Polmonite interstiziale in immunodepresso:
Il Pneumocisti carinii
Clinica Pediatrica, IRCCS, Burlo Garofolo, Trieste
Indirizzo per corrispondenza: marzia_lazzerini@libero.it
Interstitial pneumonia in the immunocompromised child: Pneumocystis carinii
Key words: Pneumocystis carinii, Severe combined immunodeficiency, Interstitial pneumonia, Immunocompromised infant, Hypogammaglobulinemia, Bone marrow transplantation
Caso clinico
Bimbo di 6 mesi, nato a termine da parto regolare, PN 2900 LN 50 cm. Crescita buona fino al 4° mese, poi deflessione, con peso attuale di 5.700(<3°). Intorno al 5° mese ipotizzato, pur in assenza di rigurgiti importanti/vomito, un reflusso gastro-esofageo, trattato con ranitidina e domperidone, senza efficacia sulla crescita. Da qualche giorno i genitori hanno notato tachipnea, con peraltro obiettività toracica negativa.
Per un riscontro di una urinocoltura positiva per E. Coli (107), con modica leucocituria e PCR lievemente aumentata (PCR 1,5 mg/dl) pur in assenza di febbre esegue terapia antibiotica per os per 7 giorni. Anche a seguito della terapia antibiotica la crescita non riprende ed il bambino mangia sempre poco.
Il quadro clinico di arresto della crescita, tachipnea, episodio di infezione urinaria consigliano di eseguire una radiografia del torace con risultato negativo. All’emocromo riscontro di lieve leucocitosi (in particolare: Hb 11.2 gr/dl, nella norma per l’età), gb 15.300 N 53% L 35% M 7% LUC 2%, PTL 450.000), LDH elevato (750 U/L).
Il dosaggio delle immunoglobuline con sorpresa evidenzia una ipogammaglobulinemia severa con IgG ed IgA assenti (IgG 0, IgA 0), e valori di IgM normali-elevati per età (IgM 40). La PCR è negativa.
Viene quindi ricoverato per capire la natura della deflessione dalla curva di crescita, l’agammaglobulinemia, la tachipnea.
Obiettivamente il bambino si presenta in discreto stato generale. Afebbrile. Cute apparentemente rosea, normoidratato. FR aumentata (60 rpm). FC 110 bpm. All’auscultazione toracica non si apprezzano rumori aggiunti, buon ingresso d’aria su tutto l’ambito. Fegato e milza nei limiti. Non linfonodi palpabili di dimensioni aumentate. Non altra obiettività di rilievo.
Agli esami di laboratorio si conferma l’assenza delle IgG ed IgA, senza evidenza di linfopenia: Ig G 0, IgA 0, IgM 51 mg/dl. Hb 11.6 gb 18.380 N 53% L 39% M 7% PTL 714.000. LDH 780 U/L.
Le ipotesi diagnostiche che vengono fatte sono:
- Agammaglobulinemia di Bruton
- Immunodeficienza combinata severa (SCID) (anche se all’emocromo non sembra evidente una linfopenia è bene valutare le sottopopolazioni linfocitarie)
- Tra le SCID ipotizziamo una Sindrome da IperIgM
- Ipogammaglobulinemia transitoria dell’infanzia
Gli esami che vengono richiesti in prima battuta sono:
- Valutazione delle sottopopolazioni linfocitarie (CD)
- Valutazione dei titoli vaccinali
Molto rapidamente (in pomeriggio) arrivano i risultati delle sottopopolazioni linfocitarie:
- assenti i linfociti T CD4+. CD 8, CD 19 e CD 3 nella norma.
“La diagnosi è quindi quella di Immunodeficienza severa combinata (SCID) T-, B+.”
