UOC di Pediatria, Ospedale di Treviglio (Bergamo)
Indirizzo per corrispondenza: valentina_aba@yahoo.it
Sommario
Ansia da rientro a scuola, sette consigli per superarla
Dal parlare con i propri figli al fare le cose passo dopo passo
Vai alla fonte
Ritornare a scuola dopo le vacanze estive può essere un grosso problema.
Per alcuni bambini significa trasferirsi in una nuova classe con un nuovo insegnante.
Altri andranno in una scuola del tutto nuova. Il cambiamento può essere entusiasmante, ma spesso è anche spaventoso. Per superare l’ansia dal rientro a scuola ecco sette consigli che arrivano da un approfondimento sul portale The Conversation, a cura di due psicologhe della RCSI University of Medicine and Health Sciences di Dublino. Il primo consiglio è far sapere ai figli che li si ascolta. Si potrebbe essere tentati di respingere le loro paure con una rapida rassicurazione che tutto andrà bene. Ma è più utile far sapere che sono compresi e si farà tutto il possibile per sostenerli. Il secondo suggerimento è capire cosa li preoccupa. Ci sono vari motivi per cui un bimbo potrebbe non voler andare a scuola. Ad esempio per cercare di evitare qualcosa di negativo: il bullismo, un ambiente difficile creato anche dagli insegnanti, difficoltà nell’interagire con i compagni di classe o pressioni. Potrebbero esserci problemi come la dislessia, che rendono difficile la scuola. Oppure si potrebbe essere preoccupati di lasciare la casa in cui ci si è abituati a trascorrere tutto il tempo durante le vacanze estive e di dover invece studiare in un ambiente luminoso e rumoroso che potrebbe essere opprimente. Il bambino potrebbe infine provare ansia da separazione e voler star vicino ai genitori.
Scoprire cosa lo preoccupa aiuterà a trovare una soluzione.
Importante è poi far sapere ai bambini e ai ragazzi che avere paura è normale e non qualcosa di cui vergognarsi. Essenziale è inoltre fare le cose passo per passo, organizzando un pomeriggio di gioco con alcuni compagni di scuola nei giorni precedenti l’inizio della scuola, in modo si possa recuperare il legame prima del giorno di inizio della scuola. Concentrarsi su una buona routine del sonno è importante, così come prestare attenzione al proprio umore in modo che non influenzi quello dei figli e incoraggiare l’ottimismo. Una strategia utile può essere scrivere ogni sera, prima di andare a letto, tre cose che non si vede l’ora di fare il giorno seguente: vedere gli amici, il pasto preferito. Questo può aiutare a bilanciare le emozioni negative.
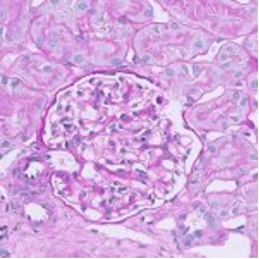
Bambini con malformazioni dei reni: il ruolo della profilassi antibiotica
Vai alla fonte
La profilassi antibiotica, pratica comunemente utilizzata nei bambini nati con malformazioni congenite dei reni e delle vie urinarie, riduce da un lato il rischio di infezioni urinarie, ma dall’altro non modifica nel tempo il rischio del danno renale. Anzi, al contrario aumenta le infezioni da germi aggressivi: per diminuire i rischi legati all’antibiotico-resistenza, l’utilizzo di questi farmaci deve essere limitato ai pazienti con infezioni ricorrenti. La pubblicazione dello studio sul NEJM.
Qual è il ruolo della profilassi antibiotica nei bambini nati con malformazioni congenite ai reni e alle vie urinarie? È realmente utile oppure rischia solo di sviluppare un rischio di antibiotico-resistenza in pazienti già fragili? La risposta arriva dai risultati dello studio europeo PREDICT, pubblicati oggi su New England Journal of Medicine, che chiariscono finalmente il ruolo della profilassi antibiotica. La ricerca è stata coordinata dal professor Giovanni Montini, docente di Pediatria dell’Università degli Studi di Milano e direttore della Struttura Complessa di Nefrologia e Dialisi Pediatrica - Trapianti di Rene del Policlinico di Milano, e dal dottor William Morello del suo staff medico.
I bambini nati con malformazioni congenite dei reni e delle vie urinarie sono infatti a elevato rischio di insufficienza renale, dialisi e trapianto di rene rispetto a chi nasce con reni normali. Questi bambini, purtroppo, sviluppano molte infezioni sintomatiche delle vie urinarie (pielonefriti), che potrebbero lasciare cicatrici renali e peggiorare la funzione dei reni nel tempo. Per questo motivo, per molti decenni, sono stati sottoposti a profilassi antibiotica prolungata (piccole dosi di antibiotico quotidiane per anni) per cercare di ridurre le infezioni e preservare la funzione dei reni, ma nessuno studio prima di PREDICT aveva stabilito se questa pratica fosse realmente utile.
Lo studio è stato condotto in 39 centri pediatrici provenienti da 6 Paesi Europei ed è riuscito ad arruolare oltre 290 lattanti nei primi 4 mesi di vita, con una malformazione congenita rara ai reni (reflusso vescico-ureterale). I pazienti sono stati suddivisi in 2 gruppi, di cui solo uno ha eseguito la profilassi antibiotica per 2 anni. Tutti i bambini sono stati strettamente monitorati e trattati per eventuali infezioni urinarie.
I risultati indicano che la profilassi antibiotica riduce il rischio di infezioni delle vie urinarie di circa il 15%, che la maggior parte (2 su 3) dei bambini con reflusso vescico-ureterale non sviluppa infezioni. Tuttavia, allo stesso tempo la profilassi non modifica il rischio di danno renale o di riduzione della funzione renale dopo 2 anni e allo stesso tempo, aumenta le infezioni da batteri aggressivi come Pseudomonas aeruginosa e lo sviluppo di resistenze antibiotiche. Lo studio inoltre chiarisce il rapporto tra cicatrici renali e infezioni delle vie urinarie, dimostrando come queste alterazioni dei reni siano spesso congenite e non abbiano una relazione con l’infezione.
