Rivista di formazione e aggiornamento professionale del pediatra e del medico di base, fondata nel 1982.
In collaborazione con l'Associazione Culturale Pediatri.
M. Grassi, D. Amato, P. Ricciardelli, A. Magistà, I. Venturi, P. Cenni, F. Marchetti
. SINDROME DI WALLENBERG IN ETà PEDIATRICA. Medico e Bambino pagine elettroniche 32; 32(6) https://www.medicoebambino.com/?id=PPI1306_10.html
1UOC di Pediatria e Neonatologia, Azienda Ospedaliera
di Ravenna, AUSL Ravenna
2Scuola di Specializzazione in Pediatria, Universit�
di Bari
3Neurologia Pediatrica, Ospedale di Faenza, AUSL
Ravenna 4SSD Neuroradiologia, AUSL Ravenna
E. � un bambino di 6 anni che ha presentato improvvisamente,
in condizioni di benessere, cefalea associata a ipostenia dell�arto
inferiore di sinistra e atassia, disfonia e scialorrea, con respiro
rumoroso. La cefalea si � autolimitata in pochi minuti ma, per
la persistenza degli altri sintomi, � stato condotto in Pronto
Soccorso.
All�arrivo appariva in condizioni generali scadenti, in stato
soporoso, ipotonico, con iporeflessia. GCS=7; rispondeva agli stimoli
dolorosi, con risveglio parziale, ma presentava tendenza
all�assopimento; mostrava scialorrea e tendenza alla bradipnea
(FR 10 atti/min) con persistenza del respiro rumoroso con, a tratti,
la sensazione di stridore laringeo; la SaO2 oscillava tra
90% e 95% in aria ambiente.
La TC encefalo, l�EEG e la radiografia del torace, eseguiti in
urgenza, non mostravano alterazioni, cos� come nella norma
risultavano l�esame emocromocitometrico, l�assetto
coagulativo, la glicemia, la funzionalit� epatica e renale,
gli indici di flogosi.
Inizialmente ricoverato in terapia intensiva il bambino ha presentato
un rapido miglioramento delle condizioni generali senza mai necessit�
di assistenza ventilatoria e pertanto � stato trasferito, dopo
poche ore, presso il nostro reparto.
All�esame clinico-neurologico presentava ipostenia dell�arto
inferiore sinistro, atassia, paralisi faringo-laringea con disfagia e
disfonia, ptosi palpebrale sinistra e riferiva cefalea.
A circa 24 ore dall�esordio dei sintomi, � stata
eseguita la RMN encefalo con studio angiografico (Figure 1, 2, 3).
Figura
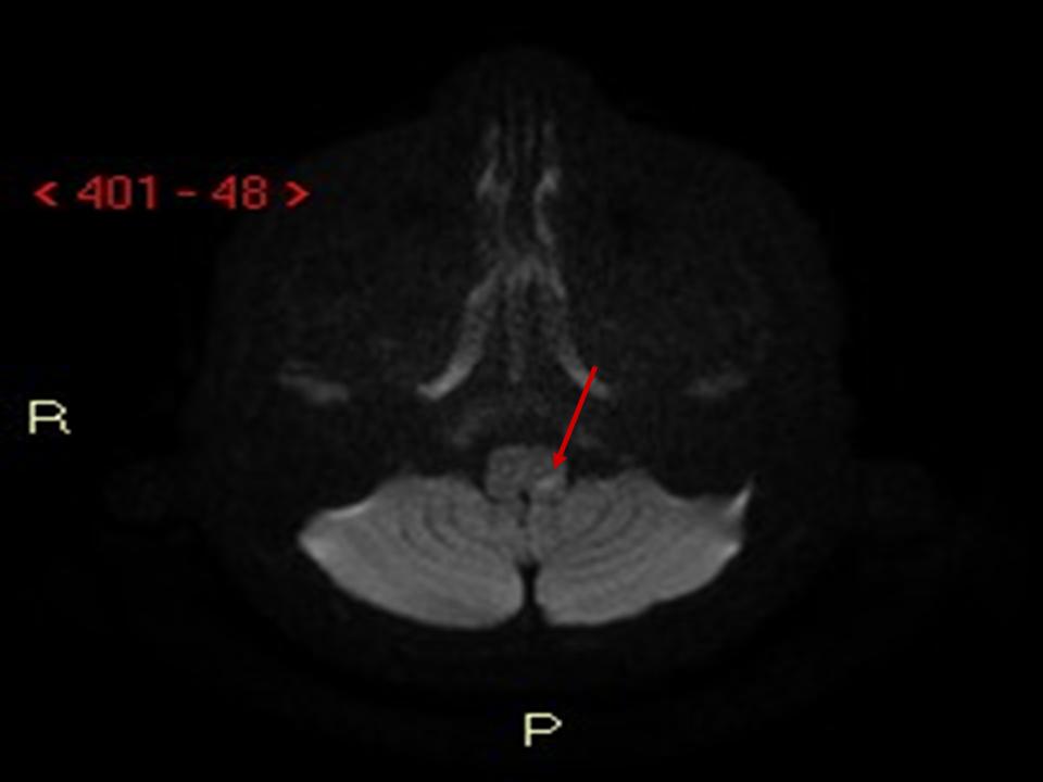
1. RMN. Assiale FLAIR (a sinistra): piccola lesione iperintensa a carico della porzione posteriore sinistra del bulbo compatibile con piccola lesione ischemica recente. DWI b1000 (a destra): piccola lesione a carico della porzione posteriore sinistra del bulbo con diffusione ristretta compatibile con piccola lesione ischemica recente.
