Rivista di formazione e aggiornamento professionale del pediatra e del medico di base, fondata nel 1982. In collaborazione con l'Associazione Culturale Pediatri.
Login Abbonamenti Pubblicazioni Carrello Registrazione Perché registrarsi? Contatti

Pediatria per immagini

Febbraio 2005

Una polmonite cavitaria

Federico Marchetti, Massimo Maschio, Egidio Barbi

Clinica Pediatrica, IRCCS Burlo Garofolo, Trieste

Indirizzo per corrispondenza:

marchetti@burlo.trieste.it

Sara, bambina di 18 mesi, viene vista in Pronto Soccorso (PS) in quanto ha febbre da 4 gg, senza sintomi di localizzazione (qualche raro colpo di tosse); mangia poco, dorme più del solito. Non ha avuto precedenti episodi infettivi riferibili alle vie urinarie. Al momento della visita le condizioni cliniche sono discrete. L'obiettività toracica è negativa; la frequenza respiratoria è nella norma per l'età. Membrane timpaniche nella norma. Iperemia faringea con lieve essudato. Polo di milza palpabile (2 cm). Non ha perso peso. La diagnosi è di sospetta virosi.

Dopo 2 giorni nuovo accesso in PS. La febbre persiste (siamo al 6° gg). Viene riferito che nelle ultime due notti si sveglia gridando. Non ha vomito e diarrea. E.O. Piagnucolosa, abbattuta, febbrile, non segni meningei; addome globoso, teso; fegato e milza palpabili a 2 cm dall'arco; tachipnea, con lieve riduzione del murmure vescicolare in sede basale dx. Non si apprezzano rantoli.

Esegue: Rx torace; Emocromo ed indici di flogosi

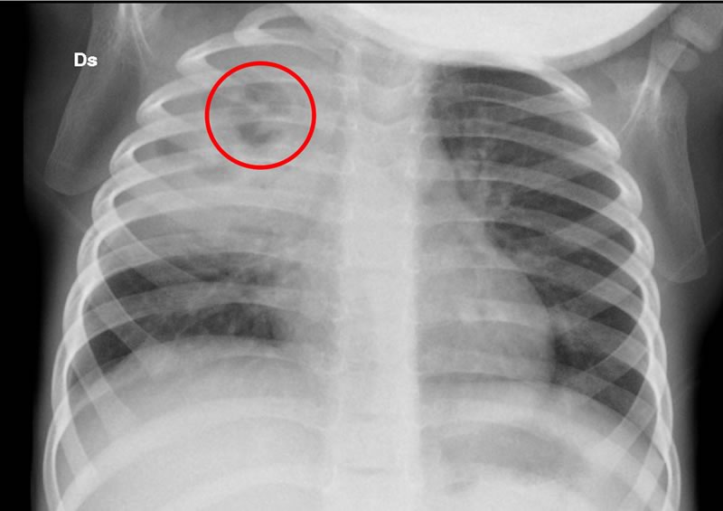
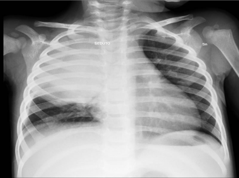
Alla radiografia del torace presenza di focolaio broncopneumonico dx (Figura 1)

1) Kun Wong, Cheng Hsun Chiu, Kee Min Yeow et al. Necrotising pneumonitis in children. Eur J Pediatr 2000;159:684-688 2) Anne P. Tan Kendrick, Ho Ling, Rammath Subramaniam, Vijeyakaran T. Joseph. The value of early CT in complicated childhood pneumonaie. Pediatr Radiol 2002;32:16-21. 3) Hodina M, Hanquinet S, Cottin J, Schnyder P, Gudinchet F. Imaging of cavitary necrosis in complicated childhood pneumoniae. Eur Radiol 2002;12(2):391-6.
Figura 1

VES: 129; PCR: 11; GB: 5990; Hb: 9,7; PLT: 108.000.

Viene ricoverata ed inizia Ceftriaxone per via e.v.; pensiamo che abbia una infezione da Streptococco Pneumoniae (SP). Il giorno successivo si ha la conferma con positività dell'antigene urinario.

Aveva un emocromo preoccupante (leucopenia, anemia, piastrine basse) che associato ad una lieve epatosplenomegalia lasciava anche il sospetto di una malignità (LLA)

Dopo 2 gg l'emocromo si era normalizzato: GB: 13.200; Hb: 9,5; PLT: 177.000; LDH: 543; la PCR era in calo: 6,6.

Dopo tre giorni di ricovero Sara continuava ad avere febbre con puntate tipo settico (39-40°C); le condizioni cliniche erano discrete. La PCR era in ulteriore calo. Obiettività toracica sempre di franca ottusità con soffio bronchiale. Non era dispnoica

Bisognava escludere che non fosse aumentato il versamento (causa di non sfebbramento). L'Rx torace ed l'ecografia torace non evidenziavano più la piccola falda di versamento. Opacità invariata.

A questo punto visto che si trattava di un Pneumococco, si poteva pensare che fosse presente una piccola raccolta purulenta (nel focolaio). Si è pensato di aggiungere alla terapia la Vancomicina, con il pensiero di sospendere il ceftriaxone.

Era difficile pensare ad una infezione mista da Mycoplasma pneumoniae (Krugmann negativo, anticorpi anti Mycoplasma negativi). La Mantoux era negativa.

