L'epatite B
(parte prima)
L'epatite B (parte seconda) - Medico e Bambino, Luglio 2004
Ormai le due coorti di vaccinati, quella dei nuovi nati e quella dei dodicenni si sono incontrate: abbiamo in Italia una copertura vaccinale del 95% contro l'epatite B per 24 classi di età. D'ora innanzi vaccineremo solo i nuovi nati. Il successo ha portato alla quasi scomparsa dell'infezione da virus dell'epatite B nella parte della popolazione sottoposta alla vaccinazione. Ma con due milioni circa di portatori cronici dell'HBV l'herd immunity non ha potuto esplicare appieno la sua funzione di riduzione della circolazione dell'HBV.
E' venuto il momento di rivisitare la storia naturale della malattia e le sue conseguenze cliniche: un articolo di revisione (Ganem D, Prince AM – Hepatitis B virus infection – Natural hystory and clinical conseguences – N Engl J Med 2004, 350:1118-29) ci aiuterà in questo percorso.
Il virus dell'epatite B (HBV) è il membro prototipo della famiglia delle Hepadnaviridiae (hepatotropic DNA virus). Questi virus hanno la caratteristica d'invadere le cellule del fegato, anche se piccole quantità di questo virus si ritrovano nel rene, nel pancreas e nelle cellule mononucleate. Tuttavia l'infezione in queste sedi extraepatiche non si accompagna costantemente alla comparsa di quadri clinici.
I virioni dell'HBV hanno un diametro di 40-42 nm con un rivestimento esterno di lipoproteine, che contiene tre rivestimenti di glicoproteine (o antigeni di superficie = HBsAg). All'interno del rivestimento si trova il nucleocapside virale o core. Il core contiene il genoma virale, un DNA circolare, parzialmente doppio, di 3,2 kb e una polimerasi che è responsabile della sintesi del DNA virale nelle cellule infettate. Lo studio del DNA dei molti ceppi isolati di HBV ha confermato l'esistenza di molti genotipi virali, ognuno dei quali ha una distribuzione geografica caratteristica, ma non si accompagna a caratteristiche cliniche specifiche.
Oltre al virione, le cellule infettate con l'HBV producono due distinte particelle lipoproteiche:
- le sfere di 20 nm di diametro
- le forme filamentose di diametro simile ma di lunghezza diversa.
Queste particelle di HBsAg contengono solo le glicoproteine di rivestimento e i lipidi derivati dalla parete delle cellule dell'ospite e sono in numero molto superiore ai virioni: le sfere in una proporzione di 10.000 a 1 e le forme filamentose in una proporzione di 1.000 a 1.
Geni e proteine virali
Il genoma dell'HBV ha soltanto 4 lunghe aperte strutture di lettura.
La regione preS-S (presuperficie-superficie) codifica 3 antigeni virali di superficie con differenti inizi di traduzione per ognuno dei tre. La proteina più abbondante è la proteina 24-kD S chiamata HBsAg. L'inizio del codone a monte genera la proteina M (o preS2), la cui funzione è sconosciuta. L'inizio del codone ancora più a monte codifica per la proteina L (o pre-S1), che si pensa giochi un ruolo nel legame del virus alla cellula ospite e nell'assemblaggio del virione e nel suo rilasciamento dalle cellule.
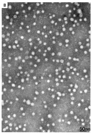
Nella parte A si osservano i virioni del virus dell'epatite B (particella Dane) e filamenti.
Nella parte B si osservano le particelle di HBsAg da 20 nm.
L'antigene HBs induce la sintesi di anticorpi, che hanno un valore protettivo, attiva le cellule della memoria sia B che T e inoltre induce risposte di tipo cellulare.
La regione preC-C (precore core) codifica per l'antigene del core dell'HBV (ABcAg) e per l'antigene e (HBeAg). Quando le catene attraversano il complesso di Golgi, la scissione da parte delle proteasi cellulari genera l'HBeAg, un frammento di 16-kD che viene secreto nel sangue. L'HBeAg non gioca un ruolo nell'assemblaggio del virus e la sua funzione non è chiara.