Figura
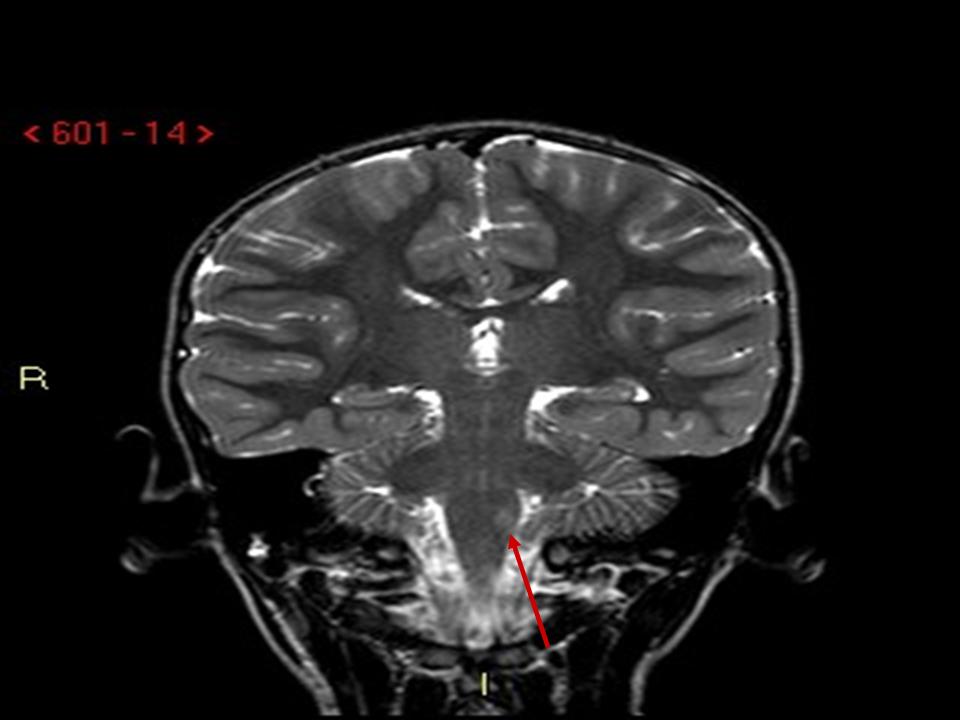
2. RMN. Coronale TSE T2: piccola lesione iperintensa a carico della porzione posteriore del bulbo compatibile con piccola lesione ischemica recente.
Figura
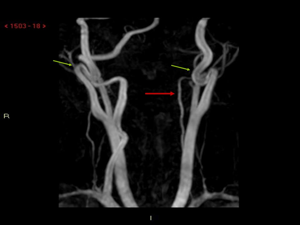
3. Angio-RMN. PC vasi epiaortici: marcata asimmetria di calibro delle arterie vertebrali per ipoplasia dell�arteria vertebrale sinistra (freccia rossa). Tortuosit� di decorso con kinking del tratto extracranico delle arterie carotidi interne (freccia verde).
Qual � la vostra diagnosi?
La RMN encefalo con studio angiografico ha documentato una piccola area
iperintensa a livello della porzione posteriore laterale sinistra del
bulbo compatibile con lesione ischemica recente e marcata asimmetria
delle arterie vertebrali (dx > sin). Il corteo sintomatologico
presentato da E. � conseguente all�ischemia bulbare da
riduzione del flusso ematico in arteria vertebrale ed �
definito sindrome di Wallenberg(Box 1).
Box 1. SINDROME DI WALLENBERG - SINDROME LATERALE MIDOLLARE
Gli infarti a carico del bulbo sono rari in et� adulta,
rarissimi in et� pediatrica e scarsi dati sono disponibili in
letteratura relativamente all�et� pediatrica.
La sindrome di Wallenberg, definita anche come sindrome laterale
midollare, si evidenzia a seguito di lesione ischemica del midollo
allungato (bulbo), spesso secondaria a occlusione dell�arteria
vertebrale o dell�arteria cerebellare inferiore posteriore a
causa di aterotrombosi o embolismo e, a volte, � conseguenza
della dissezione spontanea delle arterie vertebrali.
Lo spettro di manifestazioni cliniche della sindrome di Wallenberg �
ampio e comprende sindrome di Horner, atassia ipsilaterale (alla
lesione bulbare), alterazioni della sensibilit� al volto o
all�emisoma, disfagia, disfonia/raucedine, paralisi del palato,
scialorrea, vertigini, nausea e vomito, disturbi visivi (diplopia,
nistagmo, deviazione dello sguardo), singhiozzo, paresi facciale,
disartria, cefalea e dolore a livello del collo.
