Pseudoaneurisma post-traumatico del dorso del piede in et� pediatrica
1SC Pediatria e Neonatologia, 2SC Radiodiagnostica, 3SC Pediatria e Neonatologia, ASL5 Regione Liguria
Indirizzo
per corrispondenza:�stefano.nieri@asl5.liguria.it
Post-traumatic pseudoaneurysm of the foot in paediatric age
Abstract
The Authors report the case of an 11-year-old child observed in the outpatient clinic of Paediatric Ultrasound for the examination of a soft swelling on the dorsal surface of the forefoot in the space between 1st and 2nd metatarsal bone, which was neither painful nor aching. The ultrasound examination showed the presence of a vascular neoformation with some characteristics that pointed out a possible post-traumatic pseudoaneurysm of the 1st metatarsal artery of the right foot. Further investigations confirmed the diagnostic suspicion. The treatment was surgical, in Day-Surgery regimen, and it was definitive and uneventful.
Key words: Echography, Pseudoaneurysm, Paediatrics, Post-traumatic
Riassunto
Viene riportato il caso di un bambino di 11 anni osservato in ambulatorio di Ecografia Pediatrica per l�esame di una tumefazione molle, non dolente n� dolorabile, sulla superficie dorsale dell�avampiede tra il 1� ed il 2� metatarso. L�esame ecografico dimostrava la presenza di una formazione vascolarizzata con delle caratteristiche che indicavano un possibile pseudoaneurisma post-traumatico della prima arteria metatarsale del piede destro. Gli accertamenti successivi hanno confermato il sospetto diagnostico. Il trattamento � stato chirurgico, in regime di Day-Surgery, risolutivo e senza complicazioni.
Parole chiave: Ecografia, Pseudoaneurisma, Pediatria, Post-traumatico
Caso clinico
R. di anni 11,
sesso maschile, etnia araba, si � presentato nell�ambulatorio
ecografico per una tumefazione molle di circa 2 cm di diametro,
presente gi� da svariati mesi, leggermente pi� scura
rispetto alla cute circostante, asintomatica, non
pulsante, localizzata nell�avampiede destro, tra il 1� ed
il 2� metatarso. La storia clinica rivelava un pregresso trauma
locale durante l�attivit� sportiva (judo).
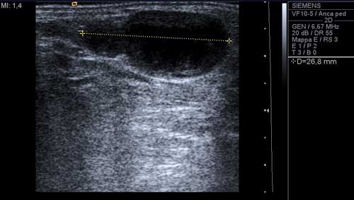
L�esame
ultrasonografico, condotto con sonda lineare da 10 MhZ, dimostrava,
nel sottocute del 1� spazio intermetatarsale del piede dx, la
presenza di una formazione rotondeggiante, con aspetto a clessidra
asimmetrica, rinforzo di parete posteriore, ben delimitata,
dimensioni 18 x 11 x 26 mm, con centro anecogeno e periferia
debolmente ecogena con parete esterna nettamente delimitata e vallo
interno irregolarmente sfrangiato (Figura 1), localizzata
immediatamente a valle della biforcazione della arteria pedidia nel
ramo plantare profondo e nella 1a metatarsale dorsale,
arteria che appariva decorrere, sia pure in maniera irregolare, lungo
la parete mediale della formazione (Figura 2)

Figura 1. Ecografia-scansione longitudinale con misurazione del diametro massimo. |
Figura 2. Componente vascolare della neoformazione a valle della biforcazione della arteria pedidia. Nello spessore dello strato pi� esterno si dimostrava la presenza di un flusso ematico bidirezionale (Figura 3) ![]() | |
Figura 3. Presenza di flusso in parete. � stata effettuata una RMN con contrasto con acquisizioni multiplanari T1 e T2 pesate anche con tecnica di soppressione del grasso, con il rilievo di una formazione ovalare di 16 x 12 x 20 mm a margini regolari con iperintensit� di segnale centrale nelle pesate T1 e T2 dipendenti, e componente periferica sottile che subisce enhancement contrastografico, in apparente continuit� anatomica con struttura vascolare del fascio vascolo-nervoso dorsale, ascrivibile, in primis, a formazione vascolare o patologia vascolare dilatativa trombizzata (Figure 4, 5 e 6). ![]() |
![]() |
![]() |
Figura 4. Angio-RMN Scansione assiale T1 pesata SE. |
Figura 5.Scansione sagittale T1 pesata SE. |
Figura 6.Ricostruzione MIP. In questa breve sequenza di immagini si pu� notare il passaggio dal lume vascolare normale alla porzione ectasica e quindi di nuovo al calibro regolare (Figura 7). ![]() ![]() ![]() ![]() ![]() ![]() |
Figura 7. Serie di tomogrammi assiali STIR. L�intervento � stato condotto con l�induzione di una breve anestesia generale e l�escissione completa della formazione (Figura 8, 9 e 10).
|
![]() |
![]() |
Figura 8. Si evidenzia la formazione di colore bluastro. |
Figura 9. Dopo legatura a monte si procede con l�isolamento.
Figura 10. Il reperto operatorio.
L�esame istologico ha dimostrato la presenza di formazioni trombotiche ricanalizzate, compatibili con pseudoaneurisma post-traumatico.
CONCLUSIONI
Abbiamo ritenuto opportuno segnalare questo caso affinch� nella diagnosi differenziale delle tumefazioni del dorso del piede (sarcoma, malformazione vascolare, cisti tendinea, glomangioma ecc.) possa essere presa in considerazione anche una patologia decisamente inusuale in et� pediatrica, lo pseudoaneurisma post-traumatico1,2. L�esame ecografico, sia in B-mode che in Color-Doppler, si propone ancora una volta come una metodica utile per un rapido orientamento sulla natura della lesione osservata e sufficientemente precisa per una definizione diagnostica, come confermato in questo caso sia dalla Angio-RMN che dall�esame istologico.
Bibliografia
- Ozdemir H, Mahmutyazicioğlu K, Ozk�keli M, Savranlar A, Ozer T, Demirel F. Pseudoaneurysm of the Dorsalis Pedis Artery: Color-Doppler Sonographic and Angiographic Findings. J Clin Ultrasound 2003;31:283-87.
- Bozio G, Tronc F, Douek P, Bozio A, Louis D. Dorsalis pedis artery pseudoaneurysm: an uncommon case of soft tissue mass of the dorsal foot in children. Eur J Pediatr Surg 2009;19:113-6.
Classificazione MeSH
Bibliografia
- Ozdemir H, Mahmutyazicioğlu K, Ozkökeli M, Savranlar A, Ozer T, Demirel F. Pseudoaneurysm of the Dorsalis Pedis Artery: Color-Doppler Sonographic and Angiographic Findings. J Clin Ultrasound 2003;31:283-87.
- Bozio G, Tronc F, Douek P, Bozio A, Louis D. Dorsalis pedis artery pseudoaneurysm: an uncommon case of soft tissue mass of the dorsal foot in children. Eur J Pediatr Surg 2009;19:113-6.












