|
Albo nazionale per scelta dei manager in sanità
Si realizza rivoluzione Lorenzin
Vai
alla fonte
(DIRE-Notiziario Sanità) Roma, 6 mag. - Per diventare direttore generale di una azienda sanitaria occorrerà superare una concorso nazionale, previsto dalla norme volute dal ministro della salute Beatrice Lorenzin. Si realizza cosi, con l'approvazione in data odierna del Ddl Madia da parte del Senato della Repubblica, una vera e propria rivoluzione per la sanità italiana.
La selezione avverrà per titoli di studio, scientifici e di carriera, dinanzi ad una commissione nazionale di esperti. I soggetti selezionati, se in possesso dei necessari titoli di onorabilità, potranno iscriversi ad un elenco tenuto presso il ministero della salute, aggiornato con cadenza biennale e previa nuova selezione. Potrà essere nominato direttore generale soltanto chi, avendo superato la selezione, è iscritto in tale elenco. Nel caso in cui il direttore generale non raggiunga gli obiettivi prefissati sia economico finanziari, sia con riferimento ai Livelli essenziali di assistenza e al programma valutazione esiti, o incorra in fatti di mala gestio, sarà soggetto alla decadenza automatica dall'incarico e il suo nominativo verrà cancellato dall'elenco nazionale. Non sarà pertanto più nominabile presso alcuna azienda sanitaria, fatto salvo il superamento di un nuovo concorso.
"Sulla scorta di esperienze passate e di quanto verificato dall'inizio del mio mandato- dichiara il ministro Lorenzin- ho sempre sostenuto che la sanità funziona dove ci sono bravi manager. Sono loro a rendere efficienti o meno le aziende sanitarie. Non è un caso che registriamo costantemente l'apparente paradosso di una sanità che funziona peggio li dove costa di più. È per questo che ho voluto un albo nazionale, con regole d'ingresso precise e trasparenti, dal quale potere valutare i migliori, dare alle Regioni la possibilità di scegliere tra chi ha un elevato profilo. A questi manager dovranno essere affidati obiettivi alti. Se non li raggiungono vengono depennati, vanno a casa".
La rivoluzione arriva anche per direttori sanitari e amministrativi. Anche per questi la nomina sarà possibile soltanto all'esito di un una selezione per titoli di studio, scientifici e di carriera su base regionale e previa iscrizione in un apposito albo. Se il direttore sanitario o amministrativo non raggiungerà gli obiettivi contrattuali prefissati ovvero incorrerà in fatti di mala gestio anche per lui scatterà la decadenza automatica dall'incarico e la cancellazione dall'albo.
"Finalmente i soggetti cui è demandata la gestione delle nostre aziende sanitarie e dei nostri ospedali verranno selezioni sulla base di criteri effettivamente meritocratici, senza alcuna interferenza della politica. È un'altra promessa mantenuta per una sanità migliore" conclude Lorenzin.
Cinque milioni bambini al Pronto Soccorso ogni anno, una guida per usarlo bene
Dai medici d’urgenza l’elenco dei campanelli d'allarme
Vai
alla fonte
Dalla Simeup arrivano anche alcuni suggerimenti utili in situazioni frequenti che possono invece richiedere una visita in Pronto Soccorso:
Febbre:
- nel lattante con età inferiore a tre mesi se non è stato possibile farlo visitare al curante
- nei bambini più grandi se la febbre è elevata, persistente, risponde poco alla terapia antipiretica e si associa a stato di sofferenza e condizioni generali compromesse
- se in presenza di febbre il bambino presenta crisi convulsive soprattutto se di età inferiore a un anno.
Vomito:
- il bambino ha bisogno di cure urgenti se presenta vomito ripetuto e non riesce ad assumere liquidi soprattutto se di età inferiore a 1 anno se presenta altri sintomi che possono portare alla disidratazione come la febbre e numerose scariche di diarrea
- se oltre al vomito presenta: secchezza della cute e della mucosa orale, occhi cerchiati, mancanza di lacrime, ridotta emissione di urine;
- se vomita e non evacua da 24 ore soprattutto se di età inferiore a 1 anno
- se il vomito è francamente ematico o di colore verde scuro o simile al caffè.
