Lussazione congenita dell'anca
Divisione di Ortopedia infantile, IRCCS 'Burlo-Garofolo', Trieste
Il caso
Benedetta P., 2 anni e mezzo.
Arriva all'ortopedico, inviata dal pediatra, per una dismetria degli arti inferiori (sinistra< destra 0.7 mm) e per un'asimmetria delle pliche inguinali e della rima vulvare. Effettuando la manovra di Ortolani di screening, il pediatra aveva avuto la sensazione che la testa femorale sinistra fosse fuori dalla sua sede, ma fosse riducibile.
La bambina è primogenita, nata da una coppia di origine napoletana trasferitasi per motivi di lavoro a Gorizia: nata dopo il termine del periodo di gestazione, a 42 settimane, da parto spontaneo, eutocico, con presentazione cefalica. In realtà il rivolgimento della piccola era stato tardivo, essendo stata podalica fino a due settimane prima della nascita. Il punteggio di Apgar è stato di 9 alla nascita e poi di 10, il peso era di 3450 g.
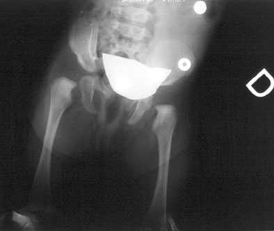
Con l'esame clinico l'ortopedico conferma, alla manovra di Ortolani, la risalita dell'anca, la riducibilità dell'anca sinistra, la dismetria degli arti inferiori e l'importante asimmetria delle pliche. Eseguito un radiogramma del bacino per anche, viene confermata una lussazione dell'anca sinistra, con un tetto acetabolare assolutamente insufficiente.

Il problema: come mai la diagnosi è sfuggita alla nascita?
La manovra di Ortolani alla nascita era risultata negativa e, al momento della dimissione dall'Ospedale dove era nata, non era stata consigliata l'esecuzione di una ecografia delle anche. Presso il Centro in cui la bambina era nata, infatti, l'ecografia viene consigliata soltanto a neonati con fattori di rischio: dubbi clinici, familiarità positiva per displasia congenita dell'anca o presentazione podalica (considerati criteri di rischio anamnestico maggiori). In questo caso specifico erano stati trascurati il rivolgimento tardivo e la provenienza della famiglia da un'area ad alta incidenza di displasia congenita dell'anca.
La soluzione
Il trattamento viene iniziato subito e consiste in una riduzione in narcosi con applicazione di un apparecchio gessato pelvi-podalico in I posizione da tenere per 35 giorni. Al primo gesso ne ha fatto seguito un secondo per altri 30 giorni.
Alla rimozione del secondo gesso, poiché l'anca appare stabile alla manovra di Ortolani effettuata sotto controllo radioscopico, si decide di passare al trattamento con ortesi in abduzione, in particolare con il divaricatore di Milgram, portato prima a tempo pieno e, verso la fione del trattamento, soltanto la notte. La bambina, sottoposta a periodici controlli, porta il divaricatore fino all'età di 14 mesi e mezzo, quando, ad un controllo radiografico del bacino sotto carico, entrambe le teste femorali appaiono bene in sede e i tetti cotiloidei sono entrambi sufficienti e ben coprenti.
Clinicamente non vi sono più i segni della patologia malformativa. La bambina viene sottoposta a periodici controlli negli anni seguenti e risulta perfettamente guarita, senza necessità di venire sottoposta a intervento chirurgico.