“I risultati di questo studio rappresentano il coronamento di un progetto, iniziato molti anni fa, mirato a offrire una risposta definitiva rispetto all’utilità di una pratica molto diffusa come la profilassi antibiotica”, commenta Giovanni Montini. “I nostri dati quantificano per la prima volta il suo effetto e ci fanno capire come possa essere riservata a chi soffre di infezioni ricorrenti, risparmiando lunghe terapie e molte visite ospedaliere in gran parte di questi bambini. Ancora più importante è l’impatto sullo sviluppo di resistenze batteriche. L’uso incontrollato di antibiotici rappresenta una vera emergenza medica della nostra epoca: si stanno, infatti, selezionando batteri sempre più resistenti agli antibiotici attualmente disponibili e per i quali potremmo non avere più terapie efficaci. I dati del nostro studio cambieranno l’approccio gestionale di questi pazienti”, conclude Montini.
Lo studio è stato finanziato dal Ministero della Salute Italiano e da due associazioni non profit, il Sogno di Stefano ONLUS e l’Associazione per il Bambino Nefropatico ONLUS, fondamentali per supporto ai bambini con malattie renali.
Sindrome nefrosica in età pediatrica: il punto su conoscenze, diagnosi e terapie
Nuovo studio dell’ospedale Bambino Gesù su Lancet
Vai alla fonte
La review su questa malattia rara del rene che colpisce anche i bambini. Più di 300 pazienti seguiti presso l’ospedale pediatrico della Santa Sede, con circa 15-30 nuovi casi ogni anno.
Si manifesta con gonfiore degli occhi e delle caviglie, nei casi più gravi con accumulo di liquidi nell’addome, nel torace o negli organi genitali. È la sindrome nefrosica, una patologia che colpisce il glomerulo renale, una sorta di “gomitolo” di capillari all’interno del rene, che ha la funzione fondamentale di filtrare il sangue per produrre le urine. Il suo malfunzionamento può provocare gravi conseguenze fino a richiedere, in alcuni casi, la dialisi o il trapianto dell’organo. A questa patologia la rivista scientifica The Lancet ha dedicato una review per fare il punto sulle conoscenze, la diagnosi e il trattamento dei pazienti colpiti dalla sindrome nefrosica in età pediatrica, offrendo indicazioni pratiche ai medici non specialisti. Il lavoro è stato affidato al coordinamento dell’Ospedale Pediatrico Bambino Gesù, che ha collaborato con i Centri di Nefrologia pediatrica dell’Università del North Carolina (USA), dell’All India Institute of Medical Sciences di New Delhi e dell’Ospedale Necker di Parigi.
Sebbene la sindrome nefrotica idiopatica sia la più comune patologia del glomerulo renale dell’infanzia, si tratta tuttavia di una malattia rara, con un’incidenza da 4 a 6 casi per 100 mila bambini. Il glomerulo renale, una sorta di “gomitolo” formato da capillari e cellule specializzate chiamate podociti, ha la funzione di filtrare il sangue per produrre le urine. Quando questa barriera di filtrazione non funziona, per difetti genetici o per anomalie del sistema immunitario, si verifica la dispersione di un gran numero di proteine nelle urine e la conseguente riduzione del livello di proteine nel sangue, in particolare dell’albumina (ipoalbuminemia). L’ipoalbuminemia causa edemi, cioè ristagno dei liquidi nei tessuti, che si manifestano tramite gonfiore in varie parti del corpo, soprattutto occhi e caviglie. Di fronte a questi sintomi, è importante considerare di fare un test delle urine usando un semplice stick, che può rilevare la presenza di quantità anomale di proteine (proteinuria).
La tempestività della diagnosi è importante perché il progredire della malattia può portare a conseguenze molto serie fino all’insufficienza renale. Purtroppo, per le forme genetiche della sindrome nefrosica, non esistono terapie efficaci al momento e i pazienti sono destinati alla dialisi e al trapianto di rene. Per le forme legate ad anomalie del sistema immunitario, invece, esistono terapie a base di cortisone e farmaci immunosoppressori. Queste forme tendono a migliorare dopo l’adolescenza e solo una piccola parte dei pazienti continua a presentare problemi dopo la pubertà, in età giovanile e poi adulta. L’Ospedale Pediatrico Bambino Gesù è un centro di riferimento nazionale e internazionale per questa patologia e segue al momento circa 300 pazienti, con circa 15-30 nuovi casi ogni anno.
L’attività di revisione per Lancet è stata coordinata dalla dott.ssa Marina Vivarelli, responsabile dell’Unità di ricerca Laboratorio di Nefrologia dell’Ospedale Pediatrico Bambino Gesù, all’interno dell’Area di ricerca Pediatria traslazionale e Genetica clinica, diretta dal prof. Francesco Emma.
Il lavoro ha richiesto un anno di tempo e ha preso in esame le pubblicazioni scientifiche soprattutto degli ultimi 5 anni, senza escludere gli studi più autorevoli degli anni precedenti. L’obiettivo dichiarato è quello di offrire un supporto alle decisioni cliniche dei medici in tutto il mondo, specie se non specialisti, attraverso una revisione complessiva delle ultime evidenze scientifiche. Una sorta di vademecum per la gestione dei pazienti affetti da questa patologia. “Nonostante le sfide poste dalla rarità ed eterogeneità della sindrome nefrosica – spiega Marina Vivarelli – gli ultimi anni hanno registrato un notevole miglioramento della qualità dei dati disponibili per orientare la gestione dei pazienti affetti dalle diverse forme di questa patologia. Oggi siamo più bravi e più rapidi nell’identificare le forme genetiche della sindrome nefrosica. Ma anche nelle forme immuno-mediate, gli studi stanno evidenziando alcune combinazioni di varianti genetiche associate al rischio di sviluppare la malattia. Questo ci aiuta a capire meglio quale sia il meccanismo immunitario sottostante le forme di gran lunga più frequenti, che rispondono alla terapia con cortisone e che solo in certi casi necessitano di terapia immunosoppressiva prolungata. Per identificare fin dall’esordio le forme più difficili, possiamo effettuare una tipizzazione che aiuta a definire l’assetto immunologico dei pazienti, indirizzandoci verso le terapie più adatte”.