Diarrea:
- se presenta diarrea ripetuta e non riesce ad assumere liquidi (vomito) soprattutto se di età inferiore a 1 anno
- se presenta diarrea da oltre 24 ore con più di 5-6 scariche al giorno e non assume liquidi oppure presenta segni di disidratazione
- diarrea francamente ematica o la sola emissione di sangue tipo "gelatina".
Dolore addominale:
- se non evacua da oltre 24 ore, presenta vomito, febbricola e se il dolore viene localizzato nelle regioni inferiori destra dell'addome (regione appendicolare), se presenta dolore addominale nelle ore successive ad un trauma della regione interessata.
Trauma cranico:
- se il bambino ha perso conoscenza al momento dell'impatto (trauma cranico commotivo), o presenta vomito, qualche ora dopo il trauma, con tendenza all'addormentamento, con pianto inconsolabile, strabismo, difficoltà alla deambulazione, cefalea.
Cefalea:
- se accompagnata da febbre e/o da vomito e non regredisce con la somministrazione di comuni antifebbrili e/o antidolorifici.
Difficoltà respiratoria:
- i bambini, soprattutto se di età inferiore all'anno, con difficoltà respiratoria vanno tutti portati con urgenza in Pronto Soccorso se non è nota la causa e non si dispone di prescrizioni del proprio medico (esempio asma conosciuta).
Un decreto per il test delle malattie ereditarie dei neonati
Ministero Salute lo avvia a Stato Regioni, costo 10 mln l’anno
Vai
alla fonte

Entro 48 ore dalla nascita, grazie a un esame non invasivo, sarà possibile identificare un ampio gruppo di malattie prima che queste si manifestino clinicamente, evitando danni invalidanti al neonato e, in alcuni casi, la sua morte. Per l'esecuzione degli screening sono stanziati dieci milioni di euro per anno, a decorrere dal 2015. A prevederlo è lo schema di decreto che il Ministro della Salute ha trasmesso alla Conferenza Stato-Regioni, per il previsto parere, anche in via sperimentale, dello screening neonatale per la diagnosi precoce di una serie di patologie metaboliche ereditarie. Lo schema di decreto è stato predisposto grazie alla collaborazione tra il Ministero della Salute, l'Istituto Superiore di Sanità, l'Agenzia Nazionale per i Servizi Sanitari Regionali, i rappresentanti delle regioni e delle Società scientifiche di settore. "Grazie a questo provvedimento, potranno essere rafforzati ed estesi gli attuali programmi di screening neonatale, per un'efficace prevenzione delle malattie metaboliche ereditarie, favorendo la massima uniformità nell'applicazione della diagnosi precoce neonatale sull'intero territorio nazionale. In questo modo si potrà evitare che i bambini affetti da queste patologie subiscano danni causati da un ritardo diagnostico".
I neonati sentono il dolore fisico quanto gli adulti
Vai
alla fonte

Studi britannici sfatano la leggenda secondo la quale i bambini sarebbero meno sensibili dei grandi. Un errore le terapie in corsia somministrate senza antidolorifici
Chi l’ha detto che i bambini sentono meno dolore? In realtà lo percepiscono anche più degli adulti. Ad affermarlo è uno studio pubblicato sulla rivista Life ad opera degli scienziati della University of Oxford (Regno Unito). Analizzando le risonanze magnetiche di un gruppo di neonati i ricercatori hanno scoperto che le aree cerebrali che si attivano in seguito al dolore sono le stesse degli adulti. Un risultato che costringe i medici a pensare con più attenzione al trattamento del dolore nei bambini.
