Due facce radiologiche della stessa malattia
1Dipartimento di Terapia Intensiva Neonatale, IRCCS Burlo Garofolo, Trieste
2U.O. di Radiologia, IRCCS Burlo Garofolo, Trieste
3Dipartimento di Terapia Intensiva Neonatale, Azienda Ospedaliero - Universitaria di Udine
Indirizzo per corrispondenza: federicominen@gmail.com
Il caso clinico
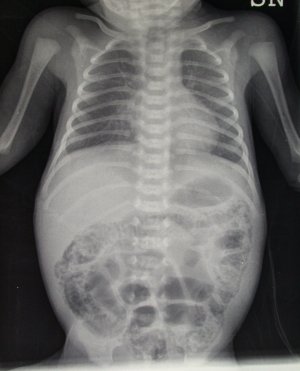
Emma � una bambina nata a 33 settimane di et� gestazionale da taglio cesareo d'urgenza. A 5 giorni di vita ha sviluppato una clinica caratterizzata da feci ematiche, addome globoso e dolente, con anse disegnate e palpabili. La radiografia dell'addome ha dimostrato una marcata pneumatosi intestinale (Figura 1), quadro radiologico suggestivo di enterocolite necrotizzante. Veniva sospesa l'alimentazione per bocca, avviata triplice terapia antibiotica (Ampicillina, Netilmicina, Metronidazolo) e farmaci inotropi (dopamina, dobutamina, plasma). Nonostante il quadro radiologico cos� eclatante la piccola ha ben risposto alla terapia conservativa, non necessitando di intervento chirurgico.
Alessia � nata invece a 25 settimane gestazionali da taglio cesareo d'urgenza a causa di metrorragia materna. A 13 giorni di vita, per la comparsa di ristagni biliari, di segni clinici di infezione ed addome molto disteso, � stata sospesa l'alimentazione enterale, avviata terapia antibiotica e trasferita presso il nostro Istituto nel sospetto di una iniziale enterocolite necrotizzante. All'arrivo si presentava marezzata, con addome marcatamente disteso.
La radiografia addominale in ortostatismo dimostrava falce d'aria subfrenica bilaterale (Figura 2), quadro tipico di perforazione intestinale. Sottoposta ad intervento chirurgico, si reperivano tre perforazioni ileali e si procedeva quindi a resezione limitata delle prime due perforazioni prossimali con anastomosi termino-terminali e confezionamento di ileostomia terminale sulla perforazione distale.
La malattia
L'enterocolite necrotizzante � la pi� grave patologia acquisita del tratto gastrointestinale del neonato. E' caratterizzata da vari gradi di necrosi mucosa o transmurale dell'intestino. La sua incidenza si aggira attorno all'1-5% dei neonati presenti in terapia intensiva neonatale. Incidenza e mortalit� aumentano al decrescere dell'et� gestazionale e del peso alla nascita.
L'eziologia � multifattoriale. La tipica triade chiamata in causa �: ischemia intestinale, alimentazione enterale, patogeni intestinali. Probabilmente la patologia deriva da un'interazione tra un danno alla mucosa (da ischemia, infezione, infiammazione) e la risposta dell'ospite ad essa (circolatoria, infiammatoria, immunologica). I patogeni chiamati in causa sono molti (E. Coli, Klebsiella, C. Perfringens, S. Epidermidis e i rotavirus). Frequentemente non viene isolato alcun patogeno all'emocoltura. Il maggiore fattore di rischio rimane comunque la prematurit� (la NEC � molto rara nel nato a termine).
L'esordio della malattia avviene tipicamente entro 2 settimane dalla nascita; i primi segni sono la distensione addominale con ristagni gastrici; possono seguire in varia misura vomito, sangue fecale, massa addominale, letargia, distress respiratorio, acidosi, instabilit� glicemica, shock, coagulazione intravasale disseminata. Lo spettro clinico � quindi molto ampio, e dipende dal grado di necrosi intestinale: si pu� andare dalla pneumatosi intestinale (gas accumulato nella sottomucosa della parete intestinale) alla perforazione intestinale con sepsi e morte.
Tre sono i quadri radiologici caratteristici di enterocolite necrotizzante: pneumatosi intestinale (Figura 1), presenza di gas nella vena porta, e pneumoperitoneo con falce d'aria subdiaframmatica in ortostatismo (Figura 2).
La diagnosi differenziale include ostruzione intestinale, volvolo, perforazione intestinale isolata, infezione sistemica o locale.
La terapia �, quando possibile, conservativa, con cessazione dell'alimentazione enterale, decompressione gastrica, alimentazione parenterale totale e terapia antibiotica.
Le indicazioni alla laparotomia sono invece: mancata risposta alla terapia medica, pneumoperitoneo, eritema della parete addominale, presenza di una massa palpabile in addome. Una resezione intestinale massiva pu� portare alla sindrome dell'intestino corto caratterizzata da malassorbimento, malnutrizione ed ittero colestatico.
Le principali strategie di prevenzione attuabili nei nati molto pretermine sono: 1) il latte materno e 2) un approccio strutturato nell'alimentazione entrale (minimal enteral feeding).

Figura 1

Figura 2
Bibliografia di riferimento
Patricia W. Lin, Barbara J Stoll. Necrotising Enterocolitis. Lancet 2006; 368:1271-83
Panigrahi P. Necrotizing enterocolitis: a practical guide to its prevention and management. Paediatr Drugs 2006;8(3):151-65.