Aggiunge Marina Vivarelli: “Recenti trial, alcuni dei quali eseguiti nel nostro ospedale in collaborazione con altri centri italiani ed esteri, hanno chiarito come trattare le recidive e come utilizzare al meglio alcuni dei farmaci immunosoppressori a nostra disposizione, come per esempio gli anticorpi monoclonali anti-CD20. Abbiamo inoltre tentato approcci innovativi e non dannosi per le forme più difficili, utilizzando ad esempio cellule mesenchimali autologhe in collaborazione con la nostra Cell Factory e con il prof. Franco Locatelli. La partecipazione alla stesura di linee guida internazionali ci ha permesso di lavorare a stretto contatto con colleghi provenienti da tutto il mondo e da realtà anche molto differenti dalla nostra dal punto di vista delle risorse disponibili. L’obiettivo è quello di fornire, anche per le forme più difficili di sindrome nefrosica, prospettive terapeutiche efficaci e non tossiche, in tutti i contesti socio-economici. La ricerca collaborativa in questo ambito è indispensabile e questa review, che mette insieme l’esperienza di colleghe provenienti da 3 continenti, ne è un esempio”.
Sindrome feto-alcolica: il 10% delle donne consuma alcol in gravidanza
La Società Italiana di Neonatologia mette in guardia dai rischi
Vai alla fonte
Abortività spontanea, morte intrauterina e insorgenza di difetti dello sviluppo fetale: la Società Italiana di Neonatologia mette in guardia le donne in attesa sulla dipendenza da alcolici.
L’uso di sostanze stupefacenti e alcol nel periodo della gravidanza può avere effetti avversi sulla salute della donna e del feto. Le donne sono a più alto rischio di sviluppare un disturbo da uso di sostanze (DUS) durante il periodo fertile rispetto agli uomini perché, nel fenomeno della addiction, esiste una differenza di genere che le rende più suscettibili a passare dall’uso sporadico, all’uso problematico e, infine, al disturbo da uso di sostanze conclamato. Il consumo di alcol in gravidanza è comune in molti Paesi e circa il 10% delle donne nella popolazione generale consuma alcol durante la gravidanza (Rapporti ISTISAN 23/3).
Non essendo stata a tutt’oggi stabilita una dose di alcol sicuramente esente da rischi durante la gravidanza, la Società Italiana di Neonatologia (SIN), in occasione della Giornata mondiale della sindrome feto-alcolica e disturbi correlati, che si celebra il 9 settembre, ribadisce che è opportuno astenersi completamente durante tutto il periodo.
Il consumo cronico di quantità eccessive di alcol può, infatti, causare seri problemi a madre e neonato, aumentando il rischio di abortività spontanea, morte intrauterina, sindrome della morte improvvisa in culla, parto pretermine, basso peso alla nascita, ma, in particolar modo, può essere responsabile dell’insorgenza di difetti dello sviluppo fetale a carico di vari organi e apparati e di disabilità dello sviluppo neurocognitivo infantile. Queste disabilità, conseguenti all’esposizione all’etanolo in utero, sono note come Disturbi dello Spettro Alcolico Fetale (FASD) e la FAS, o Sindrome Feto Alcolica, ne è la forma clinica più grave.
Nell’ambito del complesso quadro della FAS, le sostanze alcoliche possono, inoltre, causare la Sindrome da Astinenza Neonatale (SAN), una condizione patologica causata dalla brusca cessazione dell’effetto di queste sostanze, cronicamente assunte dalla madre in gravidanza e trasferite al feto per via placentare. Sebbene ci siano interventi efficaci per arginare e prevenire i rischi correlati all’alcol, molte donne in gravidanza, in Europa, continuano a bere e ci sono ancora poche azioni in atto a livello regionale e nazionale. Dai Rapporti ISTISAN 23/3 si evince, infatti, che l’Unione Europea ha i tassi più alti al mondo di FASD, oltre 2,5 volte la media globale. “Da anni, come Società Italiana di Neonatologia, insieme al Ministero della Salute e all’Istituto Superiore di Sanità, auspichiamo ad aumentare la consapevolezza nelle donne in gravidanza, in età fertile e che stanno programmando una gravidanza, attraverso campagne di comunicazione e prevenzione”, afferma il dott. Luigi Orfeo, Presidente SIN. “È importante, infatti, garantire un’informazione quanto più corretta, immediata ed esauriente possibile, che renda le donne consapevoli, evitando di esporre loro e i nascituri ai rischi di danni evitabili, sostenendo uno stile di vita più sano e azzerando il consumo di alcolici”.
L’aria fresca migliora il laringospasmo dei bambini
Vai alla fonte
Se il bambino soffre di croup, disturbo molto frequente nei più piccoli nei mesi invernali, una passeggiata all’aria aperta, al freddo, può aiutare a migliorare i sintomi, in attesa che la terapia faccia effetto.
È il risultato di uno studio coordinato dall’ospedale pediatrico di Ginevra e pubblicato sulla rivista Pediatrics.
Il croup è una delle cause più frequenti di difficoltà respiratoria nei bambini nei primi 2-3 anni di vita. È causata da infezioni virali ed è caratterizzata da un restringimento delle alte vie aeree che ha tra le manifestazioni tipiche la cosiddetta tosse abbaiante o ‘da foca’.
La ricerca ha coinvolto 118 bambini con un’età media di 32 mesi portati al pronto soccorso a causa del croup. Dopo la somministrazione della terapia a base di cortisone, i medici hanno portato metà di loro all’esterno, a una temperatura inferiore ai 10 gradi, mentre l’altra metà è rimasta all’interno dell’ospedale. I bambini che avevano fatto una passeggiata all’aria aperta avevano una probabilità doppia di andare incontro a un miglioramento della sintomatologia nei 30 minuti successivi. Nel giro di un’ora, tuttavia, anche i bambini rimasti all’interno ottenevano lo stesso risultato.
“Questo studio randomizzato controllato supporta i benefici dell’esposizione all’aria fredda esterna sui sintomi di croup nei bambini con croup da lieve a moderato nei primi 30 minuti prima dell’inizio dell’azione degli steroidi”, concludono i ricercatori.