Il dolore è percepito dal piccolo a partire dalla 24ma settimana di gestazione
Da diversi anni la ricerca scientifica ha operato una vera e propria rivoluzione culturale nei confronti del dolore. In passato si è sempre creduto che nei bambini la percezione e la memoria dell’evento doloroso fosse minima. In realtà diversi studi hanno dimostrato che già a partire dalla 24esima settimana di età gestazionale sono presenti le basi anatomiche e fisiologiche per la percezione del dolore.
Effetti anche a lungo termine sui bambini
Per il neonato, in particolare, è stato scoperto che il sistema neuro-eccitatorio, ovvero l’organizzazione nervosa deputata al trasporto verso il cervello degli stimoli sensitivi, ha un rapido sviluppo, mentre le vie inibitorie, che dal cervello modulano l’intensità degli stimoli in arrivo, maturano più lentamente. La conseguenza è che nel neonato la trasmissione del dolore attraverso il midollo spinale è amplificata e solo dopo settimane si ha lo sviluppo di un adeguato sistema di controllo. Ecco perché, in base a quanto si osserva dal punto di vista anatomico, i neonati dovrebbero avvertire dolore con una intensità maggiore degli adulti. Non solo, alcune studi hanno dimostrato che sottostimare l’intensità del dolore delle procedure chirurgiche può comportare alterazioni psicologiche e fisiologiche già nei primi mesi di vita.
L’esperimento su 10 adulti e 10 bambini esaminati insieme
Nonostante queste evidenze mai nessuno era riuscito però a dimostrare con certezza cosa avvenga nel cervello quando un bambino sente dolore. Nello studio gli scienziati inglesi hanno esaminato dieci bambini sani di età compresa tra uno e sei giorni di vita e dieci adulti. Neonati e adulti sottoposti a piccoli stimoli dolorosi sono stati monitorati attraverso una risonanza magnetica funzionale. Al confronto delle scansioni i ricercatori hanno scoperto che 18 delle 20 aree cerebrali attive negli adulti durante il dolore risultavano esserlo anche nei neonati e che i cervelli dei piccoli avevano le stesse reazioni di quelli degli adulti a uno stimolo inferiore di quattro volte.
In base alla scoperta dovranno essere modificate alcune terapie ospedaliere
Come spiega la dottoressa Rebeccah Slater, la responsabile dello studio, «C’è chi ha sostenuto che i cervelli dei neonati non siano sviluppati a sufficienza per sentire il dolore e che qualsiasi loro reazione sia da considerarsi solo un riflesso. Il nostro studio però fornisce la prima prova evidente che non è così». Risultati importanti che costringeranno ora i medici a ripensare la gestione del dolore. Un recente studio ha evidenziato che, sottoposti a una media di 11 procedure dolorose al giorno, il 60% dei piccoli non ricevono alcun tipo di antidolorifici.
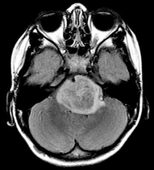
Tumore cerebrale infantile, ecco il farmaco della speranza
Vai
alla fonte

Attraverso screening farmacologico e genomica, i ricercatori hanno identificato una sostanza già nota che inibisce la crescita cellulare in vitro e nei topi
È stato annunciato come un possibile candidato per il trattamento di uno dei tumori cerebrali infantili più aggressivi, il glioma pontino diffuso, che colpisce bambini da 4 a 9 anni. Il composto panobinostat (LBH589), già in uso nel trattamento di diverse forme tumorali, è stato identificato in uno studio multicentrico appena pubblicato sulla rivista Nature Medicine.
Si tratta di uno dei primi studi a combinare screening farmacologico e genomica per identificare eventuali sostanze in grado di arrestare l’avanzata del temibile tumore, bloccandone la proliferazione cellulare o inducendo l’apoptosi; in altre parole, individuare potenziali terapie da testare con trial clinici.
