Una sinusite complicata
1Clinica Pediatrica, IRCCS �Burlo Garofolo�, Trieste
2Servizio di radiologia, IRCCS �Burlo Garofolo�, Trieste
Indirizzo per corrispondenza: pastore_serena@libero.it
A complicated sinus infection
Key words
Sinus infection, Brain abscess, Children, Antibiotic therapy, RMN
Abstract
We report the case of a 13-year-old girl with a one-month-and-an-half story of fever, rhinorrhoea, headache and vomiting. Initially neurological assessment resulted normal and a diagnosis of acute sinus infection was made. Since the patient worsened, presenting intense weakness, photophobia and bradycardia, a TC scan of the brain was performed and an intracranic brain abscess was diagnosed. Broad-spectrum empiric antibiotic therapy with 3rd gen. cephalosporine and metronidazol was immediately started and the girl underwent surgical drainage. The treatment of choice for cerebral abscess is both medical and surgical. However patients whose clinical condition (multiple abscesses, poor clinical conditions-GCS<12- immunosoppression, inaccessible abscess and coagulopathy) do not allow surgical treatment required stronger and longer medical therapy. The possibility of obtaining multiplanar reconstructions define MR as the exam of choice during follow up while TC is the easiest and fastest exam to confirm diagnosis and location of cerebral lesions.
Riassunto
Descriviamo il caso di una ragazza di 13 anni che da un mese e mezzo presenta febbre, rinite catarrale, cefalea e vomito. Inizialmente l�esame neurologico risulta nella norma e viene posta diagnosi di sinusite acuta. Dal momento che le condizioni della paziente si aggravano, con astenia intensa, fotofobia e bradicardia, viene effettuata una TC encefalo che documenta un ascesso intracranico. Immediatamente viene avviata terapia antibiotica empirica a largo spettro con cefalosporina e metronidazolo e la paziente sottoposta a drenaggio neurochirurgico.
Il trattamento di scelta dell�ascesso cerebrale � infatti sia medico che chirurgico. Tuttavia pazienti con ascessi chirurgicamente non aggredibili, con ascesso singolo delle dimensioni inferiori ai 2,5 cm, immunodepressi, affetti da coagulopatie o in condizioni cliniche scadenti (GCS < 12) non sono candidabili all�intervento chirurgico e, in questi casi, ci si avvale della sola terapia medica .
Il follow up di questi pazienti prevede l�esecuzione di immagini seriate: la possibilit� di ottenere ricostruzioni multiplanari rende la RMN il gold standard, mentre la TC resta l�esame di pi� semplice e rapida esecuzione per confermare sede e natura di una lesione cerebrale.
Martina (nome di fantasia) � una ragazza di 13 anni e mezzo. Da un mese e mezzo presenta rinite catarrale, febbre, cefalea e vomito. All�esame obiettivo nulla da segnalare a carico di cuore, torace e addome; essudato muco purulento nel rinofaringe. Gli esami ematici mostrano una lieve neutrofilia (GB 9850/mm3, N 64%, L 34%) e aumento degli indici di flogosi (PCR 4 mg/dl, VES 54 mm/h). La diagnosi � di sinusite acuta fronto-mascellare e si avvia terapia antibiotica per os con amoxicillina 80 mg/kg/die.
Il beneficio � solo parziale: a 24 ore dall�avvio della terapia antibiotica Martina si sfebbra, ma persiste cefalea intensa (VAS 7) soprattutto al risveglio, associata a vomito. Compaiono inoltre profonda astenia, inappetenza e intensa fotofobia per cui dopo 3 giorni la ragazza giunge in Pronto Soccorso.
All�ingresso si presenta in discrete condizioni generali, vigile, reattiva, non alterazioni del sensorio; astenia importante e bradicardia (FC 45/min). L�obiettivit� neurologica � nella norma. Gli esami di laboratorio evidenziano un moderato incremento della VES (44 mm/h).