Dal Senato ok definitivo al DdL su diabete e celiachia
Per individuare patologie nei bambini con programma di screening
Vai alla fonte
Via libera definitivo all’unanimità con 141 voti favorevoli dall’Aula del Senato al disegno di legge (DdL) per l’individuazione del diabete di tipo I e della celiachia nella popolazione pediatrica.
Il provvedimento è stato approvato all’unanimità come avvenuto alla Camera.
Il disegno di legge per l’individuazione del diabete di tipo I e della celiachia nella popolazione pediatrica demanda a un decreto ministeriale la definizione di criteri per l’adozione di un programma pluriennale di screening su base nazionale nella popolazione pediatrica, per l’individuazione degli anticorpi del diabete di tipo 1 e della celiachia. Dispone l’istituzione di un Osservatorio nazionale sul diabete di tipo 1 e sulla celiachia, e prevede lo svolgimento di campagne periodiche di informazione e di sensibilizzazione a opera del Ministero della salute.
“C’è stata un’attenzione trasversale da parte dei partiti sul tema della celiachia e del diabete in età pediatrica. Ci sono battaglie che non hanno colori politici: sulla tutela della salute non possiamo e non dobbiamo dividerci. Oggi approviamo una Legge, una buona Legge, che ha l’obiettivo di prevenire e di investire sulla diagnosi precoce, investendo su un programma nazionale di screening e per il quale saranno stanziate delle risorse”, ha detto, intervenendo in Aula, il senatore UDC Antonio De Poli, autore di un disegno di legge sulla prevenzione di celiachia e diabete, che è stato recepito dal provvedimento approvato.
“Per quanto riguarda la celiachia, se vogliamo citare qualche dato, si tratta di una malattia fortemente sottostimata in Italia: sono circa 233.000 i celiaci in Italia. Si stima che ci siano, infatti, altre 400.000 persone che, al contrario, non hanno ricevuto una diagnosi corretta”, ha spiegato De Poli che ha evidenziato: “Sono circa 300.000 i pazienti, nel nostro Paese, a cui è stato diagnosticato un diabete di tipo 1.
Il 10% di loro ha un’età inferiore a 18 anni. Ecco perché il voto di oggi assume un significato speciale: è una vittoria che appartiene a tutti, a partire dai piccoli pazienti e dalle loro famiglie”.
Diabetologi: “la legge sul test previene i casi gravi che rischiano la vita”
Una legge di “grande importanza, innanzitutto perché l’identificazione precoce dei soggetti a rischio elevato per diabete di tipo 1 può prevenire l’insorgenza del diabete in gravi condizioni cliniche tali da richiedere il ricovero in ospedale e tali da mettere a serio rischio la vita del bambino. Questa eventualità si può infatti verificare, non sapendo il soggetto di essere a rischio”. Così Raffaella Buzzetti, presidente eletto della Società italiana di diabetologia (SID) e professore ordinario di Endocrinologia all’Università La Sapienza di Roma, commenta all’ANSA l’approvazione definitiva del DdL su diabete e celiachia da parte del Senato.
Questa legge, sottolinea Buzzetti, è “fondamentale anche perché nel mondo, in particolare negli Stati Uniti, esistono già delle immunoterapie che riescono a dilazionare l’insorgenza del diabete e qualora fossero approvate anche da EMA e AIFA, potrebbero essere utilizzate pure in Italia”. La prevenzione precoce è dunque cruciale, soprattutto alla luce dei numeri in crescita del diabete nel mondo: “L’incidenza e la prevalenza del diabete di tipo 1 stanno aumentando nel mondo e anche in Italia.
Con l’ADHD sale il rischio di altri disturbi di salute mentale
Da depressione ad anoressia, legame causa-effetto
Vai alla fonte
Soffrire di iperattività e deficit di attenzione (ADHD) potrebbe aumentare il rischio di altri disturbi mentali, dalla depressione, al disturbo da stress post-traumatico, all’anoressia nervosa secondo uno studio pubblicato su BMJ Mental Health.
Il lavoro è stato condotto da Dennis Freuer dell’Università di Augsburg in Germania.
Il disturbo da deficit di attenzione/iperattività (ADHD) è una condizione che riguarda bambini e adolescenti ma che si estende anche nell’età adulta in circa due terzi dei casi.
A livello mondiale, la sua prevalenza è stimata essere del 5% nei bambini/adolescenti e del 2,5% negli adulti.
Precedenti studi hanno collegato l’ADHD a disturbi dell’umore e d’ansia, ma non si sa se sia associato con un legame di causa ed effetto ad altri problemi di salute mentale. Per cercare di scoprirlo, i ricercatori hanno utilizzato un metodo che si chiama “randomizzazione mendeliana”, una tecnica che utilizza lo studio dei geni, in questo caso quelli noti per essere collegati all’ADHD, per ottenere prove a supporto di un collegamento di causa-effetto, con sette comuni problemi di salute mentale, depressione clinica maggiore; disturbo bipolare; disturbo d’ansia; schizofrenia; disturbo da stress post-traumatico (PTSD); anoressia nervosa; e almeno un tentativo di suicidio.
Ebbene, è emerso che per quanto non vi siano prove di un legame causa-effetto tra l’ADHD e il disturbo bipolare, l’ansia o la schizofrenia, esiste invece questo legame causale con un rischio aumentato di anoressia nervosa (+28%), e prove che l’ADHD causi un aumento del rischio del 9% di depressione sia che a sua volta la depressione aumenti il rischio di ADHD del 76%.
È emersa anche un’associazione causale diretta sia con il tentativo di suicidio (rischio aumentato del 30%) che con il PTSD (rischio aumentato del 18%).
“Questo studio apre nuove prospettive sui percorsi tra i disturbi psichiatrici - sottolineano gli autori. Pertanto, nella pratica clinica, i pazienti con ADHD dovrebbero essere monitorati per i disturbi psichiatrici inclusi in questo studio e, se necessario, dovrebbero essere avviate misure preventive”.
HIV e non solo, in 10 anni le infezioni sessuali sono in aumento
Colpiti i giovani, spesso senza diagnosi
Vai alla fonte
La salute sessuale è un diritto che va garantito durante tutta la vita, dall’adolescenza e alla terza età.