Vengono prese rapide decisioni con un programma che prevede:
- Isolamento del paziente in stanza con flusso laminare
- Riduzione dei contatti con terzi e precauzioni igieniche (lavaggio accurato delle mani, mascherina e sovracamici)
- Indicazione a consumare solo cibi cotti e acqua bollita (quest’ultima per il rischio potenziale d’infezione da Criptosporidium)
- Immunoglobuline EV sostitutive
- Profilassi per Pneumocisti carinii, con Cotrimossazolo (+ A Folico)
- Ricerca di citomegalovirus (CMV) virus di Ebstain-Barr (EBV), Herpes-virus (HV) di tipo 1, 2 e 6
- Ricerca su feci di Giardia e Cryptosporoidio
Le indagini per definire la genetica della malattia e la possibilità di familiari compatibili in vista del trapianto.
Ripensiamo (siamo sempre nel pomeriggio) alla tachipnea presente da qualche giorno… senza febbre, con auscultazione toracica nella norma, con indici di flogosi negativi, con precedente radiografia del torace data per negativa. Abbiamo un dubbio in mente, vista la diagnosi di immunodeficienza e decidiamo di ripetere la radiografia del torace.
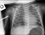
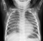
Il quadro che ci appare (Figura 1) è quello di un polmone “sporco” come da polmonite interstiziale.
Il sospetto è che il bambino possa avere una polmonite interstiziale o da virus o da Pneumocisti carinii. La diagnosi di polmonite da Pneumocisti carinii viene confermata il giorno seguente dalla ricerca biologica su aspirato (PCR positiva). Gli esami avviati per la ricerca di altri possibili agenti eziologici di polmonite interstiziale in immunodepresso (CMV, virus parainfluenzali) arriveranno nei giorni seguenti, e sono negativi.
Dalla sera stessa (prima ancora di avere la risposta della PCR da aspirato) viene iniziata la terapia con Cotrimossazolo a dosi terapeutiche (96 mg/kg/die in 2 dosi).
Decorso clinico
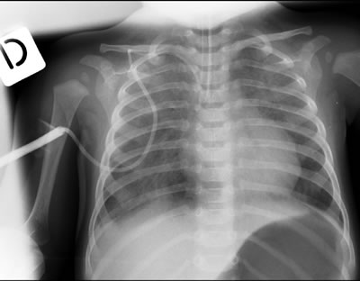
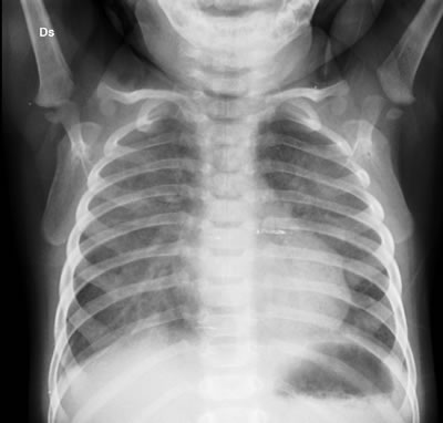
Le condizioni cliniche del piccolo peggiorano rapidamente "sotto i nostri occhi"; nel corso della serata la saturazione scende (SaO2 72%) e si rende necessario il supporto con ossigeno in nasocannule (4 L/min). Il giorno seguente le condizioni non migliorano, ed a 48 h circa dall’inizio della terapia il piccolo è trasferito in terapia intensiva per essere intubato ed eseguire ventilazione meccanica (VM). Il quadro radiologico toracico si rende più evidente (Figura 2). Necessita di VM per 5 giorni, poi migliora progressivamente fino alla guarigione. È in attesa del trapianto del midollo.
Riflessioni
Questo caso clinico sottolinea l’importanza della diagnosi tempestiva di immunodeficienza. Il Pneumocisti Carinii è uno dei possibili patogeni associati alla SCID, ed è frequentemente la modalità d’esordio della condizione. L’esordio è subdolo, spesso senza febbre e con auscultazione negativa, ma si tratta di un’infezione ad altissima mortalità, e per la quale esiste una terapia efficace.
L’esecuzione di una lastra del torace può mettere in luce il quadro di polmonite interstiziale caratteristico, prima che la malattia si renda clinicamente più evidente, e suggerendo da subito il trattamento antibiotico adeguato.
