioni generali (punteggio di Apgar 8-10) e di peso adeguato per l�et� (2280 g; 25�-50� percentile) colpiscono tuttavia l�imponente idrocele e l�ascite severa che, a causa del continuo recidivare, richiede di essere drenata a pi� riprese.
A breve distanza dal parto compare anche l�ittero e dalle indagini laboratoristiche si rende evidente un quadro di grave compromissione della funzionalit� epatica con alterazione degli indici di coagulazione (PT 43%; PTT 1,33), diminuzione dell� antitrombina III (21%) e del fibrinogeno (61 mg/dl) e ipoprotidemia (3,1 g/dl). La ferritina risulta solo moderatamente aumentata (836 ng/ml, poi 1732 ng/ml con vn fino a 800 ng/ml) e le transaminasi (TGO 94 U/I e TGP 43 U/I), cos� come l�α-fetoproteina e la γGT, rimangono sempre vicine ai limiti di normalit�.
Per il persistere del quadro di danno epatico, in 16� giornata di vita, si decide di eseguire una biopsia epatica che evidenzia un quadro di necrosi epatocitaria focale, con fibrosi periportale, microproliferazione duttale e cospicui depositi ferrici a livello epatocitario.
A questo punto, avendo escluso le principali cause infettive e le cause metaboliche di insufficienza epatica neonatale, visto il quadro ematochimico e bioptico suggestivo, viene posta la diagnosi di emocromatosi neonatale.
Per l�aggravarsi dell�insufficienza epatica si decide di avviare N. all�OLT e in attesa del trapianto viene iniziata la terapia medica con acetilcisteina e selenio sulla base delle evidenze riportate in letteratura circa possibile beneficio della terapia medica nelle forme meno severe della malattia; il trapianto di fegato viene eseguito con successo.
Tabella I. Quadro laboratoristico dell�emocromatosi neonatale.
-
Glucosio ↓ ↓ INR ≥ 2 PT ≥ 20 Albumina ↓ ↓ Bilirubina ↑ ↑ AST N/↑ ALT N/↑ AFP ↑ ↑ Ferritina > 800 ng/ml % sat. transferrina ↑ ↑ Transferrina ↓ Transferrina
↓
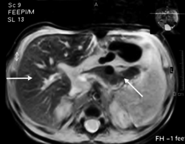
Una volta avanzato il sospetto, ed escluse le altre cause di insufficienza epatica in epoca neonatale, la diagnosi di certezza si ottiene documentando l�accumulo di ferro nei tessuti extraepatici10. Le indagini proposte a questo proposito sono la biopsia delle ghiandole salivari17,18 (Figura 1), che di per s� � un'indagine aspecifica, ma che assume un significato diagnostico importante inserita nel contesto clinico e laboratoristico4, e la risonanza magnetica (RM)8,19. Nel neonato con EN i depositi di ferro interessano tipicamente cuore, pancreas esocrino, tiroide e ghiandole sottomucose, che risultano quindi ipointensi nelle sequenze RM pesate in T2, risparmiando i tessuti del sistema reticolo endoteliale2,3: milza e linfonodi (Figura 2). Anche la siderosi epatica � evidente all�RM ma si tratta di un reperto non esclusivo di EN che in alcuni casi pu� addirittura mancare19,20.
La biopsia epatica non viene in genere indicata come esame diagnostico, anche perch� pu� essere un esame rischioso vista la coagulopatia, pu� comunque essere indicata per stabilire la severit� del danno epatico e guidare la scelta terapeutica21,22. Il quadro istologico mostra danno epatico severo e cirrosi; il normale parenchima pu� essere completamente sostituito da elementi necrotici e tessuto fibroso. Possono poi essere presenti noduli di rigenerazione e depositi granulari di ferro, frequenti ma non sempre presenti, a livello epatocitario5.
Figura 1. Depositi granulari di emosiderina nelle ghiandole salivari (freccia). Da voce bibliografica 17.
Figura 2. Siderosi epatica e pancreatica (frecce): l�intensit� del segnale � marcatamente ridotta alle sequenze RMN pesate in T2. La milza � risparmiata. Da voce bibliografica 31.

Perch� si verifica?
L�ipotesi a oggi pi� convincente, avanzata da Whitington et al., circa la patogenesi dell�emocromatosi neonatale � che si tratti di una malattia alloimmune, sul modello dell�eritroblastosi fetale, e che la siderosi tipica di questa malattia sia di fatto un epifenomeno del danno epatico immunomediato10,22. Per questo motivo gli stessi autori suggeriscono la definizione, pi� appropriata, di �epatite congenita alloimmune�10.