E non significa solo avere rapporti sicuri, evitando la trasmissione di infezioni, che ammontano a circa un milione l’anno nel mondo, con un trend in forte aumento anche in Italia dove negli ultimi 10 anni è segnalata una forte crescita dei casi, ma anche avere relazioni sessuali sane e pienamente consensuali. A ricordarlo è l’Organizzazione Mondiale della Sanità, in vista della giornata internazionale del 4 settembre, promossa dalla World Association for Sexual Health.
Dalla sifilide all’HIV passando per clamidia, gonorrea e papilloma virus, il sesso non protetto è veicolo per malattie che possono portare infezioni croniche e complicanze a lungo termine. Per quanto riguarda l’Italia, il Sistema di sorveglianza sentinella coordinato dall’Istituto Superiore di Sanità, dal 1991 al 2021 ha segnalato 151.384 nuovi casi di infezioni, con un aumento costante a partire dal 2005 e un rallentamento nel 2020 a causa dell’emergenza Covid. E la fascia più colpita è quella tra 15 e 24 anni.
“L’aumento rilevante che abbiamo osservato in Italia nell’ultimo decennio, in particolare tra i giovani - spiega Barbara Suligoi, responsabile del sistema di sorveglianza dell’ISS - indica la scarsa consapevolezza e l’insufficiente informazione del cittadino. La patologia più diagnosticata sono i condilomi: sono causati dal virus del papilloma umano e sono pertanto prevenibili dalla vaccinazione anti-HPV, che previene anche vari tumori ano-genitali. La maggior parte di queste infezioni sono curabili se diagnosticate e trattate tempestivamente. Ma, in mancanza di trattamento, il rischio di gravi conseguenze a distanza di tempo è elevato: problemi durante la gravidanza, sterilità e tumori. Per questo è importante rivolgersi tempestivamente al medico e in presenza di qualsiasi disturbo a livello genitale”. Spesso queste infezioni possono restare asintomatiche a lungo, ma si possono prevenire “usando il condom e evitando rapporti non protetti con partner di cui non si conosce lo stato di salute”, aggiunge Suligoi.
Salute sessuale però vuol dire anche altro, per l’Organizzazione mondiale della Sanità: “è un diritto” e “fa parte di una vita normale e sana”. Un concetto inserito anche nell’ultima edizione della Classificazione Internazionale delle Malattie, che per la prima volta contiene un capitolo sulla salute sessuale. “Ci si è impegnati molto finora sulla prevenzione delle malattie, senza riconoscere come il sesso sicuro significhi anche promuovere l’intimità, il piacere, il consenso e il benessere”, ha affermato la Lianne Gonsalves, del programma speciale dell’OMS dedicato al tema.
Molte donne e ragazze invece continuano a subire rapporti non consensuali e violenti. “Il diritto alla salute sessuale - ricorda il Fondo delle Nazioni Unite per la popolazione (UNFPA) - è negato quando il sesso è avvolto nella vergogna e nell’ignoranza, o legato alla coercizione, all’abuso o allo sfruttamento”, ma anche quando manca l’accesso alla contraccezione. Per questo, la Giornata mondiale della salute sessuale quest’anno mette in luce l’importanza del consenso (#consent), rendendolo il claim dell’iniziativa. “Il consenso è un elemento cruciale di qualsiasi incontro sessuale sano e dobbiamo educare noi stessi e gli altri su cosa significhi”, scrive la World Association for Sexual Health. Questo passa anche “per il rispetto delle scelte di ciascuno in materia, indipendentemente dal genere e dall’orientamento”.
Dormire a sufficienza riduce comportamenti impulsivi dei bambini
Meno azioni senza un piano e mancanza di perseveranza
Vai alla fonte
Dormire un numero di ore sufficiente in base all’età riduce i comportamenti impulsivi nei bambini.
È quanto emerge da uno studio dell’Università della Georgia, pubblicato sulla rivista Sleep Health.
I ricercatori hanno analizzato i dati dell’Adolescent Brain Cognitive Development Study, uno studio pluriennale sullo sviluppo del cervello.
Utilizzando le informazioni di 11.858 bambini di età compresa tra 9 e 10 anni, hanno scoperto che la mancanza di sonno e la lunga latenza del sonno stesso - cioè la quantità di tempo necessaria per addormentarsi - avevano un legame significativo con i comportamenti impulsivi in futuro.
Quando i bambini dormivano meno delle nove ore raccomandate o impiegavano più di 30 minuti per addormentarsi, c’era un forte legame con comportamenti impulsivi in seguito. Alcuni di questi comportamenti includevano l’agire senza un piano e la mancanza di perseveranza.
I risultati non solo evidenziano il ruolo del sonno nello sviluppo cognitivo e comportamentale, ma potrebbero anche ispirare, secondo gli studiosi, interventi a basso costo per aiutare lo sviluppo psicologico dei bambini che affrontano fattori di stress domestici.
Semaglutide, la (controversa) molecola antiobesità potrebbe essere un rischio per bambini e adolescenti
Vai alla fonte
I ricercatori della UC Irvine (USA) lanciano un appello sulle conseguenze indesiderate che l’utilizzo dei farmaci per dimagrire in età pediatrica avrebbe. e indicano cosa fare. In Italia, semaglutide non è ancora prescrivibile ma l’invito è a non demonizzarla.
Un team di medici, specialisti di Medicina dello Sport, studiosi di Farmaceutica, esperti di Etica ed esperti di Psicologia comportamentale dell’Università della California, Irvine, ha espresso le proprie preoccupazioni sull’uso di agonisti del recettore per il peptide-1 simil-glucagone (GLP-1RA) per trattare l’obesità infantile e il diabete di tipo 2 può avere conseguenze indesiderate e negative per la salute dei bambini.
Il commento «Conseguenze indesiderate dei farmaci agonisti del recettore del peptide-1 simile al glucagone nei bambini e negli adolescenti – Un appello ad agire», è stato pubblicato sul Journal of Clinical and Translational Science. L’articolo è stato coordinato da Dan M. Cooper, professore emerito presso il Dipartimento di Pediatria della UCI School of Medicine.