La regione P codificante è specifica della polimerasi virale, un enzima multifunzionale interessato nella sintesi del DNA e nella incapsidazione RNA. La struttura aperta di lettura (open reading frame) X codifica per la proteina virale X (HBx) che modula il segnale di transduzione della cellula ospite e può direttamente o indirettamente interessare l'ospite e l'espressione del gene virale. L'attività della proteina X è assolutamente richiesta per la moltiplicazione in vivo e per la diffusione del virus.
Ciclo di moltiplicazione virale
La figura 2 mostra i principali aspetti del ciclo moltiplicativo degli epadnavirus, l'aspetto principale dei quali è la moltiplicazione del genoma DNA da parte della trascrizione inversa di un intermediario RNA.
Per prima cosa i virioni si legano ai recettori della superficie cellulare, non ancora identificati. Dopo la fusione della membrana, il core attraversa il citosol (cioè la parte liquida del citoplasma: il citosol corrisponde cioè al citoplasma meno gli organelli e altri componenti insolubili in esso contenuti) e giunge al nucleo, dove il suo genoma DNA viene convertito in una forma circolare chiusa, covalente, che serve come templato di trascrizione per la RNA polimerasi II dell'ospite. Questo enzima genera una serie di costituenti genomici e subgenomici.
Tutti gli RNA virali sono trasportati nel citoplasma, dove vengono tradotti nel rivestimento, nel core, nelle proteine della polimerasi e anche nei polipeptidi X e preC. Successivamente i nucleocapsidi sono assemblati nel citosol e durante questo processo una molecola di RNA genomico è incorporata nel core virale.
Figura 2 – La moltiplicazione dell'HBV
Il virione HBV si lega ai recettori sulla superficie della cellula e penetra nel suo interno. La particella core dell'HBV migra nel nucleo dell'epatocita, dove il suo genoma viene modificato in un DNA circolare chiuso covalente (cccDNA) che rappresenta il templato per la trascrizione dell'RNA messaggero virale (mRNA). L'mRNA virale che ne risulta viene trasferito nel citoplasma per produrre la superficie virale, il core, la polimerasi e la proteina X. Quindi la progenie del capside virale si assembla, incorporando l'RNA virale del genoma. Questo RNA è trascritto inversamente a DNA. Il core che si viene a formare può sia passare nel reticolo endoplasmico per essere avvolto e per uscire dalla cellula, oppure il suo genoma può essere riciclato nel nucleo per la conversione a ccDNA. Le piccole sfere, di colore pesca, all'interno del core sono la DNA polimerasi virale.
A questo punto l'RNA virale viene incapsulato e inizia la trascrizione inversa. La sintesi delle due eliche di DNA è sequenziale.
Come si vede dalla figura, alcuni core sono trasportati di nuovo nel nucleo, per subire la elaborazione già descritta in precedenza, mentre la maggior parte di essi raggiunge la regione delle membrane intracellulari per formare le proteine del rivestimento virale. E' a questo punto che acquisiscono i rivestimenti lipoproteici, che contengono gli antigeni di superficie L, M ed S; in seguito il virus lascia la cellula.
Patogenesi dell'epatite B
Fin dall'inizio degli studi sull'epatite B, apparve chiaro che il ciclo di moltiplicazione del virus nella cellula non è direttamente citotossico.
Questo fatto è in accordo con l'osservazione che la maggior parte dei portatori di HBV è asintomatica e ha minime lesioni del fegato, nonostante che la moltiplicazione virale intraepatica sia intensa e persistente. Si pensa che siano le risposte immuni dell'ospite verso gli antigeni virali, presenti negli epatociti infettati, i principali determinanti delle lesioni epatiche. Questa affermazione è in accordo con l'osservazione clinica che pazienti con deficit immunologici, infettati con HBV, hanno spesso lesioni acute lievi del fegato, ma hanno alte probabilità di essere portatori cronici.