Sia l�alto tasso di recidive (circa l�80%) nelle gravidanze successive a un caso indice5,23, sia la possibilit� per una donna di avere un secondo bambino affetto seppur con un padre diverso, ma non viceversa5,6, sono evidenze a favore dell�ipotesi immunologica e del fatto che l�EN sia una malattia allo immune causata dal sistema immunitario della madre e rivolta contro il feto e non una malattia primitiva fetale. L�ipotesi alloimmune proposta da Whintington et al. ha ribaltato quanto si riteneva in passato, ovvero che il danno epatico fosse secondario all�accumulo di ferro geneticamente determinato (in analogia con le forme di emocromatosi ereditaria), aprendo nuove importanti prospettive circa il trattamento dei neonati con EN di cui parleremo di seguito.
Per capire come la siderosi possa essere conseguenza del danno epatico � necessario ricordare il ruolo del fegato nella regolazione dell�omeostasi del ferro. Il fegato produce alcune proteine fondamentali per lo stoccaggio e la distribuzione del ferro nell�organismo, tra queste la transferrina e l�epcidina. Il ruolo della transferrina � quello di trasportare il ferro nel sangue e favorirne l�introduzione nelle cellule. L�epcidina d�altra parte ha la funzione di limitare l�ingresso del ferro nel circolo in condizioni di bilancio positivo (Figura 3a). L�epcidina agisce inducendo l�internalizzazione e la distruzione della ferroportina5,24, una proteina transmembrana che funziona come porta di ingresso nel circolo del ferro proveniente dal duodeno nella vita postnatale e dalla placenta nel feto, e dal sistema reticolo endoteliale25.
In presenza di un danno epatico imponente come quello che si verifica nell�emocromatosi neonatale, la produzione di epcidina e transferrina risulterebbe compromessa. In assenza di epcidina ci sarebbe un ingresso incontrollato di ferro nel circolo fetale (attraverso la placenta e dai depositi del sistema reticolo-endoteliale). Il ferro rimarrebbe per lo pi� libero a causa della carenza di transferrina e andrebbe a depositarsi in quei tessuti in grado di captare il ferro non legato alla transferrina5,22 ovvero pancreas esocrino, miocardio, tiroide e ghiandole submucose che sono di fatto i tessuti dove il metallo si accumula nella EN (Figura 3b). Il perch� tutto ci� avvenga esclusivamente nell�epatite congenita alloimmune e non nelle altre cause di insufficienza epatica neonatale non � del tutto chiaro ma si ipotizza possa essere correlato alla peculiare severit� e precocit� di insorgenza del danno epatocitario22.
Figura 3. (a) In condizioni normali il fegato produce transferrina ed epcidina che regolano l�omeostasi del ferro nell�organismo. La transferrina trasporta il ferro nel plasma mentre l�epcidina regola negativamente l�ingresso del ferro nel sistema dalla placenta e dalle cellule del sistema reticolo endoteliale. (b) In condizioni di danno epatico severo transferrina ed epcidina non sono prodotte si verifica quindi un ingresso incontrollato di ferro che si deposita a livello dei tessuti in grado di internalizzare il ferro senza l�aiuto della TRF. Modificata da voce bibliografica 32.

Qual � prognosi? Quale la terapia? Che ruolo hanno le immunoglobuline?
Nella maggior parte dei casi la prognosi dell�EN � infausta, con una aspettativa di vita di giorni o settimane1,10,12. In alcuni casi tuttavia � stata descritta una guarigione spontanea (con la sola terapia di supporto) con normalizzazione dei parametri clinici e laboratoristici, risoluzione della cirrosi e normalizzazione quadro istologico a livello epatico10,21,26-28.
Le opzioni terapeutiche pi� a lungo utilizzate con l�intento di modificare la storia naturale della malattia, sono una terapia medica, che prevede l�associazione di ferrochelanti (desferroxamina) e antiossidanti (acetilcisteina, selenio, vitamina E, PGE1)10 e il trapianto di fegato.
Il trattamento con la sola terapia medica, utilizzata partendo dall�ipotesi, oggi difficile da sostenere, che l�accumulo di ferro potesse essere il primum movens del danno epatico, sembra di fatto scarsamente efficace nel modificare il decorso della malattia se non nei casi meno severi12.
Il trapianto di fegato, d�altro canto, anche se sembrerebbe dare maggiori possibilit� di sopravvivenza28,29, pu� essere di difficile esecuzione per la prematurit�, il basso peso e l�insufficienza d�organo multisistemica30. Inoltre sembra non poter essere l�unica opzione terapeutica, vista la possibilit� della malattia di regredire completamente a livello istologico lasciando il fegato indenne21.