Al momento, In Italia la semaglutide non è prescrivibile in età adolescenziale. Secondo la professoressa Mariacarolina Salerno, presidente della Società Italiana di Endocrinologia e Diabetologia Pediatrica, quelle degli esperti statunitensi «sono preoccupazioni solo in parte condivisibili. Come già capitato per altri farmaci in età adulta (vedi liraglutide) c’è il rischio di una corsa al farmaco ritenuto una panacea per un’inadeguata informazione soprattutto da parte di alcuni media. Tuttavia non dobbiamo nemmeno demonizzare il farmaco che rappresenta un’opportunità per il trattamento degli adolescenti con obesità severa se usato in modo corretto e controllato».
Un successo che preoccupa
Vediamo nel dettaglio, quali sono le principali problematiche evidenziate dal team di Irvine. In primo luogo la classe di farmaci GLP-1RA sta trasformando la cura dell’obesità e del diabete di tipo 2 negli adulti e studi recenti indicano la possibilità di effetti simili anche nei bambini e negli adolescenti. Considerata l’annosa epidemia di obesità in età pediatrica e il conseguente aumento del diabete di tipo 2 tra i giovani, aggravato dalle chiusure legate alla pandemia di Covid-19 e dalla conseguente interruzione sia della possibilità di esercizio fisico sia di gioco tra i giovani, secondo gli autori questa nuova classe di farmaci porterà sicuramente benefici ai bambini affetti da obesità patologica e diabete di tipo 2.
Paradossalmente, è il successo senza precedenti di questi farmaci a preoccupare il team di Irvine per il quale il loro uso eccessivo e l’abuso tra i giovani sarebbe inevitabile. «La nostra principale preoccupazione è lo squilibrio e la riduzione inappropriata dell’apporto calorico o energetico associato a questi farmaci dimagranti», sottolinea Cooper, direttore associato dell’UCI Institute for Clinical and Translational Science e direttore ad interim dell’UCI Institute for Precision Health. Diversamente dagli adulti, i bambini e gli adolescenti hanno bisogno di energia e calorie sufficienti non solo per l’attività fisica, ma per la crescita e lo sviluppo».
Il rapporto tra costi e benefici è ancora da valutare
L’equilibrio tra l’apporto energetico (dieta) e il dispendio energetico (come il gioco fisico e l’esercizio fisico) influenza la crescita e la salute di un bambino nel corso della sua vita e qualsiasi cambiamento nell’equilibrio di questi due fattori può avere un impatto negativo sulla salute molto più avanti nella vita. Ad esempio, livelli ottimali di dieta ed esercizio fisico aumentano la mineralizzazione ossea durante l’infanzia, un periodo critico di crescita e sviluppo, e questo riduce il rischio di osteoporosi e fratture ossee più avanti nella vita. Il team ha inoltre sottolineato la probabilità di un abuso del farmaco tra i pazienti con disturbi alimentari diagnosticati e tra i bambini e gli adolescenti coinvolti in sport agonistici come il wrestling, le arti marziali, la ginnastica e la danza.
«Il rapporto costo/beneficio (economico e qualità della vita) dell’uso a lungo termine nei giovani deve essere studiato attentamente», affermato Jan D. Hirsch, uno dei coautori, preside della Scuola di Farmacia e Scienze farmaceutiche dell’UCI. «Con i social media, i giovani sono già esposti a una cultura alimentare e a un’immagine corporea che potrebbe non essere raggiungibile e, in definitiva, malsana. Questi farmaci somministrati senza un’adeguata supervisione potrebbero diventare un campo minato di problemi di salute ed emotivi per i bambini man mano che crescono».
I «pericoli» di abuso con in pillole
Cooper ha anche osservato che patologie come l’obesità pediatrica sono diventate epidemiche in larga misura a causa di ambienti senza luoghi adeguati per il gioco sicuro e l’esercizio fisico per bambini e adolescenti, insieme alla disponibilità di fast food popolari, poco costosi e ad alto contenuto calorico. Non sorprende che l’epidemia di scarsa forma fisica e obesità abbia avuto un impatto sproporzionato sulle minoranze sottorappresentate. Con la crescente efficacia e popolarità di questi farmaci, avvertono gli esperi di Irvine, i produttori di farmaci stanno rapidamente sviluppando forme orali dei farmaci, che secondo i ricercatori potrebbero limitare la supervisione e causare casi di abuso.
L’effetto moltiplicatore dei social media
L’esperienza clinica aneddotica suggerisce che esiste già una conoscenza diffusa nella popolazione pediatrica sull’efficacia del GLP-1RA come farmaco contro la sazietà che aiuta la perdita di peso, non supportata dall’apparente uso diffuso documentato nei media popolari. «Le notizie sugli agonisti del GLP-1RA si sono infiltrate nei social media e ne parlano celebrità, modelle e influencer», fa notare Emma Cooper, medico presso il Dipartimento di Psichiatria e Comportamento Umano presso la UCI School of Medicine.
«È ragionevole supporre che man mano che l’accesso diventa più semplice, sempre più bambini si impegneranno nell’uso non supervisionato degli agonisti del GLP-1RA per facilitare il raggiungimento degli standard di bellezza sociali». La dott.ssa Emma Cooper ha aggiunto: «Dal momento che la percentuale di disturbi psicologici, compresi quelli alimentari, continua ad aumentare, gli operatori sanitari dovrebbero effettuare screening e intervenire sull’uso inappropriato di questi farmaci».
Farmaci contraffatti e accesso illegale a internet
I ricercatori ritengono che anche la salute pediatrica potrebbe essere minacciata, non solo dall’aumento dei farmaci contraffatti, che è stato ben documentato, ma anche dall’accesso illegittimo tramite internet.
Che cosa fare: i 6 punti
Come risultato della ricerca e dell’esperienza clinica con l’esercizio fisico, la dieta e la prevenzione dell’obesità, il team dell’UCI ha delineato un invito ad agire rivolto alla rete di Centri accademici del National Institutes of Health, come l’UCI, che sono destinatari degli hub del Clinical and Translational Science Award (CTSA, guidato dal National Center for Advancing Translational Sciences) in tutta la nazione:
- Costruire e supportare team multidisciplinari di medici di prima linea, partner della comunità, fisiologi e scienziati comportamentali e farmaceutici per colmare il divario di conoscenze sugli effetti del GLP-1RA nei bambini e negli adolescenti.