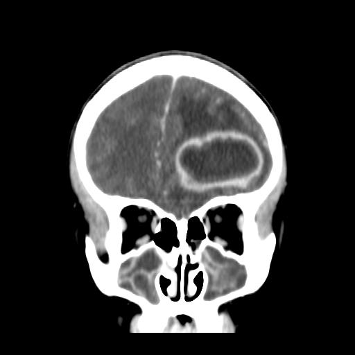
Valorizzando la bradicardia e la persistenza della cefalea, viene eseguita una TAC encefalo che mostra la presenza di un�ampia lesione in sede frontale sinistra del diametro di 5 cm compatibile con ascesso cerebrale, circondato da importante edema (Figura 1).

Figura 1. Voluminosa formazione a prevalente componente ipodensa centrale, circondata da cercine iperdenso e vallo ipodenso di natura edemigena circostante. Importante effetto compressivo sul corno del ventricolo laterale omolaterale causando deviazione della linea mediana verso destra di circa 9 mm. Si riconosce nei settori di destra la presenza di immagine di discontinuit� della corticale sul versante intracranico a livello del seno frontale a destra.
La diagnosi formalizzata � di Sinusite frontale complicata da un ascesso intracranico.
Si avvia immediatamente terapia antiedemigena endovenosa con mannitolo (30 g in 30 min) e si organizza il trasferimento in neurochirurgia, dove Martina viene sottoposta a craniotomia frontale sinistra con evacuazione parziale dell�ascesso (allo scopo di evitare un�ipertensione ex vacuo) e chiusura del tramite. L�intervento prevede inoltre il drenaggio in endoscopia dei seni paranasali (FESS).
Nel contempo si inizia terapia antibiotica endovenosa con ceftriaxone (4 g/die) e metronidazolo (500 mg x 4/die), a cui si associa terapia cortisonica orale come anti-edema (prednisone 15 mg x 2/die).
Dall�esame colturale si isola Streptococcus intermedius, sensibile alla terapia in atto.
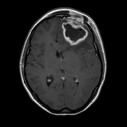
Nel decorso post operatorio la ragazza si mantiene asintomatica e gli indici di flogosi si riducono progressivamente. In 18^ giornata si ripete RMN di controllo (Figura 2) che mostra una lieve riduzione della lesione (diametro 50 x 3,9 x 3 mm) mentre persiste sostanzialmente invariato l�edema perilesionale, con spostamento della linea mediana.

Figura 2. Lesione in sede frontale iperintensa nelle sequenze T2 di dimensioni 5x3,9x3 cm compatibile con ascesso cerebrale, circondato da marcato edema perilesionale. Deviazione della linea mediana verso dx di circa 1.1 cm e in corrispondenza del corpo dei ventricoli di circa 7 mm. Raccolta extracerebrale in sede frontale sinistra di dimensioni 1.4x4x3.5 cm compatibile con raccolta. Impregnazione meningea frontale sinistra.
Si sostituisce quindi il prednisone con il desametasone (4,5 mg/die) per la sua maggiore penetrabilit� della barriera emato-encefalica.
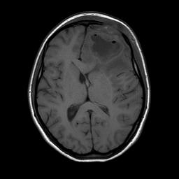
Dopo 10 giorni Martina ripete RMN di controllo (Figura 3) che documenta una marcata riduzione della lesione (diametro 35 x 24 x 18 mm) e una lieve diminuzione dell�edema perilesionale.


Figura 3. Lesione in sede frontale ipointensa nelle sequenze T1 pesate, di diametro 35 x 24 x 18 mm, circondato da cercine caratterizzato da marcato enhancement. Nelle sequenze T2 il cercine perilesionale appare ipointenso (a causa della presenza di collagene, emorragia e radicali liberi paramagnetici). Quadro complessivamente ridotto rispetto ai controlli precedenti. Ridotto l�effetto massa sul sistema ventricolare omolaterale.
La terapia antibiotica viene protratta per un totale di 6 settimane per via endovenosa, per poi proseguire trattamento per via orale con amoxicillina-clavulanato (1 g x 3/die) per 14 giorni.
Martina si mantiene in benessere, senza manifestare n� cefalea n� vomiti e gradualmente ricomincia a studiare.
Discussione
Gli ascessi intracranici sono complicanze rare ma potenzialmente molto pericolose delle sinusiti batteriche del bambino e dell�adolescente e interessano dal 0,5% al 2,4% dei pazienti ospedalizzati con sinusite1.
