Una biopsia utile
Dario P., 21 mesi.
All'et� di 8 mesi Dario � stato sottoposto, in altra sede, ad un trattamento chirurgico e polichemioterapico (2 cicli) per un rabdomiosarcoma embrionale ad origine prostatica. All'et� di 18 mesi il piccolo ha riportato una frattura patologica del terzo distale del perone sinistro. Il rabdomiosarcoma embrionale, che come sedi tipiche ha la testa, il collo e il tratto genito-urinario e, secondo la classificazione Internazionale ha una prognosi intermedia, d� metastasi al polmone e al midollo osseo. Nel sospetto di una lesione secondaria ricollegabile alla pregressa neoplasia � stata effettuata, una rivalutazione della malattia con scintigrafia ossea total body con Tc, che non ha evidenziato aree di captazione patologica.
E' stata effettuata quindi una biopsia ossea, il cui referto istologico era: "focale proliferazione di elementi fibroblastici, morfologicamente compatibile con possibile fibroma non ossificante".
Giunto alla nostra osservazione Dario presentava, a tre mesi di distanza dalla biopsia, all'esame clinico, dolore e dolorabilit� al terzo inferiore di gamba, con zoppia. Gli esami di laboratorio erano perfettamente nella norma.
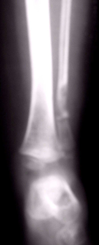
Effettuata una radiografia di controllo, al terzo distale del perone sinistro era evidente un'area litica e una pseudoartrosi in sede di pregressa biopsia (Figura�1).

Figura 1
Tale lesione richiede l'effettuazione di una resezione chirurgica del perone con sintesi endomidollare (Figura�2).
Il materiale prelevato dalla zona � stato inviato all'anatomia patologia per un esame istologico. Il rassicurante referto istologico � stato: "callo osseo fibroso". Si � trattato quindi di una coincidenza di eventi patologici nello stesso bambino: la frattura patologica non si poteva pertanto mettere in relazione alla pregressa neoplasia, ma soltanto la biopsia la poteva escludere.
Figura 2. Sintesi endomidollare del perone.