- Affrontare le questioni di ricerca bioetica traslazionale che deriveranno dall’approvazione delle formulazioni pediatriche dei farmaci GLP-1RA in particolare, e in generale, che si sono evoluti dalla medicalizzazione di condizioni sanitarie come l’obesità pediatrica.
- Coinvolgere e migliorare la qualità e l’accessibilità dei dati rilevanti del mondo reale, come i test di idoneità fisica a scuola (SB-PFT), obbligatori in 16 stati che coprono circa il 60% dei bambini in età scolare americana.
- Collaborare con la FDA (Food and Drug Administration) e altre agenzie governative per aggiornare le linee guida per gli interventi sullo stile di vita negli studi clinici pediatrici che includano approcci all’avanguardia per quantificare, monitorare e valutare l’attività fisica, l’aderenza alla dieta e la misurazione accurata della composizione corporea oltre l’attuale dipendenza dall‘indice di massa corporea (BMI), una metrica subottimale del sovrappeso e dell’obesità negli adolescenti.
- Elevare e potenziare la formazione del personale specializzato negli studi clinici sulla comprensione dello stato dell’arte degli interventi efficaci sullo stile di vita. Tale formazione dovrebbe essere rivolta anche ai pediatri di base, la cui esposizione all’esercizio fisico e alla scienza della nutrizione è attualmente piuttosto limitata.
- Sviluppare, dimostrare e diffondere moduli di apprendimento per il personale scolastico (insegnanti, allenatori), genitori, bambini in età scolare, pediatri di base e professionisti della salute mentale infantile sui farmaci GL1-RA, i loro usi appropriati e il possibile abuso.
L’importanza dell’educazione a corretti stili di vita
«L’obesità è una malattia cronica, multifattoriale e progressiva - aggiunge Mariacarolina Salerno che è anche direttore UOS Endocrinologia Pediatrica AOU Federico II e professore ordinario di Pediatria, Dipartimento di Scienze Mediche Traslazionali Università di Napoli Federico II - che se non prontamente e adeguatamente curata porta già in età pediatrica a un aumento dei fattori di rischio cardiovascolare quali ipertensione, dislipidemia, diabete tipo 2 oltre a complicanze ortopediche, respiratorie, gastrointestinali e ridotta qualità di vita».
«L’educazione di bambini e adolescenti obesi e delle loro famiglie a uno stile di vita sano caratterizzato da una corretta alimentazione, associata ad attività fisica regolare e terapie comportamentali rappresentano il trattamento di prima linea nell’obesità in età evolutiva ed è quanto recentemente ribadito dalla Consensus position statement sul trattamento dell’obesità nel bambino e nell’adolescente elaborato dalla Società Italiana di Endocrinologia e Diabetologia Pediatrica, Società italiana di Pediatria e dalla Società Italiana di Chirurgia Pediatrica pubblicato nel 2023.
«Tuttavia questo approccio non è sempre sufficiente, soprattutto nell’adolescente, ed è necessario poter offrire altre soluzioni quali la terapia farmacologica e in ultimo anche la chirurgia bariatrica. Le nuove terapie farmacologiche migliorano importanti processi biologici che risultano essere squilibrati nei soggetti obesi (ad esempio senso della fame, condotte iperfagiche, insulino-resistenza), inducono un’efficace riduzione di peso e migliorano quei fattori associati ad aumentato rischio cardiovascolare ma vanno sempre associate al cambiamento dello stile di vita. Il cambiamento dello stile di vita è un percorso faticoso che deve necessariamente coinvolgere tutto il nucleo famigliare dunque affidare a un farmaco la “soluzione del problema” appare rapido ed indolore».
«Il farmaco va affiancato a un contestuale cambiamento dello stile di vita per poter essere efficace a lungo termine, concetto spesso sottovalutato dai pazienti e ignorato dai social media. Per evitare un uso scorretto del farmaco è necessario che la terapia sia prescritta dallo specialista e che il paziente sia monitorato per quanto riguarda l’efficacia del trattamento, il corretto apporto nutrizionale ed eventuali effetti indesiderati sullo sviluppo psico-fisico. In Italia i pediatri di famiglia hanno ruolo essenziale nel fare formazione e informazione, favorendo l’allattamento al seno, una corretta alimentazione e attività motoria e nel selezionare i bambini che richiedono un approccio specialistico. La scuola e le istituzioni devono collaborare attraverso interventi di promozione della corretta alimentazione e dello stile di vita attivo».
Pubertà precoce aumentata del 30% fra le bambine durante la pandemia
Sotto accusa la sedentarietà. Lo studio del "Gaslini" di Genova
Vai alla fonte
Tra i possibili trigger dell’anticipo puberale può non essere trascurabile il ruolo dello stress psicologico, delle tensioni familiari, della situazione economica e della possibile maggiore esposizione agli interferenti endocrini durante la pandemia.
La pubertà precoce consiste nella comparsa di segni di sviluppo puberale prima dell’età di 8 anni per le femmine e 9 anni per i maschi. Oltre a un disagio psicologico e relazionale nel bambino, può contribuire ad aumentare il rischio nel corso degli anni di sviluppare patologie quali diabete, malattie cardiovascolari e alcuni tipi di tumore dell’apparato riproduttivo. Prima della pandemia la pubertà precoce colpiva appena un bambino su 10.000. La pubertà precoce è 10 volte più comune nelle bambine che nei bambini, anche se le ragioni di questa differenza sessuale sono ancora misteriose.
L’IRCCS G. Gaslini di Genova ha pubblicato sul Journal of the Endocrine Society di agosto uno studio che prende in esame i dati di 133 ragazze sospettate di essere in pubertà precoce, da gennaio 2016 a giugno 2021. “L’analisi si è concentrata in particolare sui cambiamenti nello stile di vita durante i periodi di lockdown, rivelando che negli ultimi anni è stato osservato un lento aumento di casi di pubertà precoce, in particolare nelle bambine; con un’estrema “impennata” proprio negli ultimi due anni tra Covid-19, pandemia e lockdown, questo fenomeno è stato segnalato da molti centri di diversi paesi” spiega il prof. Mohamad Maghnie, direttore della UOC Clinica Pediatrica ed Endocrinologia dell’Istituto Gaslini e responsabile scientifico dello studio, prime firmatarie del quale sono la pediatra Daniela Fava della Clinica Pediatrica ed Endocrinologia e la dottoressa Carlotta Pepino specializzanda in Pediatria presso l’Università di Genova.