Le lesioni bulbari individuabili tramite la RM (e le conseguenti manifestazioni cliniche) sono eterogenee e
correlate ai diversi reperti angiografici, che a loro volta dipendono
dai differenti meccanismi patogenetici: eziologia, sede e ampiezza
dei vasi coinvolti, velocit� con cui si � sviluppata la
lesione, situazione dei vasi collaterali.
Decorso clinico
Durante la degenza si � assistito alla completa regressione
del quadro neurologico, con riduzione progressiva della disfonia.
Tra le ipotesi eziopatogenetiche della lesione ischemica bulbare
associata ad asimmetria di calibro delle arterie vertebrali andavano
considerati:
un tromboembolismo paradosso da perviet� del forame ovale
(l�ecocardiogramma, anche transesofageo, � risultato nella norma);
una vasculite, tipo malattia di Takayasu, esclusa per il riscontro
di polsi periferici normosfigmici, valori pressori normali ai
quattro arti, assenza di anomalie aortiche, indici di flogosi
negativi. Negativo � risultato lo studio dell�autoimmunit�
(ANA, anti DNA, ANCA, ENA; complemento);
tromboembolismo conseguente a trombofilia; la ricerca dei fattori
protrombotici (fattore V Leiden, polimorfismo MTHFR C677T,
polimorfismo G20210A del fattore II della coagulazione; ricerca
lupus anticoagulans; dosaggio di omocisteinemia e acido folico;
assetto lipidico; dosaggio di proteina C, proteina S e antitrombina)
ha mostrato una condizione di eterozigosi per il polimorfismo del
fattore II.
L�ipotesi eziopatogenetica che ci � apparsa pi�
verosimile � stata quella di un rallentamento del flusso
ematico in arteria vertebrale sinistra che risultava congenitamente
ipoplasica e ridotta di calibro. � possibile (ma non ne
abbiamo la certezza) che la condizione di trombofilia (paziente
eterozigote per polimorfismo del fattore II della coagulazione) possa
essere una condizione co-favorente l�evento ischemico bulbare e
l�insorgenza della sintomatologia, compatibile con la sindrome
di Wallenberg. L�ecodoppler renale ha escluso la presenza di una condizione displasica a carico delle arterie renali.
Gestione
terapeutica ed evoluzione clinica
� stata intrapresa inizialmente terapia per via sottocutanea
con eparina a basso peso molecolare, sostituita in 5� giornata
con acido acetilsalicilico, terapia che il bambino sta proseguendo a
domicilio. Ad oggi, con un follow-up di 12 mesi, E. non presenta
sequele neurologiche e l�imaging cerebrale �
negativa tranne che per la gi� nota asimmetria di calibro
delle arterie vertebrali che � rimasta immodificata.
� molto ragionevole pensare, vista l�alterazione
anatomica dell�arteria vertebrale, che la profilassi
con acido acetilsalicilico debba essere eseguita per tutta la vita.
Bibliografia
Aydogdu I, Ertekin C, Tarlaci S, Turman B, Kiylioglu N, Secil Y. Disphagya
in lateral medullary infarction (Wallenberg�s syndrome): an
acute disconnection syndrome in premotor neurons related to
swallowing activity? Stroke 2001;32:2081-7.
Bernard TJ, Manco-Johnson MJ, Goldenberg NA. The roles of
anatomic factors, thrombophilia, and antithrombotic therapies in
childhood-onset arterial ischemic stroke.
Thromb Res 2011;127:6-12.
Informativa Cookie
Questo sito utilizza cookie tecnici necessari al funzionamento (autenticazione, sessione, preferenze).
Le funzionalità di intelligenza artificiale sono erogate tramite Amazon Bedrock (Anthropic Claude):
i dati vengono elaborati nei data center europei AWS e non vengono condivisi con terze parti né utilizzati per addestrare modelli.
Non utilizziamo cookie di profilazione commerciale.
Privacy e Cookie Policy
Cookie tecnici necessari(sempre attivi) Sessione, autenticazione, CSRF, preferenze utente. Indispensabili per il funzionamento del sito. Non tracciano l'utente.
Cookie analitici(opzionali) Misurano le performance del sito (pagine visitate, tempi di caricamento). I dati sono aggregati e anonimi, memorizzati nel nostro database interno (tabella user_access). Nessun dato viene inviato a Google Analytics o servizi terzi.
Servizi di Intelligenza Artificiale(opzionali) Funzionalità AI (ricerca intelligente CoScienza, assistente backoffice) erogate tramite Amazon Bedrock con modelli Anthropic Claude. I dati transitano nei data center europei (eu-west) e non vengono utilizzati per l'addestramento dei modelli. Nessun dato personale viene condiviso con Anthropic o Amazon al di fuori dell'elaborazione della richiesta.
Cookie pubblicitari(opzionali) Permettono la visualizzazione di annunci pertinenti tramite Google AdSense. Google potrebbe utilizzare cookie per mostrare annunci basati sulle visite precedenti a questo o altri siti. Puoi disattivare la personalizzazione su impostazioni annunci Google.