Le cause includono fenomeni embolici dovuti a cardiopatia congenita con shunt destro-sinistro, meningite, mastoidite, otite media cronica, cellulite orbitaria, ascessi dentari, ferite penetranti del cuoio capelluto, immunodeficienza, infezioni da shunt ventricolo-peritoneali2. I fattori predisponenti pi� comuni sono l�otite e la sinusite acuta3. Nel 15-30% dei casi la causa � sconosciuta.
La clinica � spesso silente e associata a reperti aspecifici, quali febbre modesta, cefalea e letargia, caratteristiche che, unite a esami di laboratorio perlopi� poco significativi, rendono difficile l�inquadramento diagnostico precoce. Con il progredire del processo infettivo-infiammatorio possono svilupparsi vomito, convulsioni, segni neurologici focali e infine coma. Se l�ascesso si svuota nella cavit� ventricolare, ne conseguono solitamente shock e morte2.
TAC e RMN sono le tecniche di imaging pi� affidabili nella caratterizzazione delle lesioni intracraniche2. La RMN si � dimostrata pi� efficace nell�evidenziare i dettagli anatomici della lesione. Ricostruzioni multiplanari sono di grande aiuto nell�identificare la presenza di concamerazioni o di aria nella cavit� ascessuale (indicazioni alla neurochirurgia) e sono di fondamentale importanza nella pianificazione dell�intervento chirurgico. Il limite della RMN nella definizione accurata dell�anatomia ossea rende spesso necessaria l�esecuzione della tomografia, esame guida per l�esecuzione dello svuotamento endoscopico dei seni paranasali (ESS)1. Il drenaggio dei seni paranasali in ESS, come complemento alla terapia neurochirurgica, � di dimostrata efficacia nel ridurre l�incidenza di complicanze quali meningite o encefalomielite disseminata1.
Poich� l�esame del liquor � raramente utile, non � indicata l�esecuzione della puntura lombare a fronte di un elevato rischio di erniazione delle tonsille cerebellari2-4.
Nei pazienti in condizioni cliniche soddisfacenti (GCS > 12) e senza particolari fattori di rischio (immunosoppressione, ascesso post-traumatico o post-chirurgico) la terapia antibiotica viene avviata su base empirica tenendo conto delle pi� probabili cause e dei microrganismi maggiormente implicati (Tabella 1) prima dell�eventuale intervento chirurgico di drenaggio dell�ascesso. In questi casi di solito si sceglie l�associazione di antibiotici a largo spettro, quali cefalosporine di terza generazione (ceftriaxone 100 mg/kg/die), dotate di ottima capacit� di penetrazione della barriera emato-encefalica, e metronidazolo (50 mg/kg/die in 4 dosi) per via endovenosa, in attesa dell�esito dell�antibiogramma5 (Tabella 2). Colture positive possono essere ottenute entro e non oltre 36 ore dall�avvio della terapia.
L�aggiunta della vancomicina (30-40 mg/kg/dose) va considerata nel sospetto di pneumococchi resistenti6.
Nel caso di allergia ai beta-lattamici e nell�ascesso post-chirurgico, viene valutato l�uso di nuove molecole, quali il linezolid (8-10 mg/kg/die in 2 dosi), dotate di ampio spettro nei confronti dei Gram-positivi.
Fattori predisponenti |
Microrganismo responsabile |
Neonato |
|
Ospite immunocompromesso |
|
CHD |
|
Otite media acuta |
|
Sinusite acuta |
|
Infezione del cavo orale |
|
Post-traumatico |
|
Tabella 1. Condizioni cliniche e fattori predisponenti per l�ascesso cerebrale nei bambini e microrganismi potenzialmente responsabili.
