Linfoadenite monolaterale con milza �impallinata�: quale diagnosi?
UOC di Pediatria e Neonatologia, Ospedale di Ravenna e Faenza, AUSL della Romagna
Indirizzo
per corrispondenza:�a.zucchini@ausl.ra.it
IL CASO
Silvia � una ragazza di 13 anni, senza precedenti anamnestici di rilievo, inviata dal pediatra di famiglia per febbre e adenite sottomandibolare, monolaterale.
Da dieci giorni presenta febbre, non particolarmente elevata, con valore massimo pari a 38,5 �C, associata a profonda astenia con una tumefazione dolente delle dimensioni di una noce, di consistenza molle, in sede sottomandibolare sinistra. Cute sovrastante indenne. Non evidenza di epatosplenomegalia e di interessamento di altre sedi linfonodali.
In terapia con amoxicillina da sette giorni senza beneficio.
Non segnalati recenti viaggi. Presenza in ambiente domestico di alcuni gatti, di cui uno cucciolo, con cui gioca spesso.
Gli esami di laboratorio evidenziano modica elevazione degli indici di flogosi: PCR 12,5 mg/L (vn:<5); VES: 23 alla prima ora. Nella norma l�emocromo, l�LDH, l�acido urico, le transaminasi e le immunoglobuline sieriche. Intradermo reazione alla tubercolina negativa. Negativa la Radiografia del torace.
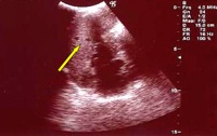
Il risultato dell�ecografia della tumefazione sottomandibolare � riportato nella Figura 1.

Figura 1. Ecografia del collo in sede sottomandibolare sinistra. Presenza a livello del reperto obiettivo di un pacchetto linfonodale con linfoadenomegalie strettamente contigue, con ecostruttura disomogeneamente ipoecogena con diametro compreso entro 28 mm (a), compatibile con iniziale colliquazione, con aumentato flusso ematico al color doppler (b).
Si decide di eseguire l�ecografia addominale che a livello della milza evidenzia plurime e diffuse piccole zone ipoecogene (Figura 2). All'ilo epatico e in sede periportale evidenza di alcuni linfonodi ovalari, con diametro compreso entro 2 cm. Nella norma il parenchima epatico.
�
Figura 2. Ecografia Splenica. Milza con ecostruttura disomogenea per la presenza di plurime e diffuse areole nodulari ipoecogene, del diametro compreso tra 8 e 15 mm di non univoca interpretazione (foci flogistici?).
La presenza di gatti in ambiente domestico, la clinica, e gli accertamenti strumentali, con l�evidenza di un linfonodo con aspetto colliquativo e di un interessamento splenico (ed in parte epatico con presenza di linfonodi aumentati di dimensioni a livello dell�ilo) erano suggestivi per una possibile infezione da Bartonella henselae.
� stata iniziata terapia per via orale con azitromicina (per 5 giorni) e ciprofloxacina (per 2 settimane) con scomparsa della febbre in 24 ore e graduale risoluzione della linfadenite (che mostrava gi� iniziali segni di colliquazione) e dell�interessamento splenico.
La sierologia per la Bartonella henselae, giunta a distanza di una settimana, ha confermato il sospetto clinico: IgG IFA: >256 (titolo Negativo: <64; Dubbio: 64-256; Positivo: >256 ); IgM IFA: Positivo.
DISCUSSIONE
La Bartonella henselae � un bacillo Gram-negativo, identificato la prima volta nel 1983; pu� esser trovato nella parete dei vasi, nei centri germinali e nei macrofagi dei linfonodi. � trasmessa all�uomo dai gatti attraverso la saliva.
La malattia da graffio di gatto non � rara con 15-20 casi ogni 100.000 persone\anno, con prevalente interessamento della fascia pediatrica.
La manifestazione iniziale pi� comune � la presenza di una papula che compare entro due settimane dall�inoculo. Pu� poi presentarsi febbre (anche se non � obbligatoria), anche di lunga durata (fino a due mesi), con linfadenopatia regionale da una a tre settimane dopo il contagio. Nell�85% dei casi interessa una sola stazione linfonodale, ma pu� anche manifestarsi con un aspetto simil mononucleosico. In et� pediatrica la Bartonella � responsabile di una febbre di lunga durata, senza segni di localizzazione, sino al 5% dei casi.
Una quota variabile di pazienti (circa 1 caso /10) presenta forme atipiche. La pi� comune � la sindrome di Parinaud, (lesione congiuntivale da inoculo, congiuntivite granulomatosa, non suppurativa e linfoadenopatia reattiva preauricolare), ma sono descritti sintomi a carico del sistema nervoso centrale (ipereccitabilit�, convulsivit�, deficit dei nervi cranici, sino al coma), neuroretiniti, polmoniti, endocarditi, osteomieliti, spondilo-discite, eritema nodoso, un quadro di adenomesenterite/ileite terminale (che pu� mimare la malattia di Crohn) e una malattia viscerale con interessamento epatico e/o splenico, come nel caso descritto.
