Una scoliosi da operare
Divisione di ortopedia infantile, IRCCS ’Burlo-Garofolo’, Trieste
Il caso
Tatiana B., anni 16.
Dall’età di 8 anni la bambina è stata seguita presso l’ambulatorio di un centro specialistico con la diagnosi di scoliosi. Il suo pediatra, infatti, a un controllo periodico, aveva notato che la piccola presentava delle asimmetrie osteoscheletriche e l’aveva indirizzata dallo specialista ortopedico.
Accanto al dato clinico il pediatra aveva evidenziato, nell’anamnesi, una familiarità per scoliosi: la zia materna, infatti, era stata sottoposta a un intervento chirurgico correttivo al rachide all’età di 18 anni, e le due cugine di primo grado risultavano affette da scoliosi; i genitori e la sorella maggiore non avevano invece alcuna patologia a carico dell’apparato locomotore.
Al controllo clinico, il rachide risultava squilibrato verso destra di 1 cm., il triangolo della taglia più accentuato a destra, la spalla sinistra anteposta. Al bending test in flessione si evidenziava un gibbo dorsale destro di 1 cm e lombare sinistro di 0,5 mm. Fisiologica la lordosi lombare, ridotta la cifosi. Fu prescritto un radiogramma del rachide in antero-posteriore e in laterale, che evidenziava una scoliosi dorsale destra di 18° Cobb e lombare sinistra di 15°, con discreta rotazione vertebrale. Per le caratteristiche della scoliosi, nonostante la giovane età della paziente, viene prescritto un corsetto ortopedico tipo Milwakee, fisioterapia e controlli periodici.
Sebbene la paziente avesse seguito pedissequamente le indicazioni ricevute, ai controlli clinici e radiografici successivi la scoliosi non solo non migliorava, ma mostrava un carattere evolutivo con tendenza al peggioramento.
All’età di 11 anni veniva modificato il tipo di corsetto con un modello lionese; all’età di 12 anni, in corrispondenza del menarca, si verificava un ulteriore importante peggioramento della scoliosi, che arrivava a 42° Cobb dorsale e 34° lombare. Il dorso piatto peggiorava la prognosi.
Il problema
Si decideva allora di proseguire il trattamento con busto gessato, ma neppure ciò serviva ad arrestare l’evolutività della scoliosi: venne così programmato un intervento chirurgico di stabilizzazione vertebrale con artrodesi posteriore.
L’intervento
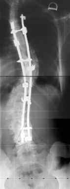
La paziente viene sottoposta a intervento chirurgico di artrodesi vertebrale posteriore con strumentazione all’età di 15 anni. Incisione da D2 a L5. Si incidono i piani sottocutanei, secondo la tecnica abituale si schelatrizzano le apofisi spinose, le lamine e le traverse. Si aprono tutte le articolazioni che vengono cruentate ad una ad una. Si prepara lo strumentario in relazione al piano strategico pre-operatorio preparato sulla radiografia in antero-posteriore, in bending test e al test di trazione. A sinistra del rachide vengono applicati 5 uncini e a destra 5. Si applicano le due barre di stabilizzazione; si ottiene la correzione ottimale della curva scoliotica e si appongono due strumenti a solidarizzare le barre. Si effettua un controllo rx intraoperatorio. Sutura per strati. Medicazione.
A controllo clinico a distanza di un anno la paziente sta bene, non ha avuto alcun problema; il rachide conserva una buona motilità; il controllo radiografico dimostra una buona stabilizzazione del rachide.
Il messaggio
Questa è evidentemente una scoliosi evolutiva e potrebbe rappresentare un sostegno alla tesi della inefficacia dei trattamenti contenitivi nei riguardi di questo tipo di scoliosi.
Secondo questa tesi, le scoliosi che devono evolvere evolvono comunque e quelle che non devono evolvere si curano senza vantaggi da corsetti Milwakee. Probabilmente la verità sta in mezzo.
In questo caso va ricordata ancora una cosa.
Si cerchi di evitare ogni intervento sulla colonna lombare, perché questo produce una notevole limitazione funzionale (flessione). Nel caso specifico ci è stato impossibile evitare l’intervento, sia per l’alto grado di deviazione, sia per la rigidità dolorosa che la malattia comportava.