Un approccio pi� razionale al trattamento dell�EN, alla luce delle acquisizioni sulla patogenesi alloimmune della malattia, si basa sull�utilizzo delle immunoglobuline endovena (IgIV).
Le IgIV sono state studiate sia nel trattamento del neonato con EN che nella prevenzione della ricorrenza della malattia nelle donne con precedente neonato affetto da EN e il loro utilizzo sembra di fatto poter modificare la storia naturale della malattia e migliorare la prognosi dei pazienti.
In un recente studio di Rand et al.13, 16 neonati con diagnosi di EN e insufficienza epatica sono stati trattati con alte dosi di IgIV, con l�associazione di exanguinotrafusione (ET) in 13 casi. Scopo dello studio era di valutare la percentuale di sopravvivenza senza ricorso al trapianto di fegato dei pazienti trattati con ET/IgEV a confronto con una gruppo di controlli storici (131 pazienti) trattati con le terapie convenzionali (antiossidanti e ferrochelanti o sola terapia di supporto). Nei soggetti trattati con ET/IgEV la percentuale di sopravvivenza senza ricorso all�OLT � stata del 72% (12/16 neonati) contro il 17% (23/131) dei controlli storici. Tra i pazienti sopravvissuti, trattati con ET/IgEV, tutti sono andati incontro a completa guarigione normalizzando il quadro clinico e laboratoristico.
Per quanto riguarda invece la profilassi delle recidive nei neonati da madri con una storia di EN in una precedente gravidanza, ci sono crescenti evidenze circa l�efficacia delle IgIV, somministrate settimanalmente endovena a partire dalla 18a settimana di gestazione alla dose di 1 g/kg di peso corporeo, nell�attenuare l�espressione della malattia nelle gravidanze successive. Nonostante infatti in molti neonati ci sia evidenza laboratoristica di danno epatico (aumento dell�alfafetoproteina, iperferritinemia, INR > 2), la perdita fetale � un evenienza rara e non si verifica mai una insufficienza epatica clinicamente evidente14. La maggior parte di questi neonati guarisce senza alcuna terapia, e senza segni di danno epatico residuo6,14.
Conclusioni
L�EN rappresenta una delle cause pi� frequenti di insufficienza epatica nel neonato e il suo esordio si colloca gi� in epoca fetale. La prognosi di questa malattia � severa nella maggior parte dei casi non trattati o trattati con le terapie convenzionali e la percentuale di recidiva nelle gravidanze successive a un caso � estremamente elevata.
L�EN � certamente una malattia rara, ma merita di essere conosciuta soprattutto alla luce delle recenti acquisizioni sulla patogenesi che hanno aperto nuove prospettive terapeutiche rappresentando una svolta importante nella storia della malattia.
L�utilizzo IgIV a scopo terapeutico sembra infatti poter migliorare la probabilit� di sopravvivenza senza ricorso all�OLT dei neonati affetti da EN, mentre il loro impiego nelle madri con storia di EN in una precedente gravidanza sembra poter attenuare l�espressione fenotipica della malattia nei casi di recidiva, impedendo lo sviluppo di insufficienza epatica severa e favorendo la guarigione spontanea.
Bibliografia
1. Knisely AS, Mieli-Vergani G, Whitington PF. Neonatal hemochromatosis. Gastroenterol Clin North Am 2003;32:877-89.
2. Knisely AS. Neonatal hemochromatosis. Adv Pediatr 1992;39:383-403.
3. Goldfischer S, Grotsky HW, Chang CH, et al. Idiopathic neonatal iron storage involving the liver, pancreas, heart, and endocrine and exocrine glands. Hepatology 1981;1:58-64.
4. Murray KF, Kowdley KV. Neonatal hemochromatosis. Pediatrics 2001;108:960-4.
5. Whitington PF. Fetal and Infantile hemochromatosis. Hepatology 2006;43:654-60.
6. Whitington PF, Hibbard JU. High-dose immunoglobulin during pregnancy for recurrent neonatal haemochromatosis. Lancet 2004;364:1690-8.
7. Durand P, Debray D, Mandel R, et al. Acute liver failure in infancy: a 14-year experience of a pediatric liver transplantation center. J Pediatr 2001;139:871-6.
8. Whitington PF, Kelly S, Ekong UD. Neonatal hemochromatosis: fetal liver disease leading to liver failure in the fetus and newborn. Pediatr Transplant 2005;9:640-5.
9. Rodrigues F, Kallas M, Nash R, et al. Neonatal hemochromatosis: medical treatment vs transplantation: the king�s experience. Liver Transpl 2005;11:1417-24.
