Febbre di origine sconosciuta, radiografia del torace e� risonanza dell�encefalo
Clinica Pediatrica, IRCCS �Burlo Garofolo�, Trieste
Indirizzo per corrispondenza: pastore_serena@libero.it
Una ragazzina di 14 anni affetta da sindrome di Down viene alla nostra attenzione in quanto da un mese presenta vomito, astenia, inappetenza, dolore addominale e febbre con calo ponderale di 15 kg. Nessun beneficio dopo trattamento antibiotico, dapprima amoxicillina e azitromicina, e poi con ceftriaxone.
All�esame obiettivo nulla da segnalare tranne linfoadenopatia laterocervicale e sottomandibolare.
Gli esami di laboratorio evidenziano un marcato aumento degli indici di flogosi: VES 102 mm/h, PCR 12.7 mg/dl.
Durante la prima notte di ricovero compare polipnea, dispnea ed episodi di desaturazione fino a 83%, per cui diventa necessaria l�ossigeno-terapia.
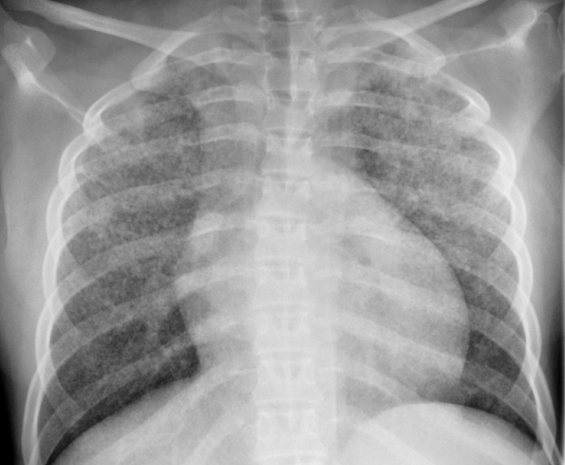
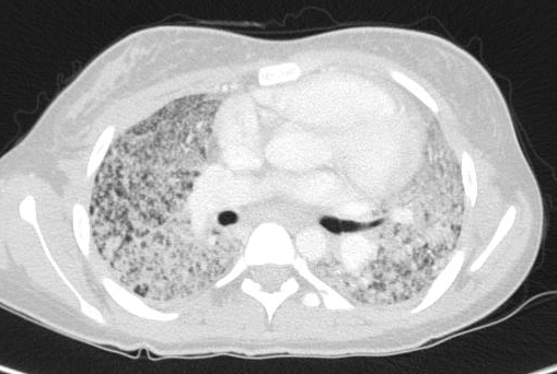
Viene dunque eseguita una radiografia del torace che mostra un quadro di infiltrazione micronodulare bilaterale diffusa (Figura 1) confermato anche alla TAC (Figura 2).

Figura 1. Diffusamente e bilateralmente sono presenti innumerevoli noduli millimetrici, ben definiti, di 1-4 mm di diametro, distribuiti prevalentemente nei campi polmonari superiori.

Figura 2. Presenza di numerosissime piccole opacit� di tipi interstiziale e micronodulare, grossolane tumefazioni linfonodali in sede mediastinica.
Qual � la diagnosi?
Tubercolosi miliare.
Mantoux e QuantiFERON risultano positivi e nell�aspirato ipofaringeo vengono isolati bacilli acido-alcool-resistenti.
Si avvia terapia con rifamipicina (20 mg/kg/die), isoniazide (10 mg/kg/die), pirazinamide (40 mg/kg/die), amikacina (15 mg/kg/die).
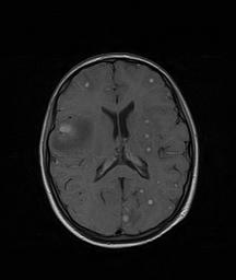
Vista la persistenza del vomito, viene effettuata anche una risonanza magnetica cerebrale (RMN) encefalo con mezzo di contrasto che mostra multiple lesioni cerebrali circolari, alcune con forma ad anello dopo captazione del mezzo di contrasto, compatibili con tubercolomi (Figura 3). Eseguita anche un�ecografia addominale che evidenzia quattro lesioni circolari a livello epatico, anch�esse accordabili con tubercolomi.

