Una epifisiolisi d’anca trascurata
Divisione di Ortopedia infantile, IRCCS ‘Burlo-Garofolo’, Trieste
Il caso
I., 16 anni. Ragazzo sovrappeso. Accusa dolore alla coscia e al ginocchio destro, con zoppia da fuga, progressivamente ingravescente. La madre, medico, lo porta in visita ad un centro ortopedico oltre confine, con una radiologia dell’anca che mette in evidenza una epifisiolisi del femore con uno spostamento minimo della testa sul collo femorale.
Viene proposta l’attesa, con una semplice limitazione dell’attività fisica e del carico.
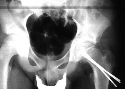
Il quadro, naturalmente, non migliora: I. continua a zoppicare, la coscia appare flessa e extraruotata. Una nuova lastra dimostra un notevole peggioramento del quadro radiologico (fig 1) con notevole risalita della testa femorale.
Si impone un intervento chirurgico, di fissazione della testa al collo femorale.

fig.1
Il messaggio
Il caso è istruttivo per il pediatra, se non altro per il quadro radiologico, molto esplicito. Non si comprende bene il perché della sottovalutazione del danno, già evidente, anche se limitato, alla prima visita ortopedica. E’ un fatto però che l’epifisiolisi della testa del femore, per una serie di motivi (tra cui l’esordio subdolo, la lenta progressione dei sintomi, la cattiva localizzazione del dolore, la sua modestia, a volte la presenza di un ematoma alla coscia che svia la diagnosi) è molto spesso una storia di errori, di sottovalutazioni, clinicamente interessante (ne presenteremo, in futuro, altri esempi). L’età (peri-adolescenziale), quando presente l’eccesso di peso (fattore favorente ma non obbligatorio), la zoppia da fuga, l’atteggiamento tipico con arto semiflesso e extraruotato, la limitazione della mobilità attiva e passiva dell’anca verso l’estensione, l’abduzione e l’intrarotazione, il dolore all’inguine irradiato al ginocchio, costituiscono un insieme sindromico difficilmente confondibile.
Il ritardo di intervento protrae la disabilità, complica l’intervento dell’ortopedico, compromette la qualità del risultato finale rendendo piú facile l’esito in coxartrosi.