10.Whitington PF. Neonatal hemochromatosis: a congenital alloimmune hepatitis. Semin Liver Dis 2007;27:243-50.
11. Sigurdsson L, Reyes J, Kocoshis SA, et al. Neonatal hemochromatosis: outcomes of pharmacologic and surgical therapies. J Pediatr Gastroenterol Nutr. 1998;26:85-9.
12. Flynn DM, Mohan N, McKiernan P, et al. Progress in treatment and outcome for children with neonatal haemochromatosis. Arch Dis Child Fetal Neonatal Ed 2003;88:F124-7.
13. Rand EB, Karpen SJ, Kelly S, et al. Treatment of neonatal hemochromatosis with exchange transfusion and intravenous immunoglobulin. J Pediatr 2009;155:566-71.
14 Whitington PF, Kelly S. Outcome of pregnancies at risk for neonatal hemochromatosis is improved by treatment with high-dose intravenous immunoglobulin. Pediatrics2008;121:e1615-21.
15. Ku SW, Luk IS, Yuen MK, Wong CP. Subacute hepatic failure after the perinatal period with haemochromatotic siderosis at the age of 11 months: an unusual perspective on neonatal haemochromatosis. Acta Paediatr 2002;91:856-8.
16. Lee WS, McKiernan PJ, Kelly DA. Serum ferritin level in neonatal fulminant liver failure. Arch Dis Child Fetal Neonatal Ed 2001;85:F226.
17. Knisely AS, O�Shea PA, Stocks JF, Dimmick JE. Oropharyngeal and upper respiratory tract mucosal-gland siderosis in neonatal hemochromatosis: an approach to biopsy diagnosis. J Pediatr 1988;113:871-74.
18. Smith SR, Shneider BL, Magid M. Minor salivary gland biopsy in neonatal hemochromatosis. Arch Otolaryngol Head Neck Surg 2004;130:760-63.
19. Hayes AM, Jaramillo D, Levy HL, et al. Neonatal hemochromatosis: diagnosis with MR imaging. Am J Radiol 1992;159:623-25.
20. Saenz MS, Van Hove J, Scharer G. Neonatal liver failure: a genetic and metabolic perspective. Curr Opin Pediatr. 2010;22:241-5.
21.Ekong UD, Melin-Aldana H, Whitington PF. Regression of severe fibrotic liver disease in 2 children with neonatal hemochromatosis.J Pediatr Gastroenterol Nutr. 2008;46:329-33.
22. Pan X, Kelly S, Melin-Aldana H, Malladi P, Whitington PF. Novel mechanism of fetal hepatocyte injury in congenital alloimmune hepatitis involves the terminal complement cascade.Hepatology. 2010;51:2061-8.
23. Shneider BL. Genetic counseling in neonatal hemochromatosis. J Pediatr Gastroenterol Nutr 2002;34:328.
24. Nemeth E, Tuttle MS, Powelson J, et al. Hepcidin regulates cellular iron efflux by binding to ferroportin and inducing its internalization. Science 2004;306:2090-93.
25. Donovan A, Lima CA, Pinkus JL, et al. The iron exporter ferroportin/Slc40a1 is essential for iron homeostasis. Cell Metab 2005;1:191-200.
26. Inui A, Fujisawa T, Kubo T, et al. A case of neonatal hemochromatosis-like liver failure with spontaneous remission. J Pediatr Gastroenterol Nutr 2005;40:374-377.
27. Bellini C, Mazzella M, Scopesi F, Serra G. Spontaneous recovery in neonatal hemochromatosis. J Hepatol 2004;41:882-883.
28. Grabhorn E, Richter A, Burdelski M, Rogiers X, Ganschow R. Neonatal hemochromatosis: long-term experience with favorable outcome. Pediatrics 2006;118:2060-5.
29. Heffron T, Pillen T, Welch D, et al. Medical and surgical treatment of neonatal hemochromatosis: single center experience. Pediatr Transplant 2007;11:374-8.
30. Sundaram SS, Alonso EM, Whitington PF. Liver transplantation in neonates. Liver Transpl 2003;9:783-8.
31. Escolano-Margarit MV, Miras-Bald� MJ, Parrilla-Roure M, Rivera-Cuello M, Narbona-L�pez E. Exchange Transfusion as a Possible Therapy for Neonatal Hemochromatosis. J Pediatr Gastroenterol Nutr 2010;50:566-8.
32. Pietrangelo A. Hereditary hemochromatosis: a new look at an old disease. N Engl J Med 2004;350:2383-97.
Suggerite dall'AI
