Steatonecrosi del tessuto adiposo neonatale
Dipartimento di Pediatria, Ospedale Materno-Infantile �Salesi�, Ancona
Indirizzo per corrispondenza: debenedictis@ao-salesi.marche.it
Maschio, nato a termine da taglio cesareo per segni di sofferenza fetale dopo gravidanza normodecorsa, peso alla nascita 3100 g, punteggio Apgar 5/6/7 a 1/5/10 min, viene trasferito in Unit� di Terapia Intensiva per distress respiratorio e sottoposto a ventilazione meccanica per 12 giorni. Durante la degenza presenta sepsi, piastrinopenia grave (27.000/mmc), ipertensione polmonare, per cui viene effettuata terapia con antibiotica sistemica e viene somministrato ossido nitrico per via inalatoria. All�et� di 19 giorni viene trasferito presso il nostro Reparto per la prosecuzione delle cure. In sesta giornata di ricovero si evidenziano lesioni eritemato-nodulari di pochi millimetri di diametro, dolenti alla palpazione, in sede ascellare e sottoscapolare destra. Nei giorni successivi le lesioni si estendono al volto, agli arti superiori e al torace e assumono dimensioni maggiori, fino a 3 cm di diametro (Figura 1 a,b). L�ecografia dei tessuti superficiali evidenzia �disomogeneit� ecostrutturale del tessuto adiposo sottocutaneo�. I dati di laboratorio evidenziano VES 63 mm/h e PCR 14 mg/dl (vn: <0,6) quali unici elementi significativi. L�ecografia addominale risulta nella norma. Per una migliore definizione diagnostica si decide di effettuare una biopsia cutanea delle lesioni che mostra �steatonecrosi del tessuto adiposo sottocutaneo con formazione di cristalli aghiformi� (Figura 2).
|
|
Figura 1(a, b). Lesioni eritemato-nodulari estese fino a 3 cm di diametro. | |
|
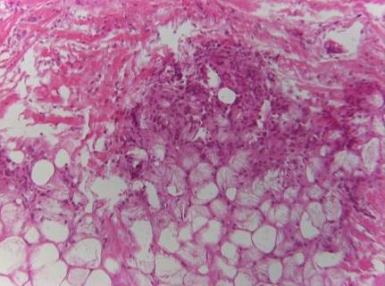
Figura 2. Steatonecrosi del tessuto adiposo sottocutaneo con formazione di cristalli aghiformi (biopsia cutanea) |
Qual � la diagnosi?
Il quadro bioptico risulta compatibile con �steatonecrosi del tessuto adiposo neonatale�. Questa malattia esordisce nelle prime settimane di vita e in genere presenta un�evoluzione favorevole. L�ipercalcemia rappresenta tuttavia una possibile complicanza che rende necessario un attento follow-up clinico-laboratoristico.
I noduli sottocutanei del nostro paziente hanno continuato a crescere in numero e dimensioni per altre due settimane. Per tale motivo e per la persistenza di indici di flogosi elevati, nel secondo mese di vita si � deciso di intraprendere terapia steroidea. Si � assistito a una rapida normalizzazione degli indici di flogosi e al progressivo miglioramento del quadro cutaneo con definitiva scomparsa delle lesioni dopo circa tre mesi.
Dagli accertamenti di laboratorio sono emerse dislipidemia (trigliceridi 381 mg/dl; colesterolo totale 168 mg/dl) a un mese dall�esordio della malattia e ipercalcemia (11 mg/dl) al quarto mese. Entrambe le condizioni si sono risolte nello spazio di settimane.
Discussione
La necrosi adiposa sottocutanea del neonato � una condizione a incidenza non nota, ma relativamente rara1. Esordisce entro le prime settimane di vita in neonati a termine solitamente con storia di problemi perinatali e ha carattere transitorio.
La malattia si caratterizza per la presenza di noduli sottocutanei singoli o multipli, isolati o confluenti in placche, di colorito eritematoso o violaceo, talora con depressioni puntiformi, distribuiti simmetricamente al dorso, alle spalle, ai glutei, alla radice degli arti e alle guance, spesso dolenti al tatto. La parte anteriore del tronco � di solito risparmiata. Le lesioni tendono ad accrescersi per alcune settimane e in genere si risolvono senza esiti entro pochi mesi. I noduli possono presentare calcificazioni nell�interno o diventare fluttuanti per liquefazione necrotica del tessuto adiposo2.