Lo scopo dello studio è stato valutare l’incidenza della pubertà precoce centrale idiopatica (ICPP) nelle femmine durante la pandemia di Covid-19 in Italia rispetto all’incidenza della PP valutata nei 4 anni precedenti. Abbiamo anche investigato la possibile relazione tra l’aumento di incidenza della PP e il cambiamento dello stile di vita legato alla pandemia. “Durante la pandemia di Covid-19, il numero delle bambine che abbiamo valutato per sospetta pubertà precoce è aumentato di quasi l’80% rispetto ai quattro anni precedenti, e la percentuale di bambine a cui è stata diagnosticata la pubertà precoce rapidamente progressiva è stato del 30% più alto durante il periodo pandemico. Prima della pandemia, solo il 41% delle ragazze indirizzate al nostro Istituto per sospetta pubertà precoce presentava una forma rapidamente progressiva, ma durante la pandemia la percentuale è salita al 53,5%” sottolinea Daniela Fava della Clinica Pediatrica ed Endocrinologia.
Lo studio è stato condotto su 133 bambine che hanno ricevuto diagnosi di pubertà precoce nel nostro Istituto da gennaio 2016 a giugno 2021. A differenza di altri studi italiani, abbiamo analizzato i nostri dati prendendo in considerazione un intervallo più lungo, in particolare il periodo tra marzo 2020 e giugno 2021, durante il quale l’Italia ha subito un lockdown totale, poi parziale, e una riduzione delle attività (chiusura delle scuole, interruzione delle attività fisiche quotidiane, attività di routine, soprattutto quelle non competitive) rispetto ai dati di coorte annuali dei 4 anni precedenti” spiega Daniela Fava della Clinica Pediatrica ed Endocrinologia.
I dati del Gaslini confermano l’aumento del numero di pazienti segnalati per sospetta pubertà precoce durante la pandemia (aumento di 1,79 volte) e l’aumento dell’incidenza di PP idiopatica rapidamente progressiva (RP-ICPP) nello stesso intervallo di tempo (1,3 volte più alto rispetto al periodo precedente). Sono stati registrati 72 nuovi casi in 50 mesi (1,44 casi al mese) prima della pandemia rispetto a 61 casi in 16 mesi (3,8 casi al mese) durante la pandemia.
Parlando dei possibili fattori scatenanti di questo fenomeno, è stato riscontrato un BMI (indice di massa corporea) più elevato nelle ragazze con diagnosi di pubertà precoce rapidamente progressiva durante la pandemia sebbene non statisticamente significativo. Questi dati sono in linea con il trend di aumento di peso registrato negli ultimi anni nei bambini. Un rapido aumento del peso corporeo è associato all’avanzamento dello sviluppo puberale e un aumento della massa grassa corporea, in particolare del grasso viscerale, sembra svolgere un ruolo importante in questo senso. In linea con quest’ultimo concetto, i cambiamenti nelle abitudini quotidiane durante la pandemia potrebbero aver modificato la composizione corporea in termini di distribuzione del grasso, anche senza causare un aumento significativo del BMI. Ricordiamo che tra le pazienti visitate durante i primi 15 mesi della pandemia, quasi il 90% aveva interrotto ogni attività fisica.
“L’incremento del BMI non è stato l’unico dato rilevato, abbiamo anche osservato un uso prolungato di dispositivi elettronici, che potrebbe aver influenzato i tempi di sviluppo puberale attraverso fattori diretti e indiretti. Le bambine con diagnosi di pubertà precoce durante il periodo pandemico hanno mostrato una media di 2 ore giornaliere in più (rispetto al periodo precedente) trascorse utilizzando dispositivi elettronici e 88,5% di queste hanno interrotto l’attività fisica programmata che svolgevano prima della pandemia. Nessuna bambina aveva avuto il Covid-19 prima della diagnosi di RP-ICPP” spiega il prof Maghnie. Non si può però escludere che il maggior tempo trascorso dai genitori con i propri figli durante il lockdown possa aver favorito il riconoscimento di segnali precoci di avvio puberale; ciò potrebbe aver contribuito al maggior numero di bambine visitate per sospetta pubertà precoce durante il periodo pandemico. Questo ha anche accelerato la tempistica della diagnosi durante la pandemia, cioè è trascorso meno tempo tra la comparsa dei primi segni puberali e la diagnosi di pubertà precoce. Durante la pandemia, infatti, le bambine a cui è stata diagnosticata la PP erano circa quattro mesi più giovani delle altre (sette anni e otto mesi, anziché otto anni).
Tra i possibili trigger dell’anticipo puberale può non essere trascurabile il ruolo dello stress psicologico, delle tensioni familiari, della situazione economica e della possibile maggiore esposizione agli interferenti endocrini durante la pandemia. “Il forte picco di nuove diagnosi di pubertà precoce idiopatica rapidamente progressiva (RP-ICPP) in coincidenza con la pandemia di Covid-19 è un fenomeno importante. I bambini sono diventati meno attivi fisicamente e i tassi di sovrappeso e obesità, così come lo stress, sono aumentati durante la pandemia. L’attenzione su questo fenomeno ancora in gran parte misterioso, è anche legato alle ricerche che hanno messo in relazione la pubertà precoce con il possibile un aumento del rischio di malattie cardiometaboliche, depressione e altri problemi di salute mentale nella vita adulta. Inoltre, l’età precoce del menarca è un fattore di rischio accertato per il cancro al seno e altre forme di tumore estrogeno-dipendenti” conclude il prof. Maghnie. Sarà fondamentale, appena possibile, confrontare i dati provenienti da diversi Paesi che hanno subito diversi modelli di ‘blocco’ e di protezione, che potrebbero aiutare a evidenziare gli effetti di alcuni fattori di stress o di cambiamento nello stile di vita più di altri, concludono gli esperti.