Figura 3. Bilateralmente si evidenziano numerosissime lesioni rotondeggianti iso-ipointense in T1, con netto enhancement dopo mdc, delle dimensioni comprese tra 5-7 mm e con edema perilesionale. Diverse di queste lesioni presentano il centro ipointenso in T1, da necrosi caseosa, con impregnazione periferica ad anello dopo mdc; la lesione di dimensioni maggiori � localizzata in sede parietale destra, con marcato edema perilesionale, che causa minima compressione del corno frontale di destra e modesto shift della linea mediana verso sinistra.
Dalla coltura dell�aspirato ipofaringeo si isola un ceppo di Mycobacterium bovis resistente alla pirazinamide, che si sostituisce dunque con l�etambutolo.
La contemporanea ottimizzazione della terapia steroidea (prednisone 1 mg/kg endovena) porta infine a una risoluzione completa dei sintomi.
Discussione
La tubercolosi miliare � la forma pi� comune in et� pediatrica, e nei pazienti immunodepressi e malnutriti. I sintomi e i segni della tubercolosi miliare sono spesso esigui rispetto al grado di lesioni polmonari viste alla radiografia; pi� del 50% dei bambini con tubercolosi radiologicamente moderata o grave non hanno un�obiettivit� patologica. L�esordio � sovente insidioso con sintomi aspecifici quali anoressia, calo ponderale e febbricola1.
L�interessamento del sistema nervoso centrale (SNC) si verifica in circa l�1% dei pazienti con tubercolosi attiva. Mycobacterium dal polmone raggiunge per via ematogena l�encefalo e il midollo spinale, dove forma dei foci subpiali e subependimali. In alcuni soggetti i foci si rompono e la disseminazione dei batteri nello spazio subaracnoideo causa la meningite; in altri, i foci si allargano fino a formare tubercolomi senza interessamento meningeo.
I tubercolomi cerebrali sono spesso asintomatici; a seconda della loro localizzazione possono dare segni neurologici focali che sono tuttavia poco frequenti nel bambino. La RMN encefalica rappresenta il gold standard diagnostico: i tubercolomi appaiono come lesioni circolari con forma ad anello dopo captazione del mezzo di contrasto, circondate da edema2.
Nel sospetto di malattia tubercolare bisogna avviare tempestivamente la terapia in quanto il ritardo terapeutico � associato a un elevato rischio di morte e sequele neurologiche.
Il regime classico � rappresentato dall�associazione di rifampicina e isoniazide con l�aggiunta della pirazinamide nei primi due mesi. Mycobacterium bovis � sovente resistente alla pirazinamide (in una casistica americana ben l�89% dei casi3) per cui quest�ultima viene sostituita con l�etambutolo.
Nelle forme cerebrali pu� essere utile inizialmente associare un aminoglicoside come l�amikacina per la sua buona penetrabilit� attraverso la barriera emato-encefalica. Non ci sono dati sufficienti che stabiliscono la durata del trattamento anti-tubercolare nei casi di localizzazione encefalica, ma sembra ragionevole proseguire per 9-12 mesi1,2.
Pazienti che sono trattati con una terapia ottimale possono avere un aumento paradosso del numero di tubercolomi encefalici4. La causa di questo fenomeno non � stata individuata ma tale evento non deve essere considerato un fallimento del trattamento.
Non ci sono in letteratura trial controllati che hanno esaminato se i pazienti con tubercolomi cerebrali senza meningite beneficiano dell�aggiunta dello steroide. Esistono comunque pubblicazioni aneddotiche sull�efficacia del cortisone nel ridurre le dimensioni dei tubercolomi e l�edema perilesionale e conseguentemente nell�alleviare i sintomi5.
In alcuni bambini affetti da tubercolosi miliare severa la terapia cortisonica determina un drastico miglioramento del quadro. Lo schema pi� utilizzato prevede l�utilizzo del prednisone al dosaggio di 1-2 mg/kg al giorno per 4-6 settimane con successivo scalo graduale.
Il quadro polmonare radiologico pu� non risolversi per molti mesi; anche i tubercolomi cerebrali possono persistere per mesi e persino per anni.
Bibliografia
1. Kliegman, Behrman, Jenson, Stanton, Nelson Textbook of Pediatrics, 18th Edition.
2. Thwaites G, Fisher M, Hemingway C, et al. British Infection Society guidelines for the diagnosis and treatment of tuberculosis of the central nervous system in adults and children. J Infect 2009;59:167-87.
3. Hlavsa MC, Moonan PK, Cowan LS, et al. Human tuberculosis due to Mycobacterium bovis in the United States, 1995-2005. Clin Infect Dis 2008;47:168-75.
4. Lizarazo J. Paradoxical appearance of encephalic tuberculomas during treatment for tuberculosis in immunocompetent patients. Biomedica 2004;24(Supp 1):34-42.
5. Mazodier K, Bernit E, Faure V, et al. Central nervous tuberculosis in patients non-VIH: seven case reports. Rev Med Interne. 2003 Feb;24:78-85.