Le cause della necrosi adiposa sottocutanea non sono ben chiare. Poich� la maggior parte dei neonati affetti presenta storia di asfissia perinatale o di sofferenza fetale in corso di travaglio, un danno ischemico, l�ipossia, l�ipotermia e/o un danno da stress sul tessuto adiposo immaturo potrebbero avere un ruolo etiopatogenetico3-5. Quali elementi favorenti sono state ipotizzate alterazioni del metabolismo o della composizione del tessuto adiposo sottocutaneo. L�elevato contenuto di acidi grassi saturi a elevato punto di fusione nel tessuto adiposo potrebbe comportare una maggior tendenza alla cristallizzazione e una conseguente necrosi in corso di ipotermia6,7. L�ipertensione materna, il diabete gestazionale, gli interventi di cardiochirurgia neonatale e la familiarit� per rischio trombofilico e per dislipidemia sono ritenuti concomitanti fattori di rischio per la malattia3,5,8.
La diagnosi � essenzialmente clinica. Caratteristicamente, le lesioni tendono a localizzarsi nelle aree in cui c�� una prominenza ossea. Nei casi dubbi, a supporto della diagnosi pu� essere di ausilio la biopsia cutanea. L�esame istologico rivela aree di necrosi grassa, infiltrato infiammatorio cronico linfo-istiocitario con cellule giganti multinucleate e formazione di granuloma, adipociti con strutture eosinofile intracitoplasmatiche disposte radialmente riferibili a cristalli lipidici9. L�agoaspirato delle lesioni sottocutanee pu� essere considerato un metodo diagnostico alternativo alla biopsia10. All�esame ecografico le lesioni si presentano come aree di aumentata ecogenicit�. Lo studio con risonanza magnetica si caratterizza per la presenza di zone a segnale ridotto-intermedio in T1 e aree a segnale intermedio-aumentato in T211.
La diagnosi differenziale va posta innanzitutto con lo sclerema neonatorum. Questa malattia si verifica quasi esclusivamente in prematuri, si manifesta con indurimento generalizzato della cute con risparmio di palmo delle mani, pianta dei piedi e genitali, e ha una prognosi sfavorevole12. Altre condizioni da considerare sono la cellulite batterica, gli emangiomi, i rabdomiosarcomi, l�istiocitosi, la fibromatosi, la malattia di Farber12.
L�ipercalcemia rappresenta la complicanza pi� temibile13. Pu� insorgere anche a distanza di alcuni mesi e, se non riconosciuta, pu� essere fatale. Pu� essere asintomatica o manifestarsi con irritabilit�, letargia, ipotonia, vomito, poliuria, polidipsia, stipsi, scarsa crescita ponderale; convulsioni, arresto cardiaco, insufficienza renale sono le manifestazioni pi� gravi2. Forme persistenti di ipercalcemia sono associate a nefrocalcinosi e, pi� raramente, a calcificazioni metastatiche di cute, cuore, fegato, miocardio e vasi6,8.
La patogenesi dell�ipercalcemia non � nota, ma la presenza di questa complicanza in forme cliniche caratterizzate da calcificazione dermo-ipodermica delle lesioni ha indotto a ritenere che possa essere conseguente al rilascio di calcio da parte dei noduli sottocutanei in via di riassorbimento13. Quali fattori patogenetici sono stati anche ipotizzati un aumentato assorbimento intestinale di calcio, dovuto all�aumentata produzione di 1,25-diidrossi-calciferolo da parte dei macrofagi con incremento del turnover osseo14 e un�aumentata attivit� degli osteoclasti con maggiore riassorbimento osseo conseguente a elevati livelli di prostaglandina E2 e paratormone15.
Meno frequentemente sono presenti altre complicanze come piastrinopenia (verosimile conseguenza del sequestro di piastrine a livello del tessuto sottocutaneo), alterazioni metaboliche (ipertrigliceridemia, ipoglicemia) ed evoluzione atrofica delle lesioni nodulari8.
Il caso descritto � stato caratterizzato dall�aumento degli indici di flogosi (VES, PCR), persistiti elevati per oltre un mese e tornati nella normalit� solo dopo l�introduzione della terapia steroidea sistemica. Questo aspetto non trova riscontro nella letteratura e non ha potuto essere attribuito da noi ad altre patologie concomitanti. Una genesi infettiva batterica appare comunque poco verosimile in quanto la terapia antibiotica, da noi prudentemente instaurata, non ha mostrato alcun effetto sui suddetti indici.