Come sono avvenuti i test sul nuovo farmaco
Il team di scienziati ha analizzato i campioni di tessuto provenienti da 16 pazienti europei e statunitensi. Quindi, ha passato in rassegna oltre 80 composti già a disposizione per trovare quello più efficace contro il tumore in vitro, concentrandosi sui farmaci epigenetici, ovvero sostanze che agiscono sugli enzimi che regolano l’espressione genica. Tra di essi, il principio attivo panobinostat, inibitore di un particolare enzima (l’istone deacetilasi) si è dimostrato in grado di arrestare la crescita del tumore. Alterando geneticamente le cellule del tumore, gli scienziati hanno constatato che proprio il blocco dello stesso enzima ne inibiva la proliferazione. Infine, gli autori hanno testato su modelli murini i risultati ottenuti in vitro e, iniettando la sostanza nei topi, hanno visto un effettivo arresto della crescita tumorale e un aumento della longevità degli animali.
Che cosa c’è alla base della malattia: il glioma pontino diffuso
Il glioma pontino diffuso, con una mortalità che a cinque anni raggiunge il 100%, è la principale causa di decessi per tumore cerebrale in età pediatrica ed «è il secondo tumore cerebrale infantile più diffuso». I pazienti perdono il controllo dei muscoli e i sintomi si sviluppano rapidamente e sono devastanti «perché il tumore è localizzato in una struttura critica del cervello situata nel tronco encefalico, il ponte, costituito prevalentemente da fibre di connessione tra il cervello e la colonna spinale. Il tumore è infiltrante, ovvero si insinua nel tessuto cerebrale sano, e non è quindi aggredibile chirurgicamente». Quindi, il trattamento usualmente è limitato alla sola radioterapia e chemioterapia, senza neppure effettuare la biopsia.
Depressione nei bambini, quei segnali per distinguere il disturbo dai capricci
Vai
alla fonte

Secondo diversi studi, il fenomeno colpisce il 2% dei più piccoli e il 4-8% degli adolescenti. Loro non sono in grado di descrivere il malessere, ma ci sono dei comportamenti che possono aiutare i genitori a intervenire. L'esperta spiega quali sono questi indicatori, che ruolo può avere la scuola, come si arriva a una diagnosi e quali sono percorsi di cura più efficaci.
Salimbene de Adam da Parma, religioso e scrittore, nella sua "Cronica" del 1200 riporta la leggenda secondo cui l'imperatore Federico II di Svevia voleva scoprire che lingue avrebbero parlato i bambini se nessuno avesse mai comunicato con loro. Così alcuni piccoli vennero sottratti alle loro madri e affidati a delle balie, nutrici con l'ordine di dar loro da mangiare, lavarli, cambiarli, dissetarli. Ma senza mai parlare con loro. La leggenda narra che l'esperimento si concluse tragicamente. Tutti i bambini dati alle balie morirono, mentre quelli lasciati con le madri, autorizzate a parlare loro, sopravvissero.
È la prima descrizione di una gravissima forma di depressione infantile, quella cosiddetta "anaclitica" che molti secoli dopo, passata la Seconda guerra mondiale, gli psicanalisti John Bowlby e René Spitz osservarono nei bambini ospiti di un orfanotrofio, ben curati e nutriti, ma privati delle cure, del contatto, delle attenzioni e dell'amore delle loro mamme: 27 su 34 di loro morirono entro un anno.
L'aumento di attenzione e sensibilità verso i bambini e il progresso delle scienze finalizzate a interpretare i loro comportamenti, sentimenti e disagi, consentono oggi di dire che anche loro, come gli adulti, possono soffrire di depressione. Ne abbiamo parlato con l'esperta Adelia Lucattini: "Nei primissimi anni di vita, e in particolare nei bambini da zero a 10 anni - spiega la psichiatra, psicoterapeuta e psicoanalista - la depressione è un fenomeno piuttosto frequente. È diagnosticabile in età pre-scolare, tra i 2 e i 5 anni, e anche da 0 a 3 anni, benché si tratti di una situazione molto più rara. A parte alcune forme gravi e ben conosciute, la depressione più frequente è anche la meno grave, ma provoca ovviamente una grande sofferenza nel bambino e nella sua famiglia. Inoltre, se non riconosciuta e trattata, può avere delle ripercussioni importanti sulla sua vita presente e sul suo sviluppo, e quindi sul suo futuro di adolescente e di adulto".