Approfondiamo brevemente alcuni aspetti della SCID (rimandando al seminario sulle immunodeficienze di questo numero) e del Pneumocisti Carinii (rimandando al prossimo numero delle elettroniche di MeB nella rubrica Il Punto su…)
Immunodeficienza severa combinata (SCID)
Il termine Immunodeficienza Severa combinata (SCID) è usato per descrivere un insieme di difetti genetici caratterizzati da:
- Compresenza di deficit di immunoglobuline ed deficit cellulare
- Espressione clinica generalmente precoce
- Grande variabilità genetica
La mortalità se la malattia non è riconosciuta è molto alta già nel primo anno di vita e l’unica possibilità terapeutica è la ricostituzione immunologica tramite trapianto di midollo osseo (TMO). L’incidenza è stimata a 1-2/100.000 nascite. I lattanti colpiti generalmente crescono bene nei primi mesi, poi incominciano a presentare una deflessione secondaria ad infezioni. Infezioni persistenti da germi opportunisti, come la Candida, il Pneumocisti carinii, il CMV, l’EBV, i virus parainfluenzali conducono a morte. Le infezioni sono sia severe che frequenti, persistono nonostante le terapie mediche e ricorrono con frequenza. La vaccinazione col BCG può evolvere in infezione disseminata.
Trasfusioni di emoderivati non irradiati possono indurre una reazione di trapianto contro l’ospite (non essendo possibile un rigetto per la mancanza di cellule competenti) e la stessa evenienza può accorrere anche per cellule materne trasferite col sangue placentare.
Molti difetti genici possono causare un quadro di SCID e nuovi difetti sono identificati ogni anno. La X-SCID (SCID associata al cromosoma X) è il difetto più frequente, e giustifica la preponderanza di casi maschili nella sindrome in generale. Seguono il deficit di Adenosin Deaminasi (ADA) sul quale si può intervenire in parte con terapia enzimatica, il deficit di recettore per l’IL-7 (IL7RA) ed il deficit di Janus-chinasi (JAK3), dopo il quale seguono molti altri difetti ad incidenza minore.
Nonostante grandi progressi nel capire le basi genetiche della malattia, la diagnosi clinica spesso è ritardata. Una storia familiare di morti infantili precoci e bassi valori di linfociti possono aiutare a suggerire la diagnosi. Le caratteristiche immunologiche sono: bassi valori di Immunoglobuline, assenza di anticorpi agli antigeni vaccinali, linfopenia, scarsa risposta delle cellule T a linfociti e fitogeni, cellule B assenti o a funzionalità ridotta. In genere il timo è ipoplasico. In alcuni casi (come nel nostro) la conta linfocitaria può essere apparentemente normale ed sono necessarie le sottopopolazioni linfocitarie per svelare il difetto.
Gli avanzamenti nella diagnosi precoce, terapie più efficaci e meno tossiche (antibiotici, antivirali, antifungini), l’utilizzo della terapia intensiva, hanno aumentato di molto la sopravvivenza dei bambini con SCID nelle ultime 3 decadi. Attualmente si stima che dal 75% al 90% dei bambini con SCID sono salvati dal TMO, con sopravvivenze migliori per i bambini che ricevono un trapianto da donatore HLA identico.
Vedi anche: Il seminario degli specializzandi.
Il Pneumocisti carinii
Qual è la presentazione clinica?
- Nel soggetto con grave compromissione dell’immunità cellulare ed in particolare nel soggetto HIV+ l’esordio è in genere sub-acuto, con iniziale tachipnea senza febbre e tosse non produttiva per giorni od anche settimane, associati alla sensazione di non poter prendere un respiro profondo. In questi pazienti in questa fase si enfatizza l’ossimetria (arteriosa) dopo sforzo (ad esempio esercizio fisico), che viene considerata sensibile e specifica per la diagnosi di PCP (l’assenza di desaturazione esclude virtualmente la diagnosi). La progressione è lenta in insufficienza respiratoria.