La prognosi � generalmente buona, in quanto le lesioni risolvono spontaneamente nel giro di alcune settimane. In presenza di noduli estesi e fluttuanti si pu� ricorrere ad aspirazione per prevenire infezioni, necrosi cutanea e cicatrici2. La terapia dell�ipercalcemia si avvale di misure conservative, quali idratazione e restrizione dell�apporto di calcio e vitamina D, fino a interventi pi� aggressivi con necessit� di diuretici e steroidi16. I glucocorticoidi interferiscono con il metabolismo della vitamina D nella sua forma attiva e inibiscono la formazione della stessa da parte dei macrofagi coinvolti nel processo infiammatorio. Nei casi di ipercalcemia grave sono stati recentemente utilizzati trattamenti a breve termine con i bifosfonati (es. pamidronato), che riducono il riassorbimento osseo e potrebbero prevenire la nefrocalcinosi17.
Bibliografia
Aliaser F, Weinstein M. A 1-week-old newborn with hypercalcemia and palpable nodules: subcutaneous fat necrosis. Can Med Ass Jour 2008;178:1653-4.
Tran JT, Sheth AP.�Complications of subcutaneous fat necrosis of the newborn: a case report and review of the literature.�Pediatr Dermatol 2003;20:257-61.
Burden AD, Krafchik BR. Subcutaneous fat necrosis of the newborn: a review of 11 cases. Pediatr Dermatol 1999;16:384-7.
Hicks MJ, Levy ML, Alexander H, Flaitz CM. Subcutaneous fat necrosis of the newborn and hypercalcemia: case report and review of the literature. Pediatr Dermatol 1993;10:271-6.
Chuang SD, Chiu HC, Chang CC. Subcutaneous fat necrosis of the newborn complicating hypothermic cardiac surgery. Br J Dermatol 1995;132:805-10.
Walker WP, Smith RJH, Cohen MB. Fine-needle aspiration biopsy of subcutaneous fat necrosis of the newborn. Diagn Cytopathol 1993;9:329-32.
Vonk J, Janssens PMW, Demacker PNM, Folkers E. Subcutaneous fat necrosis in a neonate, in association with aberrant plasma lipid and lipoprotein values. J Pediatr 1993;123:462-4.
Mah� E, Girszyn N, Hadj-Rabia S, et al. Subcutaneous fat necrosis of the newborn: a systematic evaluation of risk factors, clinical manifestations, complications and outcome of 16 children. British Journal of Dermatology 2007;156:709-15.
Tajirian A,Ross R, Zeikus P, et al.Subcutaneous fat necrosis of the newborn with eosinophilic granules. J Cut Pathol 2006;34:588-90.
Gupta RK, Naran S, Selby RE. Fine needle aspiration cytodiagnosis of subcutaneous fat necrosis of the newborn. Acta Cytol 19995;39:759-61.
Vasireddy S,.Long SD, Sacheti B, et al. MRI and US findings of subcutaneous fat necrosis of newborn. Pediatr Radiol 2009;39:73-76.
Jardin D, Atherton DJ, Trompter RS. Sclerema neonatorum and subcutaneous fat necrosis of the newborn in the same infant. Eur J Pediatr 1990;150:125-6.
Dudink J, Walther FJ, Beekman RP. Subcutaneous fat necrosis of the newborn: hypercalcemia with hepatic and atrial myocardial calcification. Arc Dis Child Fetal Neonatal 2003;88:F343-5.
Kruse K, Irle U, Uhlig R. Elevated 1,25-dihydroxyvitamin D serum concentrations in infants with subcutaneous fat necrosis. J Pediatr 1993;122:460-3.
Sharata H, Postellon DC, Hashimoto K.�Subcutaneous fat necrosis, hypercalcemia, and prostaglandin E.�Pediatr Dermatol�1995;12:43-7.
Rice AM, Rivkees SA. Etidronate therapy for hypercalcemia in subcutaneous fat necrosis of the newborn. J Pediatr 1999;134:349-51.
Alos N, Eugene D, Fillion M, et al.�Pamidronate: Treatment for severe hypercalcemia in neonatal subcutaneous fat necrosis.�Horm Res 2006;65:289-94.

Figura
1 a
Figura
1 b