Un bambino con Difetto Interventricolare
1 Clinica Pediatrica e 2 Servizio di Cardiologia IRCCS Burlo Garofalo, Trieste.
Indirizzo per corrispondenza: max.maschio@tiscali.it
Bambino rumeno di 4 mesi viene in Italia per la presenza di difficoltà respiratorie non meglio precisate presenti fin dalla nascita e per il riscontro radiologico di una massa, interpretata come di pertinenza mediastinica. Una delle ipotesi è che si trattasse di una ipertrofia timica in regressione. Non emergono da quanto riferito dai genitori e dalla persona che ha accompagnato la famiglia altri elementi per la diagnosi.
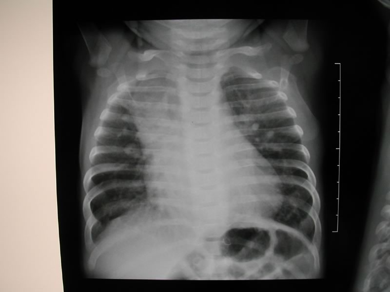
Al momento del ricovero il bambino è tuttavia polipnoico, con rientramenti al giugulo, epigastrici e intercostali, tosse stizzosa in decubito supino e presenta facile affaticabilità durante i pasti, epatomegalia. All'obiettività cardiologica appare un accenno di bozza precordiale, polsi molto ampi, itto e fremito epigastrico, soffio sistolico ad alta frequenza di intensità 3/6. La valutazione della Radiografia del torace (Fig. 1) evidenzia una cardiomegalia con ipertrofia biventricolare, senza chiari segni di iperaflusso polmonare. Evidente l'ipertrofia timica già descritta.
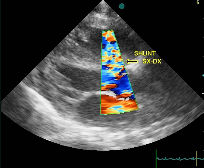
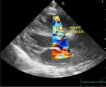
L'ecocardiografia evidenzia la presenza di un difetto interventricolare sottoaortico tra aorta e tricuspide con diametro superiore al 50% dell'aorta (Fig. 2), senza alcuna copertura aneurismatica, con sovraccarico di volume del ventricolo e dell'atrio sinistro; al color doppler ampio jet sinistro-destro a bassa velocità suggestiva per elevata pressione in ventricolo destro (Fig. 3).
E' stata quindi avviata terapia diuretica e digitalica con buona risposta clinica ma senza completa risoluzione dei segni di scompenso (tendenza all'incremento ponderale, polipnea).
A fronte del quadro clinico si è reso necessario trasferire il piccolo presso la Cardiochirurgia di Padova, per la correzione chirurgica in elezione del difetto interventricolare, attualmente il piccolo è in buone condizioni e libero da terapia.
Il difetto interventricolare è la più comune malformazione cardiaca alla nascita; in letteratura è riportato che fino al 4% dei neonati asintomatici presenta un piccolo difetto interventricolare alla nascita1.
La dimensione e la morfologia appaiono gli indicatori prognostici più importanti nel determinare la storia naturale di questo difetto. Si definiscono difetti di piccolo, medio o grosso calibro dal rapporto con il diametro dell'anello aortico (minore, uguale o maggiore del 50%).
Una classificazione comunemente accettata è quella di Somerville et al.2 secondo la quale i difetti interventricolari si suddividono in sottovalvolari e muscolari. I sottovalvolari sono in diretto rapporto con le valvole atrioventricolari o semilunari o entrambe, il bordo è costituito interamente da tessuto valvolare, senza interposizione di tessuto muscolare; a seconda, quindi, della valvola loro contigua si suddividono in subtricuspidali, submitralici, subaortici, subarteriosi o “doublecommitted” e subpolmonari (Fig. 4).
I difetti muscolari sono interamente delimitati da tessuto muscolare e possono essere classificati a seconda della loro posizione nel setto interventricolare in apicali, medi e della zona di efflusso (Fig. 4).
La maggior parte dei difetti (60%), tende a chiudersi spontaneamente entro i primi sei mesi di vita, prevalentemente quelli di tipo muscolare, un altro 10% si chiuderà successivamente e un 14%, quasi sempre di tipo sottovalvolare di grosso e medio calibro, necessita di intervento chirurgico.
Un 15% dei pazienti diventa adulto con persistenza di un difetto interventricolare: tra questi individui la complicazione maggiore è rappresentata dall'endocardite batterica, che ha un'incidenza tra l'1 e il 15%3.
Il caso descritto è “didattico” per le immagini diagnostiche (radiologiche ed ecocardiografiche), ma anche per il modo in cui è giunto in Italia: senza una apparente diagnosi (almeno da quanto dichiarato dalla madre), ma probabilmente con una patologia conosciuta dai colleghi rumeni, ma con la difficoltà ad intervenire, con un invito a rivolgersi altrove. Una storia di povertà e di bisogni dei Paesi dell'Est. Una riflessione su una Sanità che sia partecipe e che guardi lontano.
1-5 sottovalvolari: (1) submitralici, (2) subtricuspidali, (3) subaortici, (4) subarteriosi o double committed, (5) subpolmonari; 6-8 muscolari: (6) DIV della zona di efflusso, (7) medi, (8) apicali. MPM: muscolo papillare mediale.
Bibliografia
1. Stephen W.T, Tim Hornung, Stewart Hunter. “Closure of ventricular septal defects: a study of factors influencing spontaneous and surgical closure.” Cardiol Young 2002; 12: 357-63.
2. Neumayer U, Stone S, Somerville J. “Small ventricular septal defects in adults”. European Heart Journal 1998; 19: 1573-82.
3. H.M. Gabriel, M Heger, P Innerhofer. “Long-Term outcome of patients with ventricular septal defect considered not to require surgical closure during childhood”. Journal of the American College of Cardiology 2002; 6: 1066-1071.