Fattori predisponenti |
Potenziale terapia empirica |
Neonato |
cefotaxime + ampicillina |
Ospite immunocompromesso |
vancomicina + ceftazidime + metronidazolo Considerare amfotericina e terapia antitubercolare TMP-SMZ vs Nocardia |
CHD |
ceftriaxone + metronidazolo (considerare vancomicina nel sospetto di pneumococchi resistenti) |
Otite media acuta |
ceftriaxone + metronidazolo |
Sinusite acuta |
ceftriaxone + metronidazolo (considerare tp per MRSA) |
Infezione del cavo orale |
penicillina + metronidazolo o ampicillina-sulbactam |
Post-traumatico |
vancomicina + cefalosporina di III generazione |
Tabella 2. Terapia antibiotica empirica dell�ascesso cerebrale che tiene conto dei potenziali fattori predisponesti pi� comuni.
MRSA = S. aureus meticillino-resistente
TMP-SMZ = trimethoprim-sulfametossazolo
Si discute molto se la terapia chirurgica sia indicata in tutti i casi di ascesso cerebrale. Alcune raccomandazioni recenti indicano quali pazienti non sono candidabili all�intervento chirurgico e devono essere trattati con la sola terapia medica6: con ascessi chirurgicamente non aggredibili, con ascesso singolo dalle dimensioni inferiori ai 2,5 cm, immunodepressi, affetti da coagulopatie o in condizioni cliniche scadenti (GCS < 12).
La durata della terapia antibiotica endovenosa dipende principalmente dall�efficacia clinica e dall�evoluzione dei reperti radiologici. Di norma non � inferiore alle 4-6 settimane per ascessi sottoposti a terapia chirurgica nel paziente immunocompetente e alle 8-12 settimane per ascessi trattati con la sola terapia medica, nel paziente immunocompromesso o nell�ascesso tubercolare4.
Il follow-up � a lungo termine e prevede la prosecuzione della terapia antibiotica per os per un periodo di 2-4 settimane e l�esecuzione di immagini radiologiche seriate per seguire la risoluzione delle lesioni ascessuali. Gli antibiotici utilizzabili per os sono: amoxicillina/acido clavulanico (50 mg/kg/die in 3 dosi), fluorochinoloni (ciprofloxacina 20 mg/kg/die in 2-3 dosi), trimethoprim-sulfametossazolo (48 mg/kg/die in 2 dosi), metronidazolo (50 mg/kg/die in 3 dosi), rifampicina (15-20 mg/kg/die in 1 o 2 dosi)5.
L�impiego di corticosteroidi ad alte dosi � indicato, soprattutto nel periodo pre-operatorio, in presenza di un significativo effetto massa secondario a edema cerebrale che pu� esitare in deficit neurologici focali o erniazione transtentoriale6. Il cortisonico di scelta � il desametasone per la sua migliore diffusibilit� attraverso la barriera emato-encefalica. Tuttavia l�uso prolungato di steroidi � controindicato poich� pu� diminuire la capacit� di penetrazione di agenti antimicrobici e ridurre la clearance di determinati patogeni6.
Non ci sono ancora in letteratura studi che raccomandino l�uso di antiepilettici nella profilassi delle convulsioni; il loro impiego per terapie a breve termine viene considerato in tutti i pazienti con ascesso cerebrale esteso a interessare strutture corticali, ma di fatto la terapia viene effettuata solo in quei pazienti che hanno presentato convulsioni all�esordio6.
Bibliografia
Germiller JA, Monin DL, Sparano AM, et al. Intracranial Complications of Sinusitis in Children and Adolescents and Their Outcomes. Arch Otolaryngol Head Neck Surg 2006;132:969-76.
Kliegman, Behrman, Jenson, et al. Nelson Textbook of Pediatrics, 18th Edition.
Sheehan JP, Jane JA, Dibyendu KR. Brain abscess in children. Neurosurg Focus 2008;24:E6.
Hsiao SY, Chang WN, Lin WC. The experiences of non operative treatment in patients with bacterial brain abscess. Clin Microbiol Infect 2010;5:1469-75.
Arlotti M, Grossi P, Pea F, et al.; GISIG (Gruppo Italiano di Studio sulle Infezioni Gravi) Working Group on Brain Abscesses. Consensus document on controversial issues for the treatment of infections of the central nervous system: bacterial brain abscesses. Int J Infect Dis 2010; Suppl 4:S79-92.
Frazier JL, Ahn ES, Jallo GI. Management of brain abscesses in children. Neurosurg Focus 2008;24:E8.