Quanti bimbi ne soffrono
Molti studi epidemiologici riportati dal Ministero della Salute hanno stimato che il 2% dei bambini ha avuto almeno un episodio depressivo nel corso della vita, percentuale che sale al 4-8% tra gli adolescenti. Ma mentre è cosa certa che le ragazze abbiano maggior probabilità di imbattersi nella depressione, per i bambini non esistono stime ufficiali che differenzino la situazione tra maschi e femmine. "Le forme depressive nei bambini sono generalmente reattive rispetto a eventi traumatici personali e familiari, a malattie fisiche importanti, a disturbi specifici dell'apprendimento, talvolta all'adozione. Il bambino depresso di rado appare triste, piange o parla del proprio stato, perché non è in grado di dire che cos'è quello che sente. lo sente, ma non sa dargli un nome. Questa difficoltà è essa stessa causa di un disagio che può impedire al piccolo di superare naturalmente la cosa".
Può addirittura capitare, spiega l'esperta, che alcuni bambini parlino di suicidio o dicano che morire "sarebbe meglio", pur non essendoci la piena consapevolezza del significato "reale" della parola "morte" prima degli 8-9 anni. "Sono comunque segnali che non vanno mai sottovalutati o sminuiti e che anzi possono essere lo spunto per iniziare un discorso sulle paure, le perdite, le separazioni, sulla tristezza e la felicità".
I segnali del disturbo
Ma come può un genitore capire se il suo bambino è capriccioso o depresso? "I piccoli depressi hanno tutti dei disturbi del comportamento evidenti che vengono sopportati inizialmente poiché i genitori sperano che possano passare spontaneamente, e in linea generale è così. Solo se i comportamenti continuano, e si manifestano sia scuola che a casa, e solo se il bambino comincia avere difficoltà a dormire, a mangiare, se diventa aggressivo, risponde male, è impertinente o reagisce fisicamente, magari 'picchiando' gli amichetti, i fratellini e anche i genitori, allora è importante chiedersi se possa essere depresso".
Il ruolo della scuola
Che ruolo ha questa istituzione così fondamentale nell'aiutare questi bambini e i loro genitori? "Un ruolo importantissimo. Le insegnanti stanno a contatto con i piccoli molte ore al giorno, sono attenti osservatori dei loro comportamenti e del loro rendimento, della loro capacità di stare insieme agli altri e di interagire con gli adulti. La scuola è insomma una grande risorsa per i figli e i loro genitori, e gli insegnanti, pur non potendo sapere che cosa un bambino abbia realmente o non riuscendo a spiegarsi perché tenga un certo tipo di comportamento, possono rilevare con molta attenzione e precisione il suo stato d'animo, e spesso lo descrivono molto bene e sono i primi a parlarne con i genitori.
Il percorso della diagnosi
E ora veniamo al capitolo più ostico: come si fa e soprattutto chi deve fare la diagnosi? Un primo ruolo importante spetta al pediatra. E' importante che egli valuti che non ci siano malattie fisiche che, proprio come negli adulti, portano con sé sintomi depressivi. Il passo successivo è far fare un'osservazione del bambino allo psicoterapeuta infantile, per permettere un inquadramento diagnostico e l'individuazione di eventuali disturbi specifici dell'apprendimento (dislessia, disortografia, discalculia, disprassia), che faranno orientare per una successiva valutazione da parte di un neuropsichiatra infantile.