Figura 3 – Risposte immuni cellulari all'HBV
L'HBV si moltiplica nell'epatocita per produrre particelle HBsAg e virioni. Ambedue i tipi di particelle sono catturati dalle cellula presentanti l'antigene, che degradano le proteine virali a peptidi che sono presenti sulla superficie cellulare, legati alle molecole MHC di classe I e II. Questi antigeni peptidici possono essere riconosciuti dalle cellule T CD8 positive o CD4 positive., rispettivamente, che sono in tal modo sensibilizzate. Le cellule T citotossiche virus specifiche CD8 positive (con l'aiuto delle cellule T CD4 positive) possono riconoscere gli antigeni virali presenti sulle catene MHC classe I presenti sugli epatociti infettati. Questa reazione di riconoscimento può portare sia a una diretta lisi dell'epatocita infetto, sia alla liberazione di interferon gamma e di tumor necrosis factor alfa, che possono regolare verso il basso la moltiplicazione virale negli epatociti circostanti, senza uccidere direttamente la cellula.
Le risposte immuni all'HBV e il loro ruolo nella patogenesi dell'epatite B non sono completamente conosciute. Studi clinici correlati mostrano che sono evidenti nel sangue periferico di soggetti con epatite B acuta autolimitantesi, forti risposte delle cellule T verso i principali antigeni dell'HBV. Le risposte antivirali del linfociti T citotossici sono dirette verso epitopi multipli all'interno del core, della polimerasi e delle proteine del rivestimento dell'HBV; sono state dimostrate anche forti risposte delle cellule T helper verso le proteine C e P. Al contrario nei portatori cronici di HBV, tali risposte virus-specifiche delle cellule T sono fortemente attenuate, come risulta dall'esame delle cellule del sangue periferico. Anche le risposte anticorpali sono forti e durature in ambedue le situazioni (sebbene gli anticorpi verso l'HBsAg (anti-HBs) non siano dimostrabili nei portatori per l'eccesso di HBsAg circolante). Questo quadro suggerisce fortemente che le risposte delle cellule T, specialmente del linfociti T citotossici, giocano un ruolo centrale nella clearance virale,
Nella figura 3 sono riportati i tipi principali della risposta cellulare immune.
I meccanismi con i quali i linfociti T citotossici uccidono le cellule epatiche e la causa della clearance virale sono stati a lungo studiati nel topo transgenico. Poiché questi topi albergano i geni dell'HBV nel loro DNA, essi sono largamente tolleranti alle proteine dell'HBV e quindi, secondo quanto sopra esposto, non sviluppano lesioni epatiche clinicamente significative (Chisari FV, Curr Top Microbiol Immunol 1996, 206:149-73). Tuttavia se linfociti T citotossici antivirali di animali singenici sono trasferiti in questi topi, si sviluppano lesioni epatiche acute con la maggioranza degli aspetti dell'epatite B clinica. E' importante rilevare che in questo modello , il numero di epatociti uccisi è molto piccolo e insufficiente a determinare un danno del fegato. Questo rilievo suggerisce che la maggior parte delle lesioni è dovuta alle risposte infiammatorie non specifiche, messe in moto dalla risposta dei linfociti T citotossici, come il tumor necrosis factor, i radicali liberi e le proteasi. Altre popolazioni delle cellule immuni, principalmente le cellule natural killer probabilmente contribuiscono alle lesioni del fegato.
Recenti esperimenti suggeriscono che alcuni prodotti dell'infiammazione, principalmente l'interferon gamma e il tumor necrosis factor alfa possono avere un effetto antivirale che non interessa l'uccisione delle cellule bersaglio. Infatti quando linfociti T citotossici sono trasferiti al topo, che presenta HBV in moltiplicazione, il DNA e l'RNA virale scompaiono rapidamente dal fegato: un effetto che può essere bloccato dalla somministrazione di anticorpi diretto verso le due citochine