Al 7° giorno le condizioni cliniche e l'obiettività toracica di Sara erano un pò migliorate, ma era sempre presente febbre (39-40°C); la PCR era in ulteriore calo: 2,5 (Figura 2).

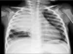
Focolaio BPN dx che interessa il lobo superiore e medio, con piccola falda di versamento Figura 2

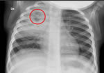
Ripete la Radiografia del torace che evidenzia in sede centrale al focolaio un'area di pneumatizzazione (Figura 3).

ingrandisci (63 Kb) Andamento della febbre (in rosso), antibiotici utilizzati, valori della PCR Figura 3

Siamo all'11° giorno di ricovero. Sempre febbre (39-40°C); la PCR era in ulteriore calo: 1,7 (poi rialzo a 2,5). Si decide di eseguire la TAC del torace con l'ipotesi che possa avere o un ascesso o un'altra complicanza.

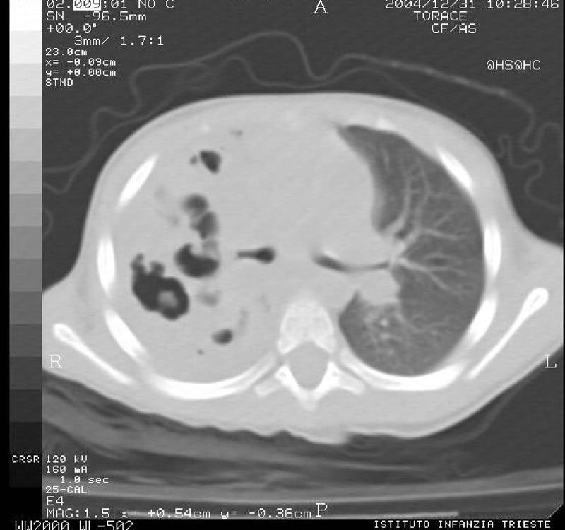
La TAC del torace (Figura 4) mostra un esteso addensamento polmonare disomogeneo per la presenza di multiple aree ipodense e necrotiche nel cui contesto si apprezzano numerose cavità a contenuto aereo (pneumatoceli).

Opacità al campo superiore medio di dx con area di relativa radiotrasparenza nei settori più craniali, da possibile iniziale cavitazione. Figura 4

Visto anche il rialzo della PCR la terapia antibiotica viene modificata con l'utilizzo della ciprofloxacina e del tiamfenicolo (sempre per via venosa).

A distanza di 48 ore Sara è sfebbrata, con PCR in ulteriore decremento (Figura 5)

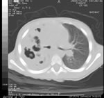
TAC torace eseguita prima e dopo la somministrazione di mezzo dio contrasto per via endovenosa. In corrispondenza del lobo superiore e dei segmenti apicali e del lobo inferiore a destra si apprezza un esteso addensamento polmonare disomogeneo per la presenza di multiple aree ipodense, necrotiche nel cui contesto si apprezzano numerose cavità a contenuto aereo in un quadro compatibile con pneumatocele. Nei settori anteriori e periilari dell'addensamento è apprezzabile broncogramma aereo. Figura 5

Al 18° giorno viene dimessa in terapia con ciprofloxacina somministrato per os. Un controllo a distanza ha evidenziato una completa normalizzazione del quadro radiologico.

Conclusioni e riflessioni

Sara ha avuto una broncopolmonite da SP, con un ritardo di diagnosi di circa 5 giorni dall'inizio dei sintomi. Il quadro clinico iniziale che ha presentato è tipico della polmonite da Pneumococco, con febbre elevata e con obiettività toracica negativa.

Il suo decorso, nonostante un approccio terapeutico antibiotico corretto (ceftriaxone e poi vancomicina) si è complicato con un quadro di cavitazione.

Non è conosciuta l'incidenza della Pneumopatia Necrotica Cavitaria (PNC) nelle polmoniti di comunità. E' sicuramente più frequente nei pazienti immunodepressi (nel caso di Sara è possibile che la neutropenia iniziale abbia favorito la complicanza).

In una sorveglianza di 5 anni condotta presso un ospedale di Taiwan i casi pediatrici con PNC sono stati 21, la metà dei quali con associato versamento pleurico che ha richiesto la toracoscopia (con decorticazione o lisi)1. Nei casi in cui è stato determinato l'agente eziologico, in 3 casi si trattava dello SP, in 2 dello Stafilococco aureus ed in altri due dell'Haemophilus influentiae. La durata dell'ospedalizzazione e della terapia antibiotica è stata di 22 gg+5. Gli antibiotici utilizzati sono stati la vancomicina o una cefalosporina associata ad un aminoglicosidico. La durata della febbre è stata mediamente di 9,5 giorni (+3.5) nei pazienti non sottoposti ad intervento chirurgico. I tempi descritti di durata della terapia antibiotica e della febbre sono molto simili a quelli visti nel caso di Sara

La persistenza della febbre, anche in presenza di un miglioramento clinico e di un decremento della PCR, deve far sospettare questa complicanza (al pari della ascessualizzazione) e l'esame diagnostico in grado di documentare le cavitazioni è sicuramente la TAC del torace con mezzo di contrasto. Infatti, la radiografia convenzionale ha rispetto alla TAC una bassa sensibilità nel riconoscere le complicanze della polmonite (cavitazione, formazioni ascessuali, suppurazione)2,3.

Bibliografia

ingrandisci (54 Kb)

Andamento della febbre (in rosso), antibiotici utilizzati, valori della PCR