Le cure possibili
"La depressione infantile è qualcosa che si cura. E che si cura con la psicoterapia: attualmente la psicoterapia analitica o l'analisi sono considerate tra le forme più efficaci per ottenere risultati a breve e lungo termine. Nelle forme lievi, l'impiego dei farmaci solitamente non è indicato".
Pericolo soffocamento, la top 10 da pile a pistacchi
Dal ministero Salute le regole da seguire per la sicurezza in casa dei bambini
Vai
alla fonte

Dalle pile ai pistacchi, sono tanti gli oggetti e alimenti 'a rischio soffocamento' per i bimbi. Dal ministero della Salute arriva la Top ten degli elementi pericolosi cui fare attenzione quando un bambino sotto ai 4 anni entra in casa nostra: giocattoli smontabili, pile al litio, magneti, detersivi, tappetti delle penne, palline di ogni tipo e materiale, caramelle rotonde e grandi, pistacchi e nocciole in salotto, monete, ciondoli e bottoni.
La maggior parte dei cibi responsabili di gravi incidenti da soffocamento, avvertono inoltre gli esperti, ha caratteristiche precise: sono alimenti piccoli, rotondi o di forma cilindrica (come uva, arachidi, pistacchi), sono appiccicosi, sono alimenti che pur tagliati non perdono la loro consistenza (pere, pesche, prugne, susine, biscotti fatti in casa), si sfilacciano aumentando l'adesione alle mucose (grasso del prosciutto crudo, finocchio), hanno una forte aderenza (carote julienne, prosciutto crudo). Molti di questi alimenti, poi, possono essere resi ancora più pericolosi dalla modalità di somministrazione e dal modo in cui vengono cucinati. Occhio dunque a cibi e oggetti, ma ci sono ancora altre situazioni da considerare per garantire la sicurezza in casa.
Queste le regole da seguire: pensa con la mente imprevedibile di un bambino e rendi più sicura la casa; controlla che in cucina, sotto al lavello, non ci siano le pasticche per la lavastoviglie (sono caustici non detersivi e sono pericolosissime) e similari; in salone controlla che caramelle, pistacchi, nocciole, taralli non siano sul tavolo basso, o alla portata di bambino; i telecomandi è meglio tenerli in alto e fuori dalla portata dei bambini: a volte cadendo escono le pile al litio che sono pericolosissime; applica ai cassetti bassi le molle di sicurezza anti-apertura bimbo, soprattutto se al loro interno si trovano bottoni, spilli e aghi con filo; in camera da letto ricorda di liberare i comodini da tutti quegli oggetti che possono essere pericolosi, come ad esempio i farmaci; non lasciare mai a portata dei bambini borse con portamonete con 50 centesimi, 1 euro, 2 euro e spicci vari; attenzione al ripostiglio degli attrezzi, dove si trovano cacciaviti, viti, bulloni, colle, topicidi. Ricorda di chiudere sempre a chiave i ripostigli; ricorda di tenere chiuse le finestre o proteggere i balconi con le ringhiere troppo larghe. Un bambino piccolo infila la testa ovunque; ricorda sempre di tenere lontano dai bambini i giochi dei fratellini più grandi, come le costruzioni o altri oggetti smontabili. Le parti staccabili e di piccole dimensioni sono molto pericolose per i più piccoli.
Ecco le linee guida contro bulli e cyberbulli
Inviato a tutte le scuole italiane, lezioni sul web e formazione
Vai
alla fonte

Parlare a tutti gli attori coinvolti: docenti, famiglie e, soprattutto, studenti. È l'obiettivo delle nuove Linee di orientamento per il contrasto al bullismo e al cyberbullismo del Ministero dell'Istruzione, dell'Università e della Ricerca.
Il documento - realizzato da un gruppo di esperti del MIUR - è stato inviato a tutte le scuole italiane. Le linee di orientamento "Non sono una pillola che cura nell'immediato, né una bacchetta magica - ha sostenuto il Ministro Stefania Giannini - ma uno strumento con risorse, due milioni di euro, che permetterà di fare passi avanti". Alla stesura del testo hanno collaborato circa 30 Enti e Associazioni aderenti all'Advistory Board dell'iniziativa Safer Internet Centre, coordinata dal MIUR (www.generazioniconnesse.it).