- Minore è il deficit del sistema immunitario, maggiore sarà la risposta infiammatoria, e quindi i sintomi clinici. Cioè la malattia è subdola nei soggetti più compromessi. Nei deficit di moderata gravità l’esordio è invece più spesso acuto, con tachipnea e dispnea improvvisa, tosse, rientramenti, cianosi.
- L’auscultazione del torace è generalmente negativa, raramente sono auscultabili rantoli fini inspiratori.
C’è un aspetto caratteristico dell’RX torace?
Inizialmente l’RX può essere normale (come nel nostro caso). In seguito possono comparire infiltrati interstiziali peri-ilari, con progressione verso la periferia. Il quadro può progredire con consolidamento degli spazi aerei (alveolari) bilaterali, mimando un edema polmonare, ma con risparmio degli spazi costo-frenici e degli apici.
Un 20% dei soggetti presentano quadri atipici, che includono formazioni di pneumatoceli, infiltrati monolaterali e/o lobari, noduli, linfoadenopatia mediastinica e versamenti pleurici.
In seguito al trattamento l’Rx può rimanere inalterato per 7-10 gg. In alcuni casi anche dopo completa guarigione ed in assenza di sintomi persistono anomalie radiologiche. In altri casi residuano fibrosi e/o bronchiectasie post-infettive.
Come fare la diagnosi?
La diagnosi definitiva richiede l’isolamento del PC.
Diagnosi diretta
- Induzione sputo sensibilità variabile 50-90% (in una metanalisi sensibilità 55%). *Non consigliato nel paziente compromesso (aumenta le secrezioni).
- Lavaggio broncoalveolare (BAL): sensibilità 90%.
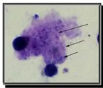
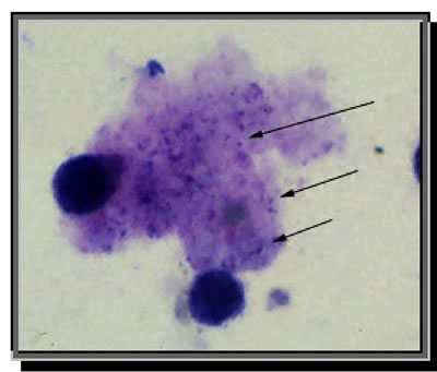
Esistono diversi tipi di colorazioni:
- Colorazione di Grocot e blu di toluidina per le forme cistiche
- Giemsa o altre colorazioni policromatiche per le forme trofiche
- IFA per entrambe le forme (cisti e trofozoiti). 23,34
PCR su aspirato orofaringeo: sensibilità 89%, specificità 94%.
Bibliografia di riferimento
- Arend SM, Kroon FP, van’t Wout JW. Pneumocystis carinii pneumonia in patients without AIDS, 1980 through 1993. An analysis of 78 cases. Arch Intern Med 1995;155(22):2436-41.
- Santamauro JT, White DA. Respiratory infections in HIV-negative immunocompromised patients. Curr Opin Pulm Med. 1996;2(3):253-8.
- Walzer PD. Pneumocystis carinii pneumonia in patients without human immunodeficiency virus infection. Clin Infect Dis. 1997;25(2):219-20.
- Hughes WT, Price RA, Sisko F et al. Protein-calorie malnutrition. A host determinant for Pneumocystis carinii infection. Am J Dis Child. 1974;128(1):44-52.
- Yale SH, Limper AH. Pneumocystis carinii pneumonia in patients without acquired immunodeficiency syndrome: associated illness and prior corticosteroid therapy. Mayo Clin Proc. 1996;71(1):5-13.
- Arend SM, Kroon FP, van’t Wout JW. Pneumocystis carinii pneumonia in patients without AIDS, 1980 through 1993. An analysis of 78 cases. Arch Intern Med 1995;155(22):2436-41.
- Thomas CF, Limper AH. Pneumocystis Pneumonia. NEJM 2004;350(24):2487-98.
- Cruciani M, Marcati P, Malena M, Bosco O, Serpelloni G, Mengoli C. Meta-analysis of diagnostic procedures for Pneumocystis carinii pneumonia in HIV-1-infected patients. Eur Respir J 2002;20(4):982-9.