Nel caso di un interessamento epatico e/o splenico pu� non esserci necessariamente un interessamento linfonodale e i pazienti sono indagati per febbre di origine sconosciuta (con sintomi spesso modesti, senza movimento degli enzimi epatici e senza obiettivit� di epatosplenomegalia), in cui vi � riscontro all'ecografia addominale di lesioni ipoecogene nel fegato e/o nella milza (granulomatosi epato-splenica da Bartonella). Dal punto di vista istologico si tratta appunto di granulomi necrotizzanti stellati.
La diagnosi poggia su il riscontro di sintomi pi� o meno tipici dove la storia di contatto con gatti (ma anche pi� raramente di cani), anche senza il dato anamestico di graffi, � importante. A volte la diagnosi � istologica, nella esclusione di altre condizioni che entrano in diagnosi differenziale, in modo particolare con quadri linfo-proliferativi, altre lesioni granulomatose (come le infezioni da micobatteri, leptospira, toxoplasma) e condizioni autoimmunitarie (in primis la sarcoidosi).
La conferma pu� venire dalla sierologia. Le IgM per� sono fugaci, mentre le IgG possono durare anche oltre un anno talora non riuscendo a differenziare un fatto acuto da una immunit� pregressa. La metodica della ricerca della Bartonella tramite PCR su sangue o sui tessuti � sicuramente utile ma ha una relativamente bassa sensibilit� (43�76%).
La terapia di solito non � indicata nelle linfadeniti non complicate, trattandosi di un quadro non grave, a risoluzione spontanea. Nei casi pi� impegnativi vi � l�indicazione alla terapia antibiotica. Risultano efficaci: l�azitromicina, la ciprofloxacina, le tetracicline, il cotrimoxazolo, gli aminoglicosidici.
Si ricorre al drenaggio chirurgico (l�exeresi chirurgica non � quasi mai necessaria) se vi sono segni di evidente colliquazione del linfonodo.
Il quadro di granulomatosi epato-splenica evolve verso la guarigione con totale scomparsa in tempi rapidi se instaurata terapia specifica o in tempi compresi fra 5-6 mesi con possibili calcificazioni residue se il trattamento non � stato tempestivo e adeguato.
MESSAGGI PRATICI
- Una febbre che non risponde alle comuni terapie, specie se associata ad adenite in una singola stazione, ma anche generalizzata, assieme al dato anamnestico della presenza di gatti in ambiente domestico deve fare pensare a una possibile infezione da Bartonella.
- Bisogna ricordare che il batterio � trasmesso dalla saliva e pertanto non � obbligatorio che l�adenite sia distrettuale alla sede di un eventuale graffio.
- Il riscontro di un fegato e/o una milza �impallinati� alla indagine ecografica in un contesto come quello descritto, devono fare sospettare una diagnosi possibile, a �colpo d�occhio�, di infezione sistemica con lesioni granulomatose da Bartonella, senza procedere con altre indagini strumentali.
Bibliografia di riferimento
- Arisoy ES, Correa AG, Wagner ML, Kaplan SL. Hepatosplenic cat-scratch disease in children: selected clinical features and treatment. Clin Infect Dis 1999;28(4):778�84.
- Gradidge E, Chauhan A, Steele RW, Warrier R. Fever, lymphadenopathy, and splenomegaly: did the cat do it? Clin Pediatr (Phila) 2013;52(11):1072-4.
- Grazioli R, Milani Capialbi R, Marchetti F, Bettinelli A. Un caso di bartonellosi viscerale in paziente immunocompetente. Medico e Bambino pagine elettroniche 2008;11(6).
- Mainetti M, Venturi I, Mambelli L, Pini L, Minguzzi L, Marchetti F. Eritema nodoso e calprotectina elevati: non sempre e solo MICI. Medico e Bambino 2013;32:252-3.
- Maritsi DN, Zarganis D, Metaxa Z, Papaioannou G, Vartzelis G. Bartonella henselae infection: an uncommon mimicker of autoimmune disease. Case Rep Pediatr 2013;2013:726826.
- Massei F, Messina F, Talini I, et al. L�infezione da
Bartonella henselae nel bambino: una malattia frequente e proteiforme. Medico e Bambino 1999;18(7):410-416 - Pirrone A, Copertino M, Pierobon C. E se il gatto non ci mette lo zampino? Medico e Bambino 2013;32:251-3.
- Rohr A, Saettele MR, Patel SA, Lawrence CA, Lowe LH. Spectrum of radiological manifestations of paediatric cat-scratch disease. Pediatr Radiol 2012;42(11):1380-4.
- Ventura A, Massei F, Not T, Massimetti M, Bussani R, Maggiore G. Systemic Bartonella henselae infection with hepatosplenic involvment. J Pediatr Gastroenterol Nutr 1999;29(1):52-6.