Le linee guida prevedono, tra le altre cose, una "riorganizzazione della governance" con il "trasferimento delle funzioni oggi in capo agli Osservatori regionali ai Centri territoriali di supporto" che diventeranno la "casa" in cui potranno confluire tutte le organizzazioni impiegate nel contrasto del fenomeno. Le scuole, inoltre, saranno chiamate a realizzare interventi mirati alla prevenzione del bullismo e del cyberbullismo, ad offrire lezioni di web sicuro all'interno di specifici moduli didattici da inserire nel piano dell'offerta formativa e ad aggiornare il regolamento scolastico con una sezione dedicata all'uso degli smartphone e dei pc. Tra le azioni che saranno messe in campo anche la formazione degli insegnanti con approfondimenti sia sul piano psico-pedagogico e sia sulle nuove tecnologie
I primi tre bimbi salvati grazie a una trachea da stampante in 3D
Vai
alla fonte

A distanza di due anni dall’impianto la tecnologia funziona. Curati con successo per la prima volta al mondo i piccoli affetti da tracheobroncomala.
È osservando i volti di Kaiba, Garret e Ian che si comprende cosa significa realmente il progresso scientifico. Oggi, grazie alle potenzialità offerte dalle stampanti 3D, la loro vita è salva. Il merito è della trachea artificiale realizzata su misura che permette loro di respirare nuovamente. Una vera e propria rivoluzione - raccontata sulle pagine della rivista Science Translational Medicine - che ha cambiato per sempre la storia di questi tre piccoli e che cambierà quella di tutti i malati di tracheobroncomalacia, una patologia considerata sino ad oggi incurabile. Il merito è degli scienziati del Mott Children’s Hospital di Ann Arbor (Stati Uniti).
Una malattia che colpisce le cartilagini
La tracheobroncomalacia è una malattia rara che colpisce la trachea. Il difetto risiede negli anelli di cartilagine che formano il classico “tubo” che permette il passaggio dell’aria diretta ai polmoni. In chi ne soffre queste strutture collassano e il risultato è una diminuzione -oltre il 50% nei casi più gravi- del diametro della trachea. Di conseguenza respirare diventa quasi impossibile e la persona è costretta a subire una tracheostomia, essere ricoverato per lunghi periodi e utilizzare un ventilatore meccanico.
Un’impalcatura per consentire all’aria di passare
Partendo dall’osservazione del difetto strutturale gli scienziati statunitensi hanno pensato di creare un’impalcatura capace di tenere dilatata la trachea. «Prima di realizzare questa nuova procedura, i bambini che abbiamo trattato non avrebbero avuto grandi chances di sopravvivere. Oggi Kaiba, il nostro primo paziente, è un bimbo sano di tre anni. Il dispositivo, impiantato quando il piccolo aveva solo 3 mesi, ha funzionato meglio di quanto sperassimo». Un grande risultato ripetuto anche in Garret e Ian. Il successo è merito della trachea di supporto realizzata grazie all’utilizzo di una stampante in 3D.
Come cucire un vestito su misura
Il dispositivo è stato creato partendo dai dati provenienti dalle Tac dei piccoli malati. Grazie alle immagini tridimensionali ottenute è stato possibile costruire su misura il pezzo da inserire intorno alla trachea. Dopo l’operazione di “fissaggio”, che ha consentito di ripristinare il corretto flusso d’aria, per i bambini è stata nuova vita: minor frequenza nell’utilizzo del ventilatore, miglioramento del quadro generale di salute e abbandono dei farmaci sedativi sono solo alcuni degli straordinari risultati ottenuti. Ma c’è di più: il dispositivo è stato in grado di essere riassorbito dal corpo e di adattarsi alla crescita dei piccoli.
|